おすすめツイート
SAVR after TAVR at #eacts2025 by Gregory Fontana Doesn’t look Good… the industry and the Interventional cardiologist will keep pushing further… but the data is right there. (Btw: totally agree with: is TAVI not TAVR!)


So… no more DAPT post CABG!!! (After Acute Coronary Sindrome). Aspirin vs DAPT: More major bleeding events, same MACE. #eacts2025 #CABG

No se pierdan este gran curso @RMSSAA @loremontesvilla @MMarinCuartas @SECTCV @EACTS @AATSHQ
Nuevo curso de LACES Academy. Manejo perioperatorio. Comienza el 1 de Octubre !

Nuevo curso de LACES Academy. Manejo perioperatorio. Comienza el 1 de Octubre !

We want to hear your feedback on the beta version of the AQG Adult Cardiac Risk Calculator. @EdSolteszMD explains below that this tool is able to predict mortality for virtually all cardiac procedures. Explore the features and share your feedback: riskcalculator.aatsqualitygateway.org
Muy Buen Analisis de @VictorDayan1 . 100 % recomendado leerlo completo
🚨2025 @EACTS and @ESC_Journals guidelines have been released. Great job by those involved. As all non evidences based recommendations, most are subject to different perspectives. The authors of current guidelines have jeopardized the future of pts who need a second procedure…

Objective and scientific. That is why we need more of @VictorDayan1 on guidelines
🚨2025 @EACTS and @ESC_Journals guidelines have been released. Great job by those involved. As all non evidences based recommendations, most are subject to different perspectives. The authors of current guidelines have jeopardized the future of pts who need a second procedure…

Prophylactic VA #ECMO during complex/high-risk percutaneous coronary intervention 🔍 70 pts w SYNTAX ≥33 (declined CABG): prophylactic #ECLS prior to elective PCI vs not ⚖️ life-threatening complications (CA unresponsive to CPR, CS, acute unresponsive LV failure, refractory…

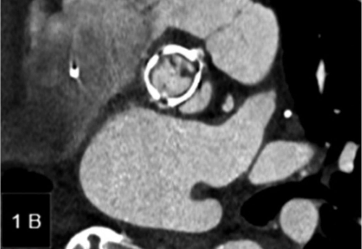
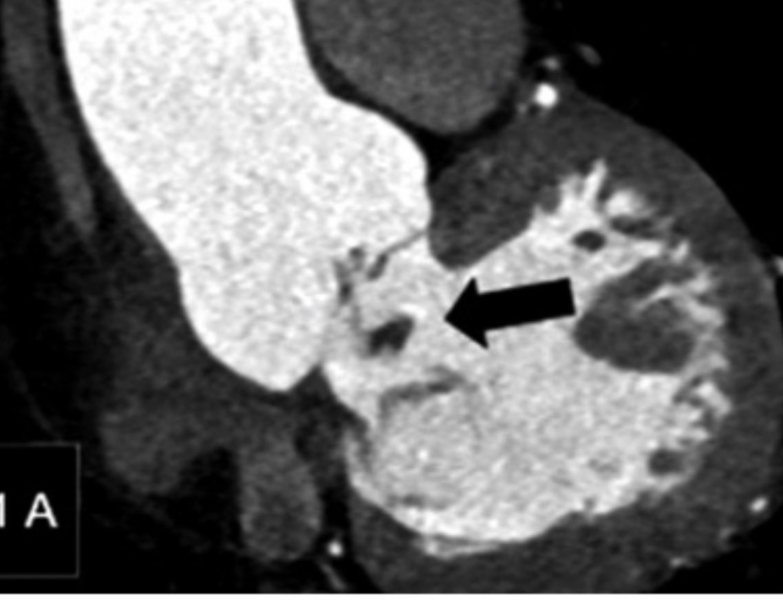
📖👓 Utilidad Angio-TC cardíaco en la evaluación de la endocarditis infecciosa. Una revision de hallazgos en casos locales, lee el artículo completo acá ➡️ revistamedicadechile.cl/index.php/rmed… @marzagod @medufro @AlemanaTemuco @HHHATEMUCO



Gracias por la oportunidad de permitirnos mostrar nuestro trabajo en pacientes con cardiopatías congénitas instagram.com/p/DMnl5whAnU64…
Outstanding symposium, congratulation @OuzounianMD for lead the most important meeting of 2025 @UHN




Felicidades al autor muy buen análisis
Vía crucis de TAVI versus cirugía en bajo riesgo: las tres negaciones secce.es/via-crucis-de-…

Vía crucis de TAVI versus cirugía en bajo riesgo: las tres negaciones secce.es/via-crucis-de-…

Following the second session: how to I teach it: sequential or isolated distal anastomosis by Dr. Sabik @LATAM_LACES @EACTS @STS_CTsurgery


⭐ We can't wait to open our doors and welcome you to the 2024 EACTS/STS/LACES Latin America Cardiovascular Surgery Conference - starting tomorrow!⭐ 📍 Sheraton Buenos Aires Hotel & Convention Center, San Martín 1225 1275, C1104 CABA, Argentina 🕐 Registration desk opening…
United States トレンド
- 1. Ace Frehley 49.3K posts
- 2. Aaron Rodgers 10.7K posts
- 3. Bengals 28.3K posts
- 4. #911onABC 5,777 posts
- 5. John Bolton 117K posts
- 6. #HereWeGo 5,384 posts
- 7. Cuomo 38.2K posts
- 8. RIP Spaceman 1,709 posts
- 9. Asheville 9,864 posts
- 10. Glasnow 3,784 posts
- 11. athena 11K posts
- 12. #TNFonPrime 1,850 posts
- 13. Space Ace 1,819 posts
- 14. #NYCMayoralDebate N/A
- 15. Tommy Edman N/A
- 16. Uribe 31.9K posts
- 17. New York Groove N/A
- 18. Jacob Misiorowski 1,095 posts
- 19. Chourio 1,016 posts
- 20. Jonnu Smith 1,133 posts
おすすめツイート
-
Joe Bavaria, MD
@BavariaMd -
Faisal Bakaeen MD
@FaisalBakaeen -
Coronary 4Front
@Coronary4front -
Luis J Castro MD
@LuisCastroMD -
Ale𝕏ander Weymann
@AWeymannMD -
Patrick Myers
@pomyers -
Michel Pompeu Sá
@M_Pompeu_Sa_MD -
Cleveland Clinic CTS Residency
@CCF_CTSRes -
Mateo Marín-Cuartas
@MMarinCuartas -
William Frankel
@williamcfrankel -
LACES
@LATAM_LACES -
Gianluigi Bisleri, MD
@GBisleri -
Rafa Sádaba
@rafasadaba -
Ovidio García
@ovidiogarciav -
Jama Jahanyar,MD,PhD,FACS
@JJahanyarMDPhD
Something went wrong.
Something went wrong.