AI_davidwiesner's profile picture. Researcher at Helmholtz Zentrum München • Medical Image Analysis, Deep Learning, and Generative AI • Technical University of Munich

David Wiesner

@AI_davidwiesner

Researcher at Helmholtz Zentrum München • Medical Image Analysis, Deep Learning, and Generative AI • Technical University of Munich

David Wiesner reposted

Decisions for SASHIMI 2025 are out! 🎉 This year we had a 64% acceptance rate, and congratulations to the authors with accepted papers! We look forward to seeing you all in Daejeon! (Please contact us by email if you did not receive a decision.)

SashimiWorkshop's tweet image. Decisions for SASHIMI 2025 are out! 🎉 This year we had a 64% acceptance rate, and congratulations to the authors with accepted papers!

We look forward to seeing you all in Daejeon!

(Please contact us by email if you did not receive a decision.)

David Wiesner reposted

🎉 We are EXTENDING our deadline to July 1st, anywhere on Earth! 🎉 We understand the time crunch that always comes up when preparing paper submissions, from last-minute experiments collapsing to the cluster going down for maintenance at a critical time. sashimiworkshop.org/call_for_paper…

sashimiworkshop.org

Call for papers

Call for papers


David Wiesner reposted

Do you know Mamba❓ 🚀 A deep learning innovat° by @_albertgu @tri_dao, Mamba offers efficient, scalable alternatives to Transformers & RNNs, using structured state-space models for better handling of long-range dependencies. Explore its impact in recent TMI papers ('24, '25)!

IEEE_TMI's tweet image. Do you know Mamba❓
🚀 A deep learning innovat° by @_albertgu  @tri_dao, Mamba offers efficient, scalable alternatives to Transformers & RNNs, using structured state-space models for better handling of long-range dependencies.

Explore its impact in recent TMI papers ('24, '25)!
IEEE_TMI's tweet image. Do you know Mamba❓
🚀 A deep learning innovat° by @_albertgu  @tri_dao, Mamba offers efficient, scalable alternatives to Transformers & RNNs, using structured state-space models for better handling of long-range dependencies.

Explore its impact in recent TMI papers ('24, '25)!

David Wiesner reposted

‼️We are so excited to announce #SASHIMI2025 at #MICCAI2025 in Daejeon! 🇰🇷 🌏 This year marks a DECADE of Simulation and Synthesis in Medical Imaging! It's never been more exciting to work in this field than now. Important dates and call for papers here: sashimiworkshop.org/call_for_paper…

sashimiworkshop.org

Call for papers

Call for papers


David Wiesner reposted

🥳 Accepted paper notifications have been sent! 🥳 ‼️ If you have not received instructions for the camera-ready paper preparations, they are available on our site: 2024.sashimi-workshop.org/camera_ready/ 🌍 💫 We look forward to seeing you in less than 3 months! #SASHIMI2024 #MICCAI2024

2024.sashimi-workshop.org

Camera ready instructions

Camera ready instructions


David Wiesner reposted

🥳🎉 We are EXTENDING our submission deadline!! 🎉🥳 We are now accepting papers submitted until JUNE 29th, end of the day, anywhere on Earth! Just enough time to squeeze in another couple of pages! We're excited to see you there! 2024.sashimi-workshop.org/submission/

2024.sashimi-workshop.org

Paper submission

Paper submission


David Wiesner reposted

💫 Congrats to all with early-accepted #MICCAI2024 papers! 🔍For those whose work got lost in "reviewer noise", please consider #SASHIMI2024 for your #MedicalImaging synthesis work! 📢 Call for papers 📢 2024.sashimi-workshop.org/call_for_paper…

2024.sashimi-workshop.org

Call for papers

Call for papers


David Wiesner reposted

We’re thrilled to announce #SASHIMI2024 at #MICCAI2024 in Marrakesh! 🌍✨ Please join us for the 9th SASHIMI workshop and contribute to the future of simulation and synthesis in medical imaging! Important dates and call for papers: 2024.sashimi-workshop.org/call_for_paper… #MedicalImaging

SashimiWorkshop's tweet image. We’re thrilled to announce #SASHIMI2024 at #MICCAI2024 in Marrakesh! 🌍✨ Please join us for the 9th SASHIMI workshop and contribute to the future of simulation and synthesis in medical imaging! Important dates and call for papers: 2024.sashimi-workshop.org/call_for_paper… #MedicalImaging

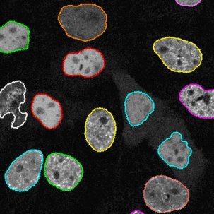
Excited to share our extended paper on 3D+time generative modeling of cell shapes with SO(3)-equivariant implicit neural representations: 📜 doi.org/10.1016/j.medi… Special thanks to @jelmerwolterink, @sukjulian, @SC_Dummer, and @VladimirUlman! @MICCAI_Society


United States Trends

Loading...

Something went wrong.


Something went wrong.