VeCoin's profile picture.

Kerem

@VeCoin

Kerem reposted

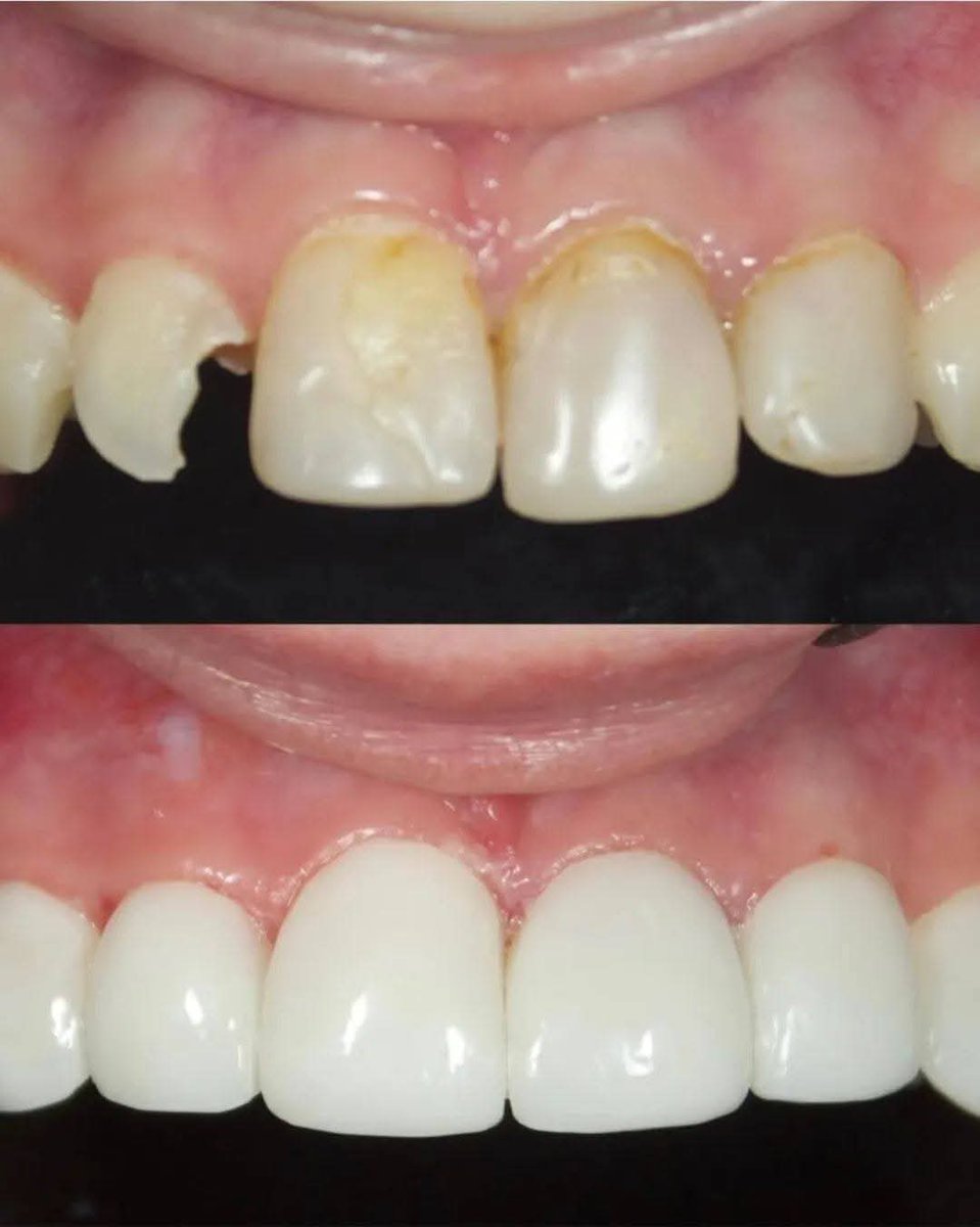
Sivas’ta Devrim Yapan Hoca Hedefte: Çekmeden Kurtardığı Dişler Rahatsız Etti Sivas Cumhuriyet Üniversitesi Diş Hekimliği Fakültesi Öğretim Üyesi Prof. Dr. İhsan Hubbezoğlu, diş hekimliğinde ezber bozan bir yöntemle implantı son çare olmaktan çıkarıyor. Sağlam diş köklerini Cam…

ogretmensitemiz's tweet image. Sivas’ta Devrim Yapan Hoca Hedefte: Çekmeden Kurtardığı Dişler Rahatsız Etti
Sivas Cumhuriyet Üniversitesi Diş Hekimliği Fakültesi Öğretim Üyesi Prof. Dr. İhsan Hubbezoğlu, diş hekimliğinde ezber bozan bir yöntemle implantı son çare olmaktan çıkarıyor.
Sağlam diş köklerini Cam…
ogretmensitemiz's tweet image. Sivas’ta Devrim Yapan Hoca Hedefte: Çekmeden Kurtardığı Dişler Rahatsız Etti
Sivas Cumhuriyet Üniversitesi Diş Hekimliği Fakültesi Öğretim Üyesi Prof. Dr. İhsan Hubbezoğlu, diş hekimliğinde ezber bozan bir yöntemle implantı son çare olmaktan çıkarıyor.
Sağlam diş köklerini Cam…
ogretmensitemiz's tweet image. Sivas’ta Devrim Yapan Hoca Hedefte: Çekmeden Kurtardığı Dişler Rahatsız Etti
Sivas Cumhuriyet Üniversitesi Diş Hekimliği Fakültesi Öğretim Üyesi Prof. Dr. İhsan Hubbezoğlu, diş hekimliğinde ezber bozan bir yöntemle implantı son çare olmaktan çıkarıyor.
Sağlam diş köklerini Cam…

