pocusnet's profile picture.

pocus online

@pocusnet

pocus online reposted

#POCUS #useit app RUSH Protocol

pocus_today's tweet image. #POCUS #useit app
RUSH Protocol

pocus online reposted

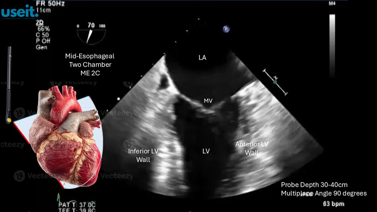
#TEE #useit ME2C View

pocus_today's tweet image. #TEE #useit
ME2C View

pocus online reposted

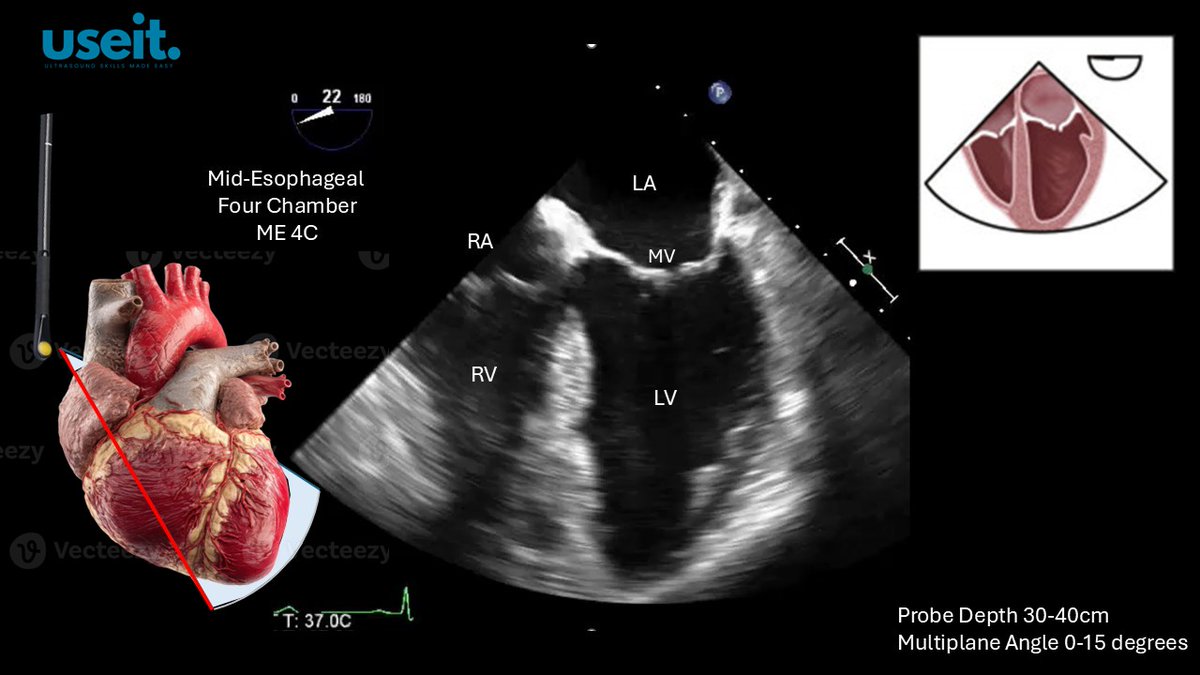
The ME4C view is obtained at a probe depth of between 30-40cm. The multiplane angle is set at between 0-15 degrees. All 4 cardiac chambers can be seen. The beam should pass throught the apex of the heart. #useit mobile app #TEE #POCUS

pocus_today's tweet image. The ME4C view is obtained at a probe depth of between 30-40cm. The multiplane angle is set at between 0-15 degrees. All 4 cardiac chambers can be seen. The beam should pass throught the apex of the heart. 
#useit mobile app
#TEE
#POCUS

pocus online reposted

Basic Perioperative TEE - 11 Basic Views #useit #POCUS #TEE

pocus_today's tweet image. Basic Perioperative TEE - 11 Basic Views
#useit
#POCUS
#TEE

