CreaBioarray's profile picture. Creative Bioarray: Biobank - Human& Animal Tissue Bank, Research Use Cells - Primary cells, Tumor cells, Stem cells, CABR™ Probes

Creative Bioarray

@CreaBioarray

Creative Bioarray: Biobank - Human& Animal Tissue Bank, Research Use Cells - Primary cells, Tumor cells, Stem cells, CABR™ Probes

pTα enhances mRNA translation and potentiates CAR T cells for solid tumor eradication cell.com/cell/abstract/…

CreaBioarray's tweet image. pTα enhances mRNA translation and potentiates CAR T cells for solid tumor eradication cell.com/cell/abstract/…

The ciPSC medium supplemented with activin and IWR1 stabilizes ciPSCs and reduces heterogeneity. It enables ciPSC differentiation into cardiomyocytes with functional traits. cell.com/stem-cell-repo…

CreaBioarray's tweet image. The ciPSC medium supplemented with activin and IWR1 stabilizes ciPSCs and reduces heterogeneity. It enables ciPSC differentiation into cardiomyocytes with functional traits. cell.com/stem-cell-repo…

Kuthethur et al. demonstrated that depletion of the AAA+ ATPase FIGNL1 in BRCA2-deficient cells restored RAD51 loading and rescued HR defects, suggesting that recombination failure in BRCA2-deficient cells is primarily due to excessive removal of RAD51 by FIGNL1.

CreaBioarray's tweet image. Kuthethur et al. demonstrated that depletion of the AAA+ ATPase FIGNL1 in BRCA2-deficient cells restored RAD51 loading and rescued HR defects, suggesting that recombination failure in BRCA2-deficient cells is primarily due to excessive removal of RAD51 by FIGNL1.

Landers et al. designed a microrobotic system that combines electromagnetic navigation, a release catheter, and dissolvable drug-loaded capsules. They demonstrated precise navigation in human vasculature models and tracking and navigation in large animal models.

CreaBioarray's tweet image. Landers et al. designed a microrobotic system that combines electromagnetic navigation, a release catheter, and dissolvable drug-loaded capsules. They demonstrated precise navigation in human vasculature models and tracking and navigation in large animal models.

The study presents a human–machine interface capable of tolerating diverse motion artefacts through deep learning-enhanced wearable sensors. nature.com/articles/s4446…

CreaBioarray's tweet image. The study presents a human–machine interface capable of tolerating diverse motion artefacts through deep learning-enhanced wearable sensors. nature.com/articles/s4446…

Repair of DNA double-strand breaks leaves heritable impairment to genome function science.org/doi/10.1126/sc…

CreaBioarray's tweet image. Repair of DNA double-strand breaks leaves heritable impairment to genome function science.org/doi/10.1126/sc…

The potential for premenopausal breast cancer prevention with progesterone receptor antagonists. nature.com/articles/s4158….

CreaBioarray's tweet image. The potential for premenopausal breast cancer prevention with progesterone receptor antagonists. nature.com/articles/s4158….

Unlocking Fertility: How Sperm 'Rev Up' Energy for Success! pnas.org/doi/10.1073/pn…

CreaBioarray's tweet image. Unlocking Fertility: How Sperm 'Rev Up' Energy for Success! pnas.org/doi/10.1073/pn…

How Synaptic Priming Could Transform Antidepressant Therapy? cell.com/neuron/abstrac…

CreaBioarray's tweet image. How Synaptic Priming Could Transform Antidepressant Therapy? cell.com/neuron/abstrac…

Microglia-astrocyte crosstalk regulates synapse remodeling via Wnt signaling cell.com/cell/fulltext/…

CreaBioarray's tweet image. Microglia-astrocyte crosstalk regulates synapse remodeling via Wnt signaling
cell.com/cell/fulltext/…

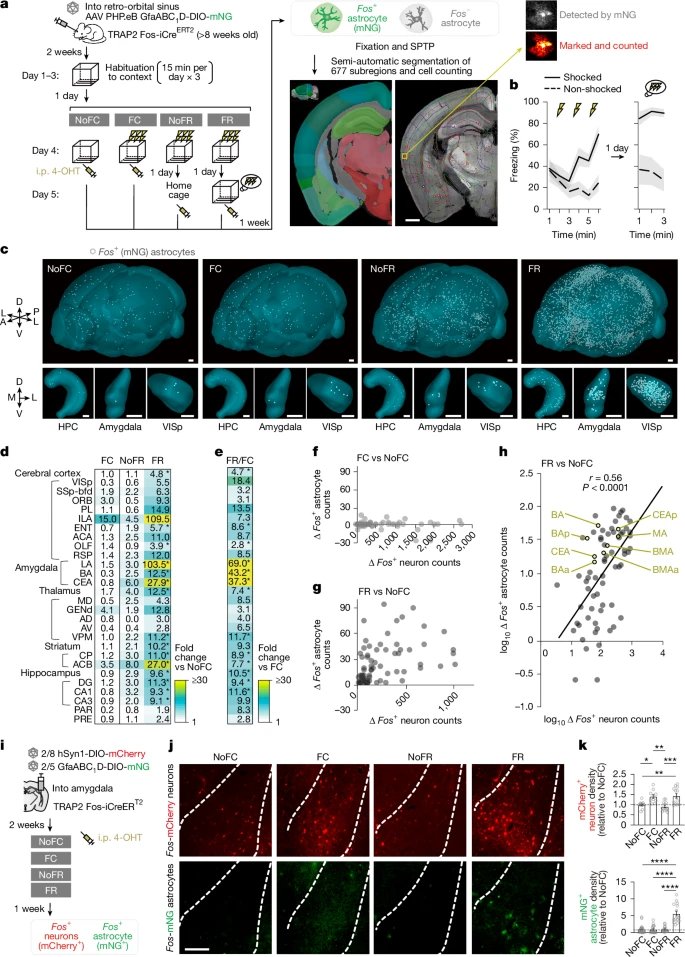
Astrocytes: The Secret Boosters of Long-Term Memory Stability! nature.com/articles/s4158…

