
Applied Radiation Oncology
@Applied_RadOnc
ARO publishes peer-reviewed clinical review articles, research, and clinical cases for Radiation Oncology professionals online.
Dit vind je misschien leuk
FDA breast density reporting is in effect—but are providers ready for patient conversations? DBI Executive Director @JoAnnPushkin's new @Applied_Rad article breaks down supplemental screening options and what comes after notification: ow.ly/bHFC50XaQFl #DenseBreasts

Case Study: Radiation Therapy-Induced Toxicity in a Breast Cancer Patient With Variance of Unknown Significance in the Ataxia Telangiectasia Gene 🔗 ow.ly/kZN750XaMkC ⚠️ The following content contains medical images that may be disturbing to some viewers. Viewer…

Case Report: Radiation Recall Dermatitis with Docetaxel and Cyclophosphamide in a Case of Early Stage Breast Cancer Considered High Risk 🔗 ow.ly/TALj50XawBh ⚠️ The following content contains medical images that may be disturbing to some viewers. Viewer discretion is…

“More than a thousand patients in our trial have now shown that, with contemporary treatments, we can deliver curative radiation in a way that preserves multiple aspects of quality of life.” 🩷 ow.ly/T9gx30sQcqM #BCAM25 #BreastCancerAwarenessMonth #Pinktober #ASTRO25

Breakthroughs in radiation medicine start with clinical trials. Catch up on the key insights shared in the #ASTRO25 Clinical Trials session: ow.ly/QHW850X78PI




Artificial Intelligence: Aiding Precision and Practice in Radiation Oncology 🔗 ow.ly/Gh4c50X9svV #AI #RadOnc #RadiationOncology

“Our study suggests that AI may help flag the cancers that matter most, the ones more likely to progress quickly,” Bahl noted. 🩷 ow.ly/wH8g30sQcqK #BCAM25 #BreastCancerAwarenessMonth #Pinktober #AI

