HanyDemo's profile picture. Cardiac Electrophysiologist, Fluoroless Ablation, RF, Cryo, Father of two awesome and smart kids, Husband, Traveller #fluoroless @fluoroless

Hany Demo, MD, FACC, FHRS

@HanyDemo

Cardiac Electrophysiologist, Fluoroless Ablation, RF, Cryo, Father of two awesome and smart kids, Husband, Traveller #fluoroless @fluoroless

Pinned

Thank you @HeartRhythmTV and @DanielAlyeshmer for the invitation. Had a great time discussing maximizing ICE use in left sided ablations which we have been successfully performing since 2016 @SwedishChicago part of @NorthShoreWeb

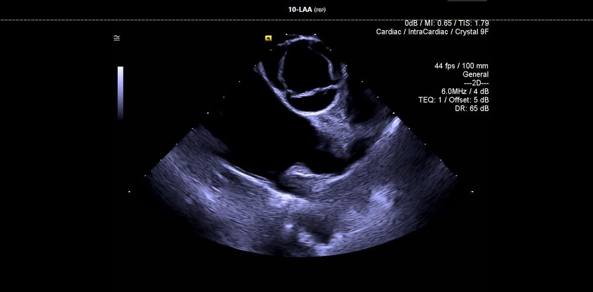
NEW #HRStv “ICE Image of the Month” Episode: @DanielAlyeshmer and @HanyDemo discuss techniques for using an intracardiac echocardiography (ICE) catheter in the left atrium. #EPeeps #MedEd #HeartRhythmTV bit.ly/3EVeAkW

HeartRhythmTV's tweet card. ICE Image of the Month Part I (Sept 2021): A Conversation with Hany...

youtube.com

YouTube

ICE Image of the Month Part I (Sept 2021): A Conversation with Hany...



Hany Demo, MD, FACC, FHRS reposted

Is recovery from PFA more painless than RFA? A new study on patient response patterns following PFA vs. RFA from @EndeavorHlth 👇 Congrats to our research assistant Umar Hashim and chief resident @RomilPatel12 onlinelibrary.wiley.com/doi/10.1111/jc… @doctorwes @Mdmetzl @HanyDemo @JCardioEP


Hany Demo, MD, FACC, FHRS reposted

Our last REFINE Workshop (REduction of Fluoroscopy IN Electrophysiology) of 2025 in Chicago is officially in the books! Thank you to all who joined us and contributed to another successful session. Stay tuned for 2026 workshops, coming soon to the West, Midwest, and East Coast!

MRazminia's tweet image. Our last REFINE Workshop (REduction of Fluoroscopy IN Electrophysiology) of 2025 in Chicago is officially in the books!

Thank you to all who joined us and contributed to another successful session.

Stay tuned for 2026 workshops, coming soon to the West, Midwest, and East Coast!

Hany Demo, MD, FACC, FHRS reposted

Are flat bedrest and leg immobilization still necessary after AF ablation with vascular closure? Data from the @EndeavorHlth EP program. Congrats to our fellow Dr. Sam. onlinelibrary.wiley.com/doi/10.1111/jc… @RiyaSam12 @RomilPatel12 @doctorwes @MDmetzl @HanyDemo @JCardioEP @AbbottCardio

JWasserlaufMD's tweet image. Are flat bedrest and leg immobilization still necessary after AF ablation with vascular closure? Data from the @EndeavorHlth EP program. Congrats to our fellow Dr. Sam.

onlinelibrary.wiley.com/doi/10.1111/jc…

@RiyaSam12 @RomilPatel12 @doctorwes @MDmetzl
@HanyDemo @JCardioEP @AbbottCardio

Hany Demo, MD, FACC, FHRS reposted

NEW ICE Image of the Month: #HRStv host @DanielAlyeshmer is joined by @HanyDemo to discuss the utility of ICE as applied to implantation of active fixation dual chamber leadless pacemakers. See the full interview here #EPeeps ➡️ bit.ly/44Xgy3X


Hany Demo, MD, FACC, FHRS reposted

🥂 Cheers to Dr. Glaucomflecken! He understands the harm. Source: youtube.com/@DGlaucomfleck…


Hany Demo, MD, FACC, FHRS reposted

🚨Latest #FreeRead Article in @JICE_EP Feasibility of Deep Sedation for Catheter Ablation of Atrial Fibrillation using Pulsed Field Ablation 🧐📖rdcu.be/ei0F0 by Romil Patel, @RiyaSam12, Lavisha Singh, @doctorwes, @Mdmetzl, Jose Nazari, Alex Ro, @HanyDemo &…

