ProstateImage's profile picture. Imagine prostate cancer care without imaging!! Imaging matters for better quality care.

PCa Imaging

@ProstateImage

Imagine prostate cancer care without imaging!! Imaging matters for better quality care.

PCa Imaging reposted

Presenting the 95th Academy Award #OscarNoms. #Oscars95


PCa Imaging reposted

Fantastic opening session for the #CARRFS & @CanRadJournal Research Series last week, thanks to @brucebforster, Dr. Clarke, & Dr. Reinhold. Next one coming up this Wed: Data collection with @NickSchiedaMD & @Christian_vdP Register here: forms.gle/n3etwM4ARtuHGv… @CARadiologists

jessicaldobson's tweet image. Fantastic opening session for the #CARRFS & @CanRadJournal Research Series last week, thanks to @brucebforster, Dr. Clarke, & Dr. Reinhold.
Next one coming up this Wed: Data collection with @NickSchiedaMD & @Christian_vdP 
Register here: forms.gle/n3etwM4ARtuHGv… @CARadiologists

PCa Imaging reposted

Comparison of Multi-Parametric MRI of the Prostate to 3D Prostate Computer Aided Designs and 3D-Printed Prostate Models for Pre-Operative Planning of Radical Prostatectomies: A Pilot Study sciencedirect.com/science/articl… #prostateMRI #prostatecancer #medtwitter

radiolobt's tweet image. Comparison of Multi-Parametric MRI of the Prostate to 3D Prostate Computer Aided Designs and 3D-Printed Prostate Models for Pre-Operative Planning of Radical Prostatectomies: A Pilot Study sciencedirect.com/science/articl… #prostateMRI #prostatecancer #medtwitter

PCa Imaging reposted

AI in urology: The future is improved outcomes #AUA21@jaimelandmanuci⁩ ⁦@AjhungMD⁩ Here is a take home summary auadailynews.org/home/article/2…


PCa Imaging reposted

MUSIC presentations at Day 4 of #AUA2021 are listed below! #AUA21 #Prostate #KidneyCancer #KidneyStones #ROCKS #RenalMass #PCa #ProstateCancer

MUSICUrology's tweet image. MUSIC presentations at Day 4 of #AUA2021 are listed below!

#AUA21 #Prostate #KidneyCancer #KidneyStones #ROCKS #RenalMass #PCa #ProstateCancer
MUSICUrology's tweet image. MUSIC presentations at Day 4 of #AUA2021 are listed below!

#AUA21 #Prostate #KidneyCancer #KidneyStones #ROCKS #RenalMass #PCa #ProstateCancer
MUSICUrology's tweet image. MUSIC presentations at Day 4 of #AUA2021 are listed below!

#AUA21 #Prostate #KidneyCancer #KidneyStones #ROCKS #RenalMass #PCa #ProstateCancer

PCa Imaging reposted

#AUA21 Advanced #ProstateCancer Highlights w/ @LoebStacy @SBoorjian @kibelas & Evan Yu - Available Now at auau.auanet.org/content/live-a…

Join us for the #aua21 Highlights in Advanced #ProstateCancer session today 445pET with @SBoorjian @kibelas & Evan Yu - discussing the @AmerUrological guidelines, management of CRPC, germline & somatic testing aua2021.app.swapcard.com/event/aua-2021…

LoebStacy's tweet image. Join us for the #aua21 Highlights in Advanced #ProstateCancer session today 445pET with @SBoorjian @kibelas & Evan Yu - discussing the @AmerUrological guidelines, management of CRPC, germline & somatic testing aua2021.app.swapcard.com/event/aua-2021…


PCa Imaging reposted

Better lesion conspicuity translates into improved prostate cancer detection: comparison of non-parallel-transmission-zoomed-DWI with conventional-DWI link.springer.com/article/10.100… #prostateMRI #prostatecancer #medtwitter #CancerResearch

radiolobt's tweet image. Better lesion conspicuity translates into improved prostate cancer detection: comparison of non-parallel-transmission-zoomed-DWI with conventional-DWI 
link.springer.com/article/10.100… #prostateMRI #prostatecancer #medtwitter #CancerResearch
radiolobt's tweet image. Better lesion conspicuity translates into improved prostate cancer detection: comparison of non-parallel-transmission-zoomed-DWI with conventional-DWI 
link.springer.com/article/10.100… #prostateMRI #prostatecancer #medtwitter #CancerResearch

PCa Imaging reposted

Thank you, @CORDIS_EU for updating the PIONEER project profile: cordis.europa.eu/project/id/777…!

