BrainIsThePath's profile picture. Neuropathologist @DukePathDept #neuropath | Duke Neuropathology Fellowship Program Director | @neuropathology fan girl | Tweets/RT for education only

Karra Jones, MD, PhD

@BrainIsThePath

Neuropathologist @DukePathDept #neuropath | Duke Neuropathology Fellowship Program Director | @neuropathology fan girl | Tweets/RT for education only

Pinned

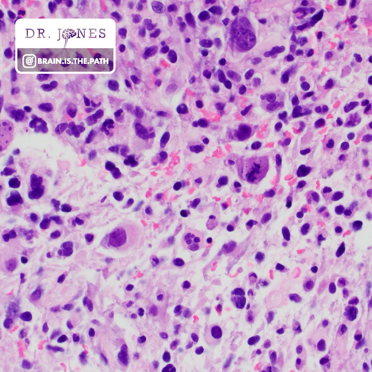
Let's work through a case together! Young adult with hemispheric brain mass with post-contrast enhancement. 1. What is your histologic diagnosis 2. What IHC and/or molecular tests should we consider when we see this specific histopathology? #neuropath @UIPathology

BrainIsThePath's tweet image. Let's work through a case together! Young adult with hemispheric brain mass with post-contrast enhancement. 
1. What is your histologic diagnosis
2. What IHC and/or molecular tests should we consider when we see this specific histopathology?
#neuropath @UIPathology
BrainIsThePath's tweet image. Let's work through a case together! Young adult with hemispheric brain mass with post-contrast enhancement. 
1. What is your histologic diagnosis
2. What IHC and/or molecular tests should we consider when we see this specific histopathology?
#neuropath @UIPathology
BrainIsThePath's tweet image. Let's work through a case together! Young adult with hemispheric brain mass with post-contrast enhancement. 
1. What is your histologic diagnosis
2. What IHC and/or molecular tests should we consider when we see this specific histopathology?
#neuropath @UIPathology

Karra Jones, MD, PhD reposted

Thinking about where to go for residency? Come to Duke’s online First Look Event on Wed., Aug. 28th, 7-8:30 p.m. ET & talk to program leaders, faculty, & residents. ALL med students welcome. Register here duke.is/Duke-First-Loo… #PathologyResident @dukegme

DukePathDept's tweet image. Thinking about where to go for residency? Come to Duke’s online First Look Event on Wed., Aug. 28th, 7-8:30 p.m. ET & talk to program leaders, faculty, & residents. ALL med students welcome. 
Register here duke.is/Duke-First-Loo… 
#PathologyResident @dukegme

Join @neuropathology and @AMPath for our very exciting new course on Molecular Neuropathology! Monthly virtual lectures and in-person component at #2025AANP meeting. Register and boost your brain tumor molecular skills! neuropath.org/molecular-neur… FREE for trainees!

BrainIsThePath's tweet image. Join @neuropathology  and @AMPath  for our very exciting new course on Molecular Neuropathology! Monthly virtual lectures and in-person component at #2025AANP meeting. Register and boost your brain tumor molecular skills! neuropath.org/molecular-neur…  FREE for trainees!

What a fun day at #neuropath2024 #aanp100! @DukePathDept represents with fellow @GChamberlinMD's presentation on meningiomas and future fellow @Levi_Endelman's poster. Busy day and to end it an exciting DSS! Yesterday @DrVanessaSmith rocked her presentation with @neurogiselle

BrainIsThePath's tweet image. What a fun day at #neuropath2024 #aanp100! @DukePathDept represents with fellow @GChamberlinMD's presentation on meningiomas and future fellow @Levi_Endelman's poster. Busy day and to end it an exciting DSS! Yesterday @DrVanessaSmith rocked her presentation with @neurogiselle
BrainIsThePath's tweet image. What a fun day at #neuropath2024 #aanp100! @DukePathDept represents with fellow @GChamberlinMD's presentation on meningiomas and future fellow @Levi_Endelman's poster. Busy day and to end it an exciting DSS! Yesterday @DrVanessaSmith rocked her presentation with @neurogiselle

