#fammed 搜尋結果

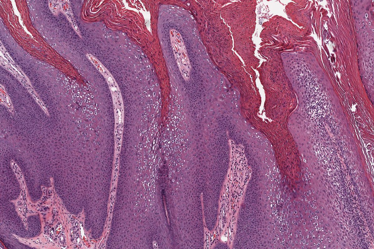
I am a great mimic of basal cell carcinoma. I am a hair follicle tumor. I am seen generally on the face, and some versions of me, I look like a paisley tie. Who am I? 🤔 #pathx #dermpath #fammed #medx #pathtwitter #path4people #pathagonia

Path4People's tweet image. I am a great mimic of basal cell carcinoma.

I am a hair follicle tumor.

I am seen generally on the face, and some versions of me, I look like a paisley tie.  

Who am I? 🤔 

#pathx #dermpath #fammed #medx #pathtwitter #path4people #pathagonia
Path4People's tweet image. I am a great mimic of basal cell carcinoma.

I am a hair follicle tumor.

I am seen generally on the face, and some versions of me, I look like a paisley tie.  

Who am I? 🤔 

#pathx #dermpath #fammed #medx #pathtwitter #path4people #pathagonia
Path4People's tweet image. I am a great mimic of basal cell carcinoma.

I am a hair follicle tumor.

I am seen generally on the face, and some versions of me, I look like a paisley tie.  

Who am I? 🤔 

#pathx #dermpath #fammed #medx #pathtwitter #path4people #pathagonia
Path4People's tweet image. I am a great mimic of basal cell carcinoma.

I am a hair follicle tumor.

I am seen generally on the face, and some versions of me, I look like a paisley tie.  

Who am I? 🤔 

#pathx #dermpath #fammed #medx #pathtwitter #path4people #pathagonia

What a blessing to go BACK TO THE FUTURE at Joshua’s @BTTFBway Broadway in NYC with Cain, wife of @MayoClinic (my #MC #fammed #1996classmate) Dr. Paul Roberts. Special #shoutout to Joshua’s #MC #PCP since 1999 Dr. Floyd Willis. What a testimony to #Mayo and 4ever #Family!

DRKMBJ34's tweet image. What a blessing to go BACK TO THE FUTURE at Joshua’s @BTTFBway Broadway in NYC with Cain, wife of  @MayoClinic (my #MC #fammed #1996classmate) Dr. Paul Roberts. Special #shoutout to Joshua’s #MC #PCP since 1999 Dr. Floyd Willis.  What a testimony to #Mayo and 4ever #Family!
DRKMBJ34's tweet image. What a blessing to go BACK TO THE FUTURE at Joshua’s @BTTFBway Broadway in NYC with Cain, wife of  @MayoClinic (my #MC #fammed #1996classmate) Dr. Paul Roberts. Special #shoutout to Joshua’s #MC #PCP since 1999 Dr. Floyd Willis.  What a testimony to #Mayo and 4ever #Family!

🩸 Talon Noir 📖 Benign ⚾️ 🏀 🏈 ⚽️ Often seen in athletes 🩺 Brown-black macules on foot, most commonly on heel ⚠️ May mimic melanoma 🔬 Acral skin, hyperkeratosis, hemorrhage in stratum corneum +/- telangiectatic vessels in papillary dermis #dermpath #fammed #path4people

Path4People's tweet image. 🩸 Talon Noir

📖 Benign
⚾️ 🏀 🏈 ⚽️ Often seen in athletes
🩺 Brown-black macules on foot, most commonly on heel
⚠️ May mimic melanoma
🔬  Acral skin, hyperkeratosis, hemorrhage in stratum corneum +/- telangiectatic vessels in papillary dermis

#dermpath #fammed #path4people
Path4People's tweet image. 🩸 Talon Noir

📖 Benign
⚾️ 🏀 🏈 ⚽️ Often seen in athletes
🩺 Brown-black macules on foot, most commonly on heel
⚠️ May mimic melanoma
🔬  Acral skin, hyperkeratosis, hemorrhage in stratum corneum +/- telangiectatic vessels in papillary dermis

#dermpath #fammed #path4people
Path4People's tweet image. 🩸 Talon Noir

📖 Benign
⚾️ 🏀 🏈 ⚽️ Often seen in athletes
🩺 Brown-black macules on foot, most commonly on heel
⚠️ May mimic melanoma
🔬  Acral skin, hyperkeratosis, hemorrhage in stratum corneum +/- telangiectatic vessels in papillary dermis

