I know of cases where docs have dismissed patients as "delusional" when they complained of debilitating #period pain. The onus placed on 'child bearing' when a #woman walks into a hosp with #menstrual issues is unbelievable. Surprised at how oft it happens scroll.in/article/104556…
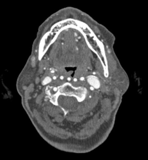
Stuff ENT nightmares are made of. Hope no one does a tonsillectomy or adenoidectomy on this patient…
1, 2 , 3, 4… wait, what? radiopaedia.org/cases/97452 @Radiopaedia case by Dr Ahmed A. Khawwam
Mark my words. In 20 years, Naomi Osaka will be known as the person who finally got the masses to understand that there is no difference between mental health and physical health. What she is doing here by withdrawing from Wimbledon is more than she can ever win on the court.
BREAKING: Naomi Osaka has withdrawn from Wimbledon. A statement from her team says: "Naomi won’t be playing Wimbledon this year. She is taking some personal time with friends and family. She will be ready for the Olympics and is excited to play in front of her home fans."
Since everyone is talking about CPR these days, I think this is the perfect time to narrate this story. 🧵 In 1880’s the body of a young girl was found in the River Seine in Paris. Her body showed no signs of physical injury, so it was suspected to be death due to suicide.
Some people should read. But they are writing.
It’s time to move on and get closure on this.
Last; here is an incredible story on how Intel gave him a voice; must read - wired.com/2015/01/intel-…
wired.com
How Intel Gave Stephen Hawking a Voice
Stephen Hawking first met Gordon Moore, the cofounder of Intel, at a conference in 1997. Moore noticed that Hawking’s computer, which he used to communicate, had an AMD processor and asked him if he...
I cannot ease your aching heart, Nor take your pain away But let me stay & take your hand And walk with you today I'm here and I will stand by you, On each hill you have to climb; So take my hand, let's face the world And live just one day at a time ~ Anon #CovidIndia #Friends
And for those who r feeling like this today….remember there r so many other days…Jab Charlie Met Snoopy
My producer just sent me this... ABSOLUTELY INCREDIBLE! This makes every hard day worth it. Thank you to whomever wrote it!!❤️❤️❤️❤️❤️❤️
United States Trends
- 1. #WWERaw 70.9K posts
- 2. Brock 38.6K posts
- 3. Panthers 37.2K posts
- 4. Bryce 20.7K posts
- 5. Finch 14.6K posts
- 6. Timberwolves 3,593 posts
- 7. 49ers 40.7K posts
- 8. Canales 13.3K posts
- 9. Gonzaga 3,874 posts
- 10. Keegan Murray 1,239 posts
- 11. #FTTB 5,687 posts
- 12. Penta 10.4K posts
- 13. Mac Jones 4,905 posts
- 14. Niners 5,748 posts
- 15. Zags N/A
- 16. Amen Thompson 2,013 posts
- 17. #KeepPounding 5,344 posts
- 18. Malik Monk N/A
- 19. Gunther 15.1K posts
- 20. Streaming 2.0 2,238 posts
Something went wrong.
Something went wrong.