#stroke search results

In a multicenter German study, teleneurological ward rounds in subacute #Stroke care were noninferior and showed greater guideline adherence across all quality domains compared with on-site ward rounds, especially in secondary prevention. ja.ma/47F94Dk

JAMANeuro's tweet image. In a multicenter German study, teleneurological ward rounds in subacute #Stroke care were noninferior and showed greater guideline adherence across all quality domains compared with on-site ward rounds, especially in secondary prevention. 

ja.ma/47F94Dk

Caplacizumab can be used as a first-line adjunct in patients with acute ischemic #stroke because of thrombotic thrombocytopenic purpura, leading to rapid platelet normalization and reduced risk of thrombocytopenia recurrence: hubs.la/Q049wtYW0

NeurologyCP's tweet image. Caplacizumab can be used as a first-line adjunct in patients with acute ischemic #stroke because of thrombotic thrombocytopenic purpura, leading to rapid platelet normalization and reduced risk of thrombocytopenia recurrence: hubs.la/Q049wtYW0

ICYMI: Check out April #Stroke #EditorPick, "Patterns and Factors Associated With Cerebral Infarction on MRI in Tuberculous Meningitis: Secondary Analysis of the ACT-TBM Trial." ahajournals.org/doi/full/10.11…

StrokeAHA_ASA's tweet image. ICYMI: Check out April #Stroke #EditorPick, "Patterns and Factors Associated With Cerebral Infarction on MRI in Tuberculous Meningitis: Secondary Analysis of the ACT-TBM Trial." ahajournals.org/doi/full/10.11…

In an analysis based on the ACT-TBM clinical trial, cerebral infarction was common in participants with tuberculous meningitis and was associated with disease severity and arterial occlusion. #stroke ahajrnls.org/45agEo2

StrokeAHA_ASA's tweet image. In an analysis based on the ACT-TBM clinical trial, cerebral infarction was common in participants with tuberculous meningitis and was associated with disease severity and arterial occlusion. #stroke ahajrnls.org/45agEo2


In a secondary analysis of the TEMPO-2 trial, the presence of hemorrhagic transformation was associated with worse clinical outcomes. #stroke ahajrnls.org/3O8wtGF @mihill68 @vancouverstroke @draravindganesh @amyyu_md @RAppireddy @nishita_singh3 @SCouttsMD

StrokeAHA_ASA's tweet image. In a secondary analysis of the TEMPO-2 trial, the presence of hemorrhagic transformation was associated with worse clinical outcomes. #stroke ahajrnls.org/3O8wtGF

@mihill68 @vancouverstroke @draravindganesh @amyyu_md @RAppireddy @nishita_singh3 @SCouttsMD

#STROKE: This topical review by @sheilambrasil et al. highlights how digital health tools can strengthen stroke policies and care systems by improving data collection, access to care, coordination, monitoring, education, and public engagement. ahajrnls.org/4mpahEV

StrokeAHA_ASA's tweet image. #STROKE: This topical review by @sheilambrasil et al. highlights how digital health tools can strengthen stroke policies and care systems by improving data collection, access to care, coordination, monitoring, education, and public engagement. ahajrnls.org/4mpahEV

#Stroke meta-analysis shows that the pooled proportion of stroke after transcatheter aortic valve replacement for severe aortic stenosis was 3% at 30 days and 5% at 1 year. Transcatheter vs surgical replacement had lower odds of stroke at 30 days. ahajournals.org/doi/full/10.11…

StrokeAHA_ASA's tweet image. #Stroke meta-analysis shows that the pooled proportion of stroke after transcatheter aortic valve replacement for severe aortic stenosis was 3% at 30 days and 5% at 1 year. Transcatheter vs surgical replacement had lower odds of stroke at 30 days. ahajournals.org/doi/full/10.11…

The April episode of the #StrokeAlert Podcast is now available. In this episode, host @NAsdaghi highlights articles in the April issue of #Stroke and interviews @draravindganesh & @dyavagal. ahajournals.org/do/10.1161/pod…

StrokeAHA_ASA's tweet image. The April episode of the #StrokeAlert Podcast is now available. In this episode, host @NAsdaghi highlights articles in the April issue of #Stroke and interviews @draravindganesh & @dyavagal. 

