vetpathnerd's profile picture. Veterinary Anatomic Pathologist (DACVP), diagnostic, domestic & exotic. ❤️ my job. RT does not = agreement/endorsement/advice

Cara Levine (Pillitteri)

@vetpathnerd

Veterinary Anatomic Pathologist (DACVP), diagnostic, domestic & exotic. ❤️ my job. RT does not = agreement/endorsement/advice

مثبتة

Best part of this job is that I get to help make pathology better for pathologists.


Cara Levine (Pillitteri) أعاد

Still my favorite 3D reconstruction of a pancreatic tissue. Using the CODA workflow, we mapped a billion individual cells in 3D. Red: pre-cancer lesions Navy blue: ducts Light blue: islets of Langerhans Purple: acini Green: blood vessels More here: nature.com/articles/s4158…


Cara Levine (Pillitteri) أعاد

Hypertrophic Cardiomyopathy - You Can’t Miss These Facts

docxusofficial's tweet image. Hypertrophic Cardiomyopathy - You Can’t Miss These Facts

Young athlete collapses mid-game Autopsy shows this Diagnosis?

docxusofficial's tweet image. Young athlete collapses mid-game

Autopsy shows this

Diagnosis?


Cara Levine (Pillitteri) أعاد

A Patient with Cardiomyopathy died. What is the diagnosis⁉️ What is the Circled lesion ⁉️

IhabFathiSulima's tweet image. A Patient with Cardiomyopathy died.
What is the diagnosis⁉️
What is the Circled lesion ⁉️

Cara Levine (Pillitteri) أعاد

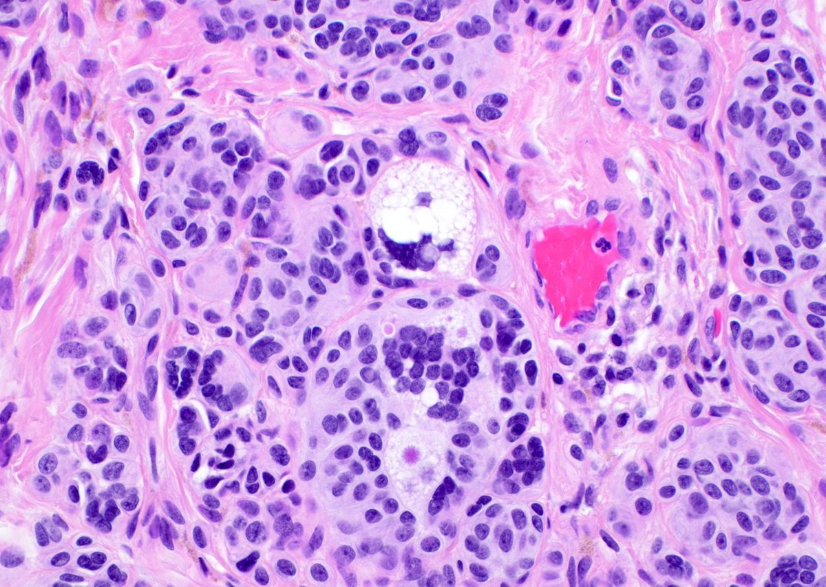
What are the bubbly cells? (hint: they're NOT sebocytes or lipoblasts!) What is the pink dot in the cytoplasm? Diagnosis? Answers ✅ youtu.be/DqLK6ZvNXTU #pathology #pathologists #pathTwitter #dermpath #dermatology #dermatologia #dermtwitter

JMGardnerMD's tweet image. What are the bubbly cells? (hint: they're NOT sebocytes or lipoblasts!) 
What is the pink dot in the cytoplasm? Diagnosis?
Answers ✅ youtu.be/DqLK6ZvNXTU 
#pathology #pathologists #pathTwitter #dermpath #dermatology #dermatologia #dermtwitter

Cara Levine (Pillitteri) أعاد

WHO classification of skin tumours: key updates in the fifth edition - Goldman‐Lévy - Histopathology - Wiley Online Library #dermpath #WHO #openaccess onlinelibrary.wiley.com/doi/10.1111/hi…


