LopezOpitz's profile picture. Cardiologo/Imagen Cardiaca/SCL🇨🇱 - INCIC

J.Lopez-Opitz@CardioImagen_cl

@LopezOpitz

Cardiologo/Imagen Cardiaca/SCL🇨🇱 - INCIC

J.Lopez-Opitz@CardioImagen_cl reposted

Repaso del #miniCASO Eco #201 🔎 buff.ly/DxiSsiS ◀️ Paciente de 70 años cursa con ACV isquémico asociado a disnea de 1 mes de evolución ¿Qué vemos en el estudio transesofágico?


J.Lopez-Opitz@CardioImagen_cl reposted

🤖 Inteligencia Artificial para obtener del Eco datos de CMR: en contra de lo que se dijo!!!… 1️⃣ No predice características tisulares → probablemente la señal que las caracteriza no está en las imágenes de Eco. 2️⃣ La CMR insustituible para caracterización tisular 3️⃣ Sí…

MAecocardio's tweet image. 🤖 Inteligencia Artificial para obtener del Eco datos de CMR: en contra de lo que se dijo!!!…

1️⃣ No  predice características tisulares → probablemente la señal que las caracteriza no está en las imágenes de Eco.
2️⃣ La CMR insustituible para caracterización tisular 
3️⃣ Sí…

J.Lopez-Opitz@CardioImagen_cl reposted

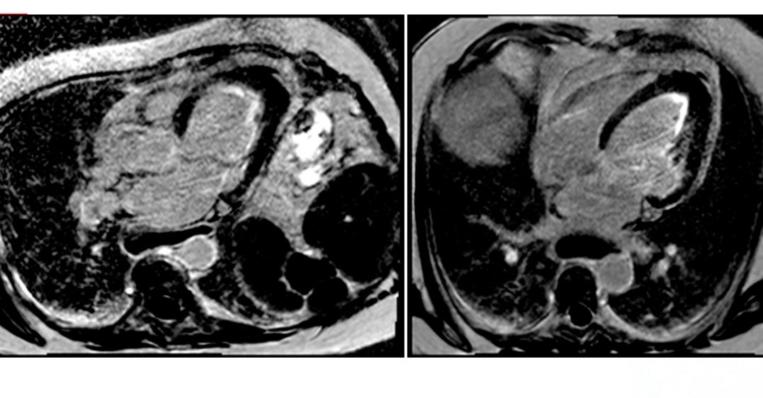
NUEVO #miniCASO Cardio RM #103 de López Opitz @LopezOpitz 🔎 buff.ly/P7BtIua ◀️ ¿Puedes decir qué estamos viendo? #aprendeconcasos

ImagenCardiaca's tweet image. NUEVO #miniCASO Cardio RM #103 de López Opitz @LopezOpitz
🔎 buff.ly/P7BtIua ◀️
¿Puedes decir qué estamos viendo?
#aprendeconcasos

J.Lopez-Opitz@CardioImagen_cl reposted

Muy interesante @LopezOpitz !! Hace poco vimos un caso muy parecido 👇 Podremos ver ecg 🤔? PD las dudas siguen al día de hoy

sdelcastillo84's tweet image. Muy interesante @LopezOpitz !! Hace poco vimos un caso muy parecido 👇
Podremos ver ecg 🤔?
PD las dudas siguen al día de hoy
sdelcastillo84's tweet image. Muy interesante @LopezOpitz !! Hace poco vimos un caso muy parecido 👇
Podremos ver ecg 🤔?
PD las dudas siguen al día de hoy
sdelcastillo84's tweet image. Muy interesante @LopezOpitz !! Hace poco vimos un caso muy parecido 👇
Podremos ver ecg 🤔?
PD las dudas siguen al día de hoy
sdelcastillo84's tweet image. Muy interesante @LopezOpitz !! Hace poco vimos un caso muy parecido 👇
Podremos ver ecg 🤔?
PD las dudas siguen al día de hoy

J.Lopez-Opitz@CardioImagen_cl reposted

Simplicity is the ultimate sophistication. Read also about our simple risk stratification strategy, published a few weeks ago: doi.org/10.1093/eurhea… #WhyCMR #sarcoidosis

cshenoy3's tweet image. Simplicity is the ultimate sophistication.

Read also about our simple risk stratification strategy, published a few weeks ago:

doi.org/10.1093/eurhea…

#WhyCMR #sarcoidosis
cshenoy3's tweet image. Simplicity is the ultimate sophistication.

