Blog_Mareeba's profile picture. うさぎの病院 つくば院長。うさぎや獣医師に関することを発信しています。2025年1月14日(火)に茨城県つくば市にうさぎ・齧歯類専門病院『うさぎの病院 つくば』を開業🐰 病院のインスタもフォローをお願いします!お仕事のご依頼はDMもしくは下記リンクにて✉️尚、飼育相談等はお受けしておりませんのでご了承下さい。

古谷 昌大@うさぎの病院 つくば🐰

@Blog_Mareeba

うさぎの病院 つくば院長。うさぎや獣医師に関することを発信しています。2025年1月14日(火)に茨城県つくば市にうさぎ・齧歯類専門病院『うさぎの病院 つくば』を開業🐰 病院のインスタもフォローをお願いします!お仕事のご依頼はDMもしくは下記リンクにて✉️尚、飼育相談等はお受けしておりませんのでご了承下さい。

Disematkan

『うさぎの病院 つくば』のインスタグラムアカウントを作りました! インスタでも開業準備の様子や開業後にうさぎに関する様々な情報を発信していきますので以下のURLまたはQRコードから是非フォローしていただけると嬉しいです🐰 instagram.com/rabbit_clinic_…

Blog_Mareeba's tweet image. 『うさぎの病院 つくば』のインスタグラムアカウントを作りました!

インスタでも開業準備の様子や開業後にうさぎに関する様々な情報を発信していきますので以下のURLまたはQRコードから是非フォローしていただけると嬉しいです🐰

instagram.com/rabbit_clinic_…

当院インスタのフォロワー様が5000人に! いつもありがとうございます🐰 #うさぎ #うさぎのびょ

Blog_Mareeba's tweet image. 当院インスタのフォロワー様が5000人に!

いつもありがとうございます🐰
#うさぎ #うさぎのびょ

うさんぽさせる際はうさぎを人間でいう3歳児だと思って接し、障害となりうる可能性のある物を片付け、必ず目を離さないで下さい。 目を離した一瞬で骨折などの事故や誤食などをしてしまいます。 目を離す場合はサークルを設置しましょう。…


飼い主様が肉垂(マフ)だと思っていたものが実は腫瘤だったということがあります。 写真の子も別の症状でお連れになり診察の時に握り拳2,3個程の大きさの腫瘤が見つかりました。 腫瘤の代表的なものは腫瘍や膿瘍で、肉垂は柔らかいですが、腫瘤は軟性や弾性、硬固など様々な感触です。…

Blog_Mareeba's tweet image. 飼い主様が肉垂(マフ)だと思っていたものが実は腫瘤だったということがあります。

写真の子も別の症状でお連れになり診察の時に握り拳2,3個程の大きさの腫瘤が見つかりました。

腫瘤の代表的なものは腫瘍や膿瘍で、肉垂は柔らかいですが、腫瘤は軟性や弾性、硬固など様々な感触です。…
Blog_Mareeba's tweet image. 飼い主様が肉垂(マフ)だと思っていたものが実は腫瘤だったということがあります。

写真の子も別の症状でお連れになり診察の時に握り拳2,3個程の大きさの腫瘤が見つかりました。

腫瘤の代表的なものは腫瘍や膿瘍で、肉垂は柔らかいですが、腫瘤は軟性や弾性、硬固など様々な感触です。…
Blog_Mareeba's tweet image. 飼い主様が肉垂(マフ)だと思っていたものが実は腫瘤だったということがあります。

写真の子も別の症状でお連れになり診察の時に握り拳2,3個程の大きさの腫瘤が見つかりました。

腫瘤の代表的なものは腫瘍や膿瘍で、肉垂は柔らかいですが、腫瘤は軟性や弾性、硬固など様々な感触です。…

獣医師も一人間でそれぞれ働いてきた病院や環境が異なるため様々な意見や考え方、治療法があります。 「この先生が言うことは絶対正しい!」と鵜呑みにするのではなく、多くの考え方、意見を取り入れ、基本的なことは守りつつ、自分に合ったお世話の仕方や治療法を選択することをお勧めします。…


