Neurodynamics's profile picture. DipPT, MAppSc (MSK), FACP. Founder, author best seller, Clinical Neurodynamics, NDS Neurodynamic Solutions.

Michael Shacklock

@Neurodynamics

DipPT, MAppSc (MSK), FACP. Founder, author best seller, Clinical Neurodynamics, NDS Neurodynamic Solutions.

ATTN: PTs and Chiros! NEW FREE WEBINAR! Case-based Approach to Understanding Neurodynamic Testing and Treatment. Michael Shacklock, DipPT, FACP); Drs Michael Maxwell DC & Dr Joseph Gravino DPT. Day - Sun Jan 19 Time: PST 2:00 pm, EST 5:00 pm Register here: us02web.zoom.us/webinar/regist…

Neurodynamics's tweet image. ATTN: PTs and Chiros! NEW FREE WEBINAR!
Case-based Approach to Understanding Neurodynamic Testing and Treatment.
Michael Shacklock, DipPT, FACP); Drs Michael Maxwell DC & Dr Joseph Gravino DPT.
Day - Sun Jan 19
Time: PST 2:00 pm, EST 5:00 pm
Register here: us02web.zoom.us/webinar/regist…

Hello Everyone, NDS has a NEW INSTAGRAM ACCOUNT instagram@neurodynamicsolutions We'll be doing our updates there for lots of good info. Please go there for the latest in research, techniques and clinical pearls.


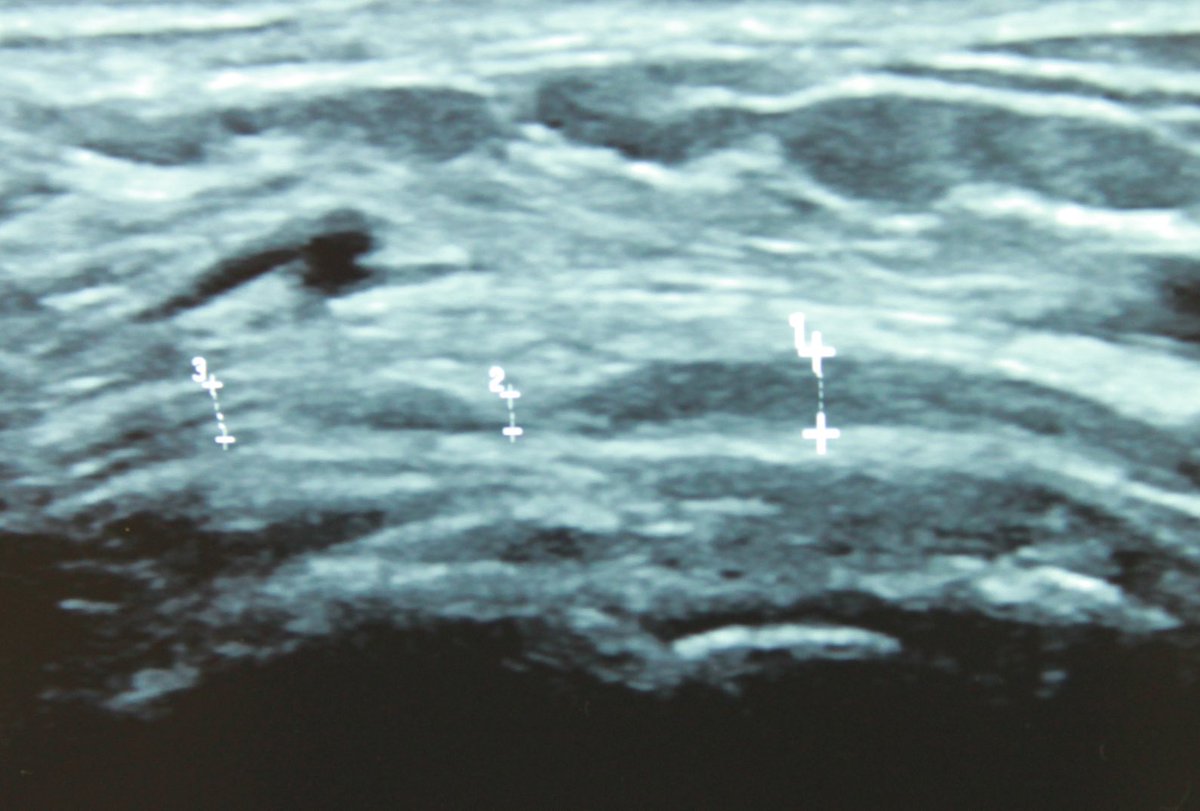
#HEELPAIN can be produced by the MEDIAL CALCANEAL NERVE. My patient’s pain was reproduced by palpation exactly where it was compressed. See site 2 - diameter is reduced with an hour-glass deformity (US). #neurodynamics #physiotherapy #physicaltherapy #chiropractic

Neurodynamics's tweet image. #HEELPAIN can be produced by the MEDIAL CALCANEAL NERVE.