#dermpath #fammed #path4people
Path4People's tweet image. 🩸 Talon Noir

📖 Benign
⚾️ 🏀 🏈 ⚽️ Often seen in athletes
🩺 Brown-black macules on foot, most commonly on heel
⚠️ May mimic melanoma
🔬  Acral skin, hyperkeratosis, hemorrhage in stratum corneum +/- telangiectatic vessels in papillary dermis

#dermpath #fammed #path4people

ICYMI: The November special edition of the newsletter is available. Check it out! myemail.constantcontact.com/November-2025-… #familymedicine #primarycare #fammed #FMresidents #MedicalStudents #medstudent

FMEC_'s tweet image. ICYMI: The November special edition of the newsletter is available. Check it out!

myemail.constantcontact.com/November-2025-…

#familymedicine #primarycare #fammed #FMresidents #MedicalStudents #medstudent

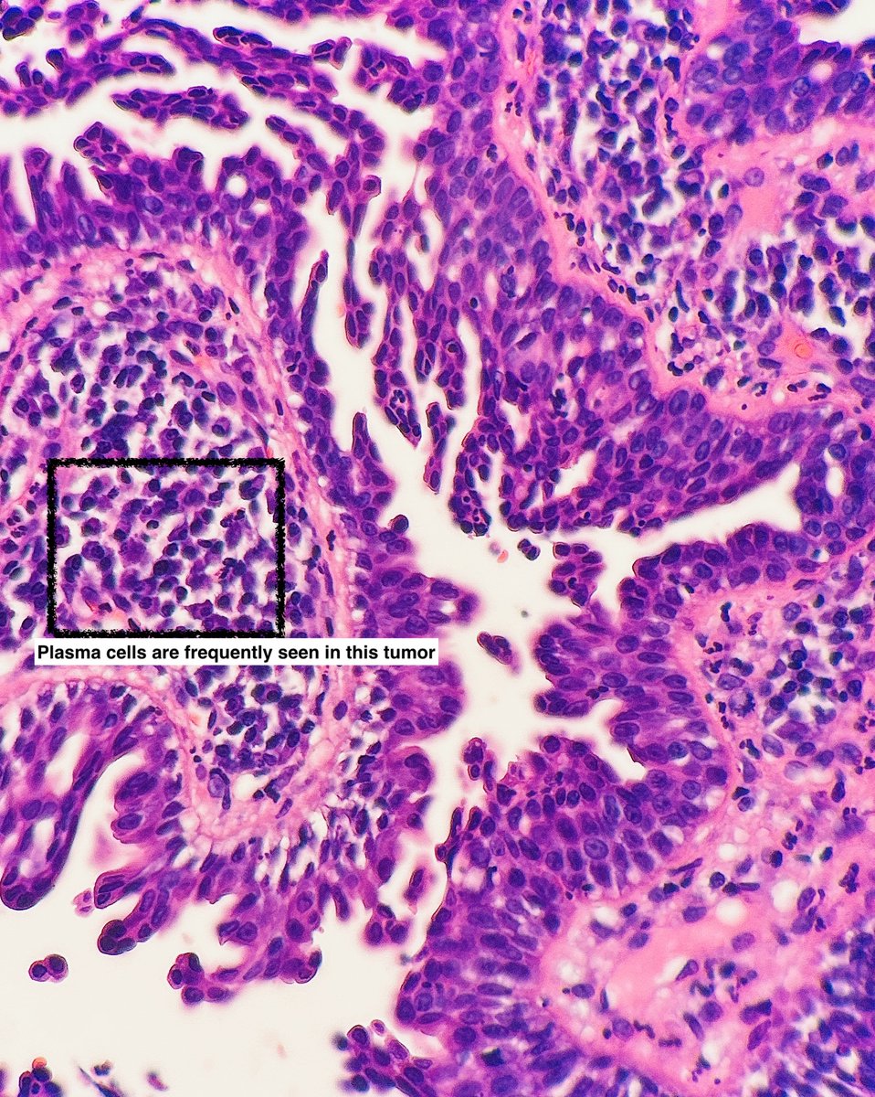
I am a benign, rare adnexal tumor I like to be on the scalp/face and may be associated with nevus sebaceus You may see a lot of plasma cells in me Who am I? 🤔 #pathx #dermpath #fammed #medx #path4people #pathagonia

Path4People's tweet image. I am a benign, rare adnexal tumor

I like to be on the scalp/face and may be associated with nevus sebaceus

You may see a lot of plasma cells in me

Who am I? 🤔 

#pathx #dermpath #fammed #medx #path4people #pathagonia
Path4People's tweet image. I am a benign, rare adnexal tumor