【お勧めのうさグッズ🐰】 計量カップ 50ml(100均、ニトリ) 調理器具コーナーにある50mlの計量カップ。…

Blog_Mareeba's tweet image. 【お勧めのうさグッズ🐰】
計量カップ 50ml(100均、ニトリ)

調理器具コーナーにある50mlの計量カップ。…
Blog_Mareeba's tweet image. 【お勧めのうさグッズ🐰】
計量カップ 50ml(100均、ニトリ)

調理器具コーナーにある50mlの計量カップ。…
Blog_Mareeba's tweet image. 【お勧めのうさグッズ🐰】
計量カップ 50ml(100均、ニトリ)

調理器具コーナーにある50mlの計量カップ。…

生まれたばかりのデグーちゃん5匹! 可愛い〜☺️ #うさぎの病院


【うさドックのご案内】 当院では健康診断『うさドック』を3つのプランでご用意しております。 4歳未満であれば年1回以上、4歳以上は年2回以上のうさドックをお勧めします🐰 フォトサービス(ご希望により当院インスタグラムに掲載)も大好評です!📸…

Blog_Mareeba's tweet image. 【うさドックのご案内】

当院では健康診断『うさドック』を3つのプランでご用意しております。

4歳未満であれば年1回以上、4歳以上は年2回以上のうさドックをお勧めします🐰

フォトサービス(ご希望により当院インスタグラムに掲載)も大好評です!📸…

うさぎをお迎えする前に確認しとくべきこと。 ・基本となる食事、おやつが必要か否か ・お世話の仕方 ・なりやすい病気、予防できる病気 ・避妊去勢の必要性とそれにかかる費用 ・うさぎを診れる動物病院の有無 ・家族がお迎えに賛成か否か ・約10年、時間を捧げられるかどうか…


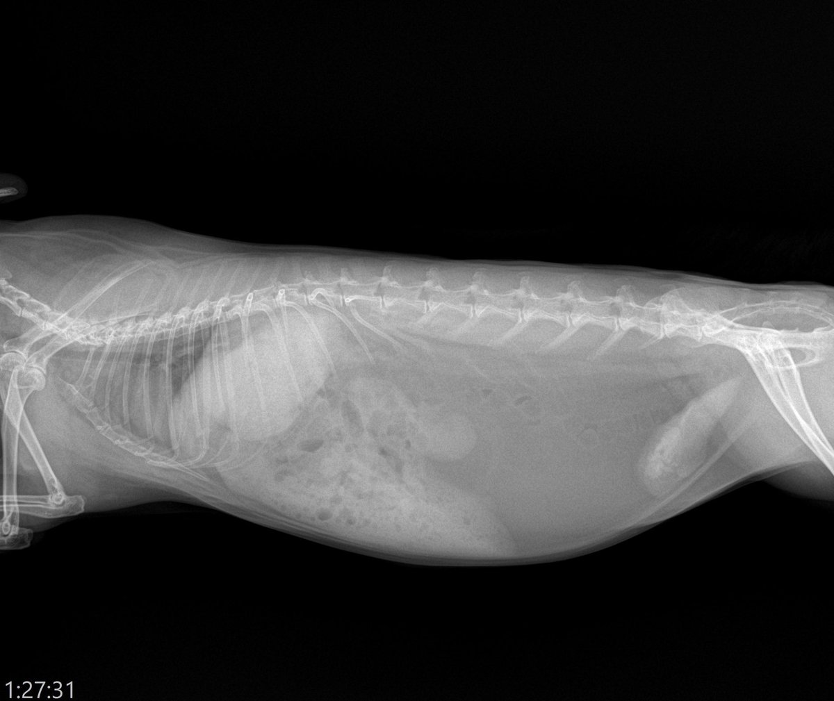
【肥満のうさぎのレントゲン】 レントゲンで空気は黒くポツポツと写るので腸内のガスは健康的な体型の子では黒いポツポツ(青囲い🔵)が腹腔内全体を占めるのが正常になります。(写真1,2枚目)…

