brainpathol's profile picture. Official journal of @IntSocNeuropath. Original research, reviews, and symposia on pathogenesis of neurological disease. #OpenAccess #neuroscience #neuropath 🧠

Brain Pathology

@brainpathol

Official journal of @IntSocNeuropath. Original research, reviews, and symposia on pathogenesis of neurological disease. #OpenAccess #neuroscience #neuropath 🧠

3D imaging of neuronal inclusions and protein aggregates in human neurodegeneration by multiscale x-ray phase-contrast tomography onlinelibrary.wiley.com/doi/10.1111/bp…

brainpathol's tweet image. 3D imaging of neuronal inclusions and protein aggregates in human neurodegeneration by multiscale x-ray phase-contrast tomography
onlinelibrary.wiley.com/doi/10.1111/bp…

Identification of a distinct epigenetic subgroup with inferior PFS in intracranial mesenchymal tumors with FET::CREB fusion onlinelibrary.wiley.com/doi/10.1111/bp…

brainpathol's tweet image. Identification of a distinct epigenetic subgroup with inferior PFS in intracranial mesenchymal tumors with FET::CREB fusion
onlinelibrary.wiley.com/doi/10.1111/bp…

Sialylation patterns in cerebral amyloid angiopathy onlinelibrary.wiley.com/doi/10.1111/bp… @MaggieFlanagan

brainpathol's tweet image. Sialylation patterns in cerebral amyloid angiopathy
onlinelibrary.wiley.com/doi/10.1111/bp…
@MaggieFlanagan

Dysmorphic neurons express markers of inhibitory glycinergic signaling in focal cortical dysplasia IIb onlinelibrary.wiley.com/doi/10.1111/bp… @pdiamandisii

brainpathol's tweet image. Dysmorphic neurons express markers of inhibitory glycinergic signaling in focal cortical dysplasia IIb
onlinelibrary.wiley.com/doi/10.1111/bp…
@pdiamandisii

Neurofilament light chain as a marker of peripheral nerve damage in vasculitic neuropathy? A cross-compartmental correlation analysis in patients undergoing nerve biopsy onlinelibrary.wiley.com/doi/10.1111/bp…

brainpathol's tweet image. Neurofilament light chain as a marker of peripheral nerve damage in vasculitic neuropathy? A cross-compartmental correlation analysis in patients undergoing nerve biopsy
onlinelibrary.wiley.com/doi/10.1111/bp…

A unified 3D reconstruction of microscopy and MRI in a brain showing Alzheimer's disease-related neuropathology onlinelibrary.wiley.com/doi/10.1111/bp…

brainpathol's tweet image. A unified 3D reconstruction of microscopy and MRI in a brain showing Alzheimer's disease-related neuropathology
onlinelibrary.wiley.com/doi/10.1111/bp…

Nitro-oleic acid activation of endothelial PPARγ signaling pathway alleviates neurovascular injury and improves functional outcomes in ischemic stroke onlinelibrary.wiley.com/doi/10.1111/bp…

brainpathol's tweet image. Nitro-oleic acid activation of endothelial PPARγ signaling pathway alleviates neurovascular injury and improves functional outcomes in ischemic stroke
onlinelibrary.wiley.com/doi/10.1111/bp…

Comparison of automated and manual approaches for microglial quantification and classification: A focus on the HALO digital pathology platform onlinelibrary.wiley.com/doi/10.1111/bp…

brainpathol's tweet image. Comparison of automated and manual approaches for microglial quantification and classification: A focus on the HALO digital pathology platform
onlinelibrary.wiley.com/doi/10.1111/bp…

The physiological and pathological effects of sphingolipid metabolism and signaling in the central nervous system onlinelibrary.wiley.com/doi/10.1111/bp…

brainpathol's tweet image. The physiological and pathological effects of sphingolipid metabolism and signaling in the central nervous system
onlinelibrary.wiley.com/doi/10.1111/bp…