I like to be on the scalp/face and may be associated with nevus sebaceus

You may see a lot of plasma cells in me

Who am I? 🤔 

#pathx #dermpath #fammed #medx #path4people #pathagonia
Path4People's tweet image. I am a benign, rare adnexal tumor

I like to be on the scalp/face and may be associated with nevus sebaceus

You may see a lot of plasma cells in me

Who am I? 🤔 

#pathx #dermpath #fammed #medx #path4people #pathagonia
Path4People's tweet image. I am a benign, rare adnexal tumor

I like to be on the scalp/face and may be associated with nevus sebaceus

You may see a lot of plasma cells in me

Who am I? 🤔 

#pathx #dermpath #fammed #medx #path4people #pathagonia

25 y/o M with a new skin lesion of forearm. What is it? 🤔 📸 Credit: Kelly Hall, MD #pathx #dermpath #fammed #derm

Path4People's tweet image. 25 y/o M with a new skin lesion of forearm.

What is it?  🤔

📸 Credit: Kelly Hall, MD
#pathx #dermpath #fammed #derm
Path4People's tweet image. 25 y/o M with a new skin lesion of forearm.

What is it?  🤔

📸 Credit: Kelly Hall, MD
#pathx #dermpath #fammed #derm
Path4People's tweet image. 25 y/o M with a new skin lesion of forearm.

What is it?  🤔

📸 Credit: Kelly Hall, MD
#pathx #dermpath #fammed #derm

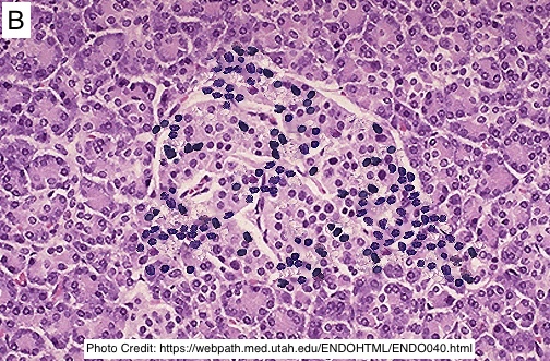
Which Islet of Langerhans would you see in someone with Diabetes Mellitus Type I v. Type II? 🤔 #pathx #endocrine #fammed #medstudent #pathology

Path4People's tweet image. Which Islet of Langerhans would you see in someone with Diabetes Mellitus Type I v. Type II?
🤔 

#pathx #endocrine #fammed #medstudent #pathology
Path4People's tweet image. Which Islet of Langerhans would you see in someone with Diabetes Mellitus Type I v. Type II?
🤔 

#pathx #endocrine #fammed #medstudent #pathology

I am a localized form of a systemic process I look like a "square" in punch biopsies I have a spectrum of change but classically show thick collagen, entrapped/atrophic adnexa+/- perivascular and periadnexal inflammation (esp if earlier) Who am I? 🤔#dermpath #fammed #pathx

Path4People's tweet image. I am a localized form of a systemic process

I look like a "square" in punch biopsies

I have a spectrum of change but classically show thick collagen, entrapped/atrophic adnexa+/- perivascular and periadnexal inflammation (esp if earlier)

Who am I? 

🤔#dermpath #fammed #pathx
Path4People's tweet image. I am a localized form of a systemic process

I look like a "square" in punch biopsies

I have a spectrum of change but classically show thick collagen, entrapped/atrophic adnexa+/- perivascular and periadnexal inflammation (esp if earlier)

Who am I? 

🤔#dermpath #fammed #pathx
Path4People's tweet image. I am a localized form of a systemic process

I look like a "square" in punch biopsies

I have a spectrum of change but classically show thick collagen, entrapped/atrophic adnexa+/- perivascular and periadnexal inflammation (esp if earlier)

Who am I? 

🤔#dermpath #fammed #pathx

Learn about Dr. Olusunmisola “Sumi” Oyesiku's experience in rural family medicine. Here's her advice: 💞 Embrace unique opportunities 💪 Use your background as a strength 🚀 Enjoy the impactful nature of family medicine Learn more about #fammed careers: ter.li/02ymj1


Can we talk about the confusion of Malassezia species 🍝 😵‍💫 It's normal flora in skin and loves Olive 🫒 oil. But when it overgrows it's called Pityriasis versicolor AND/OR Tinea versicolor. Why not just call it Malassezia versicolor? 🫤 🤷 #pathx #medx #fammed #dermpath

Path4People's tweet image. Can we talk about the confusion of Malassezia species 🍝 😵‍💫 

It's normal flora in skin and loves Olive 🫒 oil.

But when it overgrows it's called Pityriasis versicolor AND/OR Tinea versicolor.