Amazing talks on the history (Marta Margeta @UCSFPath) and future (Cherry Ho @JHUPath) of neuromuscular pathology at the #neuropath2024 meeting! 👏👏

BrainIsThePath's tweet image. Amazing talks on the history (Marta Margeta @UCSFPath) and future (Cherry Ho @JHUPath) of neuromuscular pathology at the #neuropath2024 meeting! 👏👏
BrainIsThePath's tweet image. Amazing talks on the history (Marta Margeta @UCSFPath) and future (Cherry Ho @JHUPath) of neuromuscular pathology at the #neuropath2024 meeting! 👏👏
BrainIsThePath's tweet image. Amazing talks on the history (Marta Margeta @UCSFPath) and future (Cherry Ho @JHUPath) of neuromuscular pathology at the #neuropath2024 meeting! 👏👏

Karra Jones, MD, PhD reposted

🚨 The FDA's proposed rule on #LDTs (Laboratory Developed Tests) could drastically impact patient care by limiting access to essential diagnostic tests! Timely editorial by Dr. Genzen and Dr. Moser in @LabMedjournal #HealthcareReform #Pathology #LDTs" bit.ly/4bZtoPs

KMirza's tweet image. 🚨 The FDA's proposed rule on #LDTs (Laboratory Developed Tests) could drastically impact patient care by limiting access to essential diagnostic tests! Timely editorial by Dr. Genzen and Dr. Moser in @LabMedjournal #HealthcareReform #Pathology #LDTs" bit.ly/4bZtoPs…

Karra Jones, MD, PhD reposted

Congrats to Dr. Vanessa Smith for her new faculty position at @UVA practicing molecular genetic pathology and neuropathology! She starts in August. She also recently gave a brain autopsy talk for AANP Teaching rounds. #pathology @dukemedschool pathology.duke.edu/news/dr-vaness…

DukePathDept's tweet image. Congrats to Dr. Vanessa Smith for her new faculty position at @UVA  practicing molecular genetic pathology and neuropathology! She starts in August. She also recently gave a brain autopsy talk for AANP Teaching rounds. #pathology @dukemedschool pathology.duke.edu/news/dr-vaness…

Thrilled to be in Irvine with an amazing array of neuromuscular neurologists and neuropathologists at the @UCIMedSchool UCI Neuromuscular Pathology Colloquium today and the full Neuromuscular Colloquium tomorrow. I look forward to this every year!

BrainIsThePath's tweet image. Thrilled to be in Irvine with an amazing array of neuromuscular neurologists and neuropathologists at the @UCIMedSchool UCI Neuromuscular Pathology Colloquium today and the full Neuromuscular Colloquium tomorrow. I look forward to this every year!

Karra Jones, MD, PhD reposted

Tremendous new resource by Dr. Bob Schmidt @wusm_pathology, a detailed online atlas of neuropathology! Check it out here neuropathologyatlas.wustl.edu It's a true labor of love by a legendary neuropathologist! #pathology #neuropath #pathtwitter


Karra Jones, MD, PhD reposted

Join us Wednesday, April 24th for the next AANP Teaching Rounds session with @DrVanessaSmith presenting An Introduction to the Brain Autopsy Follow the link below for more information and to register. neuropath.org/teaching-rounds

neuropathology's tweet image. Join us Wednesday, April 24th for the next AANP Teaching Rounds session with @DrVanessaSmith presenting An Introduction to the Brain Autopsy

Follow the link below for more information and to register.

neuropath.org/teaching-rounds

Karra Jones, MD, PhD reposted

PATHOLOGISTS are CLINICIANS: dont let anybody tell you otherwise!!! #pathtwitter repost please


I enjoyed showing some difficult #musclepath cases for @neuropathology Teaching Rounds today. Thanks to everyone for joining in! For those that couldn't make it, the Teaching Rounds sessions are all available via the @neuropathology YouTube channel.

