BasicNeurosurge's profile picture. Your online resource for high yield & interesting #neurosurgery content + daily quiz questions

Basic Neurosurgery

@BasicNeurosurge

Your online resource for high yield & interesting #neurosurgery content + daily quiz questions

Basic Neurosurgery reposted

The first woman to be awarded a Nobel Prize, the first individual to be awarded two Nobel Prizes and still today the only individual with two Nobel Prizes in two different scientific categories: Marie Skłodowska Curie. Learn more: nobelprize.org/prizes/chemist…

NobelPrize's tweet image. The first woman to be awarded a Nobel Prize, the first individual to be awarded two Nobel Prizes and still today the only individual with two Nobel Prizes in two different scientific categories: Marie Skłodowska Curie.

Learn more: nobelprize.org/prizes/chemist…

Basic Neurosurgery will go on a short hiatus with regards to posting Daily #Neurosurgery Quiz Question. We appreciate your understanding. Nevertheless, we will post the documents with all 425 questions in the next few days. Thank you for all the support and engagement!


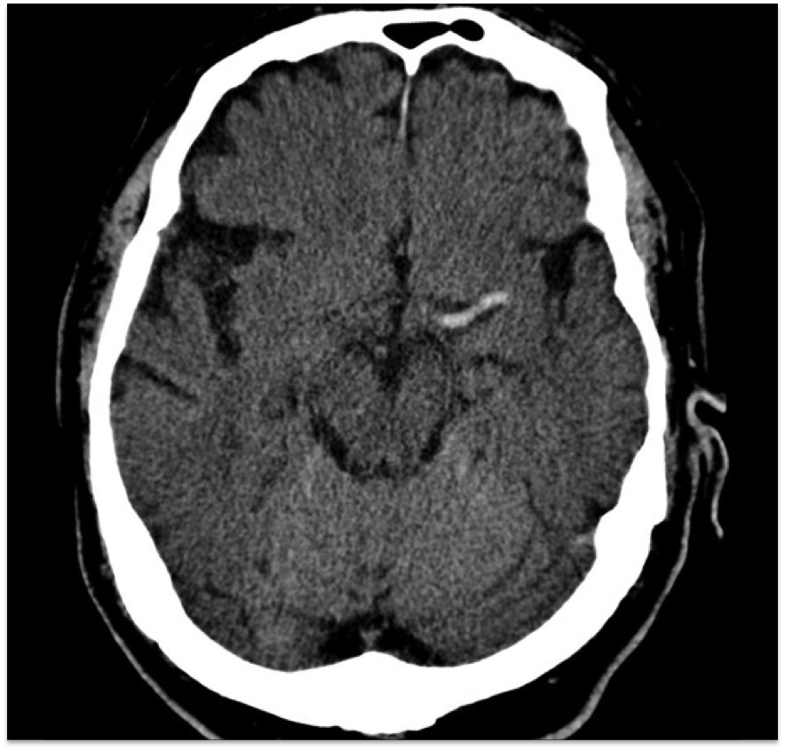
Daily #Neurosurgery Quiz 425 Answer: Hyperdense MCA sign

Daily #Neurosurgery Quiz Question 425: What radiographic sign is seen in the image below? Comment with your answer! Source: Andrew Dixon @Radiopaedia

BasicNeurosurge's tweet image. Daily #Neurosurgery Quiz Question 425: 

What radiographic sign is seen in the image below? 

Comment with your answer!
Source: Andrew Dixon @Radiopaedia


Daily #Neurosurgery Quiz Question 425: What radiographic sign is seen in the image below? Comment with your answer! Source: Andrew Dixon @Radiopaedia

BasicNeurosurge's tweet image. Daily #Neurosurgery Quiz Question 425: 

What radiographic sign is seen in the image below? 

Comment with your answer!
Source: Andrew Dixon @Radiopaedia

Daily #Neurosurgery Quiz 424 Answer: C

Daily #Neurosurgery Quiz Question 424 Comment with your answer!

BasicNeurosurge's tweet image. Daily #Neurosurgery Quiz Question 424
Comment with your answer!


Daily #Neurosurgery Quiz 423 Answer: Lemon sign, and for example it may be associated with spina bifida and chiari malformation

Daily #Neurosurgery Quiz Question 423: What is the name of the sign seen in the fetal ultrasound below? Can you name two conditions it is associated with? Comment with your answers! Source: doi.org/10.1148/radiol…

BasicNeurosurge's tweet image. Daily #Neurosurgery Quiz Question 423: 

What is the name of the sign seen in the fetal ultrasound below? Can you name two conditions it is associated with? 

Comment with your answers!
Source: doi.org/10.1148/radiol…


Daily #Neurosurgery Quiz Question 424 Comment with your answer!

BasicNeurosurge's tweet image. Daily #Neurosurgery Quiz Question 424
Comment with your answer!

