sohailahmedmarr's profile picture. ⚕ “Ya Allah forbid me to die unless you’re pleased.”

Dr. SohailAhmedMarri

@sohailahmedmarr

⚕ “Ya Allah forbid me to die unless you’re pleased.”

Dr. SohailAhmedMarri reposted

Location of enlarged lymph node and associated disease 📖 Infectious Diseases: Expert Consult

schowardjd's tweet image. Location of enlarged lymph node and associated disease

📖 Infectious Diseases: Expert Consult

Dr. SohailAhmedMarri reposted

Why a normal healthy teenager uses this Drug 💔⁉️

IhabFathiSulima's tweet image. Why a normal healthy teenager uses this Drug 💔⁉️

Dr. SohailAhmedMarri reposted
doctors_squad's tweet image.

Dr. SohailAhmedMarri reposted

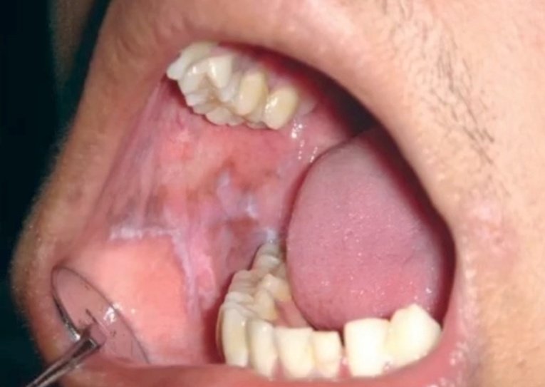
What is the most likely diagnosis❓ A. Oral Lichen Planus B. Oral Candidiasis C. Leukoplakia D. Aphthous Ulcer

nervemed's tweet image. What is the most likely diagnosis❓

A. Oral Lichen Planus
B. Oral Candidiasis
C. Leukoplakia
D. Aphthous Ulcer

Dr. SohailAhmedMarri reposted

No fever. No pus Just brutal neuropathic pain and this rash Diagnosis?


Dr. SohailAhmedMarri reposted

This lesion LOVES kids and immunocompromised adults What is it?

docxusofficial's tweet image. This lesion LOVES kids and immunocompromised adults

What is it?

Dr. SohailAhmedMarri reposted
nervemed's tweet image.

Dr. SohailAhmedMarri reposted

#Cloudy_eyes . What is the syndrome? #MedTwitter

IhabFathiSulima's tweet image. #Cloudy_eyes .
What is the syndrome?
#MedTwitter

Dr. SohailAhmedMarri reposted

Which virus❓️

DrAkhilX's tweet image. Which virus❓️

Dr. SohailAhmedMarri reposted

Patient with fungal pneumonia. What is it❓️

DrAkhilX's tweet image. Patient with fungal pneumonia.

What is it❓️

Dr. SohailAhmedMarri reposted

Name the antibiotic ??

Doctors__squad's tweet image. Name the antibiotic ??

Dr. SohailAhmedMarri reposted

What is the diagnosis?

IhabFathiSulima's tweet image. What is the diagnosis?

Dr. SohailAhmedMarri reposted

No Complaints. Diagnosis?

modernHealthMe's tweet image. No Complaints.

Diagnosis?

Dr. SohailAhmedMarri reposted

History of severe Diarrhea and wheezing. What is the diagnosis?

IhabFathiSulima's tweet image. History of severe Diarrhea and wheezing.
What is the diagnosis?

Dr. SohailAhmedMarri reposted

What is the diagnosis?

IhabFathiSulima's tweet image. What is the diagnosis?

Dr. SohailAhmedMarri reposted

Short scenario. A Man Gets Diarrhea then become paralyzed. What is the diagnosis? What is the Differential? What is the cause of Diarrhea?

IhabFathiSulima's tweet image. Short scenario.
A Man Gets Diarrhea then become paralyzed.
What is the diagnosis?
What is the Differential?
What is the cause of Diarrhea?

Dr. SohailAhmedMarri reposted

Which of the following diabetes drugs can cause genital yeast infections.? A) Metformin B) Glimepiride C) Empagliflozin D) Pioglitazone


United States Trends

Loading...

Something went wrong.


Something went wrong.