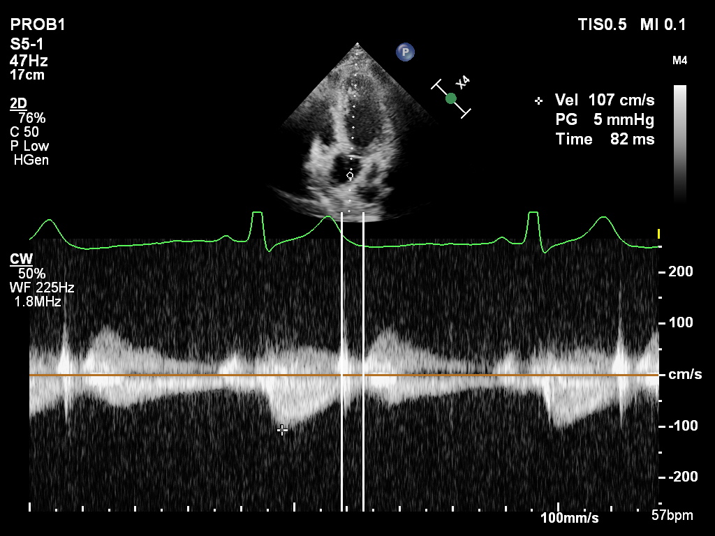
This is an important case for diastolic function assessment that was corrected in 2025 guideline. A main lesson is " Diastolic Function can be normal with reduced EF and/ or myocardial infarction." We should not adjudicate diastolic dysfunction based on clinical data. Always use…
 
                                             
                                            24 y.o male, ejection fraction %40 after anterior infarction. E/A: 2,6 e': 11 IVRT: 82 msn diastolic dysfunction? @JaeKOh2 @AJamilTajik @EchoSoliman @DonalErwan @denisamuraru @PPibarot
 
                                                                             
                                                                             
                                                                             
                                                                            Question 6: What are the distinguishing echocardiographic features of different types of pulmonary hypertension? #ASEchoJC @JGrapsa @JiwonKimMD @PWesslyMD @ASE360 #EchoFirst
 
                                            ‘VT’ versus ‘SVT with aberrancy’. The long list of VT "suggestive" ECG features is difficult to recall and apply in real time. How can we simplify things? Here is my ABCDE approach – five simple Qs to ask: 🧵👇
United States 趨勢
- 1. Dolphins 19.4K posts
- 2. Ravens 32.1K posts
- 3. #911onABC 11.4K posts
- 4. Lamar 36.4K posts
- 5. Mark Andrews 2,292 posts
- 6. Ollie Gordon 1,014 posts
- 7. Athena 12.2K posts
- 8. Mike McDaniel N/A
- 9. Bateman 3,257 posts
- 10. Happy Halloween 99.1K posts
- 11. #TNFonPrime 1,704 posts
- 12. Georgetown 2,636 posts
- 13. Tulane 7,544 posts
- 14. #PhinsUp 3,042 posts
- 15. Kyle Hamilton N/A
- 16. #RHOC 1,365 posts
- 17. #BALvsMIA N/A
- 18. UTSA 2,082 posts
- 19. Derrick Henry 3,199 posts
- 20. Larry Borom N/A
Something went wrong.
Something went wrong.
 
                             
             
                             
             
             
                 
                 
                 
                 
                 
                 
                 
                 
                 
                 
                 
                 
                 
                 
                 
                 
                 
                 
                 
                 
                 
                 
                 
                 
                 
                 
                 
                 
                 
                 
                 
                 
                 
                 
                 
                 
                 
                 
                 
                 
                 
                 
                 
                 
                 
                 
                 
                 
                 
                 
                 
                 
                 
                 
                 
                 
                 
                 
                 
                 
                 
                 
                 
                 
                 
                 
                 
                 
                 
                 
                 
                 
                 
                 
                 
                 
                 
                 
                 
                 
                 
                 
                 
                 
                