Cara Levine (Pillitteri) أعاد

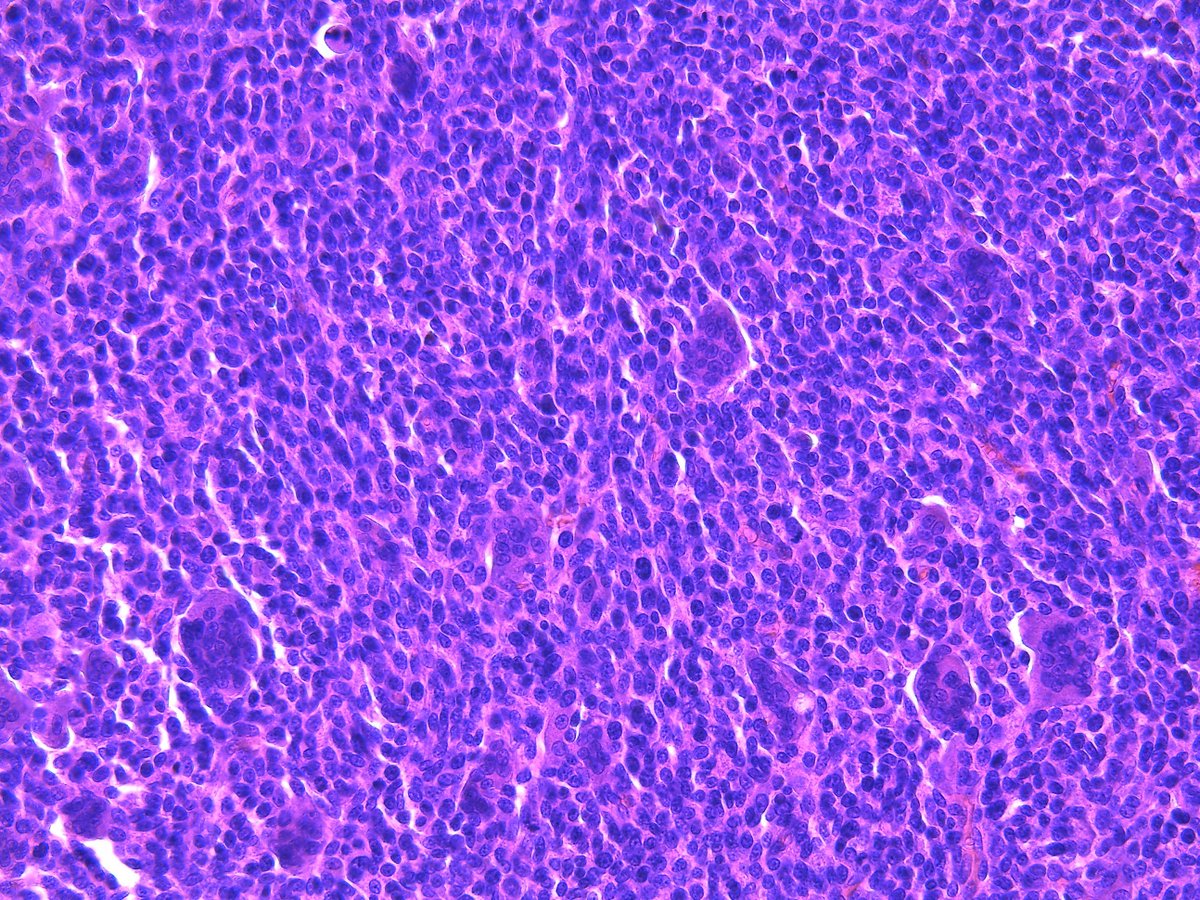
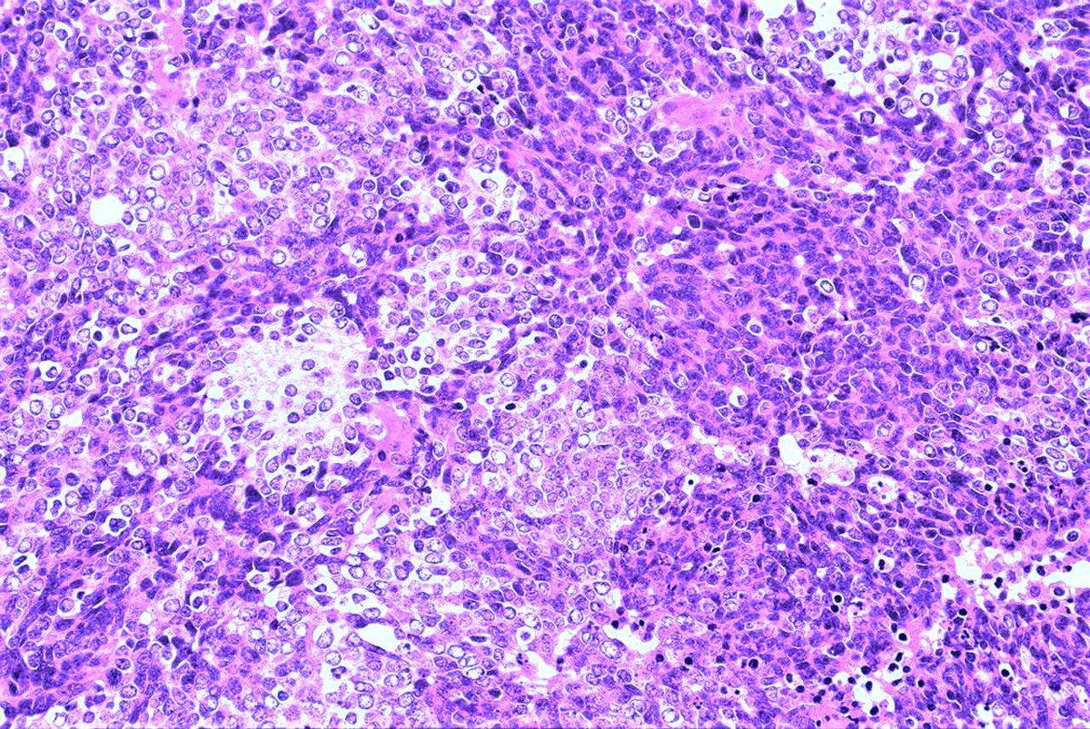
Calling Team #VetPath!

