AAOjournal's profile picture. Ophthalmology, Ophthalmology Retina, Ophthalmology Glaucoma, & Ophthalmology Science - a family of peer-reviewed journals from the AAO @aao_ophth

Ophthalmology

@AAOjournal

Ophthalmology, Ophthalmology Retina, Ophthalmology Glaucoma, & Ophthalmology Science - a family of peer-reviewed journals from the AAO @aao_ophth

Disematkan

Register for the next #Ophthalmology Journal Club on February 25, free for @aao_ophth members. Dr. Kathryn Colby & @idrfeng will discuss “Long-term Corneal Rejuvenation after Transplantation of Cultured Human Corneal Endothelial Cells.” store.aao.org/ophthalmology-…

AAOjournal's tweet image. Register for the next #Ophthalmology Journal Club on February 25, free for @aao_ophth members. Dr. Kathryn Colby & @idrfeng will discuss “Long-term Corneal Rejuvenation after Transplantation of Cultured Human Corneal Endothelial Cells.”

store.aao.org/ophthalmology-…

Chronic Kidney Disease as a Risk Factor for Age-related Macular Degeneration: Prospective Cohort and Mendelian Randomization Analyses ow.ly/yxBy50XJHQA #ophthalmology

AAOjournal's tweet image. Chronic Kidney Disease as a Risk Factor for Age-related Macular Degeneration: Prospective Cohort and Mendelian Randomization Analyses
ow.ly/yxBy50XJHQA 
#ophthalmology

Automated feature segmentation of ultra-widefield optical coherence tomography images ow.ly/zWIY50XJHKY #ophthalmology

AAOjournal's tweet image. Automated feature segmentation of ultra-widefield optical coherence tomography images
ow.ly/zWIY50XJHKY 
#ophthalmology

The pseudocolor fundus photograph of a 37-year-old man revealed a pigment epithelial detachment (PED, A). Short-wave autofluorescence imaging demonstrated a circular area of impaired autofluorescence (B). No retinal pigment epithelium (RPE) alterations suggestive of chronicity…

AAOjournal's tweet image. The pseudocolor fundus photograph of a 37-year-old man revealed a pigment epithelial detachment (PED, A). Short-wave autofluorescence imaging demonstrated a circular area of impaired autofluorescence (B). No retinal pigment epithelium (RPE) alterations suggestive of chronicity…

Geographic Atrophy Structure-Function Relationships Based on Loss of OCT Outer Retinal Bands and Fundus Autofluorescence ow.ly/IHlB50XJHyU #ophthalmology

AAOjournal's tweet image. Geographic Atrophy Structure-Function Relationships Based on Loss of OCT Outer Retinal Bands and Fundus Autofluorescence
ow.ly/IHlB50XJHyU 
#ophthalmology

Two-Year Outcomes of Combined Phacoemulsification and Ab Interno Tanito Microhook Trabeculotomy in Open-Angle Glaucoma: A Prospective Randomized Trial ow.ly/gX3G50XJHux #ophthalmology #glaucoma

AAOjournal's tweet image. Two-Year Outcomes of Combined Phacoemulsification and Ab Interno Tanito Microhook Trabeculotomy in Open-Angle Glaucoma: A Prospective Randomized Trial
ow.ly/gX3G50XJHux
#ophthalmology #glaucoma

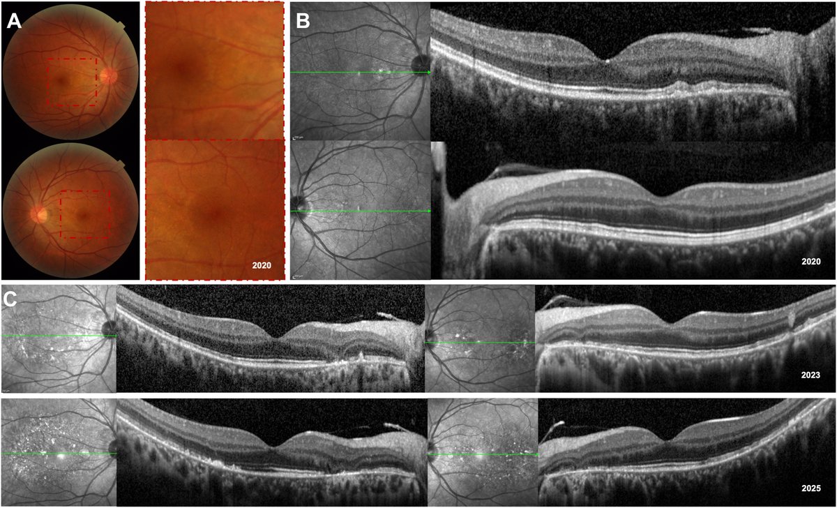
A 40-year-old man was referred for bilateral macular degeneration detected on routine examination. His best-corrected visual acuity was 20/20 bilaterally without visual complaints. A, Color fundus photography showed no crystalline deposits, but hyperreflective spots were visible…

