gitaharsh's profile picture. Histopathologist ,speciality Onco ,at Nanavati Max . Happiness is family and the small things,interested in Indian history and temple architecture,art.

Dr Gita Verma ,MD

@gitaharsh

Histopathologist ,speciality Onco ,at Nanavati Max . Happiness is family and the small things,interested in Indian history and temple architecture,art.

Dr Gita Verma ,MD memposting ulang

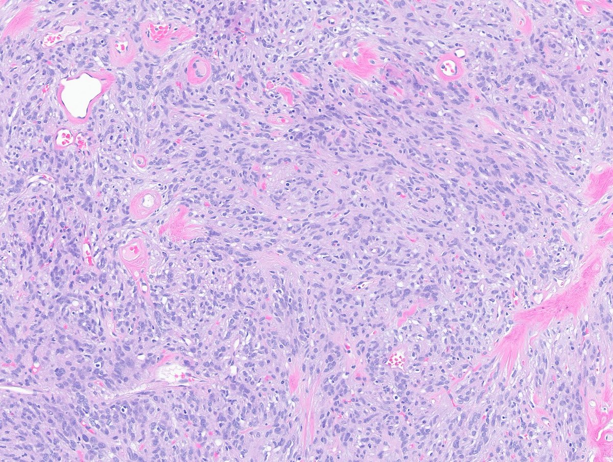
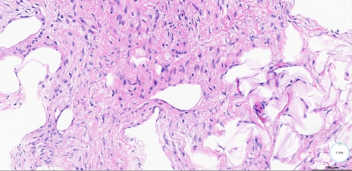
Landslide! 🙌 The breast sample shows bland storiform spindle cell neoplasm in dense fibrous stroma, studded with dilated ‘staghorn’ vasculature—findings of solitary fibrous tumor (SFT). SFT harbor NAB2::STAT6, caused by inversion of chr12. #PathX #PathTwitter #breastpath

What translocation is found in this tumor? 🧬🔬 Poll in comments below 👇 Answer revealed on Monday 🔮 #PathX #PathTwitter #breastpath #molpath