ProstatePioneer's tweet image. Thank you, @CORDIS_EU for updating the PIONEER project profile: cordis.europa.eu/project/id/777…!

PCa Imaging reposted

#AUA21 @AmerUrological Dr Evan Yu from Univ of Washington on the virtual podium now on update with M1 CRPC

JuddMoul's tweet image. #AUA21 @AmerUrological Dr Evan Yu from Univ of Washington on the virtual podium now on update with M1 CRPC

Going on now #AUA21 @AmerUrological Instructional Course on Advanced Prostate Cancer with @JuddMoul Dr Larry Karsh and Dr Evan Yu Please join us!

JuddMoul's tweet image. Going on now #AUA21 @AmerUrological Instructional Course on Advanced Prostate Cancer with @JuddMoul Dr Larry Karsh and Dr Evan Yu Please join us!


PCa Imaging reposted

Tune in NOW for the #AUA21 International Prostate Forum for a fantastic program with the latest evidence and practice in #ProstateCancer - starting with our panel on screening & genetic risk assessment aua2021.app.swapcard.com/event/aua-2021…

LoebStacy's tweet image. Tune in NOW for the #AUA21 International Prostate Forum for a fantastic program with the latest evidence and practice in #ProstateCancer - starting with our panel on screening & genetic risk assessment aua2021.app.swapcard.com/event/aua-2021…

PCa Imaging reposted

Engaging debate on transperineal versus transrectal prostate biopsy @peterchiu_uro @LondonProstate1 @arvinkgeorge @ThomasPolascik @DrRastinehad “What would urologists choose for yourself or your family member?” #AUA21

LoebStacy's tweet image. Engaging debate on transperineal versus transrectal prostate biopsy @peterchiu_uro @LondonProstate1 @arvinkgeorge @ThomasPolascik @DrRastinehad “What would urologists choose for yourself or your family member?” #AUA21
LoebStacy's tweet image. Engaging debate on transperineal versus transrectal prostate biopsy @peterchiu_uro @LondonProstate1 @arvinkgeorge @ThomasPolascik @DrRastinehad “What would urologists choose for yourself or your family member?” #AUA21
LoebStacy's tweet image. Engaging debate on transperineal versus transrectal prostate biopsy @peterchiu_uro @LondonProstate1 @arvinkgeorge @ThomasPolascik @DrRastinehad “What would urologists choose for yourself or your family member?” #AUA21
LoebStacy's tweet image. Engaging debate on transperineal versus transrectal prostate biopsy @peterchiu_uro @LondonProstate1 @arvinkgeorge @ThomasPolascik @DrRastinehad “What would urologists choose for yourself or your family member?” #AUA21

PCa Imaging reposted

The Additive Diagnostic Value of PSMA PET-CT to mpMRI Triage in the Diagnosis of Prostate Cancer (PRIMARY): A Prospective Multicentre Study buff.ly/3ymlXh3 @drlouiseemmett @DrMHofman @declangmurphy @lawrentschuk @DrHWoo @DrVenuC

EUplatinum's tweet image. The Additive Diagnostic Value of PSMA PET-CT to mpMRI Triage in the Diagnosis of Prostate Cancer (PRIMARY): A Prospective Multicentre Study

buff.ly/3ymlXh3

@drlouiseemmett @DrMHofman @declangmurphy @lawrentschuk @DrHWoo @DrVenuC
EUplatinum's tweet image. The Additive Diagnostic Value of PSMA PET-CT to mpMRI Triage in the Diagnosis of Prostate Cancer (PRIMARY): A Prospective Multicentre Study