Kerem reposted

📈 Haftanın ilk işlem gününde değerli metaller tarihi zirvelerde! 🔹 Spot #altın 4.600$’ı geçti, gram altın 6.380 TL ile rekor kırdı. 🔹 #Gümüş %6 artışla 83,96$’a ulaştı. #Platin +%3,5, paladyum +%7,6. ⚡ #Jeopolitik gerilimler ve ABD kaynaklı belirsizlikler güvenli liman…

finansgazete.com

Küresel Belirsizlik Dalgası Değerli Metalleri Zirveye Taşıdı: Altın 4.600 Doları Aştı, Gümüş Tarih...

Küresel piyasalarda artan siyasi ve ekonomik belirsizlikler, yatırımcıları yeniden güvenli limanlara yönlendirdi. Bu eğilimin en güçlü yansıması ise değerli met


Kerem reposted

Arkadaşlar, en çok sorulan göstergelerden biri olan RSI ve Stokastik Osilatör’ü kısaca anlatayım: 📊 RSI: Trendli piyasalarda, aşırı alım (70+) veya aşırı satım (30-) sinyalleri verir. Uzun vadeli analiz için ideal. 📊 Stokastik: Yatay piyasalarda daha hızlı sinyaller verir.…


Kerem reposted

📊 Gelecek Hafta Beklenen Veriler: 📅 Salı, 13 Ocak 🔹USD - Core CPI (Tüketici Fiyat Endeksi) (m/m) - 16:30 🔹 USD - CPI (Tüketici Fiyat Endeksi) (m/m) - 16:30 🔹 USD - CPI (y/y) - 16:30 📅 Çarşamba, 14 Ocak 🔹 USD - Core PPI (Üretici Fiyat Endeksi) (m/m) - 16:30 🔹 USD -…

Trade_Vizyon's tweet image. 📊 Gelecek Hafta Beklenen Veriler:

📅 Salı, 13 Ocak
🔹USD - Core CPI (Tüketici Fiyat Endeksi) (m/m)  - 16:30
🔹 USD - CPI (Tüketici Fiyat Endeksi) (m/m) - 16:30
🔹 USD - CPI (y/y) - 16:30

📅 Çarşamba, 14 Ocak
🔹 USD - Core PPI (Üretici Fiyat Endeksi) (m/m) - 16:30
🔹 USD -…

Kerem reposted

2026’ya hızlı bir giriş yapıldı ama ekonomi değil, jeopolitik riskler öne çıkıyor. ABD, Grönland’ı kendi toprağı yapma isteğini sürdürüyor. İran’a yönelik olası bir hamle, Venezuela’daki petrol rezervleri ile daha da yakınlaşabilir. Ancak piyasalar şimdilik tepkisiz; çünkü…


Kerem reposted

Kısa vadeli enflasyon beklentileri arttı, uzun vadeli görünüm sabit kaldı 🔹Federal Rezerv New York’un son raporuna göre, bir yıllık enflasyon beklentileri Aralık ayında %3,4’e yükseldi; bu, Kasım ayındaki %3,2’ye kıyasla kısa vadede enflasyon baskılarının arttığını gösteriyor.…


Kerem reposted

ABD’de iş gücü verimliliği son 2 yılın zirvesinde. 3Ç’te saat başına üretim %4,9 arttı. Birim iş gücü maliyeti %1,9 geriledi (2019’dan bu yana ilk kez üst üste iki çeyrek düşüş). Güçlü üretim artışı ve zayıflayan ücret baskısı, enflasyon açısından olumlu, Fed’in para politikası…


Kerem reposted

✅Yeni yılın başlangıcıyla birlikte, Bloomberg Commodities (BCOM) endeksi yeniden dengeye geliyor ve bu durum altın ve gümüşte toplam 14 milyar dolarlık satışa yol açacak. Scotiabank’in raporuna göre, bu işlemler 14 Ocak’a kadar devam edecek ve her gün yaklaşık %20’lik bir satış…


Kerem reposted

2026’ya bomba gibi başladık! Trump’ın maksimum baskı politikası sonuç verdi mi? Venezuela’da rejim değişikliği kapıda. Dünya nefesini tutmuş bekliyor… 🇻🇪🔥 🇺🇸 ABD, Venezuela ve lideri Devlet Başkanı Nicolas Maduro’ya karşı büyük ölçekli bir saldırı düzenledi. Maduro, eşiyle…