Can you make a #diagnosis of this tumor with nothing but a single H&E image? (Coming from me, at least you can reasonably assume it’s #neuropath related!). 🧠🔬

JaredAhrendsen's tweet image. Can you make a #diagnosis of this tumor with nothing but a single H&E image? (Coming from me, at least you can reasonably assume it’s #neuropath related!). 🧠🔬


Cara Levine (Pillitteri) أعاد

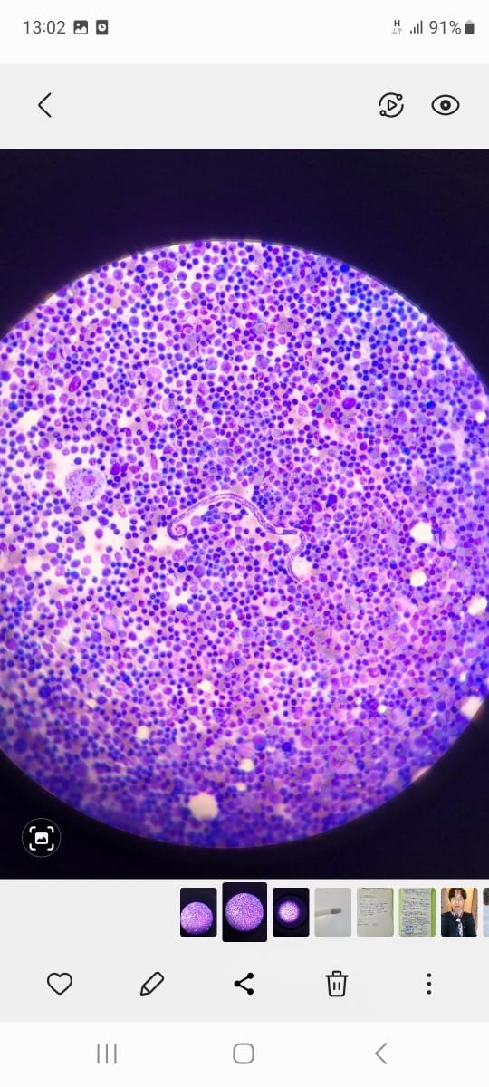
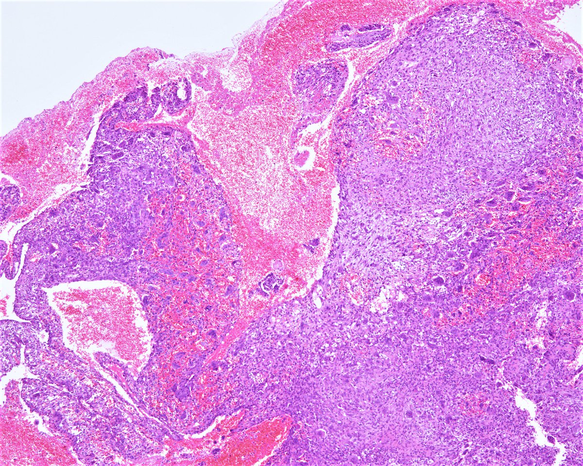
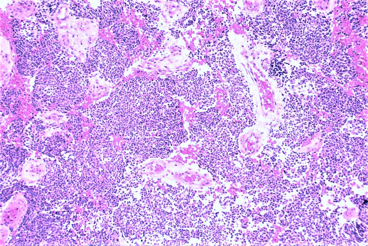
Puncture of the cervical lymph node...

rep692's tweet image. Puncture of the cervical lymph node...

Cara Levine (Pillitteri) أعاد

Giraffe skin disease: Clinicopathologic characterization of cutaneous filariasis in the critically endangered Nubian giraffe @VetPathSurrey @LauraSetyo @olkazuraw @priya_sharp @vetpathnerd What is an interesting disease you've diagnosed? #vetpath pubmed.ncbi.nlm.nih.gov/35311406/


Covid-19 lung, H&E

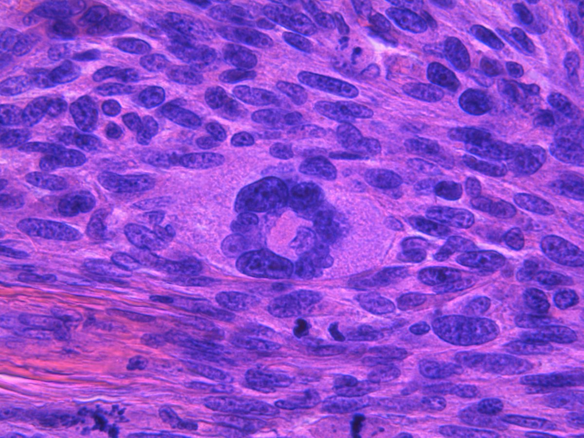
Can you make a #diagnosis of this tumor with nothing but a single H&E image? (Coming from me, at least you can reasonably assume it’s #neuropath related!). 🧠🔬

JaredAhrendsen's tweet image. Can you make a #diagnosis of this tumor with nothing but a single H&E image? (Coming from me, at least you can reasonably assume it’s #neuropath related!). 🧠🔬