buff.ly/3ymlXh3

@drlouiseemmett @DrMHofman @declangmurphy @lawrentschuk @DrHWoo @DrVenuC

PCa Imaging reposted

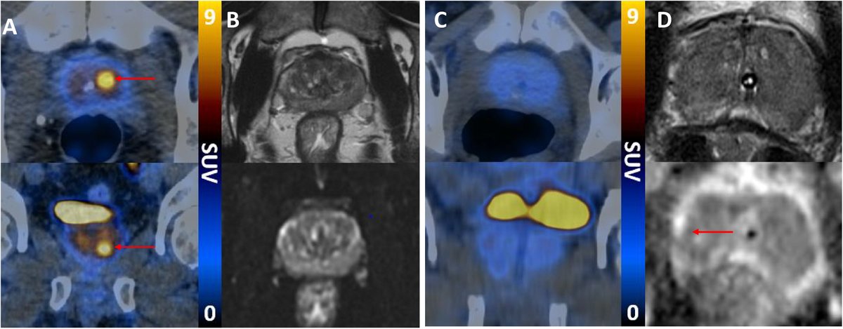
Diagnostic Performance of 68Ga PSMA PET/MRI Compared with mpMRI for Detecting Clinically Significant Prostate Cancer pubs.rsna.org/doi/10.1148/ra… "important study from 🇮🇱 showing benefit of use of PSMA PET in PIRADS 3 lesions at mpMRI" #prostatecancer #molecularimaging #CancerResearch

radiolobt's tweet image. Diagnostic Performance of 68Ga PSMA PET/MRI Compared with mpMRI for Detecting Clinically Significant Prostate Cancer pubs.rsna.org/doi/10.1148/ra…
"important study from 🇮🇱 showing benefit of use of PSMA PET in PIRADS 3 lesions at mpMRI" #prostatecancer #molecularimaging #CancerResearch
radiolobt's tweet image. Diagnostic Performance of 68Ga PSMA PET/MRI Compared with mpMRI for Detecting Clinically Significant Prostate Cancer pubs.rsna.org/doi/10.1148/ra…
"important study from 🇮🇱 showing benefit of use of PSMA PET in PIRADS 3 lesions at mpMRI" #prostatecancer #molecularimaging #CancerResearch
radiolobt's tweet image. Diagnostic Performance of 68Ga PSMA PET/MRI Compared with mpMRI for Detecting Clinically Significant Prostate Cancer pubs.rsna.org/doi/10.1148/ra…
"important study from 🇮🇱 showing benefit of use of PSMA PET in PIRADS 3 lesions at mpMRI" #prostatecancer #molecularimaging #CancerResearch

PCa Imaging reposted

CHEERS trial at #ESTRO2021 presented by @MathieuSpaas: IO vs IO+SABR. Up to 3 lesions received 3x8Gy => no effect on PFS, clearly safe. Say “bye, bye to the “abscopal”-effect or did we do smth wrong? Supported by @komop_tgkanker @VarianMedSys

piet_ost's tweet image. CHEERS trial at #ESTRO2021 presented by @MathieuSpaas: IO vs IO+SABR. Up to 3 lesions received 3x8Gy => no effect on PFS, clearly safe. Say “bye, bye to the “abscopal”-effect or did we do smth wrong? Supported by @komop_tgkanker @VarianMedSys
piet_ost's tweet image. CHEERS trial at #ESTRO2021 presented by @MathieuSpaas: IO vs IO+SABR. Up to 3 lesions received 3x8Gy => no effect on PFS, clearly safe. Say “bye, bye to the “abscopal”-effect or did we do smth wrong? Supported by @komop_tgkanker @VarianMedSys
piet_ost's tweet image. CHEERS trial at #ESTRO2021 presented by @MathieuSpaas: IO vs IO+SABR. Up to 3 lesions received 3x8Gy => no effect on PFS, clearly safe. Say “bye, bye to the “abscopal”-effect or did we do smth wrong? Supported by @komop_tgkanker @VarianMedSys
piet_ost's tweet image. CHEERS trial at #ESTRO2021 presented by @MathieuSpaas: IO vs IO+SABR. Up to 3 lesions received 3x8Gy => no effect on PFS, clearly safe. Say “bye, bye to the “abscopal”-effect or did we do smth wrong? Supported by @komop_tgkanker @VarianMedSys

ProstateImage's tweet image. AJR webinar with USA study team from @OHSURadiology with @AJR_Radiology @NickSchiedaMD @SAR_ProstateDFP @LetDdiceFlyHigh @lkayat @Purysko @acw_rad @DoctorMargolis @claretempany @SilviaChangMD @tharakbathala @arosenkrantzmd @VermaSadhna  @radiolobt

Wednesday's webinar will review an original research article which compares in-bore to fusion biopsy in PI-RADS category 4 and 5 lesions at a single-center with propensity scoring. arrs.org/ajrlive



PCa Imaging reposted

Wednesday's webinar will review an original research article which compares in-bore to fusion biopsy in PI-RADS category 4 and 5 lesions at a single-center with propensity scoring. arrs.org/ajrlive


Loading...

Something went wrong.


Something went wrong.