Lindsay Yazzolino
@GrammarGlamor
Cognitive neuroscience researcher; enjoy science, technology, Espresso, tea, and the occasional practical joke; grammar geek; air travel and pi enthusiast!
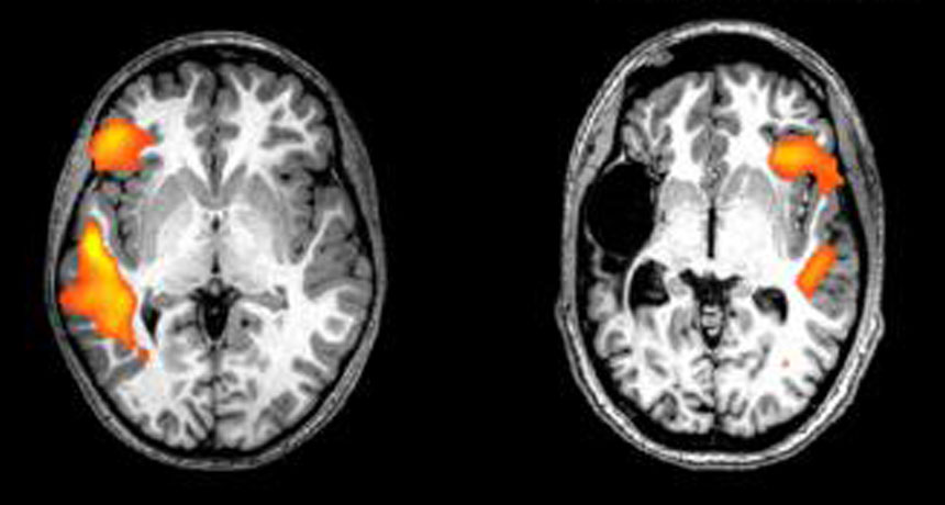
The brain can be flexible in where it processes language. #AAASmtg ow.ly/QATQ30itm3a
My plans for #AAASmtg science meeting didn't include explaining who Baby Bop is to @MarcAbrahams from the @IgNobel Prizes. #Accomplishment
Conference pro tip: when pockets are lacking, tall boots are a perfect business card storage solution. #aaasmtg
Hey #CSUN16 friends, check out our cool interactive maps and models and test your tactile acuity for candy at the @TouchGraphicsUS booth!
Hey, @United. Your employee res site for booking pass riders is inaccessible to screen reader users. Pleas fix this! #a11y
Has anyone here used the Trident Braille embosser from Enabling Technologies, or have thoughts as to how it compares with the Juliet Pro 60?
Thanks to all who responded to my tweet about captioned photos! now, does anyone know of accessible photo hosting/sharing services? #a11y
Is anyone here familiar with how to tweet photos that have text captions? If so, tips would be appreciated!#a11y
Will likely be traveling to Atlanta at the end of October to participate in some brain imaging studies. Who here do I know in the area?
Hmm, any loopholes for connecting a phone to more than one Google Voice? I have a personal number, but need to connect to another for work.
To those with iPhones: are there any advantages or disadvantages of setting up a Gmail account as an Exchange or as a regular Gmail?
Wondering if anyone here has had experience translating text into contracted Braille and then converting it to a bitmap file.
Upside: giving a social media demo at the FCC #AccSocMedia event in DC. Downside: got up at 5:30 and still no coffee. Any nearby?
Today on the Baltimore bus: the driver went past my stop! Fortunately I got off a block away, but, yeah… too bad Hopkins isn't in DC. Ha ha
Why can't I seem to Will any of these large diesel vehicles to materialize into buses? No matter how hard I try, they always stay as trucks.
Have already concluded that Baltimore is a huge pain in the bus! Already craving real public transit. Can't wait for DC this Friday! Yay!
Waiting for the bus to Johns Hopkins. This sure ain't Boston's public transit, that's for sure. Sad face!
I am a happy flyer. @southwestair just paged me so that they could give me a $100 travel voucher. Thank goodness for flight delays!
I am a happy flyer. @southwest just paged me so that they could give me a $100 travel voucher. Thank goodness for flight delays!
Delays and missed connections. Good thing airports are fun places to hang out. 4sq.com/V1XxXy
United States Trends
- 1. Thanksgiving 146K posts
- 2. #IDontWantToOverreactBUT 1,314 posts
- 3. #GEAT_NEWS 1,420 posts
- 4. Jimmy Cliff 24.2K posts
- 5. #WooSoxWishList 2,232 posts
- 6. #MondayMotivation 13.5K posts
- 7. #NutramentHolidayPromotion N/A
- 8. DOGE 233K posts
- 9. $ENLV 18.8K posts
- 10. Victory Monday 4,385 posts
- 11. TOP CALL 5,006 posts
- 12. Monad 173K posts
- 13. Good Monday 52.2K posts
- 14. Justin Tucker N/A
- 15. Feast Week 1,996 posts
- 16. The Harder They Come 3,664 posts
- 17. $GEAT 1,316 posts
- 18. $MON 34K posts
- 19. AI Alert 3,070 posts
- 20. Soles 101K posts
Something went wrong.
Something went wrong.