My patient’s pain was reproduced by palpation exactly where it was compressed. 

See site 2 - diameter is reduced with an hour-glass deformity (US).

#neurodynamics #physiotherapy #physicaltherapy #chiropractic

I had a patient with Tarlov cysts and #lowbackpain. Here's a clinical case and we pulled one out of a cadaver when were looking at nerve roots: neurodynamicsolutions.com/april-2021---t… #neurodynamics #physiotherapy #chiropractic #tarlovcyst

Neurodynamics's tweet image. I had a patient with Tarlov cysts and #lowbackpain. 
Here's a clinical case and we pulled one out of a cadaver when were looking at nerve roots:
neurodynamicsolutions.com/april-2021---t…
#neurodynamics #physiotherapy #chiropractic #tarlovcyst

An oldie but a goodie. Ultrasound video: specific median nerve movement. Go to instragram@neurodynamics to see more. #neurodynamics #physicaltherapy #physiotherapy #chiropractic #carpaltunnelsyndrome


WATCH this CONVERSATION! #Lumbarradiculopathy, #Neurodynamics INSTAGRAM LIVE - me and Dr Richard Ulm Instagram@Athlete Enhancement instagram.com/athleteenhance… Instagram@Neurodynamics instagram.com/neurodynamics/ USA: Mon 22: 7:00 pm, Eastern Australia: Tues 23, 11:00 am Sydney

Neurodynamics's tweet image. WATCH this CONVERSATION!
#Lumbarradiculopathy, #Neurodynamics

INSTAGRAM LIVE - me and Dr Richard Ulm

Instagram@Athlete Enhancement
instagram.com/athleteenhance…

Instagram@Neurodynamics
instagram.com/neurodynamics/

USA: Mon 22: 7:00 pm, Eastern
Australia: Tues 23, 11:00 am Sydney

NEURODYNAMICS - HAPPY 25th ANNIVERSARY!! 1995-2020. 25 years since the entrance of NEURODYNAMICS into the physical health sciences. VIDEO - how it happened. #physicaltherapy #physiotherapy #chiropractic #neurodynamics #pain #rehabilitation #rehab youtube.com/watch?v=a9tJSt…

Neurodynamics's tweet card. Happy 25th Anniversary Neurodynamics!!!

youtube.com

YouTube

Happy 25th Anniversary Neurodynamics!!!


Can NERVES be MOVED SPECIFICALLY? Here's our recent research on SCIATIC NERVE MOVEMENT and BICEPS FEMORIS muscle with the straight leg raise. To read the abstract: researchgate.net/publication/33… #physiotherapy #physicaltherapy #neurodynamics #chiropractic #rehabilitation

Neurodynamics's tweet image. Can NERVES be MOVED SPECIFICALLY?

Here's our recent research on SCIATIC NERVE MOVEMENT and BICEPS FEMORIS muscle with the straight leg raise. 

To read the abstract:
researchgate.net/publication/33… 

#physiotherapy #physicaltherapy #neurodynamics #chiropractic #rehabilitation

Hey - are you into #NEURODYNAMICS and want new updates, research, vids, techniques? Instagram@neurodynamics www.instagram/neurodynamics Follow and see cool new stuff. #neurodynamics #physiotherapy #physicaltherapy #chiropractic #rehab #rehabilitation

Neurodynamics's tweet image. Hey - are you into #NEURODYNAMICS and want new updates, research, vids, techniques?

Instagram@neurodynamics
www.instagram/neurodynamics

Follow and see cool new stuff.

#neurodynamics #physiotherapy #physicaltherapy #chiropractic #rehab #rehabilitation

HEY EVERONE! My new webinar. How nerves move and what to do. Monday, May 4 4:00 pm Pacific 5:00 pm, Mountain 6:00 pm Central 7:00 pm, Atlantic Here’s the link: us02web.zoom.us/meeting/regist… Join the fun! EVERYONE is welcome!


Terminal 4 at LAX, almost deserted. Is this post-Armageddon?

Neurodynamics's tweet image. Terminal 4 at LAX, almost deserted. Is this post-Armageddon?

The Australian govt said “You’d better come home NOW!”. Started a contemporary travel picnic, filters included.

Neurodynamics's tweet image. The Australian govt said “You’d better come home NOW!”. 

Started a contemporary travel picnic, filters included.

Hmm. Sitting in my hotel room waiting for my travel agent to organise how I can get home (Australia) from overseas. Makes me hungry.

Quarantine day 6.



RADICULAR PAIN - Watch this. AVAILABLE ONLINE NOW MyRehabExercise.com (Use code: promo33747) Simple exercises for PAIN and FUNCTION. - VIDEOS - AUDIO - INSTRUCTIONS - EXERCISES+ - EASY #neurodynamics #physicaltherapy #chiropractic #rehabilitation #radiculopathy


Loading...

Something went wrong.


Something went wrong.