MFeelyDO's profile picture. Gastrointestinal and Liver Pathologist at University of Florida

Michael Feely, DO

@MFeelyDO

Gastrointestinal and Liver Pathologist at University of Florida

Michael Feely, DO reposted

Interested in the crossroads of pediatric and adult GI pathology? Members can join us today at 12:00 PM EST for a free e-Learning forum. Please see the details below! #GIPS #GIpath #pathology

USGIPS's tweet image. Interested in the crossroads of pediatric and adult GI pathology? Members can join us today at 12:00 PM EST for a free e-Learning forum. Please see the details below! #GIPS #GIpath #pathology

Michael Feely, DO reposted

What do all of these beautiful cases have in common besides being found in the most exciting organ system of the body? They have all been featured as one of our Cases of the Month! Interested in sharing a case with a worldwide audience? 👀⬇️ #GIPS #GIpath

USGIPS's tweet image. What do all of these beautiful cases have in common besides being found in the most exciting organ system of the body? They have all been featured as one of our Cases of the Month! Interested in sharing a case with a worldwide audience? 👀⬇️ #GIPS #GIpath
USGIPS's tweet image. What do all of these beautiful cases have in common besides being found in the most exciting organ system of the body? They have all been featured as one of our Cases of the Month! Interested in sharing a case with a worldwide audience? 👀⬇️ #GIPS #GIpath
USGIPS's tweet image. What do all of these beautiful cases have in common besides being found in the most exciting organ system of the body? They have all been featured as one of our Cases of the Month! Interested in sharing a case with a worldwide audience? 👀⬇️ #GIPS #GIpath
USGIPS's tweet image. What do all of these beautiful cases have in common besides being found in the most exciting organ system of the body? They have all been featured as one of our Cases of the Month! Interested in sharing a case with a worldwide audience? 👀⬇️ #GIPS #GIpath

Michael Feely, DO reposted

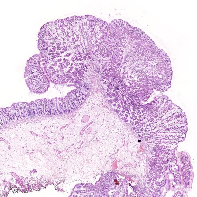
Polypoid lesion of sigmoid colon. Not a frequently seen one 🙃 #PathTwitter #GIpath #BeautyInBenign

HLapsar's tweet image. Polypoid lesion of sigmoid colon.
Not a frequently seen one 🙃
#PathTwitter #GIpath #BeautyInBenign
HLapsar's tweet image. Polypoid lesion of sigmoid colon.
Not a frequently seen one 🙃
#PathTwitter #GIpath #BeautyInBenign
HLapsar's tweet image. Polypoid lesion of sigmoid colon.
Not a frequently seen one 🙃
#PathTwitter #GIpath #BeautyInBenign
HLapsar's tweet image. Polypoid lesion of sigmoid colon.
Not a frequently seen one 🙃
#PathTwitter #GIpath #BeautyInBenign

Great work by an awesome multidisciplinary team here at UF! @UFHealth #UFpath

UF has the highest 1y liver graft survival in US. HR of graft loss is 75% lower than the American average. Heavy work by many people and reason of great honor for us. Could not be prouder of the team! Gators strong! 🐊@UF @UFHealth @UFSurgery @ASTSChimera #livertwitter

tbeduschi's tweet image. UF has the highest 1y liver graft survival in US. HR of graft loss is 75% lower than the American average. Heavy work by many people and reason of great honor for us. Could not be prouder of the team! Gators strong! 🐊@UF @UFHealth @UFSurgery @ASTSChimera #livertwitter


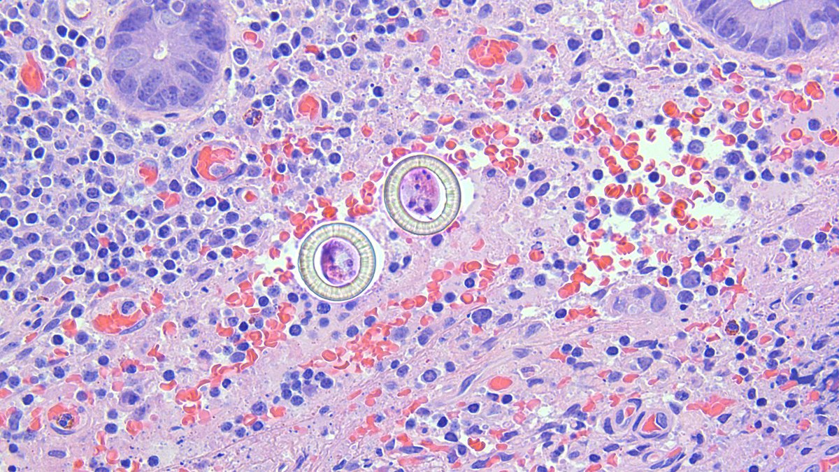
Another one for the bucket list. Beautiful case of an alien invader.