Dendritic location of dystrophic neurites in FTLD-TDP type C with annexinopathy onlinelibrary.wiley.com/doi/10.1111/bp…

brainpathol's tweet image. Dendritic location of dystrophic neurites in FTLD-TDP type C with annexinopathy
onlinelibrary.wiley.com/doi/10.1111/bp…

Dysregulation of the endosomal sorting complex III is linked to neurodegeneration in progressive multiple sclerosis onlinelibrary.wiley.com/doi/10.1111/bp…

brainpathol's tweet image. Dysregulation of the endosomal sorting complex III is linked to neurodegeneration in progressive multiple sclerosis
onlinelibrary.wiley.com/doi/10.1111/bp…

Pediatric brain tumor classification using digital pathology and deep learning: Evaluation of SOTA methods on a multi-center Swedish cohort onlinelibrary.wiley.com/doi/10.1111/bp…

brainpathol's tweet image. Pediatric brain tumor classification using digital pathology and deep learning: Evaluation of SOTA methods on a multi-center Swedish cohort
onlinelibrary.wiley.com/doi/10.1111/bp…

Multi-pronged analysis of pediatric low-grade glioma and ganglioglioma reveals a unique tumor microenvironment associated with BRAF alterations onlinelibrary.wiley.com/doi/10.1111/bp…

brainpathol's tweet image. Multi-pronged analysis of pediatric low-grade glioma and ganglioglioma reveals a unique tumor microenvironment associated with BRAF alterations
onlinelibrary.wiley.com/doi/10.1111/bp…

Cerebellar defects are a primary pathology in mouse models of spinal muscular atrophy onlinelibrary.wiley.com/doi/10.1111/bp…

brainpathol's tweet image. Cerebellar defects are a primary pathology in mouse models of spinal muscular atrophy
onlinelibrary.wiley.com/doi/10.1111/bp…

Integration of omics data in the diagnosis and therapy of glioblastoma onlinelibrary.wiley.com/doi/10.1111/bp… #neuropath @ulrichschueller

brainpathol's tweet image. Integration of omics data in the diagnosis and therapy of glioblastoma onlinelibrary.wiley.com/doi/10.1111/bp… #neuropath @ulrichschueller

Contribution of α-synuclein cytopathologies to distinct seeding of misfolded α-synuclein @GGKovacsBrain onlinelibrary.wiley.com/doi/10.1111/bp…

brainpathol's tweet image. Contribution of α-synuclein cytopathologies to distinct seeding of misfolded α-synuclein
@GGKovacsBrain 
onlinelibrary.wiley.com/doi/10.1111/bp…