ahajournals.org/do/10.1161/pod…

I often see neurologists advocate for resuming AC at 2 vs 6 days based on the ELAN trial. OPTIMAS (2024) is rarely considered or even known. In my synthesis, the clinical question is 0 vs 2 vs 4 days (assuming no other contraindications), not 6. #stroke #neuroX #neurology

💊Early DOAC initiation is safe and non-inferior to delayed treatment regardless of infarct volume ❌⏱️No evidence that anticoagulation initiation should be delayed beyond 4 days on the basis of infarct size Read the paper here!👇 journals.sagepub.com/doi/abs/10.117… @UCLStrokeRes

IntJStroke's tweet image. 💊Early DOAC initiation is safe and non-inferior to delayed treatment regardless of infarct volume

❌⏱️No evidence that anticoagulation initiation should be delayed beyond 4 days on the basis of infarct size

Read the paper here!👇
journals.sagepub.com/doi/abs/10.117… @UCLStrokeRes


#Stroke Images article depicts radiographic evolution in a case of cerebral proliferative angiopathy. @GLanzinoNSGY @pranj_rad ahajrnls.org/47RUJ6y

StrokeAHA_ASA's tweet image. #Stroke Images article depicts radiographic evolution in a case of cerebral proliferative angiopathy. @GLanzinoNSGY @pranj_rad ahajrnls.org/47RUJ6y

Early Thrombolysis in Central Retinal Artery Occlusion: Stepping Toward Better Visual Outcomes? In this #BloggingStroke post, Beatriz Sarno discusses #Stroke article by Xie & Zaslavsky et al. ahajournals.org/do/10.1161/blo…

StrokeAHA_ASA's tweet image. Early Thrombolysis in Central Retinal Artery Occlusion: Stepping Toward Better Visual Outcomes?

In this #BloggingStroke post, Beatriz Sarno discusses #Stroke article by Xie & Zaslavsky et al. ahajournals.org/do/10.1161/blo…

#STROKE: This topical review by Hall et al. discusses the current state of rupture risk in intracranial aneurysms. @UHSFT ahajrnls.org/47X7Ray

StrokeAHA_ASA's tweet image. #STROKE: This topical review by Hall et al. discusses the current state of rupture risk in intracranial aneurysms. @UHSFT ahajrnls.org/47X7Ray

.@American_Stroke's updated guideline for early management of acute ischemic #stroke eases up on some strategies while also focusing on improving the delivery of timely and coordinated care: hubs.la/Q04clxFd0 #NeuroTwitter @UChicago_Neuro @ClevelandClinic @CleClinicMD

NeurologyToday's tweet image. .@American_Stroke's updated guideline for early management of acute ischemic #stroke eases up on some strategies while also focusing on improving the delivery of timely and coordinated care: hubs.la/Q04clxFd0

#NeuroTwitter @UChicago_Neuro @ClevelandClinic @CleClinicMD

Clonal hematopoiesis (CHIP) is associated with increased risk of both ischemic and hemorrhagic #stroke in a large multicohort analysis (>800,000 individuals). Risk is highest for specific mutations (e.g., JAK2, TET2) and in postmenopausal women. ahajrnls.org/4sx5h28

StrokeAHA_ASA's tweet image. Clonal hematopoiesis (CHIP) is associated with increased risk of both ischemic and hemorrhagic #stroke in a large multicohort analysis (>800,000 individuals). Risk is highest for specific mutations (e.g., JAK2, TET2) and in postmenopausal women. ahajrnls.org/4sx5h28

I’m not a difficult girl just give me something to #stroke & put on some #nickelback 😜


On 25th of April, Emily & her close ones will be climbing Wales' tallest mountain, Mount Snowdon, in memory of their Nana, who sadly passed away in 2023 due to a #spinalstroke. Donate here: ow.ly/9VEq50YNpWl #stroke #strokeawareness #mountsnowdon #wales #snowdonia

brainspine's tweet image. On 25th of April, Emily & her close ones will be climbing Wales' tallest mountain, Mount Snowdon, in memory of their Nana, who sadly passed away in 2023 due to a #spinalstroke. 

