Musorad's profile picture. General radiologist, I like music and gardening.

Neil SHABA

@Musorad

General radiologist, I like music and gardening.

Neil SHABA reposted

Abdominal X-ray of a child presenting with abdominal pain and vomiting. What do you think has happened here?

drkeithsiau's tweet image. Abdominal X-ray of a child presenting with abdominal pain and vomiting. What do you think has happened here?

Neil SHABA reposted

IMPRESSION: Retropharyngeal course of the left internal carotid artery.

Stay home, carotid! 😳



Neil SHABA reposted

12000 children killed


Neil SHABA reposted

Describe what you see?

OGdukeneurosurg's tweet image. Describe what you see?

Neil SHABA reposted

Lurie Peds Neuro Case #105 History: Young male child with right facial mass *Only reply with GIFs. NO answers or spoilers. #LuriePedsNeuro #FOAMrad #FOAMed #MedEd #NeuroRad #PediNeuroRad @LurieNeuroRads

JudyGadde's tweet image. Lurie Peds Neuro Case #105
History: Young male child with right facial mass
 
*Only reply with GIFs. NO answers or spoilers.

#LuriePedsNeuro #FOAMrad #FOAMed #MedEd #NeuroRad #PediNeuroRad 
@LurieNeuroRads
JudyGadde's tweet image. Lurie Peds Neuro Case #105
History: Young male child with right facial mass
 
*Only reply with GIFs. NO answers or spoilers.

#LuriePedsNeuro #FOAMrad #FOAMed #MedEd #NeuroRad #PediNeuroRad 
@LurieNeuroRads

Neil SHABA reposted

An absolute modern day miracle. This calcific tendinitis diagnosed by x-ray and clinical exam but MOST impressively, to my delight, treated appropriately/conservatively completely recovered without MRI or CT! ✅

northwoods1980's tweet image. An absolute modern day miracle. This calcific tendinitis diagnosed by x-ray and clinical exam but MOST impressively, to my delight, treated appropriately/conservatively completely recovered without MRI or CT! ✅
northwoods1980's tweet image. An absolute modern day miracle. This calcific tendinitis diagnosed by x-ray and clinical exam but MOST impressively, to my delight, treated appropriately/conservatively completely recovered without MRI or CT! ✅

Neil SHABA reposted

This was surgically removed from brain of a one year old. Source: ⁦@GreenJournal⁩ 🧵

OGdukeneurosurg's tweet image. This was surgically removed from brain of a one year old. Source: ⁦@GreenJournal⁩ 🧵

Neil SHABA reposted

Ths man was wearing a gun while assisting his mother in the #MRI suite when the scanner’s powerful magnet pulled the gun away from his body. The gun subsequently discharged & shot him in his stomach, landing him in the ICU until Feb. 6, when he passed away healthimaging.com/topics/medical…


I am reading bad news about Twitter and it makes me sad because it's such an important platform for Radiology in particular. It's much cleaner than Facebook.


Neil SHABA reposted

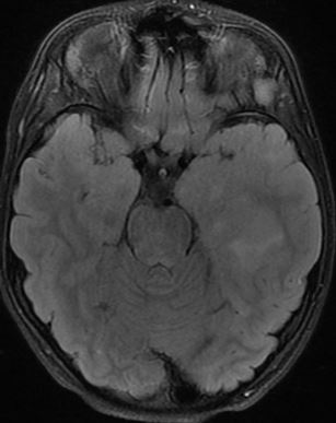
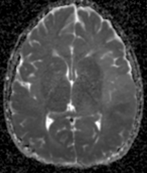
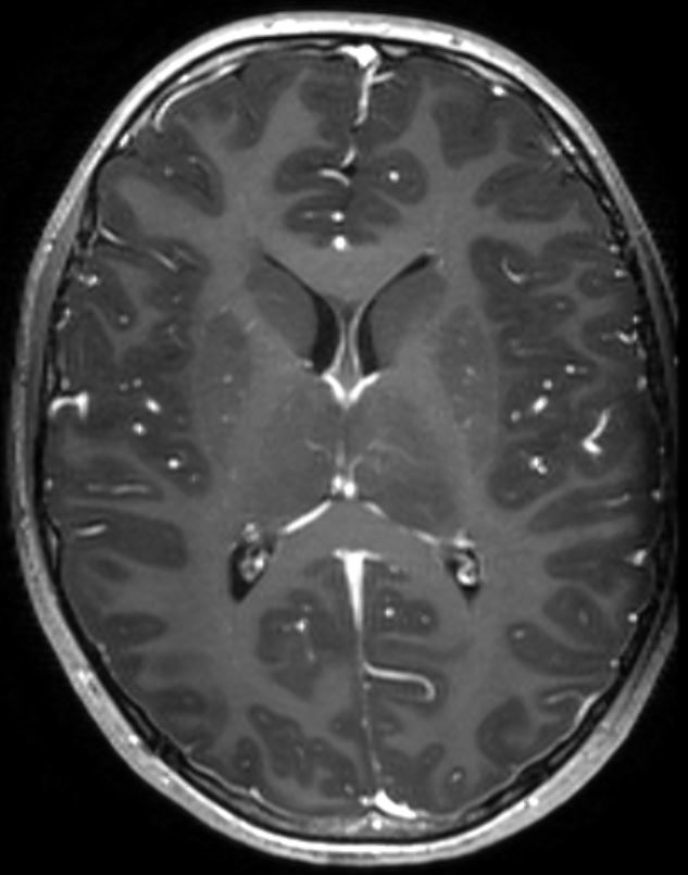
Tip of the day 💡: In children, high-grade diffuse tumors need not show contrast enhancement, or even frankly restricted diffusion. Be extremely wary of these facts, as these cases are often erroneously labeled 'encephalitis' for a long time before the correct diagnosis is made.