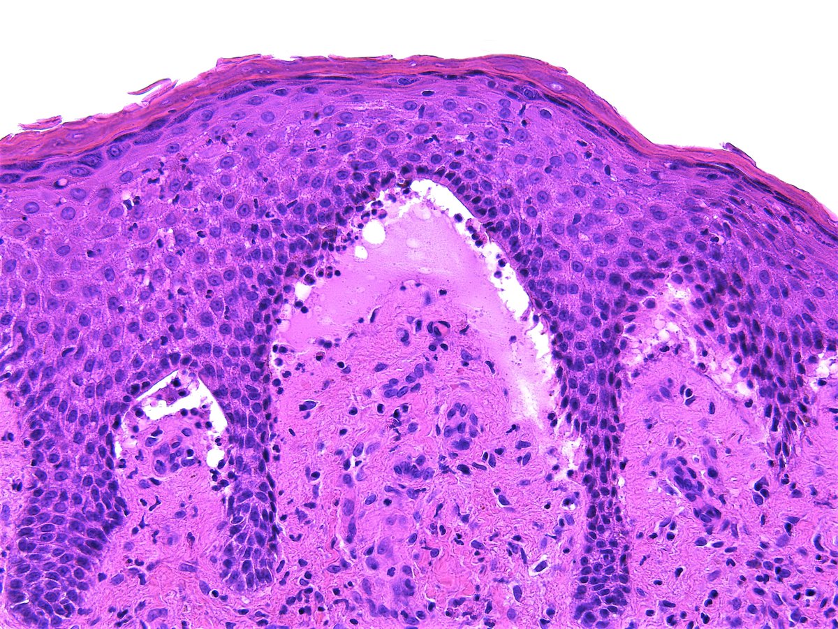
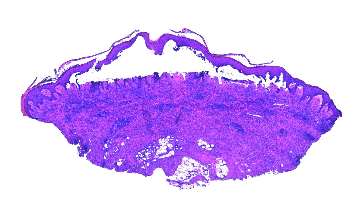
A flower from a crusty dog... beauty in everything #vetpath #pathart

vetpathnerd's tweet image. A flower from a crusty dog... beauty in everything #vetpath #pathart

Cara Levine (Pillitteri) أعاد

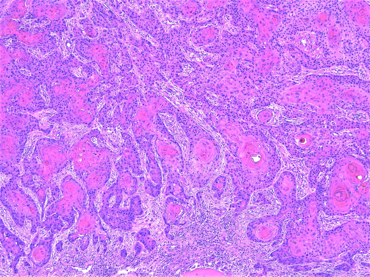
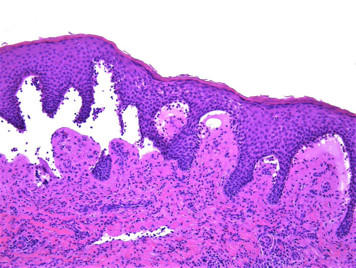
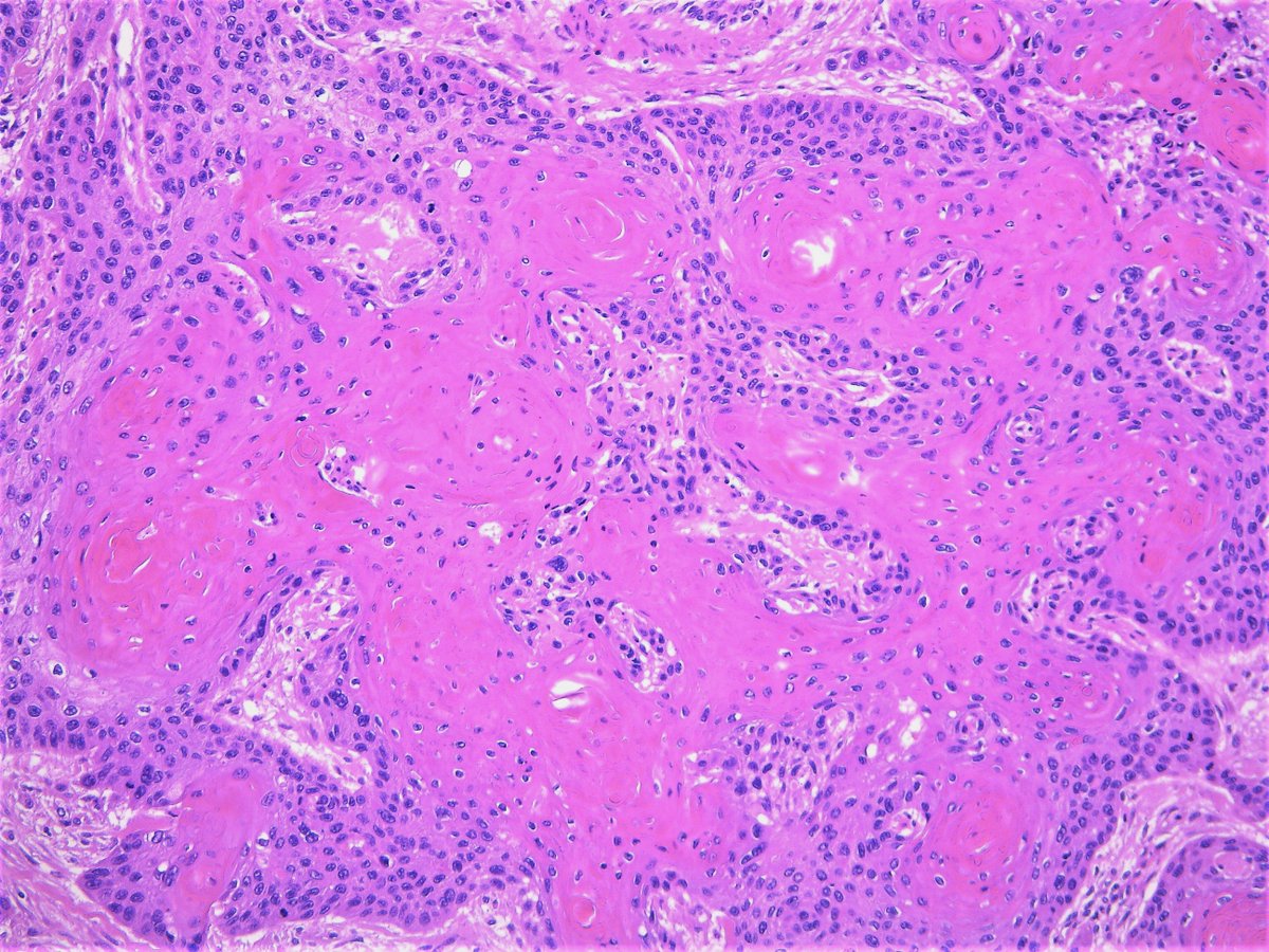
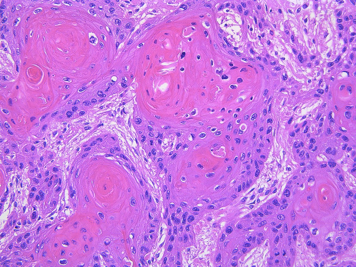
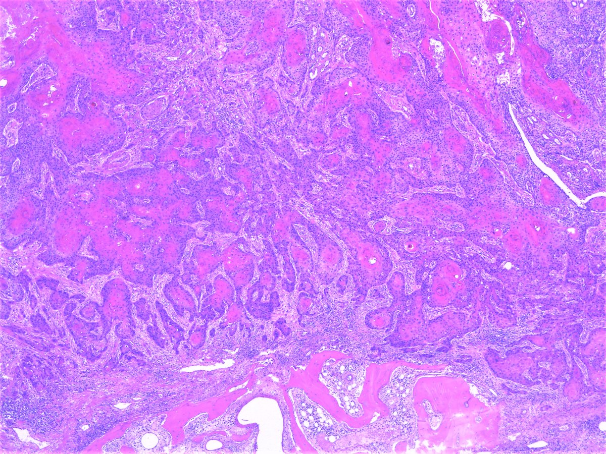
Squamous cell carcinoma, well differentiated type. External ear canal, resection. #pathology #ENTpath