Why not just call it Malassezia versicolor?  🫤 🤷 

#pathx #medx #fammed #dermpath
Path4People's tweet image. Can we talk about the confusion of Malassezia species 🍝 😵‍💫 

It's normal flora in skin and loves Olive 🫒 oil.

But when it overgrows it's called Pityriasis versicolor AND/OR Tinea versicolor.

Why not just call it Malassezia versicolor?  🫤 🤷 

#pathx #medx #fammed #dermpath
Path4People's tweet image. Can we talk about the confusion of Malassezia species 🍝 😵‍💫 

It's normal flora in skin and loves Olive 🫒 oil.

But when it overgrows it's called Pityriasis versicolor AND/OR Tinea versicolor.

Why not just call it Malassezia versicolor?  🫤 🤷 

#pathx #medx #fammed #dermpath

🪵 Splinter Granuloma 🔬 Foreign body reaction to microscopic plant material 🦠 Often times has "passenger" fungi ⚠️ Be concerned when fungi is away from plant material 🔬 ⬇️ #pathx #dermpath #fammed #pathology #medicine #medx #histology #splinter

Path4People's tweet image. 🪵 Splinter Granuloma

🔬 Foreign body reaction to microscopic plant material
🦠 Often times has "passenger" fungi 
⚠️ Be concerned when fungi is away from plant material
🔬 ⬇️ 

#pathx #dermpath #fammed #pathology #medicine #medx #histology #splinter
Path4People's tweet image. 🪵 Splinter Granuloma

🔬 Foreign body reaction to microscopic plant material
🦠 Often times has "passenger" fungi 
⚠️ Be concerned when fungi is away from plant material
🔬 ⬇️ 

#pathx #dermpath #fammed #pathology #medicine #medx #histology #splinter

Real talk. Do people actually know this answer? Never heard or seen a question of the sorts? #acofp #fammed

jayfrankyo's tweet image. Real talk. Do people actually know this answer? Never heard or seen a question of the sorts? #acofp #fammed

A distinction I had forgotten; they are somewhat similar but different What is A, what is B? Both triggered by cold. One has a "white blue red" skin change and brief. The other has red bumps, itchiness and can lead to blisters, and last for weeks. #pathx #fammed #dermpath

Path4People's tweet image. A distinction I had forgotten; they are somewhat similar but different

What is A, what is B?  

Both triggered by cold.  One has a "white blue red" skin change and brief.  The other has red bumps, itchiness and can lead to blisters, and last for weeks.

#pathx #fammed #dermpath
Path4People's tweet image. A distinction I had forgotten; they are somewhat similar but different

What is A, what is B?  

Both triggered by cold.  One has a "white blue red" skin change and brief.  The other has red bumps, itchiness and can lead to blisters, and last for weeks.

#pathx #fammed #dermpath
Path4People's tweet image. A distinction I had forgotten; they are somewhat similar but different

What is A, what is B?  

Both triggered by cold.  One has a "white blue red" skin change and brief.  The other has red bumps, itchiness and can lead to blisters, and last for weeks.

#pathx #fammed #dermpath

Just read a sad news, my former Family Medicine Resident and her family are asking for your help on her current medical condition. She's one of the most kindest resident I've work with. I hope this could reach to people who'll help Dr Raine Reyes. #FamilyMedicine #FamMed #RT

pauloMDtweets's tweet image. Just read a sad news, my former Family Medicine Resident and her family are asking for your help on her current medical condition. She's one of the most kindest resident I've work with. I hope this could reach to people who'll help Dr Raine Reyes. #FamilyMedicine #FamMed #RT
pauloMDtweets's tweet image. Just read a sad news, my former Family Medicine Resident and her family are asking for your help on her current medical condition. She's one of the most kindest resident I've work with. I hope this could reach to people who'll help Dr Raine Reyes. #FamilyMedicine #FamMed #RT

ICYMI: The September special edition of the newsletter is available. Check it out! myemail.constantcontact.com/Check-out-FMEC… #familymedicine #primarycare #fammed #FMresidents #MedicalStudents #medstudent

FMEC_'s tweet image. ICYMI: The September special edition of the newsletter is available. Check it out!

myemail.constantcontact.com/Check-out-FMEC…

#familymedicine #primarycare #fammed #FMresidents #MedicalStudents #medstudent

Learn about career opportunities in #fammed by listening to real stories from family physicians about why they chose family medicine, how they provide innovative patient care and more. Watch the replay of the AAMC and AAFP's Careers in Medicine webinar: bit.ly/4fStevD