RazaHoda's tweet image. What translocation is found in this tumor? 🧬🔬

Poll in comments below 👇

Answer revealed on Monday 🔮

#PathX #PathTwitter #breastpath #molpath


Dr Gita Verma ,MD memposting ulang

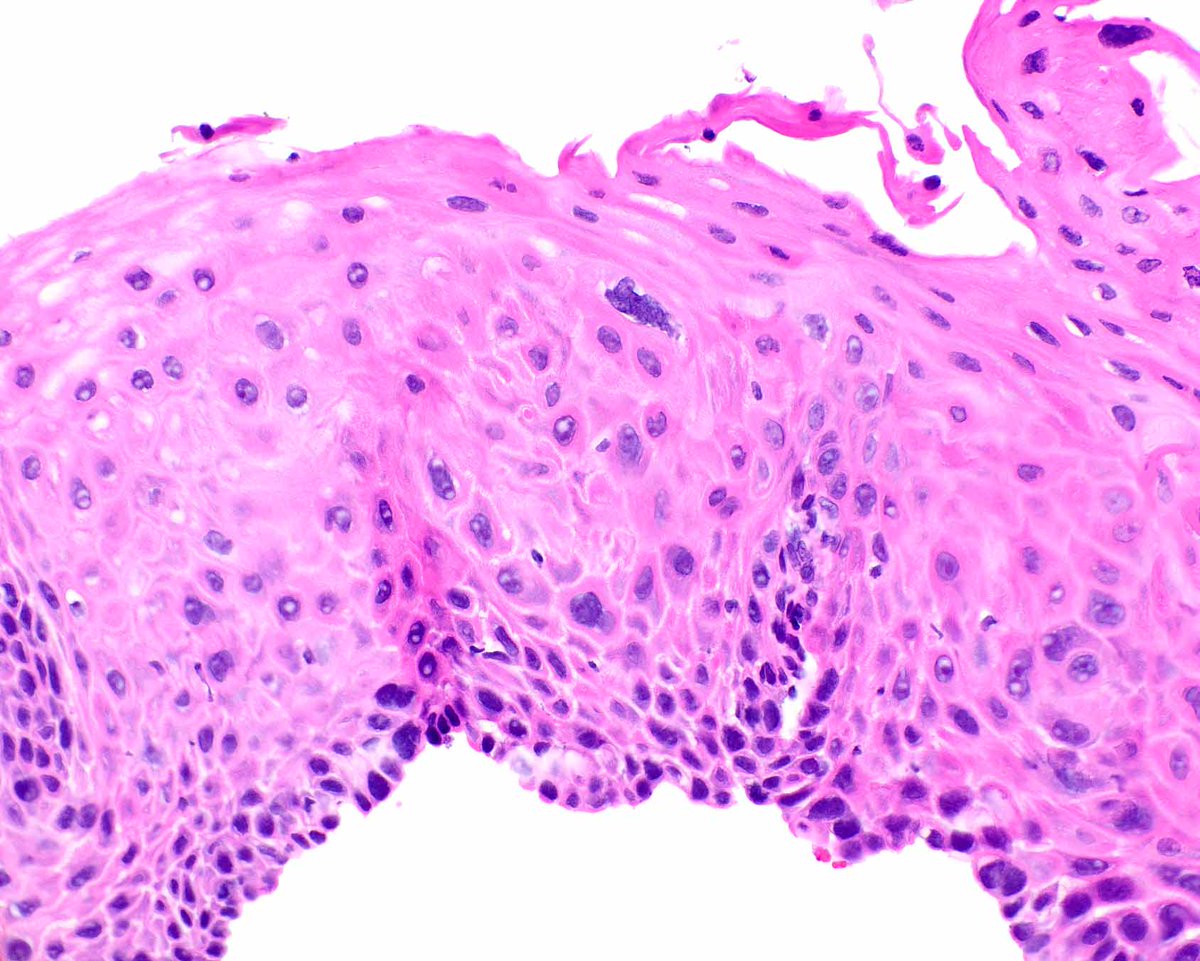
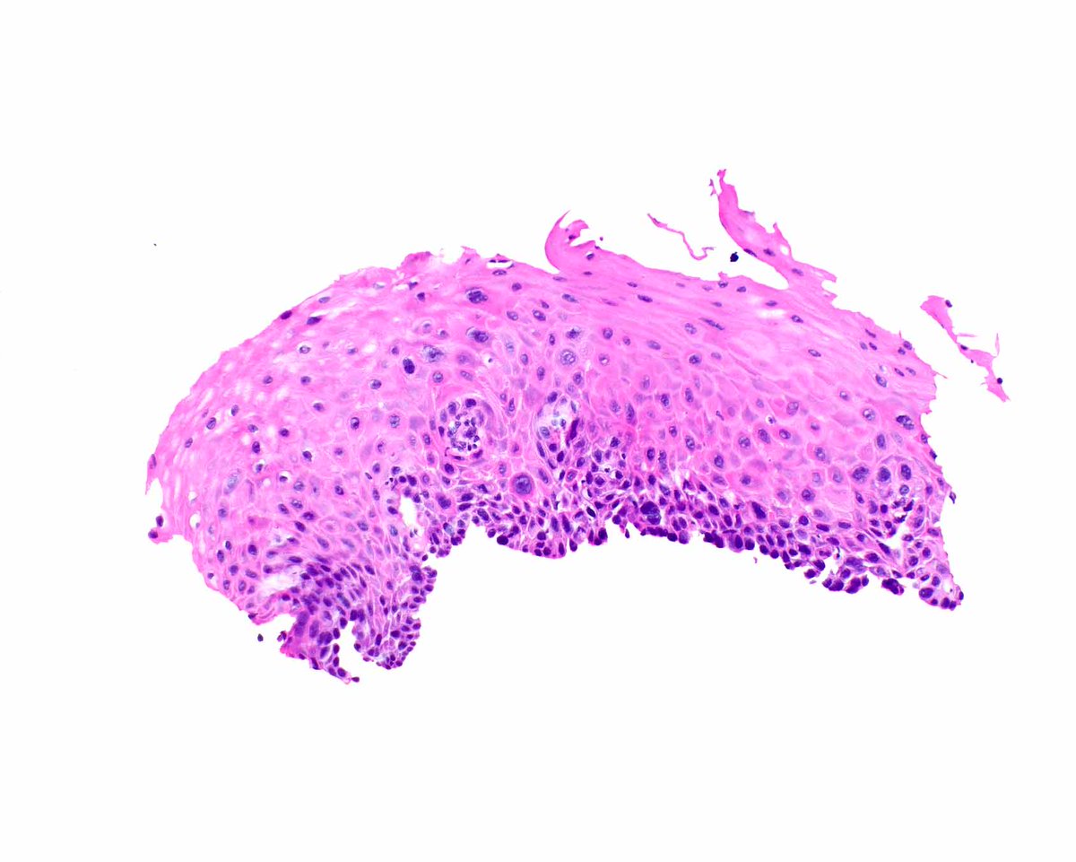
p53 IHC can help confirm a diagnosis of esophageal squamous dysplasia. In occasional HPV-associated cases, p16 staining is strongly reactive. This example is probably driven by a TP53 mutation. Don't expect the full thickness staining typical of glandular dysplasia.