Patholwalker's tweet image. Squamous cell carcinoma, well differentiated type. External ear canal, resection. #pathology #ENTpath
Patholwalker's tweet image. Squamous cell carcinoma, well differentiated type. External ear canal, resection. #pathology #ENTpath
Patholwalker's tweet image. Squamous cell carcinoma, well differentiated type. External ear canal, resection. #pathology #ENTpath
Patholwalker's tweet image. Squamous cell carcinoma, well differentiated type. External ear canal, resection. #pathology #ENTpath

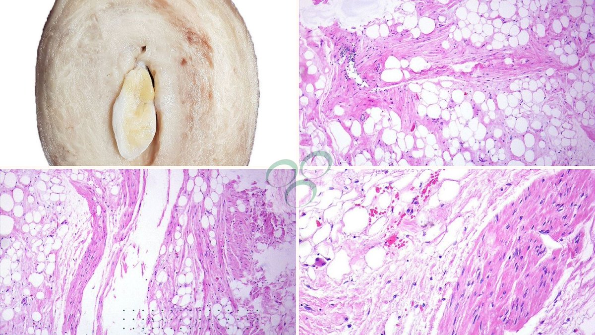
Cara Levine (Pillitteri) أعاد

A nice uterine lipoleiomyoma. #gynpath #pathology

GeronimoJrLapac's tweet image. A nice uterine lipoleiomyoma.
#gynpath #pathology

Cara Levine (Pillitteri) أعاد

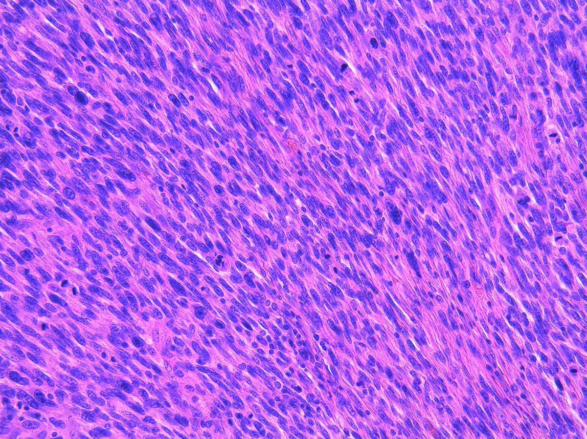
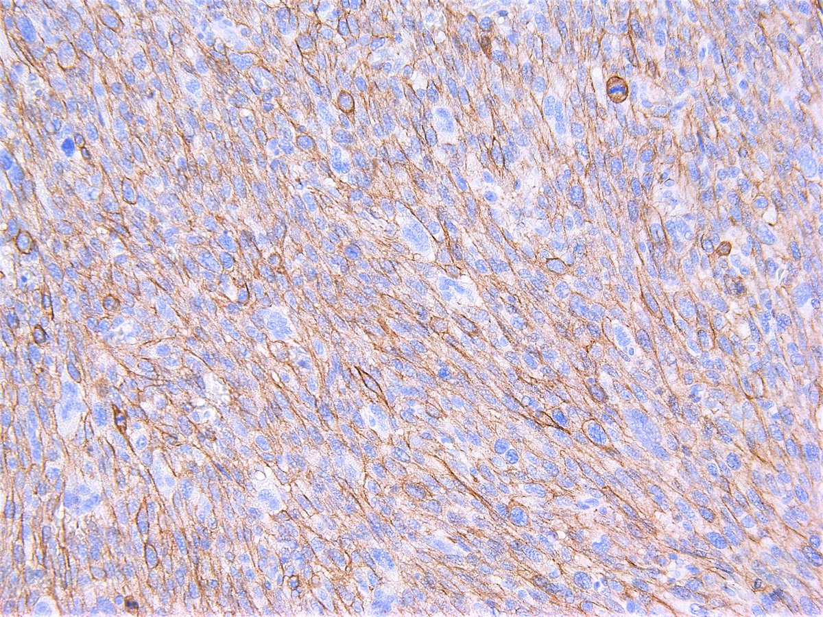
Leiomyosarcoma. Soft tissue, resection. HE and Caldesmon. #pathology #BSTpath

