Active-Remedy
@ActiveRemedy
17 Years Experience in #SportsTherapy & #Myotherapy #DeepTissueMassage #InjuryClinic #Norwich #teachfitness Tel:07799483074
You might like
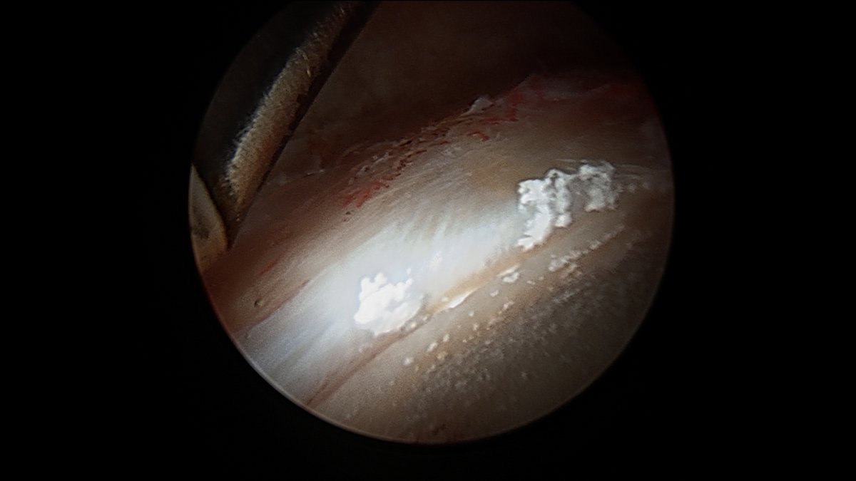
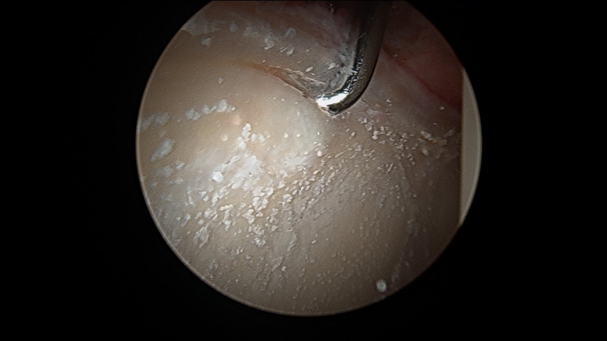
This is chondrocalcinosis isn’t it - not corticosteroid related ? 🤔
This is what a couple previous cortisone injections will look like during #hip #arthroscopy Interesting only on acetabulum, not on femoral head. Do you think these "crystals" (which, by the way, are almost impossible to get out without removing the cartilage) are a problem?
I was born a female. I identify as a female. But according to Tesco's sticky toffee pudding I'm a family of four.
Do people still use twitter? Should I be using twitter for promoting my business? What’s your opinion... #marketing #MarketingStrategy #Advertising #twitter #sportstherapist #sport #osteopath #Chiropractor #therapist #therapy #pain #backpain #shoulderpain #tendinopathy
1 vote · Final results
Spain's large-scale study on the coronavirus indicates just 5% of its population has developed antibodies, strengthening evidence that a so-called herd immunity to Covid-19 is "unachievable," the medical journal the Lancet reported cnn.it/3f3MczV
Handouts The only thing more unprecedented than the use of the word unprecedented is the thirst for #TherapyLive handouts. We asked our lovely speakers what they would like to share & put them here: drive.google.com/drive/folders/… Appreciate what is there Do not hustle for what is not
Getting to grips with social media.... very cringeworthy, but it’s a start! #sportsinjuries #sportsinjury #health #lookafteryourself #norfolk #norwich #london #sportsmassage #physicaltherapist #holisticmedicine #holistichealing #treatments #socialmedia…lnkd.in/eVpGB27
•SPINAL MANIPULATION• Amazing courses run by John Gibbons with the bodymaster_method, the author of some fantastic books written for health professionals. Leaves me wanting to learn so much more! 💕… instagram.com/p/B0tKfj6jHJS/…
Why? Because everyone seems to post photographs whilst they’re in the gym these days... #train #training #trainhardorgohome #gym #wod #workhardplayhard #workout #exercise #sweaty #sweatyselfie #benchpress… instagram.com/p/B0oaDFzj7ds/…
It’s not just massage that’s on offer, as trained in many other techniques. What else? Trigger Pointing, Myofascial Release, Hot & Cold Stones, MET stretching, PNF stretching, Soft Tissue Release, Frictioning.... &… instagram.com/p/B0jUM_JDXOZ/…
Outdoor gym.... the one piece of equipment that threw me was this.... the shopping trolley 😂 The ex Personal Trainer in me was thinking of what exercises I could do with it 🙈🤣 #outdoorgym #personaltrainer… instagram.com/p/B0asWveDL4G/…
Aftermath of yesterday’s injury.... notice how there is no swelling when yesterday it was so prominent? Ice applied immediately does wonders, as does compression to restrict the area from swelling up more than… instagram.com/p/B0TrYh7D_rN/…
Outside gym ✔️ Kickbag ✔️ = Happy 😊 #karate #kickboxing #boxing #martialarts #womeninfitness #trainhardorgohome #outdoorgym #fitnesssession #gym #happygirl #training instagram.com/p/B0QNKJZDRQf/…
It’s that time!!!! Spinal Manipulation Course 🤗 #spinalmanipulation #sportstherapy #physio #chiropracticadjustment #sportsmassage #certificates #loveacertificate #study #womeninbusiness #workhardplayhard… instagram.com/p/B0NnlOQjZAC/…
Moving items from storage today with these two awesome guys who I am so thankful for 👏🏼 Recognise Peter Mendlesham? Ex Norwich City Football player ⚽️ #movingday #norwich #norwichcity #norwichfc #football… instagram.com/p/B0Gl30vjBHR/…
Love this 💕 Think I need to get some T-shirt’s made up with this slogan. “Sports Therapists, we solve problems you didn’t know you had, in ways you wouldn’t understand” #sportstherapy #sportsmassage… instagram.com/p/Bz-6qQGDua9/…
How long do you spend on your hair, make-up, outfits? Compare this to how much you spend investing in your health..... Massage it isn’t just to de-stress or to relax. Check out these 25 benefits to having regular… instagram.com/p/Bz6G2T8Dxxv/…
When I started painting I enjoyed the process...... 3 days later I’ve had enough!! Must keep going. . . . . . #workhardplayhard #currentlyworkinghard #werkwerkwerk #therapystudio #therapy #physio #physiotherapy… instagram.com/p/Bz06aZrj-Rw/…
Last minute appointments up for a massage up grabs for tomorrow! Offered at HALF PRICE.... #lastminutedeals #offer #amazingoffer #halfprice #halfpricesale #physiotherapy #massage #massagetherapy #injuryassessment… instagram.com/p/BzvaGodDVUk/…
United States Trends
- 1. Patriots N/A
- 2. Patriots N/A
- 3. Drake Maye N/A
- 4. Sean Payton N/A
- 5. Stidham N/A
- 6. Pats N/A
- 7. #AFCChampionshipGame N/A
- 8. #NEvsDEN N/A
- 9. Tony Romo N/A
- 10. $GHOST N/A
- 11. Campbell N/A
- 12. Josh McDaniels N/A
- 13. Lutz N/A
- 14. Stiddy N/A
- 15. Travis Scott N/A
- 16. Gonzo N/A
- 17. Christian Gonzalez N/A
- 18. Leonard Taylor N/A
- 19. Baringer N/A
- 20. Mike Vrabel N/A
Something went wrong.
Something went wrong.