ICYMI: The November special edition of the newsletter is available. Check it out! myemail.constantcontact.com/November-2025-… #familymedicine #primarycare #fammed #FMresidents #MedicalStudents #medstudent

FMEC_'s tweet image. ICYMI: The November special edition of the newsletter is available. Check it out!

myemail.constantcontact.com/November-2025-…

#familymedicine #primarycare #fammed #FMresidents #MedicalStudents #medstudent

ICYMI ... The November edition of the FMEC in Focus Newsletter is now available. myemail.constantcontact.com/Check-out-FMEC… #familymedicine #primarycare #fammed #FMresidents #MedicalStudents #medstudent

FMEC_'s tweet image. ICYMI ... The November edition of the FMEC in Focus Newsletter is now available. 

myemail.constantcontact.com/Check-out-FMEC…

#familymedicine #primarycare #fammed #FMresidents #MedicalStudents #medstudent

ICYMI: The September special edition of the newsletter is available. Check it out! myemail.constantcontact.com/Check-out-FMEC… #familymedicine #primarycare #fammed #FMresidents #MedicalStudents #medstudent

FMEC_'s tweet image. ICYMI: The September special edition of the newsletter is available. Check it out!

myemail.constantcontact.com/Check-out-FMEC…

#familymedicine #primarycare #fammed #FMresidents #MedicalStudents #medstudent

What a blessing to go BACK TO THE FUTURE at Joshua’s @BTTFBway Broadway in NYC with Cain, wife of @MayoClinic (my #MC #fammed #1996classmate) Dr. Paul Roberts. Special #shoutout to Joshua’s #MC #PCP since 1999 Dr. Floyd Willis. What a testimony to #Mayo and 4ever #Family!

DRKMBJ34's tweet image. What a blessing to go BACK TO THE FUTURE at Joshua’s @BTTFBway Broadway in NYC with Cain, wife of  @MayoClinic (my #MC #fammed #1996classmate) Dr. Paul Roberts. Special #shoutout to Joshua’s #MC #PCP since 1999 Dr. Floyd Willis.  What a testimony to #Mayo and 4ever #Family!
DRKMBJ34's tweet image. What a blessing to go BACK TO THE FUTURE at Joshua’s @BTTFBway Broadway in NYC with Cain, wife of  @MayoClinic (my #MC #fammed #1996classmate) Dr. Paul Roberts. Special #shoutout to Joshua’s #MC #PCP since 1999 Dr. Floyd Willis.  What a testimony to #Mayo and 4ever #Family!

I am a benign, rare adnexal tumor I like to be on the scalp/face and may be associated with nevus sebaceus You may see a lot of plasma cells in me Who am I? 🤔 #pathx #dermpath #fammed #medx #path4people #pathagonia

Path4People's tweet image. I am a benign, rare adnexal tumor

I like to be on the scalp/face and may be associated with nevus sebaceus

You may see a lot of plasma cells in me

Who am I? 🤔 

#pathx #dermpath #fammed #medx #path4people #pathagonia
Path4People's tweet image. I am a benign, rare adnexal tumor

I like to be on the scalp/face and may be associated with nevus sebaceus

You may see a lot of plasma cells in me

Who am I? 🤔 

#pathx #dermpath #fammed #medx #path4people #pathagonia
Path4People's tweet image. I am a benign, rare adnexal tumor

I like to be on the scalp/face and may be associated with nevus sebaceus

You may see a lot of plasma cells in me

Who am I? 🤔 

#pathx #dermpath #fammed #medx #path4people #pathagonia
Path4People's tweet image. I am a benign, rare adnexal tumor

I like to be on the scalp/face and may be associated with nevus sebaceus

You may see a lot of plasma cells in me

Who am I? 🤔 

#pathx #dermpath #fammed #medx #path4people #pathagonia

Which Islet of Langerhans would you see in someone with Diabetes Mellitus Type I v. Type II? 🤔 #pathx #endocrine #fammed #medstudent #pathology

Path4People's tweet image. Which Islet of Langerhans would you see in someone with Diabetes Mellitus Type I v. Type II?
🤔 

#pathx #endocrine #fammed #medstudent #pathology
Path4People's tweet image. Which Islet of Langerhans would you see in someone with Diabetes Mellitus Type I v. Type II?
🤔 

#pathx #endocrine #fammed #medstudent #pathology

Real talk. Do people actually know this answer? Never heard or seen a question of the sorts? #acofp #fammed

jayfrankyo's tweet image. Real talk. Do people actually know this answer? Never heard or seen a question of the sorts? #acofp #fammed

25 y/o M with a new skin lesion of forearm. What is it? 🤔 📸 Credit: Kelly Hall, MD #pathx #dermpath #fammed #derm

Path4People's tweet image. 25 y/o M with a new skin lesion of forearm.