drmankad's tweet image. Tip of the day 💡: In children, high-grade diffuse tumors need not show contrast enhancement, or even frankly restricted diffusion. Be extremely wary of these facts, as these cases are often erroneously labeled 'encephalitis' for a long time before the correct diagnosis is made.
drmankad's tweet image. Tip of the day 💡: In children, high-grade diffuse tumors need not show contrast enhancement, or even frankly restricted diffusion. Be extremely wary of these facts, as these cases are often erroneously labeled 'encephalitis' for a long time before the correct diagnosis is made.
drmankad's tweet image. Tip of the day 💡: In children, high-grade diffuse tumors need not show contrast enhancement, or even frankly restricted diffusion. Be extremely wary of these facts, as these cases are often erroneously labeled 'encephalitis' for a long time before the correct diagnosis is made.
drmankad's tweet image. Tip of the day 💡: In children, high-grade diffuse tumors need not show contrast enhancement, or even frankly restricted diffusion. Be extremely wary of these facts, as these cases are often erroneously labeled 'encephalitis' for a long time before the correct diagnosis is made.

Neil SHABA reposted

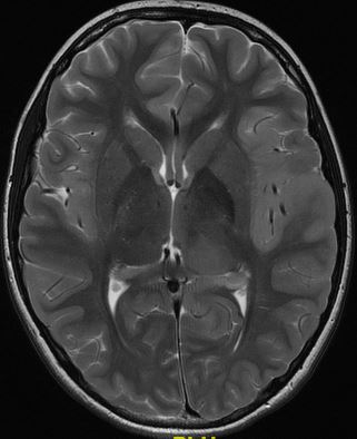
ASNR COTW #114 History of progressive confusion and difficulty walking. Remember NO SPOILERS! Give hints in the form of GIFs or answer the attached poll. Answer in 24 hours.

TheASNR's tweet image. ASNR COTW #114
History of progressive confusion and difficulty walking.     Remember NO SPOILERS! Give hints in the form of GIFs or answer the attached poll. Answer in 24 hours.

Neil SHABA reposted

“Angiographically Occult Subarachnoid Hemorrhage: Yield of Repeat Angiography, Influence of Initial CT Bleed Pattern, and Sources of Diagnostic Error in 242 Consecutive Patients” #SAH @traviscaton @DanTonettiMD @UCSF_NIR @NeurosurgUCSF @neurores_ucsf | bit.ly/3NLj3KW

TheAJNR's tweet image. “Angiographically Occult Subarachnoid Hemorrhage: Yield of Repeat Angiography, Influence of Initial CT Bleed Pattern, and Sources of Diagnostic Error in 242 Consecutive Patients” #SAH @traviscaton @DanTonettiMD @UCSF_NIR @NeurosurgUCSF @neurores_ucsf | bit.ly/3NLj3KW

Neil SHABA reposted

Art. In its purest form. Have a special day, Dennis 🐐


Neil SHABA reposted

Answer: A. The image shows a double PCL sign which occurs secondary to a bucket handle tear of the medial meniscus which subsequently gets displaced anterior to the PCL, making it appear as though there are two PCLs.


Neil SHABA reposted

Liver mass mimicking FNH. Female patient w/ large, exophytic mass (blue). Echogenic, stellate central scar (orange). Biopsy (green) = Melanoma. Beware: Central scars are nonspecific. Can be seen w/ FNH, large hemangiomas, HCC & metastases. #FOAMrad #radiology #radres#medstudent

Radquarters's tweet image. Liver mass mimicking FNH. Female patient w/ large, exophytic mass (blue). Echogenic, stellate central scar (orange). Biopsy (green) = Melanoma. Beware: Central scars are nonspecific. Can be seen w/ FNH, large hemangiomas, HCC & metastases.
#FOAMrad #radiology #radres#medstudent

Loading...

Something went wrong.


Something went wrong.