JICE_EP's tweet image. 🚨Latest #FreeRead Article in
@JICE_EP

Feasibility of Deep Sedation for Catheter Ablation of Atrial Fibrillation using Pulsed Field Ablation

🧐📖rdcu.be/ei0F0

by Romil Patel, @RiyaSam12, Lavisha Singh, @doctorwes, @Mdmetzl, Jose Nazari, Alex Ro, @HanyDemo &…

Hany Demo, MD, FACC, FHRS reposted

Deep sedation (w/o ET intubation) for PFA was feasible w/o airway complications in this series from Endeavor. Congrats to lead author Romil Patel and coauthors. link.springer.com/article/10.100… @JICE_EP @Mdmetzl @HanyDemo @EndeavorHlth @RiyaSam12 @RomilPatel12 @Medtronic @BSCCardiology

JWasserlaufMD's tweet image. Deep sedation (w/o ET intubation) for PFA was feasible w/o airway complications in this series from Endeavor. Congrats to lead author Romil Patel and coauthors.

link.springer.com/article/10.100…

@JICE_EP @Mdmetzl @HanyDemo @EndeavorHlth @RiyaSam12 @RomilPatel12 @Medtronic @BSCCardiology

Hany Demo, MD, FACC, FHRS reposted

The OG Soundstar and the iPhone were both released in 2007. At long last, I can tell you the Crystal ICE Soundstar catheter is real and it’s awesome. @jnazarimd @EndeavorHlth @JNJMedTech

Mdmetzl's tweet image. The OG Soundstar and the iPhone were both released in 2007. At long last, I can tell you the Crystal ICE Soundstar catheter is real and it’s awesome. @jnazarimd @EndeavorHlth @JNJMedTech
Mdmetzl's tweet image. The OG Soundstar and the iPhone were both released in 2007. At long last, I can tell you the Crystal ICE Soundstar catheter is real and it’s awesome. @jnazarimd @EndeavorHlth @JNJMedTech

Hany Demo, MD, FACC, FHRS reposted

What an amazing two days of learning and collaboration at the 2025 Cardiac Ablation Summit!! It was an honor to serve as co-director alongside @drsuneet and to be moderating faculty panels discussing the latest innovations in AF workflows, understanding AF mechanisms, and most…

Drdevignair's tweet image. What an amazing two days of learning and collaboration at the 2025 Cardiac Ablation Summit!! It was an honor to serve as co-director alongside @drsuneet and to be moderating faculty panels discussing the latest innovations in AF workflows, understanding AF mechanisms, and most…
Drdevignair's tweet image. What an amazing two days of learning and collaboration at the 2025 Cardiac Ablation Summit!! It was an honor to serve as co-director alongside @drsuneet and to be moderating faculty panels discussing the latest innovations in AF workflows, understanding AF mechanisms, and most…
Drdevignair's tweet image. What an amazing two days of learning and collaboration at the 2025 Cardiac Ablation Summit!! It was an honor to serve as co-director alongside @drsuneet and to be moderating faculty panels discussing the latest innovations in AF workflows, understanding AF mechanisms, and most…
Drdevignair's tweet image. What an amazing two days of learning and collaboration at the 2025 Cardiac Ablation Summit!! It was an honor to serve as co-director alongside @drsuneet and to be moderating faculty panels discussing the latest innovations in AF workflows, understanding AF mechanisms, and most…

Hany Demo, MD, FACC, FHRS reposted
Mdmetzl's tweet image. ICE vs TEE in AF Ablation from the Real AF Registry link.springer.com/article/10.100…
Great work by @IvaMD_Cardio @CardioloLee and the @HRCRS_EP team @josoriomd @AllysonVarley @bdsouz01 @AnilRajendra1 @SaumilOzaMD @paulzei @LuigiDiBiaseMD @EndeavorHlth @UCNSCards

Hany Demo, MD, FACC, FHRS reposted

“Thawing the ICE”: Fluoroless Concomitant Pulmonary Vein Isolation (PVI) and Left Atrial Appendage (LAA) Closure.