Any thoughts on this beautiful, elegant creature that "crawled" into the colonic mucosa and presented as polyp !! I have been googling it for ages and can't find a morphologic fit with any of the adult/ larval parasitic forms that I have ever encountered. Pt is asymptomatic.

Vijuananthan's tweet image. Any thoughts on this beautiful, elegant creature that "crawled" into the colonic mucosa and presented as polyp !! I have been googling it for ages and can't find a morphologic fit with any of the adult/ larval parasitic  forms that I have ever encountered. Pt is asymptomatic.
Vijuananthan's tweet image. Any thoughts on this beautiful, elegant creature that "crawled" into the colonic mucosa and presented as polyp !! I have been googling it for ages and can't find a morphologic fit with any of the adult/ larval parasitic  forms that I have ever encountered. Pt is asymptomatic.
Vijuananthan's tweet image. Any thoughts on this beautiful, elegant creature that "crawled" into the colonic mucosa and presented as polyp !! I have been googling it for ages and can't find a morphologic fit with any of the adult/ larval parasitic  forms that I have ever encountered. Pt is asymptomatic.


Finally watching the last season of #SchittsCreek so I figured I’d share these appropriately themed snapshots. Look mom, no eggs! #parasite #pathology

MFeelyDO's tweet image. Finally watching the last season of #SchittsCreek so I figured I’d share these appropriately themed snapshots. 

Look mom, no eggs! #parasite #pathology
MFeelyDO's tweet image. Finally watching the last season of #SchittsCreek so I figured I’d share these appropriately themed snapshots. 

Look mom, no eggs! #parasite #pathology

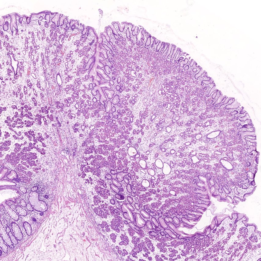
There’s something fishy about this colesevelam... #GIpath #pathology

MFeelyDO's tweet image. There’s something fishy about this colesevelam... #GIpath #pathology
MFeelyDO's tweet image. There’s something fishy about this colesevelam... #GIpath #pathology
MFeelyDO's tweet image. There’s something fishy about this colesevelam... #GIpath #pathology