Patholwalker's tweet image. Leiomyosarcoma. Soft tissue, resection. HE and Caldesmon. #pathology #BSTpath
Patholwalker's tweet image. Leiomyosarcoma. Soft tissue, resection. HE and Caldesmon. #pathology #BSTpath
Patholwalker's tweet image. Leiomyosarcoma. Soft tissue, resection. HE and Caldesmon. #pathology #BSTpath
Patholwalker's tweet image. Leiomyosarcoma. Soft tissue, resection. HE and Caldesmon. #pathology #BSTpath

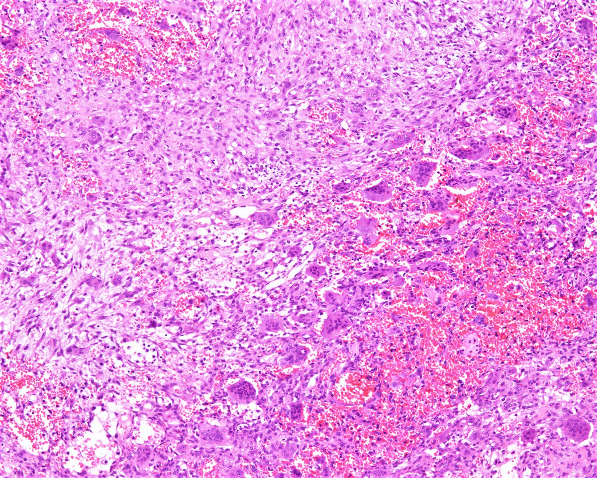
Cara Levine (Pillitteri) أعاد

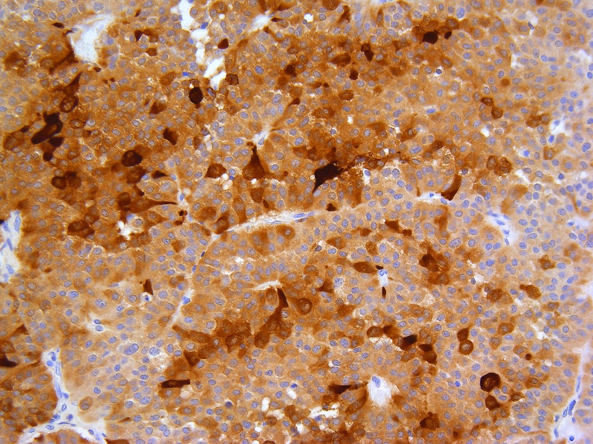
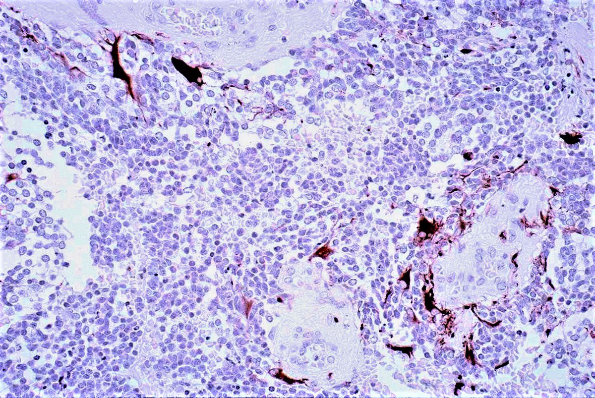
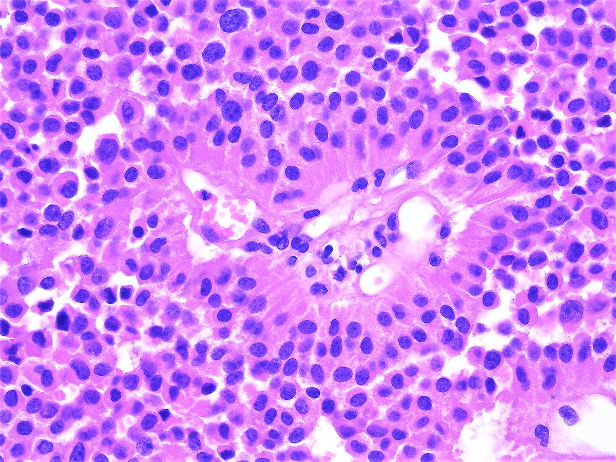
Pituitary adenoma. Pituitary gland, hypophysectomy. HE and lutenizing hormon. #pathology #Neuropath #Endopath