Happening NOW!! Come join AANP teaching rounds with Dr. Jones, on case-based differential diagnosis of muscle pathology entities. @neuropathology @BrainIsThePath



We are excited for you all to join us as Blue Devils! Congratulations! 🎉

Join us in welcoming our newest #DukeMed #Pathology PGY-1’s on this Match Day! We look forward to having these six accomplished individuals join our Residency Program in July. #MatchDay2024 @DukeMedSchool duke.is/g/66ns

DukePathDept's tweet image. Join us in welcoming our newest #DukeMed #Pathology PGY-1’s on this Match Day! We look forward to having these six accomplished individuals join our Residency Program in July. #MatchDay2024  @DukeMedSchool duke.is/g/66ns


Had a great time talking about updates in #myositis pathologic diagnosis across town at @UNCMedCenter Rheumatology Grand Rounds! Strengthening our neuromuscular power in the Southeast together. And doesn't hurt that Spring has sprung on the UNC campus. 🌷

BrainIsThePath's tweet image. Had a great time talking about updates in #myositis pathologic diagnosis across town at @UNCMedCenter Rheumatology Grand Rounds! Strengthening our neuromuscular power in the Southeast together. And doesn't hurt that Spring has sprung on the UNC campus. 🌷
BrainIsThePath's tweet image. Had a great time talking about updates in #myositis pathologic diagnosis across town at @UNCMedCenter Rheumatology Grand Rounds! Strengthening our neuromuscular power in the Southeast together. And doesn't hurt that Spring has sprung on the UNC campus. 🌷

Join experts in #neuropath for a great learning session thanks to @TheUSCAP and @neuropathology!

We hope you will join us in our AANP/USCAP neuropathology update course! my.uscap.org/app/program/cB…

neuropathology's tweet image. We hope you will join us in our AANP/USCAP neuropathology update course!

my.uscap.org/app/program/cB…


It was wonderful hosting the AANP @neuropathology Education Committee meeting here at Duke (and virtually) and having such strong brain power all in one place. We have some exciting projects ongoing and new ones in the works for #neuropathology!!

BrainIsThePath's tweet image. It was wonderful hosting the AANP  @neuropathology Education Committee meeting here at Duke (and virtually) and having such strong brain power all in one place. We have some exciting projects ongoing and new ones in the works for #neuropathology!!

Karra Jones, MD, PhD reposted

We have 1 opening for a 2025-26 Surgical Pathology Fellowship @DukeMedSchool. Fellows choose 2 subspecialty areas with potential for independent sign-out experience. Visit our fellowship page for details & contact us about this great opportunity. bit.ly/3T65cUF

DukePathDept's tweet image. We have 1 opening for a 2025-26 Surgical Pathology Fellowship @DukeMedSchool. Fellows choose 2 subspecialty areas with potential for independent sign-out experience. Visit our fellowship page for details & contact us about this  great opportunity. bit.ly/3T65cUF

Karra Jones, MD, PhD reposted

Friendly reminder now that the Super Bowl and Valentine’s Day are behind us - your brain could use a glass of water.


Ok @Sara_Jiang, you can send me as many CSF cytology consults as you want!! The cutest. 😍

BrainIsThePath's tweet image. Ok @Sara_Jiang, you can send me as many CSF cytology consults as you want!! The cutest. 😍

Karra Jones, MD, PhD reposted

Join us Monday, January 22nd for the next AANP Teaching Rounds session with J. Stephen Nix, MD. Follow the link below for more information and to register. neuropath.org/teaching-rounds

neuropathology's tweet image. Join us Monday, January 22nd for the next AANP Teaching Rounds session with J. Stephen Nix, MD.

Follow the link below for more information and to register.

neuropath.org/teaching-rounds

Wonderful working with the awesome REDOX team @uiowa to move forward treatment options for our #braintumor patients!

Study by Petronek et al shows that pharmacological ascorbate plus #temozolomide and #radiotherapy significantly enhances GBM survival They also find that T2*-based MRI is a biomarker for clinical outcomes. bit.ly/412nsAW @BrainIsThePath @buettner_garry

CCR_AACR's tweet image. Study by Petronek et al shows that pharmacological ascorbate plus #temozolomide and #radiotherapy significantly enhances GBM survival
They also find that T2*-based MRI is a biomarker for clinical outcomes. bit.ly/412nsAW
@BrainIsThePath @buettner_garry


Loading...

Something went wrong.


Something went wrong.