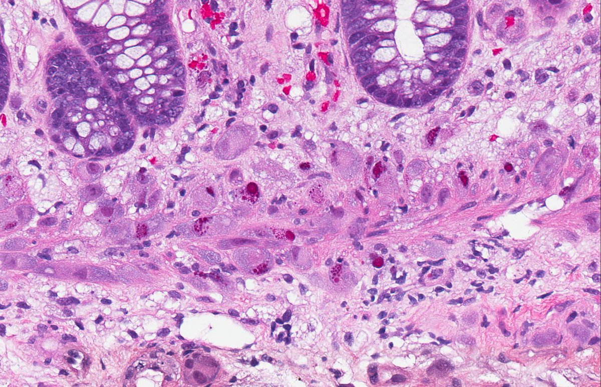
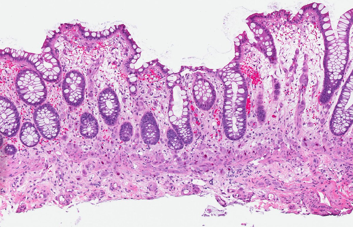
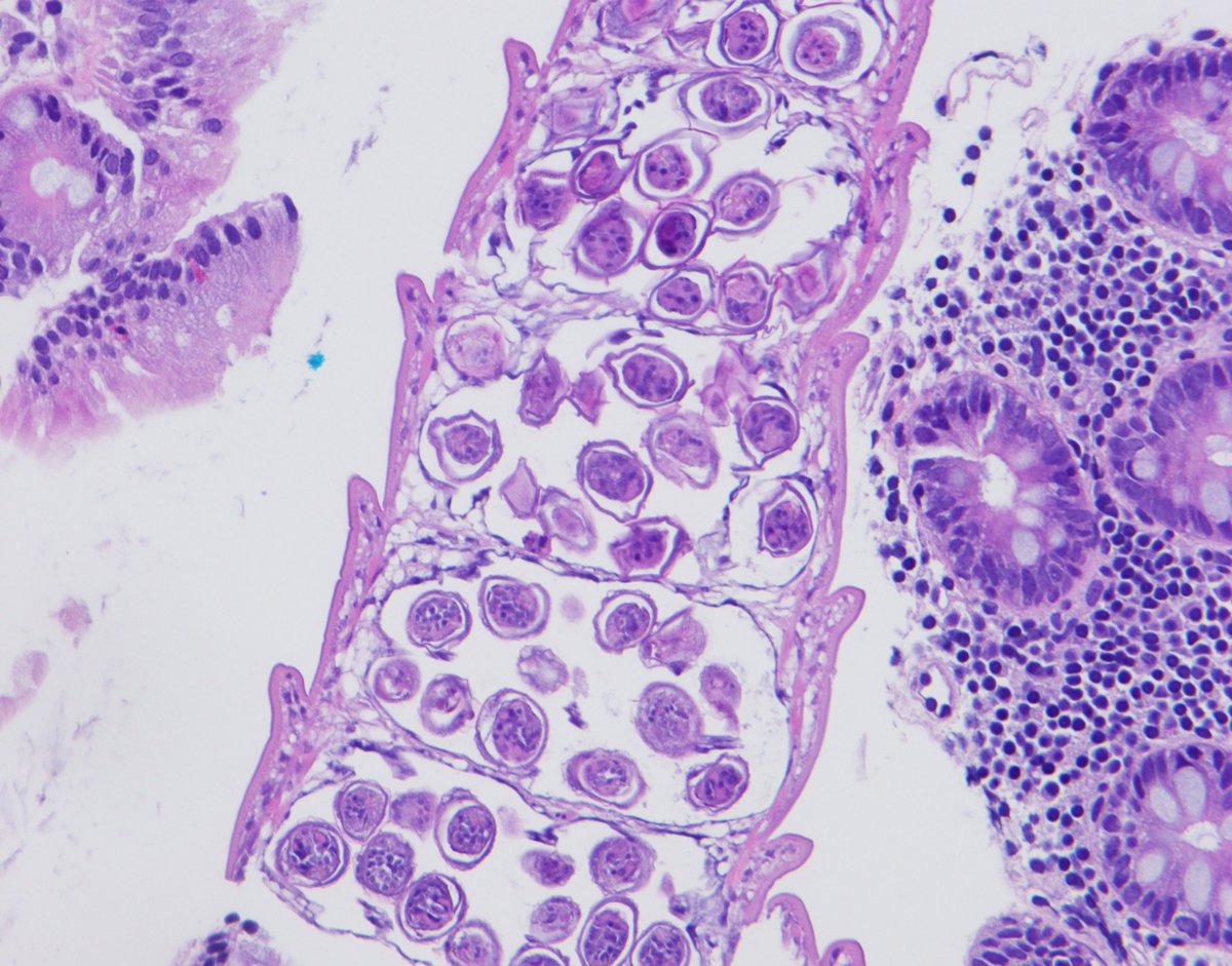