What is it?  🤔

📸 Credit: Kelly Hall, MD
#pathx #dermpath #fammed #derm
Path4People's tweet image. 25 y/o M with a new skin lesion of forearm.

What is it?  🤔

📸 Credit: Kelly Hall, MD
#pathx #dermpath #fammed #derm
Path4People's tweet image. 25 y/o M with a new skin lesion of forearm.

What is it?  🤔

📸 Credit: Kelly Hall, MD
#pathx #dermpath #fammed #derm

🪵 Splinter Granuloma 🔬 Foreign body reaction to microscopic plant material 🦠 Often times has "passenger" fungi ⚠️ Be concerned when fungi is away from plant material 🔬 ⬇️ #pathx #dermpath #fammed #pathology #medicine #medx #histology #splinter

Path4People's tweet image. 🪵 Splinter Granuloma

🔬 Foreign body reaction to microscopic plant material
🦠 Often times has "passenger" fungi 
⚠️ Be concerned when fungi is away from plant material
🔬 ⬇️ 

#pathx #dermpath #fammed #pathology #medicine #medx #histology #splinter
Path4People's tweet image. 🪵 Splinter Granuloma

🔬 Foreign body reaction to microscopic plant material
🦠 Often times has "passenger" fungi 
⚠️ Be concerned when fungi is away from plant material
🔬 ⬇️ 

#pathx #dermpath #fammed #pathology #medicine #medx #histology #splinter

🩸 Talon Noir 📖 Benign ⚾️ 🏀 🏈 ⚽️ Often seen in athletes 🩺 Brown-black macules on foot, most commonly on heel ⚠️ May mimic melanoma 🔬 Acral skin, hyperkeratosis, hemorrhage in stratum corneum +/- telangiectatic vessels in papillary dermis #dermpath #fammed #path4people

Path4People's tweet image. 🩸 Talon Noir

📖 Benign
⚾️ 🏀 🏈 ⚽️ Often seen in athletes
🩺 Brown-black macules on foot, most commonly on heel
⚠️ May mimic melanoma
🔬  Acral skin, hyperkeratosis, hemorrhage in stratum corneum +/- telangiectatic vessels in papillary dermis

#dermpath #fammed #path4people
Path4People's tweet image. 🩸 Talon Noir

📖 Benign
⚾️ 🏀 🏈 ⚽️ Often seen in athletes
🩺 Brown-black macules on foot, most commonly on heel
⚠️ May mimic melanoma
🔬  Acral skin, hyperkeratosis, hemorrhage in stratum corneum +/- telangiectatic vessels in papillary dermis

#dermpath #fammed #path4people
Path4People's tweet image. 🩸 Talon Noir

📖 Benign
⚾️ 🏀 🏈 ⚽️ Often seen in athletes
🩺 Brown-black macules on foot, most commonly on heel
⚠️ May mimic melanoma
🔬  Acral skin, hyperkeratosis, hemorrhage in stratum corneum +/- telangiectatic vessels in papillary dermis

#dermpath #fammed #path4people
Path4People's tweet image. 🩸 Talon Noir

📖 Benign
⚾️ 🏀 🏈 ⚽️ Often seen in athletes
🩺 Brown-black macules on foot, most commonly on heel
⚠️ May mimic melanoma
🔬  Acral skin, hyperkeratosis, hemorrhage in stratum corneum +/- telangiectatic vessels in papillary dermis

#dermpath #fammed #path4people

I am a localized form of a systemic process I look like a "square" in punch biopsies I have a spectrum of change but classically show thick collagen, entrapped/atrophic adnexa+/- perivascular and periadnexal inflammation (esp if earlier) Who am I? 🤔#dermpath #fammed #pathx

Path4People's tweet image. I am a localized form of a systemic process

I look like a "square" in punch biopsies

I have a spectrum of change but classically show thick collagen, entrapped/atrophic adnexa+/- perivascular and periadnexal inflammation (esp if earlier)

Who am I? 

🤔#dermpath #fammed #pathx
Path4People's tweet image. I am a localized form of a systemic process

I look like a "square" in punch biopsies

I have a spectrum of change but classically show thick collagen, entrapped/atrophic adnexa+/- perivascular and periadnexal inflammation (esp if earlier)

Who am I? 

🤔#dermpath #fammed #pathx
Path4People's tweet image. I am a localized form of a systemic process

I look like a "square" in punch biopsies

I have a spectrum of change but classically show thick collagen, entrapped/atrophic adnexa+/- perivascular and periadnexal inflammation (esp if earlier)

Who am I? 