pocus online reposted

11 Basic TEE Views #useit #POCUS Source: onlinejase.com/article/S0894-…

pocus_today's tweet image. 11 Basic TEE Views
#useit #POCUS 

Source: onlinejase.com/article/S0894-…

pocus online reposted

#useit #POCUS Focused Cardiac Ultrasound Findings in Common Scenarios

pocus_today's tweet image. #useit #POCUS Focused Cardiac Ultrasound Findings in Common Scenarios

pocus online reposted

#POCUS #useit Focused Cardiac Ultrasound Views

pocus_today's tweet image. #POCUS #useit
Focused Cardiac Ultrasound Views

pocus online reposted

PSAX Aortic Level #useit #POCUS

pocus_today's tweet image. PSAX Aortic Level
#useit
#POCUS

pocus online reposted

#POCUS #useit RUSH Protocol - Pump, Tank and Pipes SHOCK Evaluation de-intensivist.nl/wp-content/upl…

pocus_today's tweet image. #POCUS #useit RUSH Protocol - Pump, Tank and Pipes 
SHOCK Evaluation

de-intensivist.nl/wp-content/upl…

pocus online reposted

To appropriately manage volume overload, we need to identify it. After all, it's not just the heart and lungs that get beaten up by resuscitation. This paper evaluates VExUS as the literature supporting it. 🎩 tip to the authors. eddyjoemd.com/foamed

eddyjoemd's tweet image. To appropriately manage volume overload, we need to identify it. After all, it's not just the heart and lungs that get beaten up by resuscitation. This paper evaluates VExUS as the literature supporting it. 🎩 tip to the authors.
eddyjoemd.com/foamed

pocus online reposted

RUSH Protocol - Shock Evaluation - Pump, Tank and Pipes #useit #POCUS #FOAMed

pocus_today's tweet image. RUSH Protocol - Shock Evaluation - Pump, Tank and Pipes
#useit #POCUS 
#FOAMed

pocus online reposted

Focused Cardiac Ultrasound #POCUS #useit


pocus online reposted
pocus_today's tweet image. Focused Cardiac Ultrasound
#POCUS
#useit
@anaesthesiaNUHS @SGSocAnaes @echo_periop

pocus online reposted

#useit #POCUS Gain Setting & TGC. Basic ultrasound knobology to optimise your images. Image Source: eimedical.com/blog/understan…

pocus_today's tweet image. #useit #POCUS  Gain Setting & TGC. Basic ultrasound knobology to optimise your images.

Image Source: eimedical.com/blog/understan…

pocus online reposted

Recently concluded @SCCM adult critical care ultrasound workshop at @anaesthesiaNUHS Thank you to all faculty and organisers. @pritanand @SGSocAnaes

pocus_today's tweet image. Recently concluded @SCCM adult critical care ultrasound workshop at @anaesthesiaNUHS 
Thank you to all faculty and organisers. 
@pritanand @SGSocAnaes
pocus_today's tweet image. Recently concluded @SCCM adult critical care ultrasound workshop at @anaesthesiaNUHS 
Thank you to all faculty and organisers. 
@pritanand @SGSocAnaes
pocus_today's tweet image. Recently concluded @SCCM adult critical care ultrasound workshop at @anaesthesiaNUHS 
Thank you to all faculty and organisers. 
@pritanand @SGSocAnaes
pocus_today's tweet image. Recently concluded @SCCM adult critical care ultrasound workshop at @anaesthesiaNUHS 
Thank you to all faculty and organisers. 
@pritanand @SGSocAnaes

pocus online reposted
pocus_today's tweet image. #useit
#POCUS

pocus online reposted
pocus_today's tweet image. #useit
#POCUS

pocus online reposted

Acoustic Shadow and Acoustic Enhancement #POCUS #useit

pocus_today's tweet image. Acoustic Shadow and Acoustic Enhancement
#POCUS #useit

pocus online reposted

pocus online reposted

Ultrasound Machine Knobology #useit #POCUS

pocus_today's tweet image. Ultrasound Machine Knobology
#useit
#POCUS

Loading...

Something went wrong.


Something went wrong.