LizMontgomeryMD's tweet image. p53 IHC can help confirm a diagnosis of esophageal squamous dysplasia.  In occasional HPV-associated cases, p16 staining is strongly reactive. This example is probably driven by a TP53 mutation.   Don't expect the full thickness staining typical of glandular dysplasia.
LizMontgomeryMD's tweet image. p53 IHC can help confirm a diagnosis of esophageal squamous dysplasia.  In occasional HPV-associated cases, p16 staining is strongly reactive. This example is probably driven by a TP53 mutation.   Don't expect the full thickness staining typical of glandular dysplasia.
LizMontgomeryMD's tweet image. p53 IHC can help confirm a diagnosis of esophageal squamous dysplasia.  In occasional HPV-associated cases, p16 staining is strongly reactive. This example is probably driven by a TP53 mutation.   Don't expect the full thickness staining typical of glandular dysplasia.
LizMontgomeryMD's tweet image. p53 IHC can help confirm a diagnosis of esophageal squamous dysplasia.  In occasional HPV-associated cases, p16 staining is strongly reactive. This example is probably driven by a TP53 mutation.   Don't expect the full thickness staining typical of glandular dysplasia.

Dr Gita Verma ,MD memposting ulang

IHC panel for basaloid tumors in salivary gland biopsies Dr. Nishino - 2025 Diagnostic Pathologic Update #USCAP #pathology #PathX

Janiranavarro's tweet image. IHC panel for basaloid tumors in salivary gland biopsies

Dr. Nishino - 2025 Diagnostic Pathologic Update #USCAP #pathology #PathX

Dr Gita Verma ,MD memposting ulang
surgpathcases's tweet image. Elbow, 20y

#pathology #patologia #pathoutpic #bstpath #dermpath
surgpathcases's tweet image. Elbow, 20y

#pathology #patologia #pathoutpic #bstpath #dermpath
surgpathcases's tweet image. Elbow, 20y

#pathology #patologia #pathoutpic #bstpath #dermpath
surgpathcases's tweet image. Elbow, 20y

#pathology #patologia #pathoutpic #bstpath #dermpath

Dr Gita Verma ,MD memposting ulang

Not everything is what it seems. Middle-aged patient. Consult case. Minimal clinical data. Ileal resection for obstruction → tumor found. Let’s follow the diagnostic trail. Short thread, do the polls in order (and no sneak peek...)

DrJuhlin's tweet image. Not everything is what it seems.

Middle-aged patient. Consult case. Minimal clinical data. Ileal resection for obstruction → tumor found.
Let’s follow the diagnostic trail. Short thread, do the polls in order (and no sneak peek...)

Dr Gita Verma ,MD memposting ulang

#Prostate needle core biopsy. Diagnosis??? 🔬Intraductal carcinoma (IDC-P) 🔬Atypical intraductal prolif (AIP) 🔬Cribriform invasive carcinoma Answer in comment. #GrayZonePath 40 #GUPath

GladellPaner's tweet image. #Prostate needle core biopsy. 
Diagnosis???
🔬Intraductal carcinoma (IDC-P)
🔬Atypical intraductal prolif (AIP)
🔬Cribriform invasive carcinoma 

Answer in comment.
#GrayZonePath 40 #GUPath
GladellPaner's tweet image. #Prostate needle core biopsy. 
Diagnosis???
🔬Intraductal carcinoma (IDC-P)
🔬Atypical intraductal prolif (AIP)
🔬Cribriform invasive carcinoma 