Donate here: ow.ly/9VEq50YNpWl

#stroke #strokeawareness #mountsnowdon #wales #snowdonia

Can a “Walking Booster” Help Stroke Survivors Take the Next Step? In this #BloggingStroke post, @Naruhiko_MD discusses #Stroke article by @kscriv2013 et al. ahajournals.org/do/10.1161/blo… @CathDean4 @NatashaLannin @Macquarie_Uni @MonashUni

StrokeAHA_ASA's tweet image. Can a “Walking Booster” Help Stroke Survivors Take the Next Step?

In this #BloggingStroke post, @Naruhiko_MD discusses #Stroke article by @kscriv2013 et al. ahajournals.org/do/10.1161/blo…

@CathDean4 @NatashaLannin @Macquarie_Uni @MonashUni

ICYMI: Check out April #Stroke #EditorPick, "FLAIR Vascular Hyperintensities/DWI Mismatch Predicts Penumbra in Proximal Middle Cerebral Artery Occlusion." ahajournals.org/doi/full/10.11…

Based on a retrospective cohort study drawing participants from Bordeaux Hospital study, FLAIR Vascular Hyperintensities/DWI-c-ASPECTS ratio was found to be potential surrogate marker of perfusion–diffusion mismatch in patients with proximal MCA occlusion. ahajournals.org/doi/full/10.11…

StrokeAHA_ASA's tweet image. Based on a retrospective cohort study drawing participants from Bordeaux Hospital study, FLAIR Vascular Hyperintensities/DWI-c-ASPECTS ratio was found to be potential surrogate marker of perfusion–diffusion mismatch in patients with proximal MCA occlusion. ahajournals.org/doi/full/10.11…


📢 Register now for #ESOC2026! Explore the latest RCT evidence on intra-arterial thrombolysis and new insights into blood pressure management during EVT. Register today: ow.ly/pfWs50YCbuN #Stroke #StrokeScience #StrokeCare #Neurology #VoiceofStroke #StrokeEducation

ESOstroke's tweet image. 📢 Register now for #ESOC2026! Explore the latest RCT evidence on intra-arterial thrombolysis and new insights into blood pressure management during EVT.
Register today: ow.ly/pfWs50YCbuN

#Stroke #StrokeScience #StrokeCare #Neurology #VoiceofStroke #StrokeEducation

In a secondary analysis of the LASTE trial, EVT improved functional outcomes and reduced mortality in patients with ASPECTS 0-2. #stroke @TudorGJovin @gboulouis ahajrnls.org/4cvhmzd

StrokeAHA_ASA's tweet image. In a secondary analysis of the LASTE trial, EVT improved functional outcomes and reduced mortality in patients with ASPECTS 0-2. #stroke @TudorGJovin @gboulouis ahajrnls.org/4cvhmzd

Gave a talk at the American Academy of Neurology (AAN) Annual Meeting 2026 on the use of mass spectrometry proteomics to identify biomarkers for stroke diagnosis!! 😇 Join us if you are interested in biomarker discovery in stroke! #AAN #AANAM #Stroke #Neurology #NeuroTwitter

Shubham_Neuro's tweet image. Gave a talk at the American Academy of Neurology (AAN) Annual Meeting 2026 on the use of mass spectrometry proteomics to identify biomarkers for stroke diagnosis!! 😇

Join us if you are interested in biomarker discovery in stroke! 
#AAN #AANAM #Stroke #Neurology #NeuroTwitter
Shubham_Neuro's tweet image. Gave a talk at the American Academy of Neurology (AAN) Annual Meeting 2026 on the use of mass spectrometry proteomics to identify biomarkers for stroke diagnosis!! 😇

Join us if you are interested in biomarker discovery in stroke! 
#AAN #AANAM #Stroke #Neurology #NeuroTwitter
Shubham_Neuro's tweet image. Gave a talk at the American Academy of Neurology (AAN) Annual Meeting 2026 on the use of mass spectrometry proteomics to identify biomarkers for stroke diagnosis!! 😇

Join us if you are interested in biomarker discovery in stroke! 
#AAN #AANAM #Stroke #Neurology #NeuroTwitter
Shubham_Neuro's tweet image. Gave a talk at the American Academy of Neurology (AAN) Annual Meeting 2026 on the use of mass spectrometry proteomics to identify biomarkers for stroke diagnosis!! 😇