🤔#dermpath #fammed #pathx

Can we talk about the confusion of Malassezia species 🍝 😵‍💫 It's normal flora in skin and loves Olive 🫒 oil. But when it overgrows it's called Pityriasis versicolor AND/OR Tinea versicolor. Why not just call it Malassezia versicolor? 🫤 🤷 #pathx #medx #fammed #dermpath

Path4People's tweet image. Can we talk about the confusion of Malassezia species 🍝 😵‍💫 

It's normal flora in skin and loves Olive 🫒 oil.

But when it overgrows it's called Pityriasis versicolor AND/OR Tinea versicolor.

Why not just call it Malassezia versicolor?  🫤 🤷 

#pathx #medx #fammed #dermpath
Path4People's tweet image. Can we talk about the confusion of Malassezia species 🍝 😵‍💫 

It's normal flora in skin and loves Olive 🫒 oil.

But when it overgrows it's called Pityriasis versicolor AND/OR Tinea versicolor.

Why not just call it Malassezia versicolor?  🫤 🤷 

#pathx #medx #fammed #dermpath
Path4People's tweet image. Can we talk about the confusion of Malassezia species 🍝 😵‍💫 

It's normal flora in skin and loves Olive 🫒 oil.

But when it overgrows it's called Pityriasis versicolor AND/OR Tinea versicolor.

Why not just call it Malassezia versicolor?  🫤 🤷 

#pathx #medx #fammed #dermpath

Just read a sad news, my former Family Medicine Resident and her family are asking for your help on her current medical condition. She's one of the most kindest resident I've work with. I hope this could reach to people who'll help Dr Raine Reyes. #FamilyMedicine #FamMed #RT

pauloMDtweets's tweet image. Just read a sad news, my former Family Medicine Resident and her family are asking for your help on her current medical condition. She's one of the most kindest resident I've work with. I hope this could reach to people who'll help Dr Raine Reyes. #FamilyMedicine #FamMed #RT
pauloMDtweets's tweet image. Just read a sad news, my former Family Medicine Resident and her family are asking for your help on her current medical condition. She's one of the most kindest resident I've work with. I hope this could reach to people who'll help Dr Raine Reyes. #FamilyMedicine #FamMed #RT

I am a great mimic of basal cell carcinoma. I am a hair follicle tumor. I am seen generally on the face, and some versions of me, I look like a paisley tie. Who am I? 🤔 #pathx #dermpath #fammed #medx #pathtwitter #path4people #pathagonia

Path4People's tweet image. I am a great mimic of basal cell carcinoma.

I am a hair follicle tumor.

I am seen generally on the face, and some versions of me, I look like a paisley tie.  

Who am I? 🤔 

#pathx #dermpath #fammed #medx #pathtwitter #path4people #pathagonia
Path4People's tweet image. I am a great mimic of basal cell carcinoma.

I am a hair follicle tumor.

I am seen generally on the face, and some versions of me, I look like a paisley tie.  

Who am I? 🤔 

#pathx #dermpath #fammed #medx #pathtwitter #path4people #pathagonia
Path4People's tweet image. I am a great mimic of basal cell carcinoma.

I am a hair follicle tumor.

I am seen generally on the face, and some versions of me, I look like a paisley tie.  

Who am I? 🤔 

#pathx #dermpath #fammed #medx #pathtwitter #path4people #pathagonia
Path4People's tweet image. I am a great mimic of basal cell carcinoma.

I am a hair follicle tumor.

I am seen generally on the face, and some versions of me, I look like a paisley tie.  

Who am I? 🤔 

#pathx #dermpath #fammed #medx #pathtwitter #path4people #pathagonia

A distinction I had forgotten; they are somewhat similar but different What is A, what is B? Both triggered by cold. One has a "white blue red" skin change and brief. The other has red bumps, itchiness and can lead to blisters, and last for weeks. #pathx #fammed #dermpath

Path4People's tweet image. A distinction I had forgotten; they are somewhat similar but different

What is A, what is B?  

Both triggered by cold.  One has a "white blue red" skin change and brief.  The other has red bumps, itchiness and can lead to blisters, and last for weeks.

#pathx #fammed #dermpath
Path4People's tweet image. A distinction I had forgotten; they are somewhat similar but different

What is A, what is B?  

Both triggered by cold.  One has a "white blue red" skin change and brief.  The other has red bumps, itchiness and can lead to blisters, and last for weeks.

#pathx #fammed #dermpath
Path4People's tweet image. A distinction I had forgotten; they are somewhat similar but different

What is A, what is B?  