Hany Demo, MD, FACC, FHRS reposted

First cases with Faraview @EndeavorHlth CVI were impressive. Great to visualize Farawave without pulling a mapping catheter. No suprise @BSCCardiology did a really nice job integrating these technologies! #Epeeps @JWasserlaufMD @doctorwes @jnazari @HanyDemo

Mdmetzl's tweet image. First cases with Faraview @EndeavorHlth CVI were impressive. Great to visualize Farawave without pulling a mapping catheter. No suprise @BSCCardiology did a really nice job integrating these technologies! #Epeeps @JWasserlaufMD @doctorwes @jnazari @HanyDemo
Mdmetzl's tweet image. First cases with Faraview @EndeavorHlth CVI were impressive. Great to visualize Farawave without pulling a mapping catheter. No suprise @BSCCardiology did a really nice job integrating these technologies! #Epeeps @JWasserlaufMD @doctorwes @jnazari @HanyDemo
Mdmetzl's tweet image. First cases with Faraview @EndeavorHlth CVI were impressive. Great to visualize Farawave without pulling a mapping catheter. No suprise @BSCCardiology did a really nice job integrating these technologies! #Epeeps @JWasserlaufMD @doctorwes @jnazari @HanyDemo

Hany Demo, MD, FACC, FHRS reposted

Initial Experience With Zero-Fluoroscopy #PFA for #AFib: @HanyDemo outlines his experience with zero-fluoroscopy #PFA (PulseSelect™ pulsed field ablation system, Medtronic) for AF, focusing on patient selection, procedural workflow, and more. okt.to/xGCUMY @Medtronic

EPLabDigest's tweet image. Initial Experience With Zero-Fluoroscopy #PFA for #AFib: @HanyDemo outlines his experience with zero-fluoroscopy #PFA (PulseSelect™ pulsed field ablation system, Medtronic) for AF, focusing on patient selection, procedural workflow, and more. 
okt.to/xGCUMY @Medtronic

Hany Demo, MD, FACC, FHRS reposted

Join us for Discover PulseSelect™ pulsed field ablation (PFA) system! Dr. Hany Demo will have live case narration, discuss procedural workflow, and more! #PulseSelect #PFA #Epeeps Register here: bit.ly/4hA66Dt Risk info: bit.ly/4e1zmzY

MDT_Cardiac's tweet image. Join us for Discover PulseSelect™ pulsed field ablation (PFA) system! Dr. Hany Demo will have live case narration, discuss procedural workflow, and more! #PulseSelect #PFA #Epeeps

Register here: bit.ly/4hA66Dt 
Risk info: bit.ly/4e1zmzY

Hany Demo, MD, FACC, FHRS reposted

Excited to announce AIM-VT has launched with enrollment today of its 1st patient into the trial! 👍👍 AIM-VT (NCT06138873) will be the first prospective multicenter randomized controlled trial to compare Ablation Index-guided versus conventional ablation strategies in patients…

hhuang123's tweet image. Excited to announce AIM-VT has launched with enrollment today of its 1st patient into the trial! 👍👍

AIM-VT (NCT06138873) will be the first prospective multicenter randomized controlled trial to compare Ablation Index-guided versus conventional ablation strategies in patients…

Hany Demo, MD, FACC, FHRS reposted

Our experience with 4D ICE and nurse led sedation for LAAO. More efficient lab day with patient centered approach and same day discharge much easier. #4DICE #EPeeps #decreasemafat

A single-center experience using moderate sedation for LAAO with 4D-ICE reduced total lab time compared to general anesthesia without affecting outcomes @JWasserlaufMD @Mdmetzl @jnazarimd @JRRosenbergMD @viali86 @RomilPatel12 @RiyaSam12 @EndeavorHlth @UCNSCards



Hany Demo, MD, FACC, FHRS reposted

In this month's Spotlight Interview, we highlight the #EP program at Endeavor Health Cardiovascular Institute at Glenbrook Hospital, which has 4 large dedicated EP laboratories and a shared “combo” room for CIED implantation. okt.to/nviOoW @Mdmetzl #EPeeps

EPLabDigest's tweet image. In this month's Spotlight Interview, we highlight the #EP program at Endeavor Health Cardiovascular Institute at Glenbrook Hospital, which has 4 large dedicated EP laboratories and a shared “combo” room for CIED implantation.
okt.to/nviOoW @Mdmetzl #EPeeps

Hany Demo, MD, FACC, FHRS reposted

Look at that great group We are almost ready for #iepi2024 @IEPI2024 @hhuang123 @HanyDemo @paulzei @psharmadoc @cporterfieldmd T Larsen and J Liang

MDTolgaAksu's tweet image. Look at that great group 
We are almost ready for #iepi2024
@IEPI2024 @hhuang123 @HanyDemo @paulzei @psharmadoc @cporterfieldmd T Larsen and J Liang

Loading...

Something went wrong.


Something went wrong.