Join us if you are interested in biomarker discovery in stroke! 
#AAN #AANAM #Stroke #Neurology #NeuroTwitter

ICYMI: Check out April #Stroke #EditorPick, "FLAIR Vascular Hyperintensities/DWI Mismatch Predicts Penumbra in Proximal Middle Cerebral Artery Occlusion." ahajournals.org/doi/full/10.11…

Based on a retrospective cohort study drawing participants from Bordeaux Hospital study, FLAIR Vascular Hyperintensities/DWI-c-ASPECTS ratio was found to be potential surrogate marker of perfusion–diffusion mismatch in patients with proximal MCA occlusion. ahajournals.org/doi/full/10.11…

StrokeAHA_ASA's tweet image. Based on a retrospective cohort study drawing participants from Bordeaux Hospital study, FLAIR Vascular Hyperintensities/DWI-c-ASPECTS ratio was found to be potential surrogate marker of perfusion–diffusion mismatch in patients with proximal MCA occlusion. ahajournals.org/doi/full/10.11…


OCEANIC-STROKE highlights the potential of FXI inhibition. Reducing ischemic #stroke risk without increasing bleeding—long a barrier in our field Discussed what this means for stroke & beyond with @HCPLive_Cardio: hcplive.com/view/asundexia… @PHRIresearch @HamHealthSci @Bayer


A second-generation dual-biomarker point-of-care test significantly improves the specificity and positive predictive value for detecting intracerebral #hemorrhage in patients with suspected #stroke. thecardiologyadvisor.com/news/point-of-…


#ResearchTuesday Can a factor XIa inhibitor prevent recurrent #stroke without more bleeding? OCEANIC-STROKE (Phase 3, 12 327 pts) randomized patients within 72h of noncardioembolic ischemic stroke or high-risk TIA to asundexian 50 mg vs placebo, added to antiplatelet therapy.

svinsociety's tweet image. #ResearchTuesday Can a factor XIa inhibitor prevent recurrent #stroke without more bleeding?

OCEANIC-STROKE (Phase 3, 12 327 pts) randomized patients within 72h of noncardioembolic ischemic stroke or high-risk TIA to asundexian 50 mg vs placebo, added to antiplatelet therapy.
svinsociety's tweet image. #ResearchTuesday Can a factor XIa inhibitor prevent recurrent #stroke without more bleeding?

OCEANIC-STROKE (Phase 3, 12 327 pts) randomized patients within 72h of noncardioembolic ischemic stroke or high-risk TIA to asundexian 50 mg vs placebo, added to antiplatelet therapy.

Curious? We’re curious, too. This is the kind of conversation you don’t want to hear about in corridors. Join us as we explore early detection and intervention in stroke care Register now: forms.gle/frJ4H3GAmMoy55… #Stroke #Paralysis #PamojaKwaUbora #TogetherForExcellence

NakaseroHosp's tweet image. Curious?
We’re curious, too.

This is the kind of conversation you don’t want to hear about in corridors. 

Join us as we explore early detection and intervention in stroke care 
Register now: forms.gle/frJ4H3GAmMoy55…

#Stroke #Paralysis #PamojaKwaUbora #TogetherForExcellence

In stroke patients with imaging confirmed salvageable brain tissue presenting within 4.5 to 24 hours after symptom onset, administration with IV alteplase was associated with a reduction in disabling outcomes (mRS 0-1) at 90 days 🧠 #stroke #alteplase #ACCP #emedprn

accpemedprn's tweet image. In stroke patients with imaging confirmed salvageable brain tissue presenting within 4.5 to 24 hours after symptom onset, administration with IV alteplase was associated with a reduction in disabling outcomes (mRS 0-1) at 90 days 🧠

#stroke #alteplase #ACCP #emedprn

Initiation of DAPT within 24 hours after minor stroke or TIA was associated with a reduction of recurrent stroke, myocardial infarction, or death within 90 days. The greatest benefit was seen within 24 hours, with a potential window up to 42 hours 🧠 #DAPT #stroke #emedprn #ACCP

accpemedprn's tweet image. Initiation of DAPT within 24 hours after minor stroke or TIA was associated with a reduction of recurrent stroke, myocardial infarction, or death within 90 days. The greatest benefit was seen within 24 hours, with a potential window up to 42 hours 🧠