Kerem reposted

🚨 Son dakika gelişmeleri: Amerika ile Venezuela arasındaki gerilim tırmanıyor. 🛑 Karakas’ta büyük patlamalar ve düşük irtifada uçan uçakların sesleri duyuluyor. 🏠 Venezuela Savunma Bakanı’nın evi ve başkentteki bir liman, yoğun bombardıman altında. ✈️ Venezuela’nın…


Kerem reposted

📈 Piyasalarda büyük hikâye geri dönüyor Şu an profesyonel oyuncuların çoğu tatilde olsa da Asya–Pasifik seansında düşük hacimli işlemler bile önemli sinyaller verdi. Dolar neredeyse tüm majör para birimleri karşısında zayıflarken, değerli metaller güçlü yükselişini sürdürüyor.…


Kerem reposted

“Gerçek başarı, riski doğru yönetenlerin olur.” ⚡️ Bugün #NASDAQBig işleminde harika bir sonuç: +7.845 $ Net Kâr 🏆 Tüm NASDAQ ve endeks işlemlerimi anlık ve ÜCRETSİZ paylaşıyorum aramıza katılmak istersen: 👉 t.me/tradevizyon Piyasalarda doğru okunan her hareket, yeni…


Kerem reposted

📊 Gold Teknik Görünüm | Kısa Vade Son sert düşüş sonrası fiyat, güçlü destek bölgesinden tepki alıyor. Mevcut seviyede yükselen trend çizgisi çalışıyor ancak önümüzde kısa vadeli dirençler bulunuyor. 🟢 Destekler: 4.325 – 4.320 4.260 – 4.255 🔴 Dirençler: 4.335 – 4.374 4.400…


Kerem reposted

📊 Piyasa Odak Değişiyor: Endüstri Yükseliyor, Tüketici Geri Dönüyor ▪️Bugün ABD borsalarında karışık bir görüntü vardı. Savunma ve havacılık şirketlerinin liderliğindeki endüstriyel hisseler yükselirken, tüketici odaklı hisseler yatırımcıların temkinli yaklaşımıyla baskı…


Kerem reposted

⚡ 2026’da AI hikayesi tekrar değişebilir mi? Asıl sorun çipler değil, elektrik ve altyapı. Nadella diyor ki: “Tüm çipler elimizde olabilir, ama onları çalıştıracak enerji yok.” Bu yüzden piyasa odağını donanım ve enerji sağlayıcılarına kaydırabilir: Vertiv, Schneider, Eaton……


Kerem reposted

📊 2026'da “enflasyon serabı”na dikkat! ✅ Fiyatlar yükseldi ama CPI’de dramatik bir düşüş yok. ✅ Trump tarifelerinin etkisi geç geliyor; ekonomik verilere yansıyacak. ✅ Yıllık enflasyon düşebilir ama bu sadece baz etkisi. Aylık veriler daha belirleyici. 💡 Fed, bu veriler…


Kerem reposted

🔼 Bugün Piyasada Teknoloji Devleri Öne Çıkıyor ✅ Bugün piyasada teknoloji sektörü güçlü bir yükseliş gösteriyor, özellikle yarı iletkenler ve yazılım altyapılarındaki güçlü büyümeden kaynaklanıyor. 🔹 Nvidia, %1.33 artış ile yarı iletken sektöründeki yükselişe liderlik…

Trade_Vizyon's tweet image. 🔼 Bugün Piyasada Teknoloji Devleri Öne Çıkıyor

✅ Bugün piyasada teknoloji sektörü güçlü bir yükseliş gösteriyor, özellikle yarı iletkenler ve yazılım altyapılarındaki güçlü büyümeden kaynaklanıyor.

🔹 Nvidia, %1.33 artış ile yarı iletken sektöründeki yükselişe liderlik…

Kerem reposted

🔍 Volüm Profil (Volume Profile) Nedir? 📊 Volüm Profil, bir fiyat seviyesinde yapılan işlemleri gösteren güçlü bir analiz aracıdır. Peki, bu aracı nasıl kullanabilirsiniz? • 📉 Hacmi Fiyat Bazında Gösterir: Zaman yerine fiyatın üzerinde yoğunlaşır. • 🎯 POC (Point of…


Kerem reposted

2026’da altın, gümüş ve platin arasındaki büyük rekabet başlıyor! 💥 2025, metal piyasasında güçlü yükselişler ve dikkat çeken getirilerle geride kaldı. Gümüş %127, platin ise %120 artış gösterdi, altın ise %65 ile istikrarlı bir performans sergiledi. Peki 2026’da hangi metal…


Kerem reposted

Haftaya başlarken dikkat etmemiz gereken birkaç kritik gelişme var. Piyasalar yılbaşı tatiline giriyor ve bu dönemde işlem hacmi ciddi şekilde düşecek. Bu, küçük hareketlerin bile büyük etkiler yaratabileceği anlamına geliyor. Yani, piyasada sakinlik olsa da riskler hâlâ yüksek!…


Loading...

Something went wrong.


Something went wrong.