CreaBioarray's tweet image. Astrocytes: The Secret Boosters of Long-Term Memory Stability!
nature.com/articles/s4158…

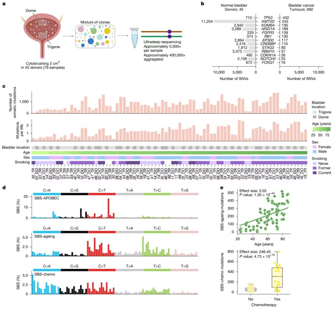
Sex and smoking bias in the selection of somatic mutations in human bladder nature.com/articles/s4158…

CreaBioarray's tweet image. Sex and smoking bias in the selection of somatic mutations in human bladder
nature.com/articles/s4158…

Dynamic fibroblast–immune interactions shape recovery after brain injury. nature.com/articles/s4158…

CreaBioarray's tweet image. Dynamic fibroblast–immune interactions shape recovery after brain injury. nature.com/articles/s4158…

Visual objects refine head direction coding. science.org/doi/10.1126/sc…

CreaBioarray's tweet image. Visual objects refine head direction coding. science.org/doi/10.1126/sc…

Epithelial tension controls intestinal cell extrusion. science.org/doi/10.1126/sc…

CreaBioarray's tweet image. Epithelial tension controls intestinal cell extrusion. science.org/doi/10.1126/sc…

Engineered prime editors with minimal genomic errors. nature.com/articles/s4158…

CreaBioarray's tweet image. Engineered prime editors with minimal genomic errors. nature.com/articles/s4158…

Glycan shielding is a promising direction for optimizing universal CAR-T therapies. cell.com/cell/fulltext/…

CreaBioarray's tweet image. Glycan shielding is a promising direction for optimizing universal CAR-T therapies. cell.com/cell/fulltext/…

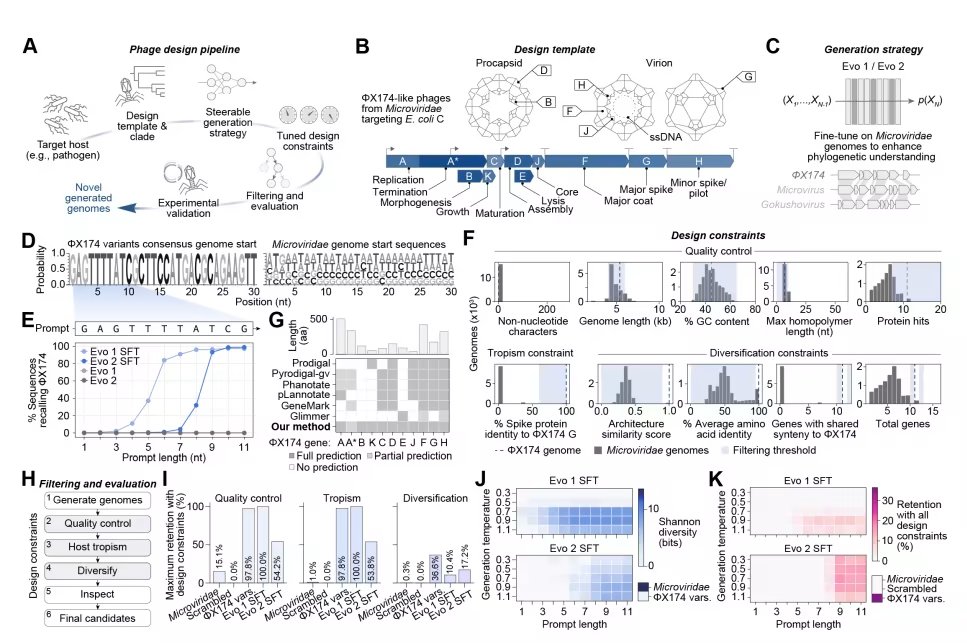
World’s first AI-designed viruses: a step towards AI-generated life. biorxiv.org/content/10.110…

CreaBioarray's tweet image. World’s first AI-designed viruses: a step towards AI-generated life. biorxiv.org/content/10.110…

Allogeneic CD19-targeting T cells offering a promising therapy for refractory systemic lupus erythematosus (SLE). nature.com/articles/s4159…

CreaBioarray's tweet image. Allogeneic CD19-targeting T cells offering a promising therapy for refractory systemic lupus erythematosus (SLE). nature.com/articles/s4159…

Loading...

Something went wrong.


Something went wrong.