#DAPT #stroke #emedprn #ACCP

🚨 #AtrialFibrillation (AF) is a leading arrhythmia linked to #stroke and #heartfailure. #Hypertension is a major modifiable risk factor that contributes to AF through structural changes in the heart. 👉 Read more: brnw.ch/21x1ND6


This pattern of visual attention may help them better encode specific details about the action. #neurorehabilitation #neuroscience #stroke


Gray Matter, Sex Matters: Rethinking Sex Differences in the Aging Brain In this #BloggingStroke post, Sarah Syed discusses #Stroke article by Sussman et al. ahajournals.org/do/10.1161/blo… @Austin_Phys @ChildrensLA @VANorthTexas

StrokeAHA_ASA's tweet image. Gray Matter, Sex Matters: Rethinking Sex Differences in the Aging Brain

In this #BloggingStroke post, Sarah Syed discusses #Stroke article by Sussman et al. ahajournals.org/do/10.1161/blo…

@Austin_Phys @ChildrensLA @VANorthTexas

In #Stroke due to medium or distal vessel occlusion, endovascular treatment plus best medical treatment preserved more brain tissue and was linked to improved imaging outcomes and better clinical recovery compared with medical treatment alone. ja.ma/4cC0NkV

JAMANeuro's tweet image. In #Stroke due to medium or distal vessel occlusion, endovascular treatment plus best medical treatment preserved more brain tissue and was linked to improved imaging outcomes and better clinical recovery compared with medical treatment alone. ja.ma/4cC0NkV

On 25th of April, Emily & her close ones will be climbing Wales' tallest mountain, Mount Snowdon, in memory of their Nana, who sadly passed away in 2023 due to a #spinalstroke. Donate here: ow.ly/9VEq50YNpWl #stroke #strokeawareness #mountsnowdon #wales #snowdonia

brainspine's tweet image. On 25th of April, Emily & her close ones will be climbing Wales' tallest mountain, Mount Snowdon, in memory of their Nana, who sadly passed away in 2023 due to a #spinalstroke. 

Donate here: ow.ly/9VEq50YNpWl

#stroke #strokeawareness #mountsnowdon #wales #snowdonia

A new #cholesterol guideline spells out how everyday lifestyle habits, screening and treatment can help lower or manage cholesterol and reduce the risk of #heartdisease and #stroke @American_Heart heart.org/en/health-topi…

WRIGHTFoundUK's tweet image. A new #cholesterol guideline spells out how everyday lifestyle habits, screening and treatment can help lower or manage cholesterol and reduce the risk of #heartdisease and #stroke

@American_Heart

heart.org/en/health-topi…

📊New Article in @ExplorNeuroprot: FXI inhibitors vs. DOACs in #AtrialFibrillation FXI inhibitors may lower bleeding in AF patients but are less effective than #DOACs for #stroke prevention. Further long-term trials needed to clarify their role. 🔗Read: doi.org/10.37349/ent.2…


Honored to have received 2nd Prize in the Shri K Mishra, MD Neurology Trainee Award from the Association of Indian Neurologists in America (AINA). 😇 #AINA #Stroke #Neurology #AAN2026 #Chicago #AAN #AANAM @AANmember @IndianNeuroinUS

Shubham_Neuro's tweet image. Honored to have received 2nd Prize in the Shri K Mishra, MD Neurology Trainee Award from the Association of Indian Neurologists in America (AINA). 😇

#AINA #Stroke #Neurology #AAN2026 #Chicago #AAN #AANAM @AANmember @IndianNeuroinUS
Shubham_Neuro's tweet image. Honored to have received 2nd Prize in the Shri K Mishra, MD Neurology Trainee Award from the Association of Indian Neurologists in America (AINA). 😇

#AINA #Stroke #Neurology #AAN2026 #Chicago #AAN #AANAM @AANmember @IndianNeuroinUS

Wishing Angie Mentink the best possible recovery #BreastCancer #Stroke But she looks great, all things considered. I knew a man then 35 and healthy. 2 months later, he had a cane, a limp, and looked much older #heartbreaking #Mariners #TridentsUp