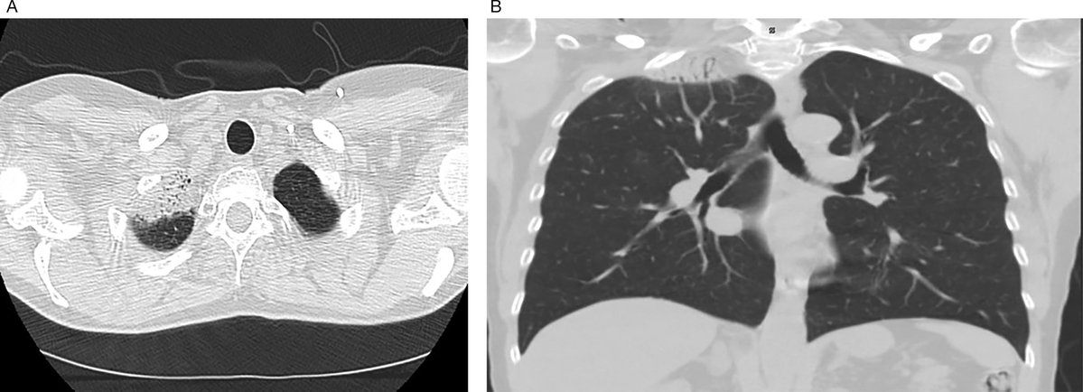
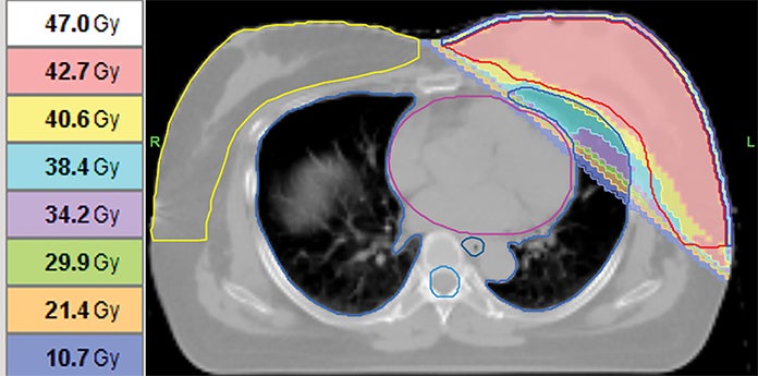
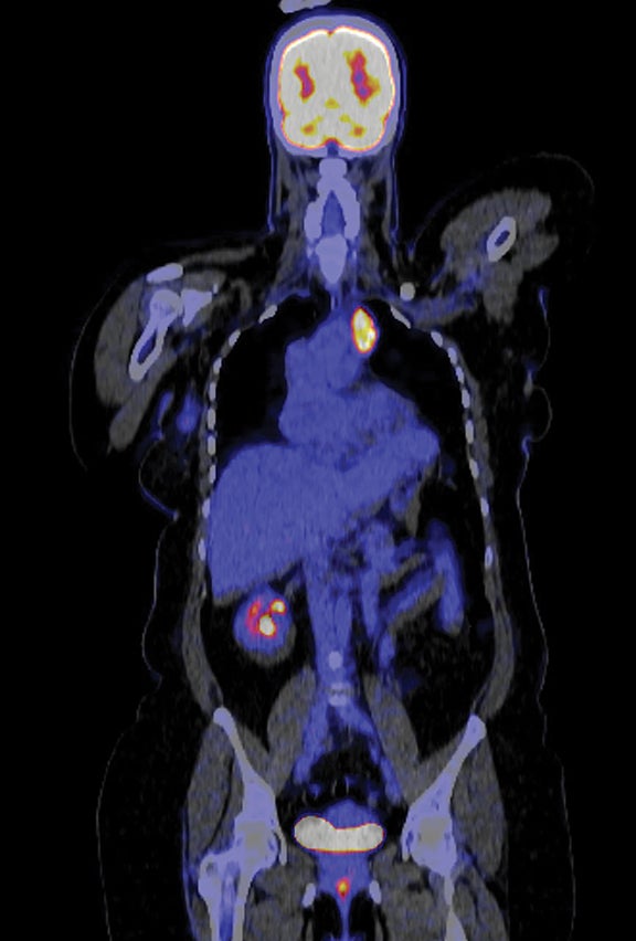
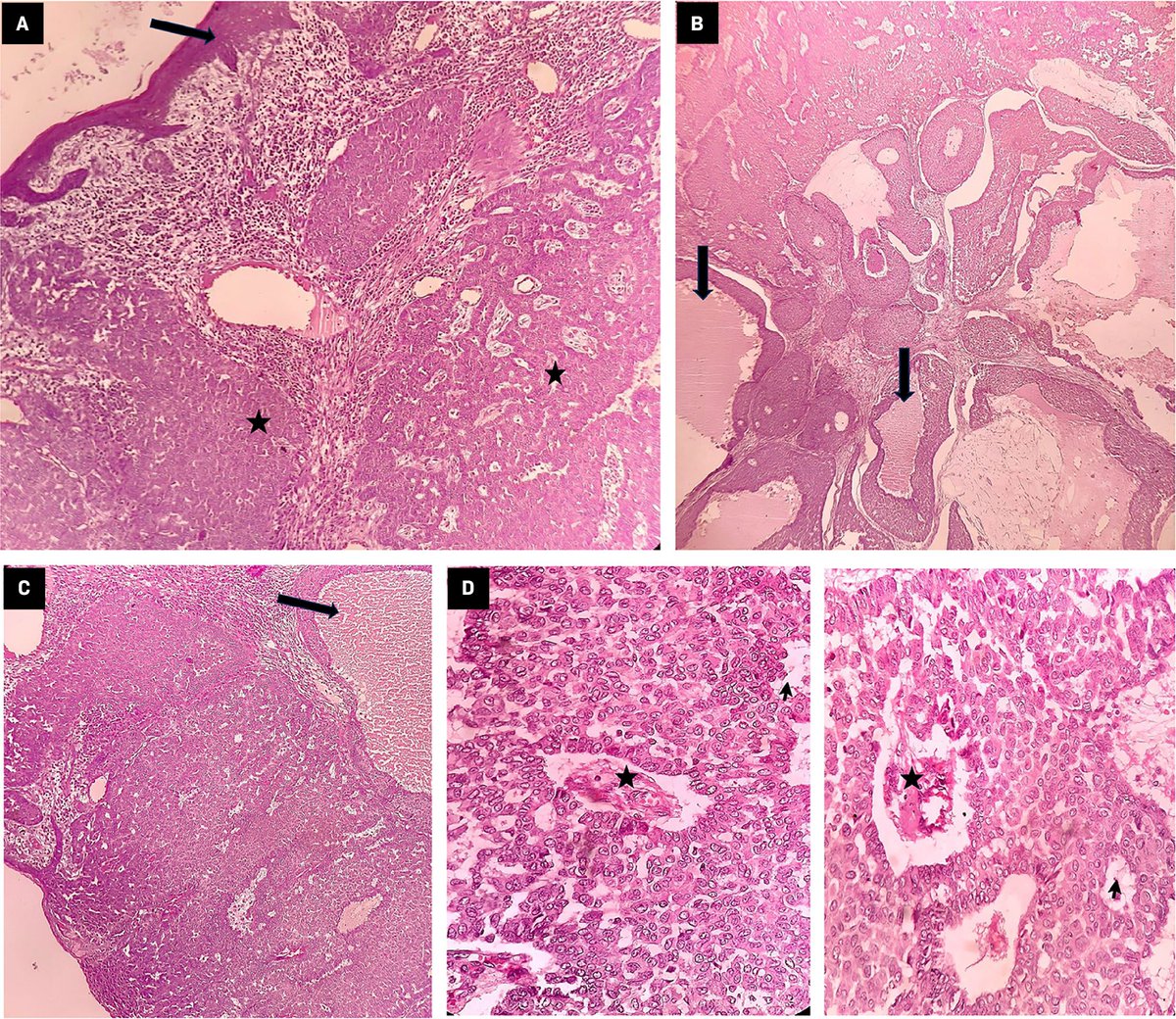
Case Report: Mediastinal Epithelioid Hemangioendothelioma in a Patient With Concurrent Early Stage Right Breast Cancer 💗🔗 ow.ly/88Kj50X8URp #BCAM25 #BreastCancerAwarenessMonth #WomensHealth #RadOncEd #MedEd

