CrafftStudy's profile picture. A NIHR funded study about displaced wrist fractures in children under 11 years old. http://www.CRAFFTstudy.org (sister study now funded by NIH in the US)

CRAFFT Study

@CrafftStudy

A NIHR funded study about displaced wrist fractures in children under 11 years old. http://www.CRAFFTstudy.org (sister study now funded by NIH in the US)

ปักหมุด

News from a patient…..


CRAFFT Study รีโพสต์แล้ว

Great achievement for our Paeds Ortho & PED teams @Leeds_Childrens @LTHTPaedRes @SarahHa44271615 @LeedsHospitals @YorkshireOrtho @CrafftStudy Thanks to all involved for your hard work. Thanks to our amazing patients and families for participanting.


CRAFFT Study รีโพสต์แล้ว

@CRAFFTStudy Congratulations for passing your 1/3 recruitment marker. 252 of 750 recruited. Thank you to everyone for your hard work :)


CRAFFT Study รีโพสต์แล้ว

Great work Team! Top recruiters for June and in 3rd place overall!! @CrafftStudy @HHFTnhs @toni_ardolino @angiedempster

HHFTOrtho's tweet image. Great work Team! Top recruiters for June and in 3rd place overall!! @CrafftStudy @HHFTnhs @toni_ardolino @angiedempster

CRAFFT Study รีโพสต์แล้ว

2 more patients @MidYorkshireNHS recruited today for @CrafftStudy @MYorksResearch @MrDanPerry


CRAFFT Study รีโพสต์แล้ว

We've just consented our first patient to @CrafftStudy! yey! 🦴🎉🦴🎉🦴


CRAFFT Study รีโพสต์แล้ว

Great work by Louise and Albina this morning, 2 recruits for @CrafftStudy within 30 minutes! @toni_ardolino


CRAFFT Study รีโพสต์แล้ว

SCIENCEstudy.org & CRAFFTstudy.org back on track thanks to increasingly sunny weather! Thanks @DrAmirKhanGP for encouraging families to #BePartofResearch @NIHRresearch@NIHRcommunity⁩ ⁦@NIHRtakepart⁩ ⁦@OCTRUctu


CRAFFT Study รีโพสต์แล้ว

First patient recruited @Myied for @CrafftStudy! Well done Dr Downes.


CRAFFT Study รีโพสต์แล้ว

Go @toni_ardolino! A few technical issues but she's recruited another to @CrafftStudy!


CRAFFT Study รีโพสต์แล้ว

Wow, @toni_ardolino is on a roll! Another recruit to @CrafftStudy! 2 in 12 hours!! @HHFTnhs @HHFTResearch


CRAFFT Study รีโพสต์แล้ว

And today we have recruited to @CrafftStudy Great Work everyone! @HHFTnhs @TraumaOrthoHHFT

HHFTOrtho's tweet image. And today we have recruited to @CrafftStudy Great Work everyone! @HHFTnhs @TraumaOrthoHHFT

CRAFFT Study รีโพสต์แล้ว

"Kids are cool" says @MrDanPerry Talking about his SCIENCE and CRAFTT studies which will utilise the fact that kids re-model unbelievably well! #RCEMvsc

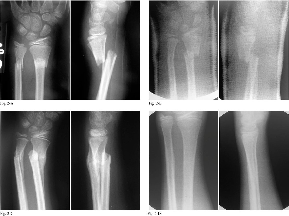
The “Hawaii Paper” Closed treatment of overriding distal radial fractures without reduction in children ncbi.nlm.nih.gov/pubmed/22298057 Thought provoking…

Damian_Roland's tweet image. The “Hawaii Paper”

Closed treatment of overriding distal radial fractures without reduction in children
ncbi.nlm.nih.gov/pubmed/22298057

Thought provoking…


CRAFFT Study รีโพสต์แล้ว

Due to popular demand...you can now watch @xandvt & @DoctorChrisVT without sound (though you have to read quite quickly - they talk fast!). #BePartofResearch @NIHRcommunity @NIHRtakepart


CRAFFT Study รีโพสต์แล้ว

Thanks @xandvt and @DoctorChrisVT for a great (and entertaining) explanation of a clinical trial.


CRAFFT Study รีโพสต์แล้ว

Another first recruit today this time at County @UHNM_NHS for @CrafftStudy looking at plaster Vs MUA for wrist fractures in children another fab study recruiting @StaffsChildrens great to be recruiting in paeds again alongside our Covid studies.


บัญชีนี้ยังไม่ได้ติดตามใคร
Loading...

Something went wrong.


Something went wrong.