Our new paper in Neurocritical Care presents the first TeleNCC Consensus Statement—defining best practice, minimum standards, and benchmarks for teleneurocritical care. Here are the key takeaways 👇 #TeleNCC #NeurocriticalCare #Stroke @Intermountain link.springer.com/article/10.100…


Can a “Walking Booster” Help Stroke Survivors Take the Next Step? In this #BloggingStroke post, @Naruhiko_MD discusses #Stroke article by @kscriv2013 et al. ahajournals.org/do/10.1161/blo… @CathDean4 @NatashaLannin @Macquarie_Uni @MonashUni

StrokeAHA_ASA's tweet image. Can a “Walking Booster” Help Stroke Survivors Take the Next Step?

In this #BloggingStroke post, @Naruhiko_MD discusses #Stroke article by @kscriv2013 et al. ahajournals.org/do/10.1161/blo…

@CathDean4 @NatashaLannin @Macquarie_Uni @MonashUni

In #Stroke due to medium or distal vessel occlusion, endovascular treatment plus best medical treatment preserved more brain tissue and was linked to improved imaging outcomes and better clinical recovery compared with medical treatment alone. ja.ma/4cC0NkV

JAMANeuro's tweet image. In #Stroke due to medium or distal vessel occlusion, endovascular treatment plus best medical treatment preserved more brain tissue and was linked to improved imaging outcomes and better clinical recovery compared with medical treatment alone. ja.ma/4cC0NkV

The April episode of the #StrokeAlert Podcast is now available. In this episode, host @NAsdaghi highlights articles in the April issue of #Stroke and interviews @draravindganesh & @dyavagal. ahajournals.org/do/10.1161/pod…

StrokeAHA_ASA's tweet image. The April episode of the #StrokeAlert Podcast is now available. In this episode, host @NAsdaghi highlights articles in the April issue of #Stroke and interviews @draravindganesh & @dyavagal. 

ahajournals.org/do/10.1161/pod…

Early Thrombolysis in Central Retinal Artery Occlusion: Stepping Toward Better Visual Outcomes? In this #BloggingStroke post, Beatriz Sarno discusses #Stroke article by Xie & Zaslavsky et al. ahajournals.org/do/10.1161/blo…

StrokeAHA_ASA's tweet image. Early Thrombolysis in Central Retinal Artery Occlusion: Stepping Toward Better Visual Outcomes?

In this #BloggingStroke post, Beatriz Sarno discusses #Stroke article by Xie & Zaslavsky et al. ahajournals.org/do/10.1161/blo…

#Stroke meta-analysis shows that the pooled proportion of stroke after transcatheter aortic valve replacement for severe aortic stenosis was 3% at 30 days and 5% at 1 year. Transcatheter vs surgical replacement had lower odds of stroke at 30 days. ahajournals.org/doi/full/10.11…

StrokeAHA_ASA's tweet image. #Stroke meta-analysis shows that the pooled proportion of stroke after transcatheter aortic valve replacement for severe aortic stenosis was 3% at 30 days and 5% at 1 year. Transcatheter vs surgical replacement had lower odds of stroke at 30 days. ahajournals.org/doi/full/10.11…

In this topical review, @VYogendrakumar and colleagues critically appraise the literature on the use of imaging to guide eligibility for reperfusion therapy in acute ischemic #stroke. @NguyenThanhMD @SCouttsMD @AbdalkaderMD ahajrnls.org/3ONysAm

StrokeAHA_ASA's tweet image. In this topical review, @VYogendrakumar and colleagues critically appraise the literature on the use of imaging to guide eligibility for reperfusion therapy in acute ischemic #stroke. @NguyenThanhMD @SCouttsMD @AbdalkaderMD ahajrnls.org/3ONysAm

In an observational cohort study, dental flossing was associated with a reduced hazard of #stroke, including cardioembolic stroke. @alonso_epi @ahhlaynah_rdh @SouvikS57356262 ahajrnls.org/4cbBfef

StrokeAHA_ASA's tweet image. In an observational cohort study, dental flossing was associated with a reduced hazard of #stroke, including cardioembolic stroke. @alonso_epi @ahhlaynah_rdh @SouvikS57356262 ahajrnls.org/4cbBfef