Patholwalker's tweet image. Pituitary adenoma. Pituitary gland, hypophysectomy. HE and lutenizing hormon. #pathology #Neuropath #Endopath
Patholwalker's tweet image. Pituitary adenoma. Pituitary gland, hypophysectomy. HE and lutenizing hormon. #pathology #Neuropath #Endopath
Patholwalker's tweet image. Pituitary adenoma. Pituitary gland, hypophysectomy. HE and lutenizing hormon. #pathology #Neuropath #Endopath

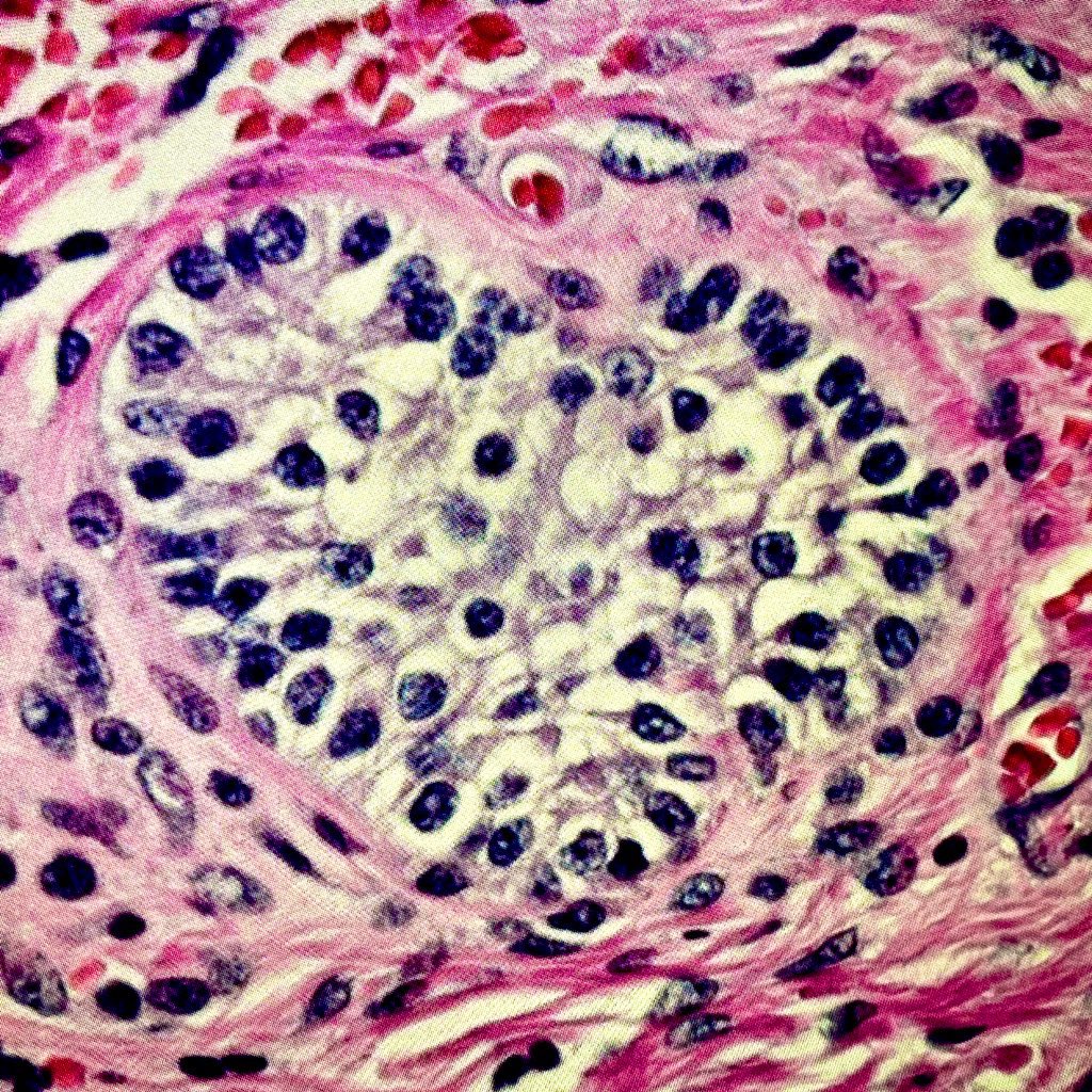
Cara Levine (Pillitteri) أعاد

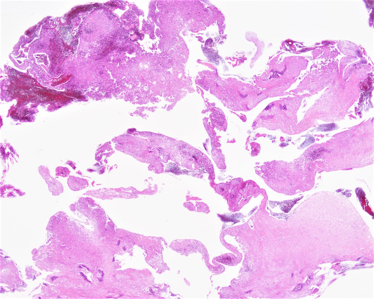
Aneurysmal bone cyst. Humeral bone, curettage. HE stain. #pathology #BSTpath