Daily #Neurosurgery Quiz Question 423: What is the name of the sign seen in the fetal ultrasound below? Can you name two conditions it is associated with? Comment with your answers! Source: doi.org/10.1148/radiol…

BasicNeurosurge's tweet image. Daily #Neurosurgery Quiz Question 423: 

What is the name of the sign seen in the fetal ultrasound below? Can you name two conditions it is associated with? 

Comment with your answers!
Source: doi.org/10.1148/radiol…

Daily #Neurosurgery Quiz 422 Answer: D

Daily #Neurosurgery Quiz Question 422 Comment with your answer!

BasicNeurosurge's tweet image. Daily #Neurosurgery Quiz Question 422
Comment with your answer!


Daily #Neurosurgery Quiz 421 Answer: C

Daily #Neurosurgery Quiz Question 421 Comment with your answer!

BasicNeurosurge's tweet image. Daily #Neurosurgery Quiz Question 421
Comment with your answer!


Daily #Neurosurgery Quiz Question 422 Comment with your answer!

BasicNeurosurge's tweet image. Daily #Neurosurgery Quiz Question 422
Comment with your answer!

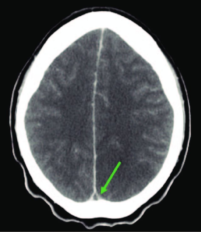
Daily #Neurosurgery Quiz 420 Answer: Empty delta sign suggesting a venous sinus thrombus

Daily #Neurosurgery Quiz Question 420: What classic neuroradiographic sign is indicated by the arrow and what is the diagnosis? Comment with your answers! Source: doi: 10.1093/jscr/rjt035

BasicNeurosurge's tweet image. Daily #Neurosurgery Quiz Question 420: 

What classic neuroradiographic sign is indicated by the arrow and what is the diagnosis? 

Comment with your answers!
Source: doi: 10.1093/jscr/rjt035


Daily #Neurosurgery Quiz Question 421 Comment with your answer!

BasicNeurosurge's tweet image. Daily #Neurosurgery Quiz Question 421
Comment with your answer!

Basic Neurosurgery reposted

Helmet injury is so much better than skull and brain damage. credit med.bit

OGdukeneurosurg's tweet image. Helmet injury is so much better than skull and brain damage. credit med.bit

Daily #Neurosurgery Quiz 419 Answer: a) ependymoma & astrocytoma b) schwannoma and meningioma c) bone tumors and metastatic

Daily #Neurosurgery Quiz Question 419 List the two most common spinal tumors for each of the following locations: a) intramedullary; b) intradural extramedullary; & c) extradural Comment with your answers!



Daily #Neurosurgery Quiz Question 420: What classic neuroradiographic sign is indicated by the arrow and what is the diagnosis? Comment with your answers! Source: doi: 10.1093/jscr/rjt035

BasicNeurosurge's tweet image. Daily #Neurosurgery Quiz Question 420: 

What classic neuroradiographic sign is indicated by the arrow and what is the diagnosis? 

Comment with your answers!
Source: doi: 10.1093/jscr/rjt035

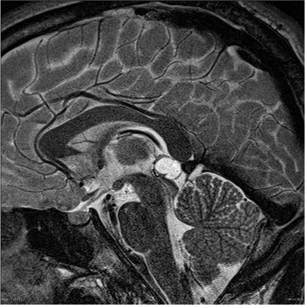
Daily #Neurosurgery Quiz 418 Answer: T2 MRI showing a pineal cyst

Daily #Neurosurgery Quiz Question 418: What MRI sequence is seen and what is the pathology seen in the image? Comment with your answer! Source: Frank Gaillard (@Radiopaedia)

BasicNeurosurge's tweet image. Daily #Neurosurgery Quiz Question 418:  

What MRI sequence is seen and what is the pathology seen in the image? 

Comment with your answer!
Source:  Frank Gaillard (@Radiopaedia)


Daily #Neurosurgery Quiz Question 419 List the two most common spinal tumors for each of the following locations: a) intramedullary; b) intradural extramedullary; & c) extradural Comment with your answers!


Daily #Neurosurgery Quiz Question 418: What MRI sequence is seen and what is the pathology seen in the image? Comment with your answer! Source: Frank Gaillard (@Radiopaedia)

BasicNeurosurge's tweet image. Daily #Neurosurgery Quiz Question 418:  

What MRI sequence is seen and what is the pathology seen in the image? 

Comment with your answer!
Source:  Frank Gaillard (@Radiopaedia)

Daily #Neurosurgery Quiz 417 Answer: Lateral corticospinal tract

Daily #Neurosurgery Quiz Question 417: What spinal tract is depicted in the image below? Comment with your answer!

BasicNeurosurge's tweet image. Daily #Neurosurgery Quiz Question 417: 

What spinal tract is depicted in the image below? 

Comment with your answer!


Loading...

Something went wrong.


Something went wrong.