Blog_Mareeba's tweet image. 【肥満のうさぎのレントゲン】
レントゲンで空気は黒くポツポツと写るので腸内のガスは健康的な体型の子では黒いポツポツ(青囲い🔵)が腹腔内全体を占めるのが正常になります。(写真1,2枚目)…
Blog_Mareeba's tweet image. 【肥満のうさぎのレントゲン】
レントゲンで空気は黒くポツポツと写るので腸内のガスは健康的な体型の子では黒いポツポツ(青囲い🔵)が腹腔内全体を占めるのが正常になります。(写真1,2枚目)…
Blog_Mareeba's tweet image. 【肥満のうさぎのレントゲン】
レントゲンで空気は黒くポツポツと写るので腸内のガスは健康的な体型の子では黒いポツポツ(青囲い🔵)が腹腔内全体を占めるのが正常になります。(写真1,2枚目)…
Blog_Mareeba's tweet image. 【肥満のうさぎのレントゲン】
レントゲンで空気は黒くポツポツと写るので腸内のガスは健康的な体型の子では黒いポツポツ(青囲い🔵)が腹腔内全体を占めるのが正常になります。(写真1,2枚目)…

めちゃ可愛いステッカー完成🐰 ご来院された方には無料で配布中! #うさぎ #うさぎの病院

Blog_Mareeba's tweet image. めちゃ可愛いステッカー完成🐰

ご来院された方には無料で配布中!
#うさぎ #うさぎの病院

ぽみーゆりおさん(@yurio_pommy )がリリース予定のうさぎ育成ゲーム『いつも、うさぎと一緒なら』に私自身がうさぎさん姿で登場しちゃいます!笑🐰 #うさぎ #うさぎの病院 #いつうさ

\お知らせ🐰/ 新作うさぎ育成ゲーム『いつも、うさぎと一緒なら』ではうさぎ病院が登場! なんと、獣医先生はあのうさぎの病院 つくばの古谷先生がうさぎさんの姿になって登場!🥰 引き続き、リリースまでどうぞお楽しみに! ※添付の画面は実際のゲーム画面と異なる可能性がございます #いつうさ

itsuusa_jp's tweet image. \お知らせ🐰/
新作うさぎ育成ゲーム『いつも、うさぎと一緒なら』ではうさぎ病院が登場!
なんと、獣医先生はあのうさぎの病院 つくばの古谷先生がうさぎさんの姿になって登場!🥰

引き続き、リリースまでどうぞお楽しみに!

※添付の画面は実際のゲーム画面と異なる可能性がございます
#いつうさ


本日10月6日は十五夜ですね🍡 今夜は空を見上げて一息ついてみてはいかがでしょうか?🌕 #うさぎ #うさぎの病院 #十五夜 #お月見


商品名は伏せますがうさぎを含む小動物に水分補給用の飲水料や粉末は必要ありません。 スポーツドリンクみたいなもので甘く美味しいのでそれに慣れてしまうと水道水を飲まなくなってしまうことがあり、そうなってしまうと元に戻すのはめちゃくちゃ大変です。…


古谷 昌大@うさぎの病院 つくば🐰 memposting ulang

\お知らせ🐰/ 現在、新しいうさぎ育成ゲームを開発しています! 大好きなうさぎの世界を、もっと楽しく、やさしく、みなさまにお届けできるよう準備中です☺️✨ 本作では「うさぎと人が一緒に暮らす楽しさ」をより深く感じてもらえるような内容を目指しています!…

itsuusa_jp's tweet image. \お知らせ🐰/
現在、新しいうさぎ育成ゲームを開発しています!
大好きなうさぎの世界を、もっと楽しく、やさしく、みなさまにお届けできるよう準備中です☺️✨
本作では「うさぎと人が一緒に暮らす楽しさ」をより深く感じてもらえるような内容を目指しています!…