AAOjournal's tweet image. A 40-year-old man was referred for bilateral macular degeneration detected on routine examination. His best-corrected visual acuity was 20/20 bilaterally without visual complaints. A, Color fundus photography showed no crystalline deposits, but hyperreflective spots were visible…

Ophthalmology memposting ulang

Does PAMM need a workup? It represents microvascular ischemia of the retina, systemic work-up may depend on age of the patient. #stroke

High Yield of Systemic Workup in Patients with Acute Isolated Paracentral Acute Middle Maculopathy ow.ly/eQlh50XHpjF #ophthalmology

AAOjournal's tweet image. High Yield of Systemic Workup in Patients with Acute Isolated Paracentral Acute Middle Maculopathy
ow.ly/eQlh50XHpjF
#ophthalmology


Register for the next #Ophthalmology Journal Club on February 25, free for @aao_ophth members. Dr. Kathryn Colby & @idrfeng will discuss “Long-term Corneal Rejuvenation after Transplantation of Cultured Human Corneal Endothelial Cells.” ow.ly/WMj250XNew3

AAOjournal's tweet image. Register for the next #Ophthalmology Journal Club on February 25, free for @aao_ophth members. Dr. Kathryn Colby & @idrfeng will discuss “Long-term Corneal Rejuvenation after Transplantation of Cultured Human Corneal Endothelial Cells.”
ow.ly/WMj250XNew3

The Association among Corneal Nerve Metrics, Ocular Surface Integrity and Renal Function in Type 2 Diabetes ow.ly/MtyM50XHpy9 #ophthalmology

AAOjournal's tweet image. The Association among Corneal Nerve Metrics, Ocular Surface Integrity and Renal Function in Type 2 Diabetes
ow.ly/MtyM50XHpy9 
#ophthalmology

Visual Field Estimation in X-Linked Retinitis Pigmentosa associated with RPGR from Image Analysis using Artificial Intelligence ow.ly/BKAm50XHpww #ophthalmology

AAOjournal's tweet image. Visual Field Estimation in X-Linked Retinitis Pigmentosa associated with RPGR from Image Analysis using Artificial Intelligence
ow.ly/BKAm50XHpww
#ophthalmology

Effects of Melatonin Supplementation on Sleep Quality in Patients with Advanced Glaucoma: A Randomized, Double-Blind, Placebo-Controlled Crossover Trial ow.ly/QxwR50XHrsU #ophthalmology #glaucoma

AAOjournal's tweet image. Effects of Melatonin Supplementation on Sleep Quality in Patients with Advanced Glaucoma: A Randomized, Double-Blind, Placebo-Controlled Crossover Trial
ow.ly/QxwR50XHrsU
#ophthalmology #glaucoma

Editorial: Is Geographic Atrophy a Peripheral Retinal Disease? ow.ly/bZFK50XR30b #ophthalmology #retina

AAOjournal's tweet image. Editorial: Is Geographic Atrophy a Peripheral Retinal Disease?
ow.ly/bZFK50XR30b
#ophthalmology #retina

A Phase 1 Randomized Trial of Topical Insulin for Glaucoma: Safety and Efficacy Outcomes ow.ly/J7Jf50XHpr7 #ophthalmology

AAOjournal's tweet image. A Phase 1 Randomized Trial of Topical Insulin for Glaucoma: Safety and Efficacy Outcomes
ow.ly/J7Jf50XHpr7 
#ophthalmology

Micropulse versus Slow Coagulation Transscleral Cyclophotocoagulation in Refractory Glaucoma: A Randomized Clinical Trial ow.ly/fKS450XHrpF #ophthalmology #glaucoma

AAOjournal's tweet image. Micropulse versus Slow Coagulation Transscleral Cyclophotocoagulation in Refractory Glaucoma: A Randomized Clinical Trial
ow.ly/fKS450XHrpF
#ophthalmology #glaucoma

Phacomatosis Pigmentovascularis and Sturge-Weber Syndrome: Comparative outcomes of Primary Combined Trabeculotomy with Trabeculectomy. ow.ly/juhg50XHrni #ophthalmology #glaucoma