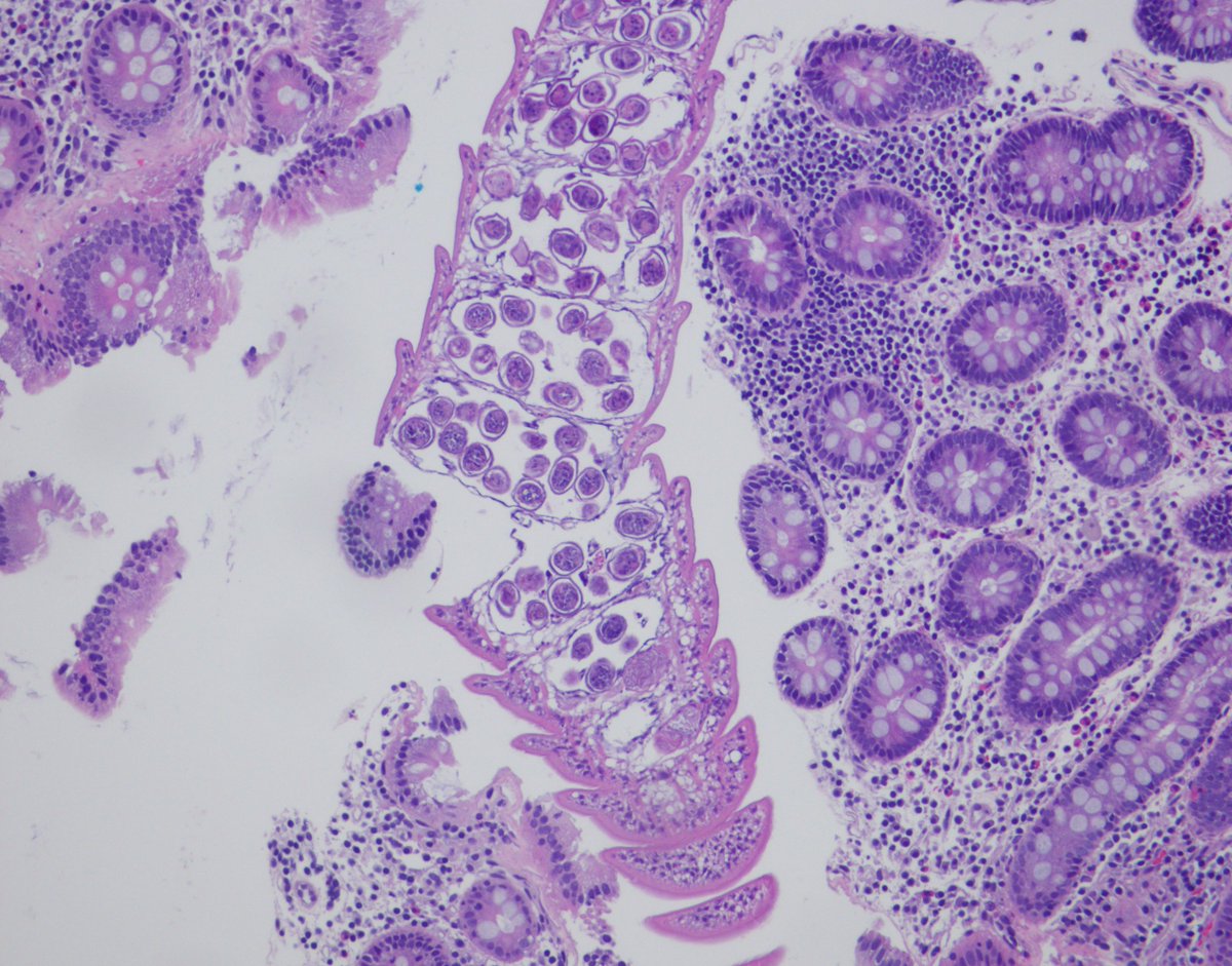
Beautiful surgical pathology case. And here you thought egg ID only comes in handy in CP.