もっと購入しても良いんですよ…⁈😏 #うさぎ #うさぎのきもち #うさぎの病院

・古谷先生@Blog_Mareeba 監修の健康管理の記事 ・澤田先生@RabbitsAC 牧草アドバイス ・大賀さん@taiga15 のイラスト ・ぽみーゆりおさん@yurio_pommy と うみちゃんねるさん@umiusagi_ch の牧草奮闘記 と、相互フォローの方が沢山載ってたので買いました 大賀さんのポーチ可愛い #うさぎのきもち

dattman2024's tweet image. ・古谷先生@Blog_Mareeba 監修の健康管理の記事
・澤田先生@RabbitsAC 牧草アドバイス
・大賀さん@taiga15 のイラスト
・ぽみーゆりおさん@yurio_pommy と
うみちゃんねるさん@umiusagi_ch の牧草奮闘記

と、相互フォローの方が沢山載ってたので買いました
大賀さんのポーチ可愛い

#うさぎのきもち
dattman2024's tweet image. ・古谷先生@Blog_Mareeba 監修の健康管理の記事
・澤田先生@RabbitsAC 牧草アドバイス
・大賀さん@taiga15 のイラスト
・ぽみーゆりおさん@yurio_pommy と
うみちゃんねるさん@umiusagi_ch の牧草奮闘記

と、相互フォローの方が沢山載ってたので買いました
大賀さんのポーチ可愛い

#うさぎのきもち


一部テーマを監修させていただいた「うさぎのきもちvol.7」が本日発売! Amazonペットカテゴリ1位🙌 ご購入がまだの方は是非🐰 amzn.to/48Cch7A #うさぎ #うさぎのきもち #うさぎの病院


一部監修させていただいた9月24日発売予定の『うさぎのきもち vol.7』の見本誌が届きました! 付録も可愛い!🐰 アマゾンで予約もできますのでまだの方は下記URLから是非! amzn.to/4nmklOk #うさぎ #うさぎの病院

Blog_Mareeba's tweet image. 一部監修させていただいた9月24日発売予定の『うさぎのきもち vol.7』の見本誌が届きました!

付録も可愛い!🐰

アマゾンで予約もできますのでまだの方は下記URLから是非!
amzn.to/4nmklOk

#うさぎ #うさぎの病院
Blog_Mareeba's tweet image. 一部監修させていただいた9月24日発売予定の『うさぎのきもち vol.7』の見本誌が届きました!

付録も可愛い!🐰

アマゾンで予約もできますのでまだの方は下記URLから是非!
amzn.to/4nmklOk

#うさぎ #うさぎの病院
Blog_Mareeba's tweet image. 一部監修させていただいた9月24日発売予定の『うさぎのきもち vol.7』の見本誌が届きました!

付録も可愛い!🐰

アマゾンで予約もできますのでまだの方は下記URLから是非!
amzn.to/4nmklOk

#うさぎ #うさぎの病院
Blog_Mareeba's tweet image. 一部監修させていただいた9月24日発売予定の『うさぎのきもち vol.7』の見本誌が届きました!

付録も可愛い!🐰

アマゾンで予約もできますのでまだの方は下記URLから是非!
amzn.to/4nmklOk

#うさぎ #うさぎの病院

YouTubeなどでうさぎを抱っこしている動画を見て、「皆んな簡単に家で抱っこしていますがうちの子は…」と仰る方がいますが、抱っこさせてくれるうさぎの動画が投稿されているだけなので悲観されなくて大丈夫です。 そもそも、抱っこさせてくれるうさぎの方が少ないです。…


【うさぎの主食はチモシー1番刈り!】 チモシー1番刈りを茎まで食べてくれるのが理想ですが、柔らかいところだけを選んで食べている子も多いです。…


Loading...

Something went wrong.


Something went wrong.