EyePath1's profile picture.

EyePath

@EyePath1

EyePath reposted

In this video, doctors Li Chai and Jun Liu discuss the important research they are doing on the blood cancer gene SALL4. Their project is in the running for the @BrighamResearch Institute's 2022 BRIght Futures prize competition. Vote here: brightfuturesprize.org


EyePath reposted

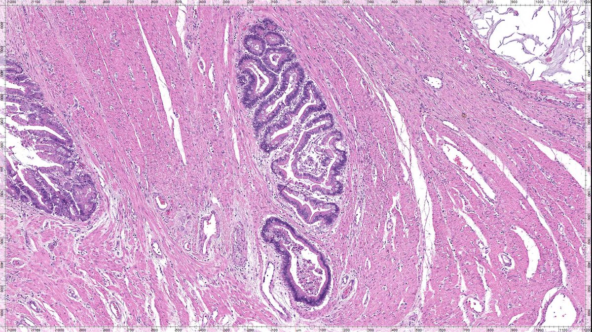
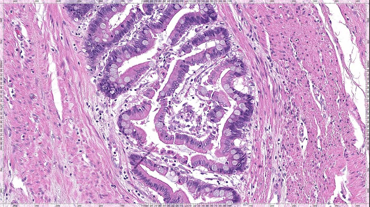
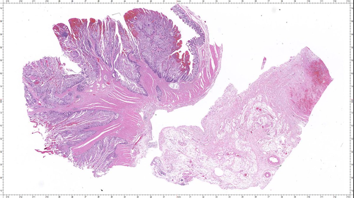
Here's an invasive tumor of the colon that I found this morning! This case is older than the majority of you - by a couple of decades! this one is special!! #GIpath

Vik_deshpandeMD's tweet image. Here's an invasive tumor of the colon that I found this morning!  This case is older than the majority of you - by a couple of decades! this one is special!! #GIpath
Vik_deshpandeMD's tweet image. Here's an invasive tumor of the colon that I found this morning!  This case is older than the majority of you - by a couple of decades! this one is special!! #GIpath
Vik_deshpandeMD's tweet image. Here's an invasive tumor of the colon that I found this morning!  This case is older than the majority of you - by a couple of decades! this one is special!! #GIpath
Vik_deshpandeMD's tweet image. Here's an invasive tumor of the colon that I found this morning!  This case is older than the majority of you - by a couple of decades! this one is special!! #GIpath

Loading...

Something went wrong.


Something went wrong.