AAOjournal's tweet image. Phacomatosis Pigmentovascularis and Sturge-Weber Syndrome: Comparative outcomes of Primary Combined Trabeculotomy with Trabeculectomy.
ow.ly/juhg50XHrni
#ophthalmology #glaucoma

Levodopa and Dopamine Agonists in Neovascular Age-Related Macular Degeneration in the Sight Outcomes Research Collaborative Database ow.ly/n3UY50XHpmr #ophthalmology #retina

AAOjournal's tweet image. Levodopa and Dopamine Agonists in Neovascular Age-Related Macular Degeneration in the Sight Outcomes Research Collaborative Database
ow.ly/n3UY50XHpmr
#ophthalmology #retina

High Yield of Systemic Workup in Patients with Acute Isolated Paracentral Acute Middle Maculopathy ow.ly/eQlh50XHpjF #ophthalmology

AAOjournal's tweet image. High Yield of Systemic Workup in Patients with Acute Isolated Paracentral Acute Middle Maculopathy
ow.ly/eQlh50XHpjF
#ophthalmology

A 75-year-old physician presented with recurrent episodes of painless and “foggy” vision in the right eye (OD) lasting 3 hours. He was investigated for amaurosis and began dual anti-platelet therapy. Vision OD was 20/25, intraocular pressure was 43 mmHg, and the anterior chamber…

AAOjournal's tweet image. A 75-year-old physician presented with recurrent episodes of painless and “foggy” vision in the right eye (OD) lasting 3 hours. He was investigated for amaurosis and began dual anti-platelet therapy. Vision OD was 20/25, intraocular pressure was 43 mmHg, and the anterior chamber…

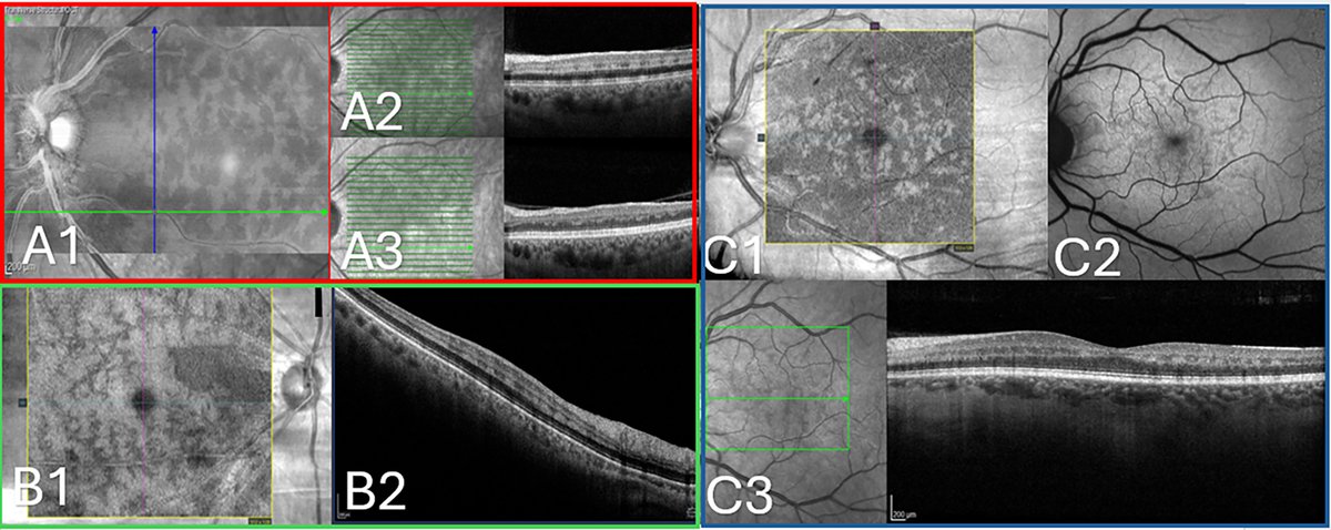
A new study from the International Fibrosis Consensus (IFC) workgroup and members of the International Retinal Imaging Society (IntRIS) aimed at developing a standardized diagnostic workflow establishes a two-step approach using OCT as the primary modality and confirmation with…

AAOjournal's tweet image. A new study from the International Fibrosis Consensus (IFC) workgroup and members of the International Retinal Imaging Society (IntRIS) aimed at developing a standardized diagnostic workflow establishes a two-step approach using OCT as the primary modality and confirmation with…

Loading...

Something went wrong.


Something went wrong.