davis_ctrl's profile picture. A biotechnology lab located at the uOttawa Heart Institute focused on the discovery & development of biological therapies for heart disease. PI Darryl R. Davis.

UOHI Cardiac Translational Research Laboratory

@davis_ctrl

A biotechnology lab located at the uOttawa Heart Institute focused on the discovery & development of biological therapies for heart disease. PI Darryl R. Davis.

Pinned

Meet the Cardiac Translational Research team, directed by PI Dr. Darryl R. Davis. We are a biotechnology lab located at the UOHI, focused on the discovery & development of biological therapies for heart disease. @HeartInstitute

davis_ctrl's tweet image. Meet the Cardiac Translational Research team, directed by PI Dr. Darryl R. Davis. We are a biotechnology lab located at the UOHI, focused on the discovery & development of biological therapies for heart disease. @HeartInstitute

UOHI Cardiac Translational Research Laboratory reposted

À lire!🔬 L'Institut de cardiologie a contribué au lancement de Rhythm Biotherapeutics Inc., une entreprise de développement préclinique qui travaille à la mise au point de thérapies biologiques innovantes pour traiter les maladies du cœur. ottawaheart.ca/fr/nouvelles/n…

ottawaheart.ca

Nouvelle initiative pour éliminer la fibrillation auriculaire postopératoire

L’Institut de cardiologie a joué un rôle déterminant dans la prévention d’une complication sérieuse après une opération à cœur ouvert en aidant à lancer Rhythm Biotherapeutics inc.


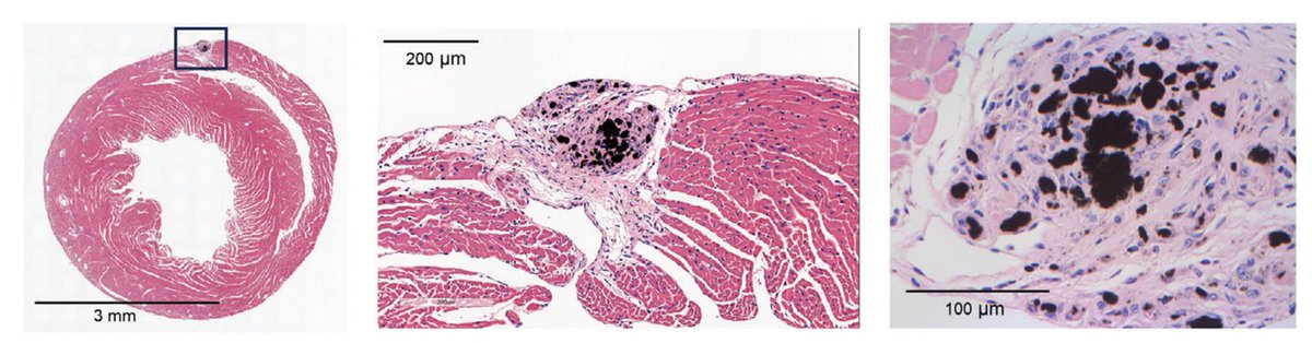
Carbon nanotubes create lesions that closely resemble sarcoid. Sixty days after injecting them into the heart, we observed typical sarcoid granuloma histiocytes co-localizing with the nanotubes (black markings). 🔗doi: 10.1002/adbi.202400238

davis_ctrl's tweet image. Carbon nanotubes create lesions that closely resemble sarcoid. Sixty days after injecting them into the heart, we observed typical sarcoid granuloma histiocytes co-localizing with the nanotubes (black markings). 🔗doi: 10.1002/adbi.202400238

Exciting news! This study addresses a critical gap in cardiac sarcoidosis research by exploring the use of stressors like carbon nanotubes and transverse aortic constriction to develop one of the world’s first animal models. 🔗doi: 10.1002/adbi.202400238

davis_ctrl's tweet image. Exciting news! This study addresses a critical gap in cardiac sarcoidosis research by exploring the use of stressors like carbon nanotubes and transverse aortic constriction to develop one of the world’s first animal models. 🔗doi: 10.1002/adbi.202400238