Michael Feely, DO reposted

Candida in esophageal biopsies should always be considered to be possibly clinically significant and the presence of neutrophilic inflammation and tissue invasion are not required to establish a diagnosis of fungal infection. #GIPSJournalWatch pubmed.ncbi.nlm.nih.gov/31944368/


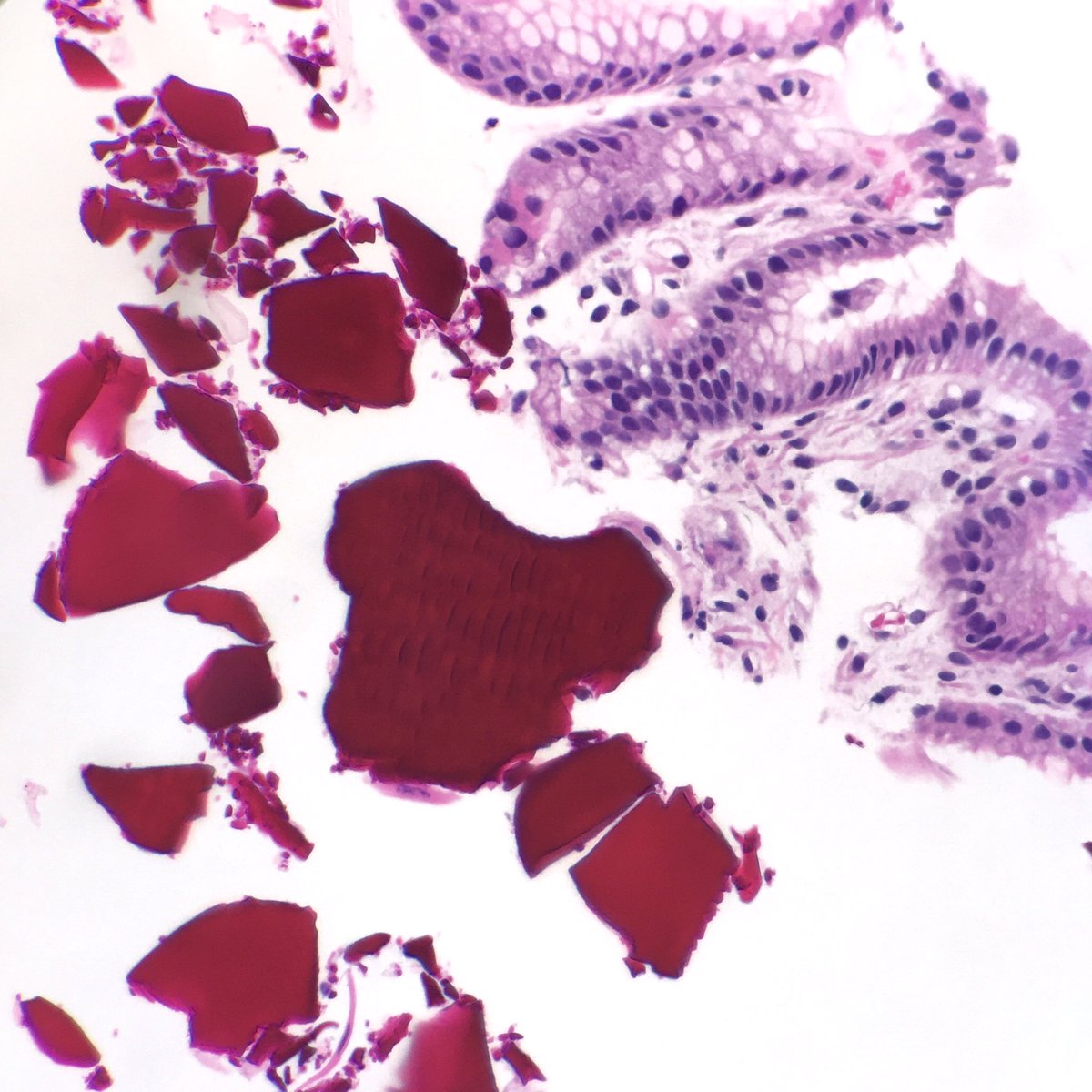
And here we get all worked up when a solitary one shows up! Here’s my best attempt at a photo under the dissecting scope of a recent visitor.

MFeelyDO's tweet image. And here we get all worked up when a solitary one shows up! Here’s my best attempt at a photo under the dissecting scope of a recent visitor.

One video from my archives. An 8y child was refd for sigmoidoscopy from a pediatric unit. 3 mth Hx of dysentery, anaemia and stunting. We put the scope in and look what we found! #MedTwitter #MedEd #Gigang #endoscopy



Michael Feely, DO reposted

There’s a lot of terrible news in the world right now so I thought you’d like to know that someone’s cancer just completely vanished.


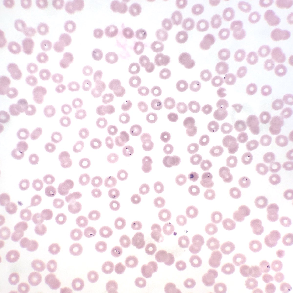
Really enjoyed listening to the recording of @ParasiteGal’s #CAPVirtualPath lecture. I even dug out my secret stash of peripheral smears.

MFeelyDO's tweet image. Really enjoyed listening to the recording of @ParasiteGal’s #CAPVirtualPath lecture. I even dug out my secret stash of peripheral smears.
MFeelyDO's tweet image. Really enjoyed listening to the recording of @ParasiteGal’s #CAPVirtualPath lecture. I even dug out my secret stash of peripheral smears.

Loading...

Something went wrong.


Something went wrong.