
MedStar Georgetown University Hospital Pathology
@GeorgetownPath
Official Twitter page of MedStar Georgetown University Hospital Department of Pathology and Laboratory Medicine #GTownPath #PathTwitter Tweets ≠ medical advice
おすすめツイート
Celebrating Dr. Farhood. Thank you for your dedication, mentorship, and the impact you've made on all of us. You'll be missed and enjoy retirement!

Georgetown Pathology, past and present, representing at USCAP! Proud to share our research and connect with colleagues from the best specialty! #USCAP2025 #PathologyResearch #pathmatch2025




We are excited to announce and welcome our incoming PGY-1s! Congratulations to all applicants, welcome to the amazing field of Pathology!

Congratulations and warmest welcome to our incoming PGY-1's!

It's Match season again! MedStar Health and all its affiliated institutions invites EVERY aspiring applicant to join our GME residency recruitment event (see below). See you there!

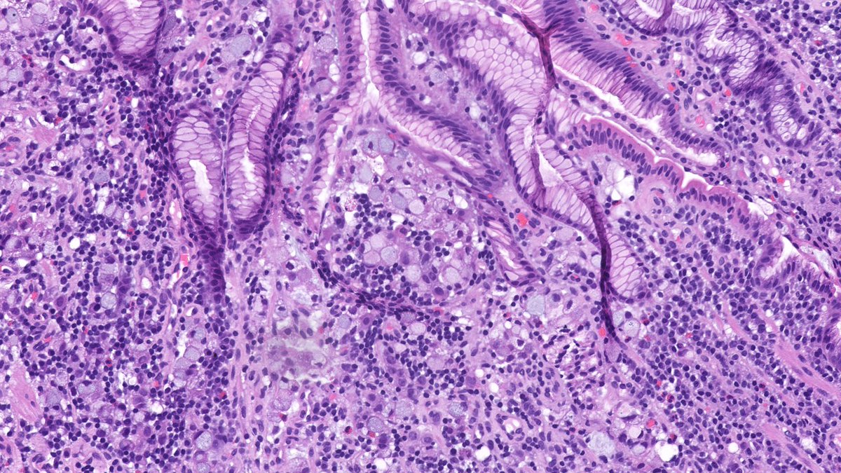
Diffuse type gastric adenocarcinoma with signet ring cells
Gastric biopsy from a 53-year-old male. What is your diagnosis?


Gastric biopsy from a 53-year-old male. What is your diagnosis?


D. Spindle cell lipoma
70-year-old male presenting with a 3 cm posterior neck mass. CD34+, vimentin+, S100-, Sox10-, cytokeratin-, Desmin-, Stat6-. What is the diagnosis? A. Myofibroblastoma B. Solitary fibrous tumor C. Neurofibroma D. Spindle cell lipoma E. DFSP #GTownPath #PathTwitter #MedTwitter

70-year-old male presenting with a 3 cm posterior neck mass. CD34+, vimentin+, S100-, Sox10-, cytokeratin-, Desmin-, Stat6-. What is the diagnosis? A. Myofibroblastoma B. Solitary fibrous tumor C. Neurofibroma D. Spindle cell lipoma E. DFSP #GTownPath #PathTwitter #MedTwitter

We hope all our lab friends had a great Lab Week! Check out two of residents with our lab week spirit shirts!🤓 #LabWeek2022 #pathology #PathTwitter #GTownPath
Happy Match Day! We are so excited to find out who our new additions are! #GTownPath #pathology #MatchDay2022 #PathMatch22
Are you interested in Transplant Pathology? Click the link below to learn more about this amazing fellowship opportunity at #Georgetown. Applications are still being accepted for AY 22-23. ascp.org/content/career… #GTownPath #pathology #transplant


We are so glad to have you with us Clay! #GTownPath #PathMatch22 #pumpkinseason #wellness
Why yes, #Pathology away rotations are going wonderfully. Thanks for asking #PathtoPath #PathMatch22 @GeorgetownPath

Our @GeorgetownPath residents became part of @MedStarGUH’s history. The current resident’s names were signed on a beam that will go on top of our new Medical Surgical pavilion which is currently being built. #GTownPath #PathTwitter #PathMatch22 #historyinthemaking

Join the AAPA and see our very own Pathologists’ Assistant, Rachael Roach, discuss how to gross a Whipple #GTownPath #pathology #PathTwitter #PathMatch22

Grossing a pancreas doesn’t have to be a pain! Join us for the Virtual Symposium of Pancreatic Disease for Pathologists' Assistants & expand your knowledge of pancreas pathology, grossing, tumor staging, patient care, & more! More details & register here: pathassist.org/event/2021_sum…

Come out to @apcprods first open house Saturday June 12th geared towards med students wanting to learn more about #Pathology! Registration is free —> surveymonkey.com/r/pathology_op… #MedTwitter #PathTwitter
.@apcprods presents its First Virtual #OpenHouse for #MedicalStudents 6-12-21 12-2PM CST All #medstudenttwitter with curiosity about the specialty of #Pathology is encouraged to attend! #PathMatch22 #Match2022 #Match2023 @SSOM_SCOPE @Path_SIG @IPathC @PathPod @PathElective

Happy Match Day! We want to extend the warmest welcome to our incoming PGY-1s! #PathTwitter #PathMatch21 #GTownPath

Happy Match week everyone! We wish all applicants the best of luck this week. Regardless of the outcome, make sure you celebrate the amazing things you have accomplished thus far. Hats off to all you amazing people. #GTownPath #PathMatch21 #PathTwitter
United States トレンド
- 1. Bills 107K posts
- 2. Falcons 28.2K posts
- 3. phil 125K posts
- 4. Josh Allen 12.3K posts
- 5. Bijan 17.3K posts
- 6. Drake London 4,956 posts
- 7. Chris Moore 1,744 posts
- 8. Bears 45.3K posts
- 9. Dan Quinn N/A
- 10. McDermott 3,822 posts
- 11. #NLCS 5,015 posts
- 12. #RaiseHail 4,755 posts
- 13. Caleb 30.6K posts
- 14. Jayden 11.7K posts
- 15. Commanders 30K posts
- 16. phan 91.9K posts
- 17. Beane 1,860 posts
- 18. #BUFvsATL 2,736 posts
- 19. Sal Frelick N/A
- 20. Teoscar N/A
おすすめツイート
-
Cleveland Clinic Pathology Residency
@CCFPathRes -
UW Pathology Res and Fel
@UWLMPathRes -
UVA Pathology
@UVA_Pathology -
UW Dept of Pathology and Laboratory Medicine
@UWiscPathology -
UMMC Pathology
@UMMC_Pathology -
UPMC Pathology Residency Program
@UPMCPath -
Brown Pathology and Laboratory Medicine
@BrownPathology -
DukePathDept
@DukePathDept -
University of Iowa Pathology
@UIPathology -
Emory University Department of Pathology
@EmoryPathology -
Dartmouth Health Pathology Residency
@DHPathRes -
NorthShore Pathology Residency
@NorthShore_Path -
USF Health Pathology
@USFpathology -
Northwestern Pathology
@NU_Pathology -
UT Health SA Pathology Residency & Fellowship
@UTHealthSA_Path
Something went wrong.
Something went wrong.