Both triggered by cold.  One has a "white blue red" skin change and brief.  The other has red bumps, itchiness and can lead to blisters, and last for weeks.

#pathx #fammed #dermpath

Our residents and faculty were proud to serve as on-site medical providers for this amazing #SpecialOlympics event, featuring scooter races, swimming, bowling, and basketball 🏊🎳🏀 It was an honor supporting these incredible athletes! #FamMed #FamilyMedicine #Residents

GAsouth_fammed's tweet image. Our residents and faculty were proud to serve as on-site medical providers for this amazing #SpecialOlympics event, featuring scooter races, swimming, bowling, and basketball 🏊🎳🏀 It was an honor supporting these incredible athletes! #FamMed #FamilyMedicine #Residents
GAsouth_fammed's tweet image. Our residents and faculty were proud to serve as on-site medical providers for this amazing #SpecialOlympics event, featuring scooter races, swimming, bowling, and basketball 🏊🎳🏀 It was an honor supporting these incredible athletes! #FamMed #FamilyMedicine #Residents
GAsouth_fammed's tweet image. Our residents and faculty were proud to serve as on-site medical providers for this amazing #SpecialOlympics event, featuring scooter races, swimming, bowling, and basketball 🏊🎳🏀 It was an honor supporting these incredible athletes! #FamMed #FamilyMedicine #Residents

@LeonMcCreaII kicking off lunch with Moving Anti-Racism Forward: Making a Difference in Healthcare Delivery. #STFM #FamilyMedicine #FamMed #Education #Diversity #Inclusive #CPQI23 #Healthcare #PopulationHealth #QuadrupleAim

STFM_FM's tweet image. @LeonMcCreaII kicking off lunch with Moving Anti-Racism Forward: Making a Difference in Healthcare Delivery. 
#STFM #FamilyMedicine #FamMed #Education #Diversity #Inclusive #CPQI23 #Healthcare #PopulationHealth #QuadrupleAim

AAFP: amazing, appreciative, friendly people!!! Family Medicine is everything I could ever want in a career. These past four days at #AAFPNC have shown me how bright the future of #fammed is and I feel so lucky to get to be a part of this community! The future is bright! @aafp

ShefetDana's tweet image. AAFP: amazing, appreciative, friendly people!!! 

Family Medicine is everything I could ever want in a career. These past four days at #AAFPNC have shown me how bright the future of #fammed is and I feel so lucky to get to be a part of this community! The future is bright! @aafp

We so proud our momma! She passed her big test for her job at the hopsickle! Yay mom! #dogsofX #FamMed #FMRevolution

RescueWats's tweet image. We so proud our momma!  She passed her big test for her job at the hopsickle!  Yay mom!  #dogsofX #FamMed #FMRevolution

Afternoon education sessions continue. Are you prepared to have the conversation? #STFM #FamMed #education #Health #conversation #CPQI23

STFM_FM's tweet image. Afternoon education sessions continue. Are you prepared to have the conversation? 
#STFM #FamMed #education #Health #conversation #CPQI23

If you're a #FamilyMedicine physician, connect with Drew to ease your job search process: [email protected] Not ready to connect? Start by browsing #FamMed Jobs: bit.ly/3NNr0SU #PrimaryCare #FMRevolution #PrimaryCareChat #AAFP #MedTwitter #MedStudentTwitter

StJohnJobs's tweet image. If you're a #FamilyMedicine physician, connect with Drew to ease your job search process: DBratton@StJohnJobs.com

Not ready to connect? Start by browsing #FamMed Jobs: bit.ly/3NNr0SU

#PrimaryCare #FMRevolution #PrimaryCareChat #AAFP #MedTwitter #MedStudentTwitter

How can a clinician practice the ‘Primary Health Care’ approach? Seeing the person ‘as a whole’ & in the context of his or her family & wider social environment A philosophy of practice that is Person, not Disease Centered #Person_Centered_Care #ComMedx #FamMed

drsansthoughts's tweet image. How can a clinician practice the ‘Primary Health Care’ approach?

Seeing the person ‘as a whole’ & in the context 
of his or her family & wider social environment

A philosophy of practice that is Person, not Disease Centered

#Person_Centered_Care
#ComMedx 
#FamMed
drsansthoughts's tweet image. How can a clinician practice the ‘Primary Health Care’ approach?

Seeing the person ‘as a whole’ & in the context 
of his or her family & wider social environment

A philosophy of practice that is Person, not Disease Centered

#Person_Centered_Care
#ComMedx 
#FamMed

Loading...

Something went wrong.


Something went wrong.


United States Trends