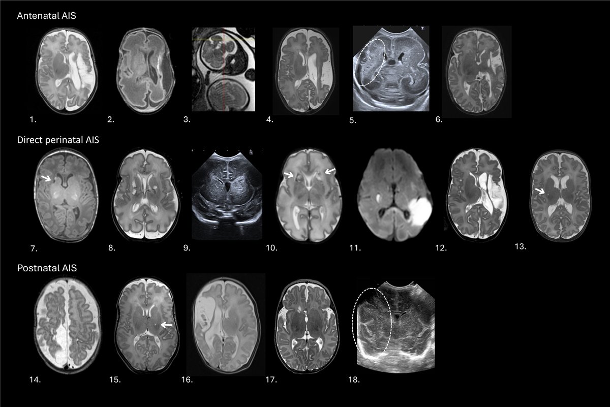
Perinatal Arterial Ischemic Stroke in Monochorionic Twins: When and Why? In this #BloggingStroke post, @JohannaSeidenMD discusses #Stroke article by van Oldenmark et al. @UniLeidenNews @UniLeiden ahajournals.org/do/10.1161/blo…

StrokeAHA_ASA's tweet image. Perinatal Arterial Ischemic Stroke in Monochorionic Twins: When and Why?

In this #BloggingStroke post, @JohannaSeidenMD discusses #Stroke article by van Oldenmark et al. @UniLeidenNews @UniLeiden

ahajournals.org/do/10.1161/blo…

In a secondary analysis of the LASTE trial, EVT improved functional outcomes and reduced mortality in patients with ASPECTS 0-2. #stroke @TudorGJovin @gboulouis ahajrnls.org/4cvhmzd

StrokeAHA_ASA's tweet image. In a secondary analysis of the LASTE trial, EVT improved functional outcomes and reduced mortality in patients with ASPECTS 0-2. #stroke @TudorGJovin @gboulouis ahajrnls.org/4cvhmzd

In a secondary analysis of the TEMPO-2 trial, the presence of hemorrhagic transformation was associated with worse clinical outcomes. #stroke ahajrnls.org/3O8wtGF @mihill68 @vancouverstroke @draravindganesh @amyyu_md @RAppireddy @nishita_singh3 @SCouttsMD

StrokeAHA_ASA's tweet image. In a secondary analysis of the TEMPO-2 trial, the presence of hemorrhagic transformation was associated with worse clinical outcomes. #stroke ahajrnls.org/3O8wtGF

@mihill68 @vancouverstroke @draravindganesh @amyyu_md @RAppireddy @nishita_singh3 @SCouttsMD

#STROKE: This topical review by @sheilambrasil et al. highlights how digital health tools can strengthen stroke policies and care systems by improving data collection, access to care, coordination, monitoring, education, and public engagement. ahajrnls.org/4mpahEV

StrokeAHA_ASA's tweet image. #STROKE: This topical review by @sheilambrasil et al. highlights how digital health tools can strengthen stroke policies and care systems by improving data collection, access to care, coordination, monitoring, education, and public engagement. ahajrnls.org/4mpahEV

#STROKE: In adults with type 2 diabetes, faster stroke arrival is cost-effective, but prevention has far greater impact. BP control, statins, smoking cessation, aspirin = ⬇️ disability & deaths, +1.4M QALYs, and major cost savings. ahajrnls.org/4t5svxx

StrokeAHA_ASA's tweet image. #STROKE: In adults with type 2 diabetes, faster stroke arrival is cost-effective, but prevention has far greater impact. BP control, statins, smoking cessation, aspirin = ⬇️ disability & deaths, +1.4M QALYs, and major cost savings. ahajrnls.org/4t5svxx

ICYMI: Check out April #Stroke #EditorPick, "Patterns and Factors Associated With Cerebral Infarction on MRI in Tuberculous Meningitis: Secondary Analysis of the ACT-TBM Trial." ahajournals.org/doi/full/10.11…

StrokeAHA_ASA's tweet image. ICYMI: Check out April #Stroke #EditorPick, "Patterns and Factors Associated With Cerebral Infarction on MRI in Tuberculous Meningitis: Secondary Analysis of the ACT-TBM Trial." ahajournals.org/doi/full/10.11…