Patholwalker's tweet image. Aneurysmal bone cyst. Humeral bone, curettage. HE stain. #pathology #BSTpath
Patholwalker's tweet image. Aneurysmal bone cyst. Humeral bone, curettage. HE stain. #pathology #BSTpath
Patholwalker's tweet image. Aneurysmal bone cyst. Humeral bone, curettage. HE stain. #pathology #BSTpath
Patholwalker's tweet image. Aneurysmal bone cyst. Humeral bone, curettage. HE stain. #pathology #BSTpath

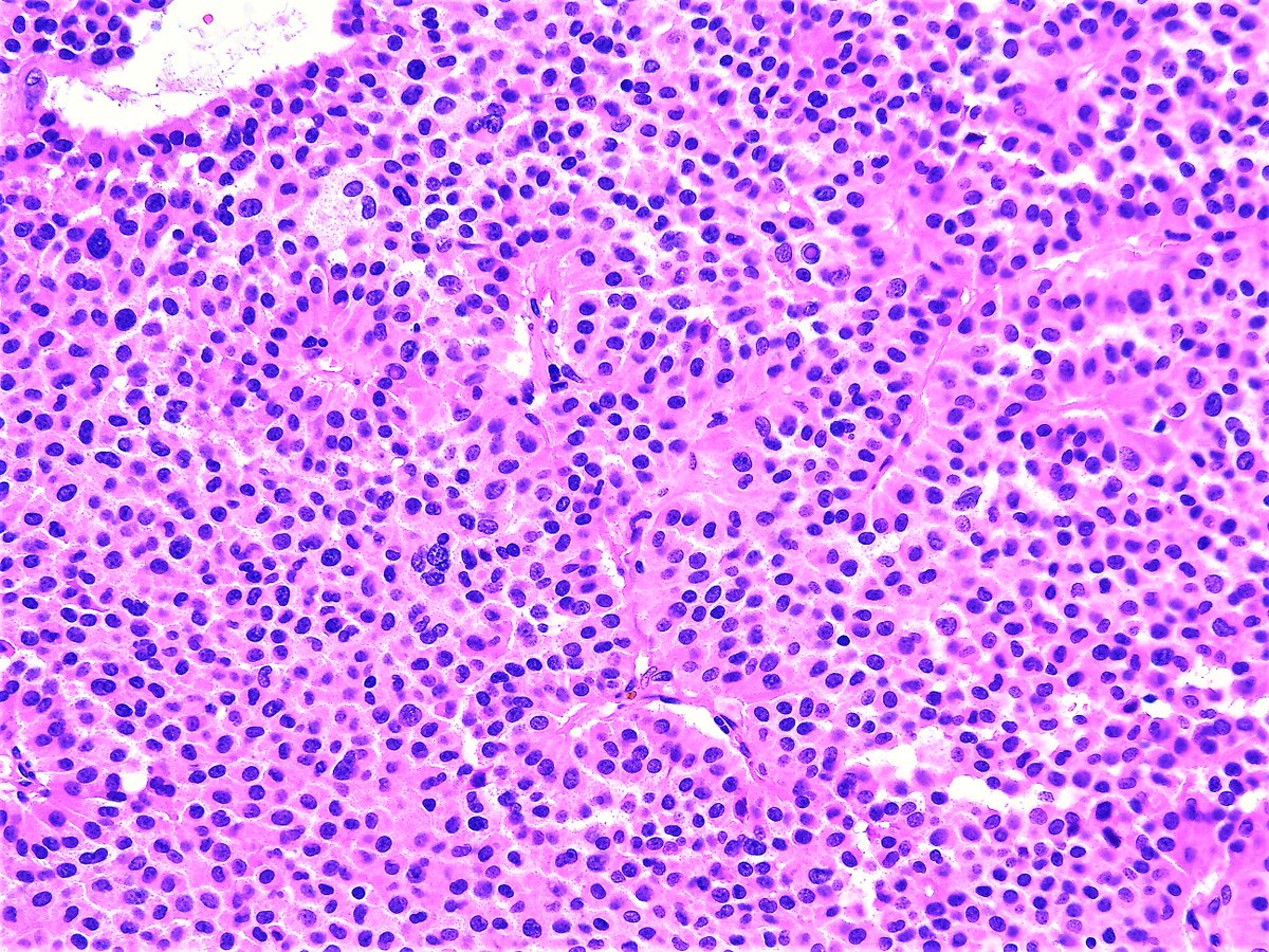
Cara Levine (Pillitteri) أعاد

Medulloblastoma, NOS, WHO grade IV. Cerebellum, tumorectomy. HE and GFAP. #pathology #neuropath

Patholwalker's tweet image. Medulloblastoma, NOS, WHO grade IV. Cerebellum, tumorectomy. HE and GFAP. #pathology #neuropath
Patholwalker's tweet image. Medulloblastoma, NOS, WHO grade IV. Cerebellum, tumorectomy. HE and GFAP. #pathology #neuropath
Patholwalker's tweet image. Medulloblastoma, NOS, WHO grade IV. Cerebellum, tumorectomy. HE and GFAP. #pathology #neuropath
Patholwalker's tweet image. Medulloblastoma, NOS, WHO grade IV. Cerebellum, tumorectomy. HE and GFAP. #pathology #neuropath

United States الاتجاهات

Loading...

Something went wrong.


Something went wrong.