🎙️ New Beam On Podcast: The Radiation Oncology Match: A Post-Mortem Analysis | Part 2 🔗 share.transistor.fm/s/b83d8c7d Jessica Bai, a 4th-year medical student at Case Western Reserve University, talks with @SylviaChoo5 and @AnthonyAlanis01 —newly matched radiation oncologists—about…

Want to hear more from radiation oncologist Neha Vapiwala, MD, FACR, FASTRO, FASCO? 🔗 bit.ly/4lQBfV9 @S_W_R_O #RadOnc #RadiationOncologist #WeWhoCurie #WomenWhoCurie

As of September 10, 2024, all mammography facilities in the United States must inform a patient if their breasts are “dense” or “not dense” as part of thier mammography results. Are you ready to be the resource your patients needs? 🔗 bit.ly/3VUBEtZ @Bayer…

Did you know our DNA contains ancient viruses? 🧬 Human Endogenous Retroviruses (HERVs) are usually silent, but in cancer, they can be re-expressed. Learn how HERVs may impact cancer research in my conversation with Kennady Bullock, a postdoctoral fellow in my lab at Moffitt…
Case Report: A Rare Case of Sweat Gland Carcinoma of the Breast 💗🔗 ow.ly/k8zo50X7kqu #BCAM25 #BreastCancerAwarenessMonth #WomensHealth #RadOncEd #MedEd


“This MRI-based predictive model could facilitate timely tailoring of clinical regimens after immunotherapy initiation by informing optimal de-escalation strategies for responders while prompting therapeutic adaptations for nonresponders.” 💗 ow.ly/5K1G50X7in3 #BCAM25…

💗 October is Breast Cancer Awareness Month In radiation oncology, technology meets compassion — every plan, every dose, every moment is shaped by precision and care. Here’s to the clinicians and patients who turn courage into cure. #RadiationOncology #BreastCancerAwareness…

“For patients who do not respond to traditional therapies and are at high risk of complications, noninvasive radiation may be a safer alternative.” 🔗 ow.ly/bNsx50X5naR #ASTRO25 #ASTRO2025 #RadOnc #RadiationTherapy

“This needs to be a multinational effort and requires considerable funding, so there is a lot of work to be done,” Dr. Siva said. 🔗 ow.ly/pBbK50X5n9V #ASTRO #ASTRO25 #ASTRO2025 #RadOnc

“We’re committed to advancing this technology to support clinicians and improve care for women worldwide.” 🔗 ow.ly/5GKC50X5nan #BCAM #BCAM25 #AI #EUSOBI25

"The results help clarify what patients can expect from shorter versus longer courses of radiation therapy and enable more personalized treatment decisions." 🔗 ow.ly/jS5850X4BfH #ASTRO25 #ASTRO2025 #RadOnc #ProstateCancer

Want to know what other insights David Penberthy, MD, MBA, the program director of the Radiation Oncology Residency Program at UVA Health System ( @uvahealthnews ) shared? 🔗 bit.ly/3FF1jC5 #RadOnc #RadOncResident #RadOncResidency #Resident

United States Trends
- 1. #2025MAMAVOTE 767K posts
- 2. $ZOOZ N/A
- 3. Good Thursday 26.4K posts
- 4. #ThursdayThoughts 1,681 posts
- 5. Mila 17.6K posts
- 6. Happy Friday Eve N/A
- 7. Deloitte 11.8K posts
- 8. #thursdayvibes 2,549 posts
- 9. Deport Harry Sisson 16.6K posts
- 10. #thursdaymotivation 2,369 posts
- 11. Ninja Gaiden 16.6K posts
- 12. #2025MAMAAWARDS 246K posts
- 13. Tomonobu Itagaki 11.7K posts
- 14. Dead or Alive 14.8K posts
- 15. DuPont 2,363 posts
- 16. Jennifer Welch 5,248 posts
- 17. Bernie 42.1K posts
- 18. Happy 60th N/A
- 19. RIP Big Mac N/A
- 20. MC FELIX FRIDGE INTERVIEW 17.3K posts
Dit vind je misschien leuk
-
ESTRO
@ESTRO_RT -
ARRO
@ARRO_org -
ASTRO
@ASTRO_org -
ACROresident
@ACROresident -
Radiation Oncology Institute-The ASTRO Foundation
@RO_Institute -
ROECSG (Rad Onc Education Collab Study Group)
@roecsg -
IJROBP - The Red Journal
@IJROBP -
radoncreview_org
@radoncreview -
the Radiosurgery Society
@the_RSS -
Ben Slotman
@bslotman -
SWRO
@S_W_R_O -
ACRO - American College of Radiation Oncology
@ACRORadOnc -
ASTRO Chair Sameer Keole
@ASTRO_Chair -
Daniel E Spratt
@DrSpratticus -
Robert Timmerman
@BobTimmermanMD
Something went wrong.
Something went wrong.