In an analysis based on the ACT-TBM clinical trial, cerebral infarction was common in participants with tuberculous meningitis and was associated with disease severity and arterial occlusion. #stroke ahajrnls.org/45agEo2

StrokeAHA_ASA's tweet image. In an analysis based on the ACT-TBM clinical trial, cerebral infarction was common in participants with tuberculous meningitis and was associated with disease severity and arterial occlusion. #stroke ahajrnls.org/45agEo2


Among patients undergoing endovascular #thrombectomy for acute #Stroke, early (<6 hours) vs delayed (6–12 hours) extubation did not improve 90-day functional independence, hospital stay, complication rates, or mortality. ja.ma/4m2X44l

JAMANeuro's tweet image. Among patients undergoing endovascular #thrombectomy for acute #Stroke, early (&amp;lt;6 hours) vs delayed (6–12 hours) extubation did not improve 90-day functional independence, hospital stay, complication rates, or mortality. 

ja.ma/4m2X44l

In a multicenter German study, teleneurological ward rounds in subacute #Stroke care were noninferior and showed greater guideline adherence across all quality domains compared with on-site ward rounds, especially in secondary prevention. ja.ma/47F94Dk

JAMANeuro's tweet image. In a multicenter German study, teleneurological ward rounds in subacute #Stroke care were noninferior and showed greater guideline adherence across all quality domains compared with on-site ward rounds, especially in secondary prevention. 

ja.ma/47F94Dk

Stroke signs can be sudden weakness, speech changes, or facial drooping. Act fast and call emergency services immediately. Time matters. #MedTwitter #Stroke #EmergencyMedicine #HeartHealth

ZainKhalpey's tweet image. Stroke signs can be sudden weakness, speech changes, or facial drooping. 

Act fast and call emergency services immediately. 

Time matters. 

#MedTwitter #Stroke #EmergencyMedicine #HeartHealth

The development of cerebral palsy after neonatal #stroke may be associated with disruptions of broad functional networks involving motor and extramotor regions as opposed to isolated lesions of the motor tracts. ahajrnls.org/4sYTPh6

StrokeAHA_ASA's tweet image. The development of cerebral palsy after neonatal #stroke may be associated with disruptions of broad functional networks involving motor and extramotor regions as opposed to isolated lesions of the motor tracts. ahajrnls.org/4sYTPh6

Irregular sleep may trigger clots and raise heart attack, stroke risk—keep a consistent sleep schedule to protect yourself! 📸 Credit: AI Read more from TimesNow English and other top sources here: dhunt.in/13XPGN?partner… #HeartHealth #BrainHealth #Stroke #Sleep #lifestyle

DailyhuntApp's tweet image. Irregular sleep may trigger clots and raise heart attack, stroke risk—keep a consistent sleep schedule to protect yourself!
📸 Credit: AI

Read more from TimesNow English and other top sources here: 
dhunt.in/13XPGN?partner…

#HeartHealth #BrainHealth #Stroke #Sleep #lifestyle

Atrial fibrillation is the most common arrhythmia in the United States and globally. Read about specialists can help establish guideline concordant care and reduce #stroke risk. @EmilyZeitler @TJaredBunch ahajrnls.org/4cziiT8

JAHA_AHA's tweet image. Atrial fibrillation is the most common arrhythmia in the United States and globally.

Read about specialists can help establish guideline concordant care and reduce #stroke risk. @EmilyZeitler @TJaredBunch ahajrnls.org/4cziiT8

#STROKE: Tenecteplase is superior to alteplase in LVO, but only if thrombectomy follows fast. Benefit is seen when thrombolysis-to-puncture time <60 min; beyond that, outcomes are similar. ahajrnls.org/4sHPQVj

StrokeAHA_ASA's tweet image. #STROKE: Tenecteplase is superior to alteplase in LVO, but only if thrombectomy follows fast. Benefit is seen when thrombolysis-to-puncture time &amp;lt;60 min; beyond that, outcomes are similar. ahajrnls.org/4sHPQVj

Loading...

Something went wrong.


Something went wrong.