Read also about our simple risk stratification strategy, published a few weeks ago:

doi.org/10.1093/eurhea…

#WhyCMR #sarcoidosis

#WhyCMR by LGE in sarcoidosis, new precision in prognosis? Large #UK cohort of biopsy-proven cardiac sarcoidosis finds that LGE extent was an independent predictor of VAs or device therapy. #JACCIMG offers a novel approach to arrhythmic risk stratification jacc.org/doi/10.1016/j.…

JACCJournals's tweet image. #WhyCMR by LGE in sarcoidosis, new precision in prognosis? Large #UK cohort of biopsy-proven cardiac sarcoidosis finds that LGE extent was an independent predictor of VAs or device therapy. #JACCIMG offers a novel approach to arrhythmic risk stratification jacc.org/doi/10.1016/j.…
JACCJournals's tweet image. #WhyCMR by LGE in sarcoidosis, new precision in prognosis? Large #UK cohort of biopsy-proven cardiac sarcoidosis finds that LGE extent was an independent predictor of VAs or device therapy. #JACCIMG offers a novel approach to arrhythmic risk stratification jacc.org/doi/10.1016/j.…


J.Lopez-Opitz@CardioImagen_cl reposted

🇨🇱 Queda mucho, pero ya tengo muchas ganas de formar parte... Vía @SISIACOficial

Azcarate_Cardio's tweet image. 🇨🇱 Queda mucho, pero ya tengo muchas ganas de formar parte... 

Vía @SISIACOficial

J.Lopez-Opitz@CardioImagen_cl reposted

🌎 Change global clinical practice while enhancing your career by submitting an abstract to present at the 29th Annual Scientific Sessions in Rio de Janeiro, Brazil! The deadline to submit is August 27, 2025. View the submission guidelines here: bit.ly/4lGqP9T

SCMRorg's tweet image. 🌎 Change global clinical practice while enhancing your career by submitting an abstract to present at the 29th Annual Scientific Sessions in Rio de Janeiro, Brazil! The deadline to submit is August 27, 2025.

View the submission guidelines here: bit.ly/4lGqP9T

MR : Tracking del ⭕️ vs Tracking del 🌬️ @SAC_54 #4dflow @ClinicaIndisa Hoy develamos el misterio en Imágenes 🫀.SAC.2025


J.Lopez-Opitz@CardioImagen_cl reposted

🎙️Charlamos con el Dr. Javier López Opitz sobre una técnica que da información de flujo y anatomía luego de la adquisición de volumen de datos el 4D Flow. ¿Cómo puede cambiar la forma en que evaluamos las válvulas y el flujo cardíaco? #Imágenes2025 #CongresoSAC #4DFlow


J.Lopez-Opitz@CardioImagen_cl reposted

📍 ¿Vas a #ImagenesSAC25? 🗓 3 y 4 de julio 📌 La Rural, Predio Ferial de Buenos Aires 🔵 El ingreso es por Calle Juncal 4431 ¡Nos vemos pronto en el gran evento de la imagen cardiaca! ❤️🩻 @sacardiologia #CardioSAC #Imágenes25 #CardioTC #CardioRMN

TomoResoSac's tweet image. 📍 ¿Vas a #ImagenesSAC25?

🗓 3 y 4 de julio
📌 La Rural, Predio Ferial de Buenos Aires
🔵 El ingreso es por Calle Juncal 4431

¡Nos vemos pronto en el gran evento de la imagen cardiaca! ❤️🩻
@sacardiologia

#CardioSAC #Imágenes25 #CardioTC #CardioRMN
TomoResoSac's tweet image. 📍 ¿Vas a #ImagenesSAC25?

🗓 3 y 4 de julio
📌 La Rural, Predio Ferial de Buenos Aires
🔵 El ingreso es por Calle Juncal 4431

¡Nos vemos pronto en el gran evento de la imagen cardiaca! ❤️🩻
@sacardiologia

#CardioSAC #Imágenes25 #CardioTC #CardioRMN

J.Lopez-Opitz@CardioImagen_cl reposted

📣 ¡El Congreso #Imágenes25 cada vez más cerca! 🙌 📍 3 y 4 de julio | La Rural, CABA 💡Una oportunidad única para actualizarte con expertos, intercambiar experiencias y debatir sobre el presente y futuro de la especialidad. ¡No te lo pierdas! ✅Más información e…

SAC_54's tweet image. 📣 ¡El Congreso #Imágenes25 cada vez más cerca! 🙌

📍 3 y 4 de julio | La Rural, CABA

💡Una oportunidad única para actualizarte con expertos, intercambiar experiencias y debatir sobre el presente y futuro de la especialidad.

¡No te lo pierdas! 

✅Más información e…

J.Lopez-Opitz@CardioImagen_cl reposted

Prediction of ventricular arrhythmic outcomes in suspected cardiac sarcoidosis: a comparison of cardiovascular magnetic resonance phenotyping vs. societal recommendations for implantable cardioverter-defibrillator placement academic.oup.com/eurheartj/adva… #WhyCMR #Epeeps #cardiotwitter

cshenoy3's tweet image. Prediction of ventricular arrhythmic outcomes in suspected cardiac sarcoidosis: a comparison of cardiovascular magnetic resonance phenotyping vs. societal recommendations for implantable cardioverter-defibrillator placement

academic.oup.com/eurheartj/adva…

#WhyCMR #Epeeps #cardiotwitter

Loading...

Something went wrong.


Something went wrong.