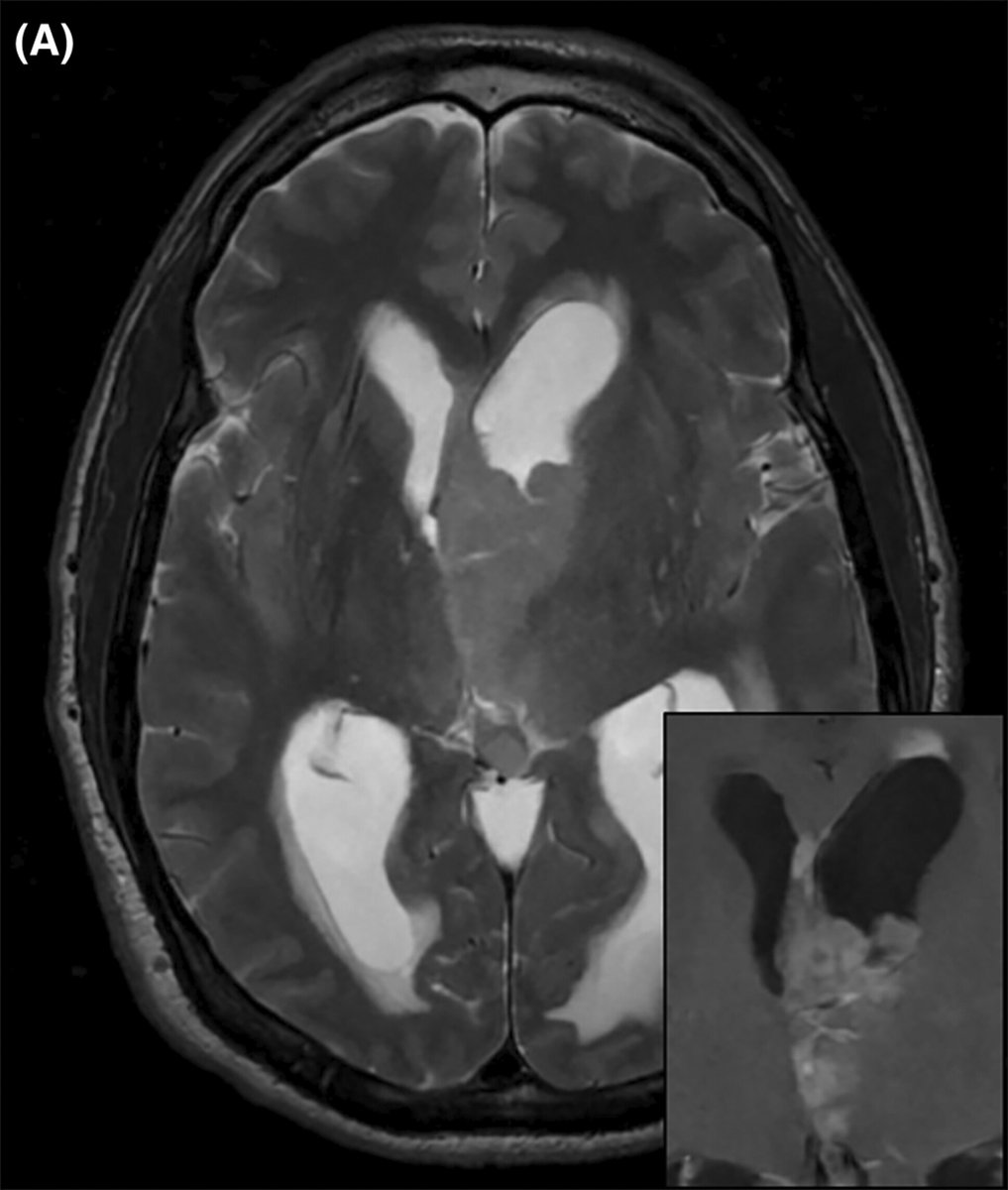
UNDER YOUR MICROSCOPE: Intraventricular mass in a 49-year-old male Whole slide image: isn-slidearchive.org/?col=ISN&fol=A… What's your diagnosis? #neuropath Full case discussion here: onlinelibrary.wiley.com/doi/10.1111/bp…

brainpathol's tweet image. UNDER YOUR MICROSCOPE: Intraventricular mass in a 49-year-old male

Whole slide image: isn-slidearchive.org/?col=ISN&fol=A…

What's your diagnosis?
#neuropath

Full case discussion here: onlinelibrary.wiley.com/doi/10.1111/bp…
brainpathol's tweet image. UNDER YOUR MICROSCOPE: Intraventricular mass in a 49-year-old male

Whole slide image: isn-slidearchive.org/?col=ISN&fol=A…

What's your diagnosis?
#neuropath

Full case discussion here: onlinelibrary.wiley.com/doi/10.1111/bp…

Human amyotrophic lateral sclerosis/motor neuron disease: The disease-associated microglial pathway is upregulated while APOE genotype governs risk and survival @JRobinHighley onlinelibrary.wiley.com/doi/10.1111/bp…

brainpathol's tweet image. Human amyotrophic lateral sclerosis/motor neuron disease: The disease-associated microglial pathway is upregulated while APOE genotype governs risk and survival
@JRobinHighley 
onlinelibrary.wiley.com/doi/10.1111/bp…

Loading...

Something went wrong.


Something went wrong.