Interleukin-6 (IL-6) is the most abundant cytokine produced by heart explant-derived cells, but its role in cardiac repair remains uncertain. For the first time, this study shows that IL-6 has a pro-healing effect in cell therapy for post-infarct repair.🔗doi:10.7150/thno.19435

davis_ctrl's tweet image. Interleukin-6 (IL-6) is the most abundant cytokine produced by heart explant-derived cells, but its role in cardiac repair remains uncertain. For the first time, this study shows that IL-6 has a pro-healing effect in cell therapy for post-infarct repair.🔗doi:10.7150/thno.19435

Human atrial extracellular vesicles (EVs) significantly reduce scar burden in the atria, as shown by hydroxyproline and Masson’s trichrome staining, compared to placebo (Talc + veh). Discover the potential of EVs in atrial fibrosis treatment! 🔗 doi.org/10.1172/jci.in…

davis_ctrl's tweet image. Human atrial extracellular vesicles (EVs) significantly reduce scar burden in the atria, as shown by hydroxyproline and Masson’s trichrome staining, compared to placebo (Talc + veh). Discover the potential of EVs in atrial fibrosis treatment! 🔗 doi.org/10.1172/jci.in…

Exciting finding! Human extracellular vesicles (EVs) reduce the risk of atrial fibrillation (AF) in pericarditis equally in both male and female recipients. 🔗 doi.org/10.1172/jci.in…

davis_ctrl's tweet image. Exciting finding! Human extracellular vesicles (EVs) reduce the risk of atrial fibrillation (AF) in pericarditis equally in both male and female recipients. 🔗 doi.org/10.1172/jci.in…

Human extracellular vesicles effectively reduce inflammation (cytokine levels) in atrial tissue, outperforming the antiarrhythmic amiodarone, which targets electrical activity.🔗 doi.org/10.1016/j.jace…

davis_ctrl's tweet image. Human extracellular vesicles effectively reduce inflammation (cytokine levels) in atrial tissue, outperforming the antiarrhythmic amiodarone, which targets electrical activity.🔗 doi.org/10.1016/j.jace…

Human extracellular vesicles reduce the probability of going into atrial fibrillation (AF) in a rat model of pericarditis compared to treatment with a placebo (veh) or an anti-inflammatory (colchicine). 🔗doi.org/10.1016/j.jace…

davis_ctrl's tweet image. Human extracellular vesicles reduce the probability of going into atrial fibrillation (AF) in a rat model of pericarditis compared to treatment with a placebo (veh) or an anti-inflammatory (colchicine). 🔗doi.org/10.1016/j.jace…

Oxidative stress is linked to an increased risk of heart rhythm problems. We showed that injecting extracellular vesicles reduces oxidative stress in a rat pericarditis model, which may explain how they reduce the risk of adverse heart rhythms.🔗 doi: 10.7150/thno.89520

davis_ctrl's tweet image. Oxidative stress is linked to an increased risk of heart rhythm problems. We showed that injecting extracellular vesicles reduces oxidative stress in a rat pericarditis model, which may explain how they reduce the risk of adverse heart rhythms.🔗 doi: 10.7150/thno.89520

Anti-inflammatories and antiarrhythmics don’t prevent scar formation after pericardial inflammation, but a single injection of extracellular vesicles can significantly reduce scar tissue and arrhythmias.🔗doi.org/10.1016/j.jace… #AtrialFibrillation

davis_ctrl's tweet image. Anti-inflammatories and antiarrhythmics don’t prevent scar formation after pericardial inflammation, but a single injection of extracellular vesicles can significantly reduce scar tissue and arrhythmias.🔗doi.org/10.1016/j.jace… #AtrialFibrillation

Unlike pretreatment with amiodarone, a single injection of extracellular vesicles significantly reduces atrial cytokine levels and inflammation linked to postoperative arrhythmias. 🔗doi.org/10.1016/j.jace…

davis_ctrl's tweet image. Unlike pretreatment with amiodarone, a single injection of extracellular vesicles significantly reduces atrial cytokine levels and inflammation linked to postoperative arrhythmias. 🔗doi.org/10.1016/j.jace…

Exciting findings! Extracellular vesicles significantly reduce the cytokines in atrial heart tissue that cause heart rhythm problems. 🔗doi.org/10.1016/j.jace… #AtrialFibrillation

davis_ctrl's tweet image. Exciting findings! Extracellular vesicles significantly reduce the cytokines in atrial heart tissue that cause heart rhythm problems. 🔗doi.org/10.1016/j.jace…  #AtrialFibrillation

Human extracellular vesicles act like a drug and progressively reduce scar content in the atria after open-heart surgery. Dive in: 🔗 doi.org/10.7150/thno.8….

davis_ctrl's tweet image. Human extracellular vesicles act like a drug and progressively reduce scar content in the atria after open-heart surgery. Dive in: 🔗 doi.org/10.7150/thno.8….

Human extracellular vesicles (EVs) reduce the size of atrial myocytes compared treatment with placebo (veh). Dive in: 🔗 doi.org/10.7150/thno.8…. #AtrialFibrillation

davis_ctrl's tweet image. Human extracellular vesicles (EVs) reduce the size of atrial myocytes compared treatment with placebo (veh). Dive in: 🔗 doi.org/10.7150/thno.8…. #AtrialFibrillation

Ever wondered how extracellular vesicles could revolutionize AF prevention? Our study shows they reduce atrial fibrosis, and prevent arrhythmias. Discover colchicine's limited benefits and the hidden risks of amiodarone. 🔗 doi:10.1016/j.jacep.2024.02.019 #AtrialFibrillation

davis_ctrl's tweet image. Ever wondered how extracellular vesicles could revolutionize AF prevention? Our study shows they  reduce atrial fibrosis, and prevent arrhythmias. Discover colchicine's limited benefits and the hidden risks of amiodarone. 🔗 doi:10.1016/j.jacep.2024.02.019 #AtrialFibrillation

Pericarditis increases atrial scar tissue. While anti-inflammatories offer modest reduction and antiarrhythmics have no effect on fibrosis, a single EV injection eliminates fibrosis and atrial fibrillation! doi:10.1016/j.jacep.2024.02.019 #AtrialFibrillation

davis_ctrl's tweet image. Pericarditis increases atrial scar tissue. While anti-inflammatories offer modest reduction and antiarrhythmics have no effect on fibrosis, a single EV injection eliminates fibrosis and atrial fibrillation! doi:10.1016/j.jacep.2024.02.019 #AtrialFibrillation

Promising results: Treatment with extracellular vesicles prevents the adverse effects of pericarditis on connexin 43, improving atrial conduction and preventing atrial fibrillation. 🔗 doi:10.7150/thno.89520 #HeartResearch #ExtracellularVesicles #AtrialFibrillation

davis_ctrl's tweet image. Promising results: Treatment with extracellular vesicles prevents the adverse effects of pericarditis on connexin 43, improving atrial conduction and preventing atrial fibrillation. 🔗 doi:10.7150/thno.89520 #HeartResearch #ExtracellularVesicles #AtrialFibrillation

Exciting news! 🌟 Injection of human extracellular vesicles acts like a drug to dose-dependently reduce the inflammatory cytokines that cause pericarditis. 🔗 doi:10.7150/thno.89520 #MedicalResearch #Cardiology #Inflammation #Pericarditis #InnovativeTherapy #AtrialFibrillation

davis_ctrl's tweet image. Exciting news! 🌟 Injection of human extracellular vesicles acts like a drug to dose-dependently reduce the inflammatory cytokines that cause pericarditis. 🔗 doi:10.7150/thno.89520 #MedicalResearch #Cardiology #Inflammation #Pericarditis #InnovativeTherapy #AtrialFibrillation

Exciting findings! 🌟 Although the anti-inflammatory colchicine partially reduces cytokines linked to atrial fibrillation, only extracellular vesicles decrease all implicated cytokines. 🔗 doi:10.1016/j.jacep.2024.02.019 #Cardiology #ExtracellularVesicles #AtrialFibrillation

davis_ctrl's tweet image. Exciting findings! 🌟 Although the anti-inflammatory colchicine partially reduces cytokines linked to atrial fibrillation, only extracellular vesicles decrease all implicated cytokines. 🔗 doi:10.1016/j.jacep.2024.02.019 #Cardiology #ExtracellularVesicles #AtrialFibrillation

Loading...

Something went wrong.


Something went wrong.