Answer in comment.
#GrayZonePath 40 #GUPath

Dr Gita Verma ,MD memposting ulang

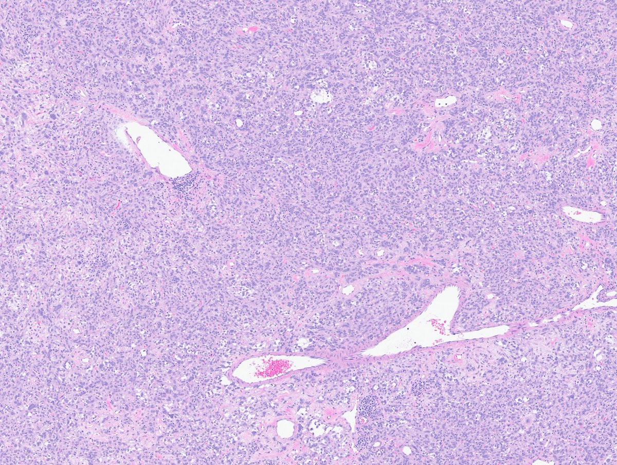
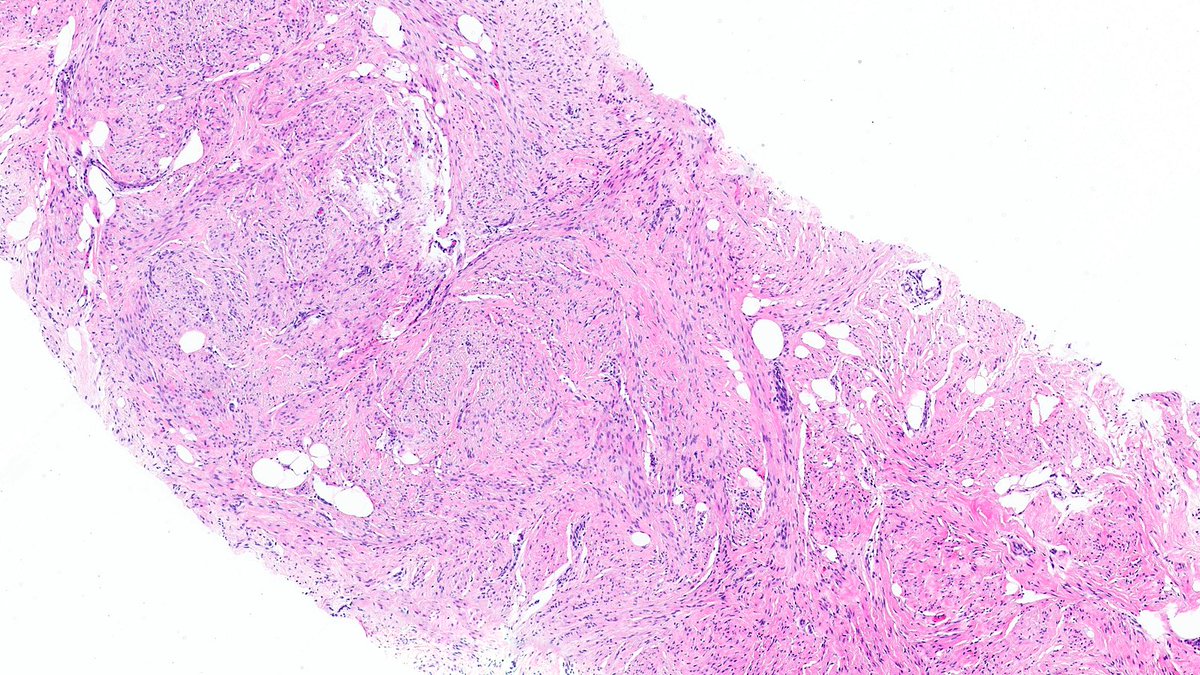
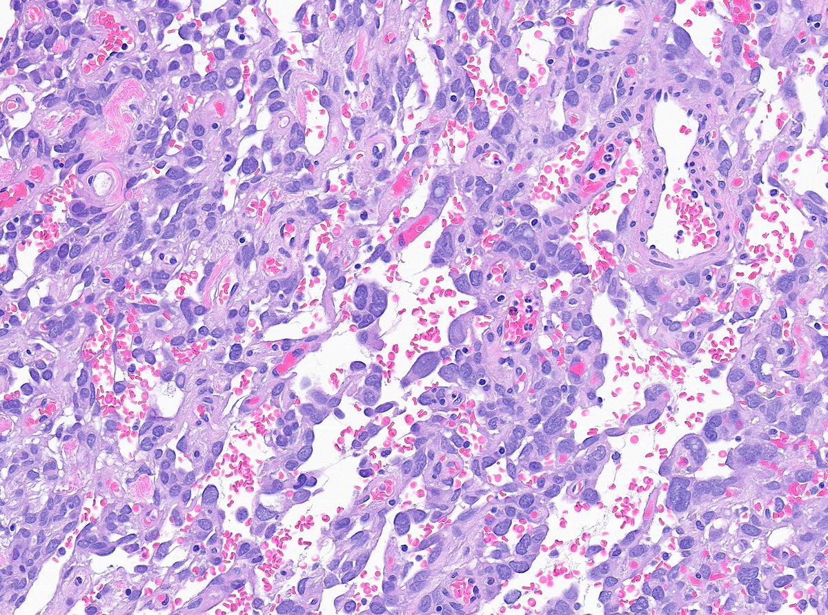
A very vascular tumor indeed - however the neoplastic cells are not endothelial. Here's a better look at another part of the same tumor:

Greg_Charville's tweet image. A very vascular tumor indeed - however the neoplastic cells are not endothelial. Here's a better look at another part of the same tumor:
Greg_Charville's tweet image. A very vascular tumor indeed - however the neoplastic cells are not endothelial. Here's a better look at another part of the same tumor:
Greg_Charville's tweet image. A very vascular tumor indeed - however the neoplastic cells are not endothelial. Here's a better look at another part of the same tumor:

What do you make of this tumor of the small bowel mesentery?🧐 #BSTpath #GIpath

Greg_Charville's tweet image. What do you make of this tumor of the small bowel mesentery?🧐 #BSTpath #GIpath


Dr Gita Verma ,MD memposting ulang

Blood screens for medical pathology 💡

drkeithsiau's tweet image. Blood screens for medical pathology 💡

Dr Gita Verma ,MD memposting ulang

#DrBuiBSTCaseCollection 🌻Fat-rich Desmoid Fibromatosis. This case is CTNNB1-mutated, CD34 IHC-negative. A rare finding in a relatively common soft tissue tumor. Not a spindle cell lipoma. @PathX @Pathtwitter@USFpathology⁩ ⁦@MoffittNews⁩ ⁦@CAPA_comm

DrBuiPathology's tweet image. #DrBuiBSTCaseCollection 🌻Fat-rich Desmoid Fibromatosis. This case is CTNNB1-mutated, CD34 IHC-negative. A rare finding in a relatively common soft tissue tumor. Not a spindle cell lipoma. @PathX @Pathtwitter ⁦@USFpathology⁩ ⁦@MoffittNews⁩ ⁦@CAPA_comm⁩
DrBuiPathology's tweet image. #DrBuiBSTCaseCollection 🌻Fat-rich Desmoid Fibromatosis. This case is CTNNB1-mutated, CD34 IHC-negative. A rare finding in a relatively common soft tissue tumor. Not a spindle cell lipoma. @PathX @Pathtwitter ⁦@USFpathology⁩ ⁦@MoffittNews⁩ ⁦@CAPA_comm⁩

Dr Gita Verma ,MD memposting ulang

One of our brilliant residents showed me this case. Supraclavicular lymph node. No other clinical information at the moment. Micropapillary to papillary structures, some mitoses, some mucin production. (Short thread follows):

DrJuhlin's tweet image. One of our brilliant residents showed me this case. Supraclavicular lymph node. No other clinical information at the moment.

Micropapillary to papillary structures, some mitoses, some mucin production.

(Short thread follows):

Dr Gita Verma ,MD memposting ulang

Breast Histologic Variants of Invasive Lobular Carcinoma (ILC) -Many of these variants coexists and could be difficult to separate one from the other New variants (WHO 6th edition) -ILC with extracellular mucin -ILC with solid papillary growth Dr. Sahin #USCAP25 #pathology

Janiranavarro's tweet image. Breast
Histologic Variants of Invasive Lobular Carcinoma (ILC)
-Many of these variants coexists and could be difficult to separate one from the other
New variants (WHO 6th edition)
-ILC with extracellular mucin
-ILC with solid papillary growth

Dr. Sahin #USCAP25 #pathology…
Janiranavarro's tweet image. Breast
Histologic Variants of Invasive Lobular Carcinoma (ILC)
-Many of these variants coexists and could be difficult to separate one from the other
New variants (WHO 6th edition)
-ILC with extracellular mucin
-ILC with solid papillary growth

Dr. Sahin #USCAP25 #pathology…

Dr Gita Verma ,MD memposting ulang

Case of Ductal Carcinoma In-Situ (DCIS) 🍪🔬 ☑️ Neoplastic epithelial proliferation confined to ducts and lobules ☑️ May show variety of architectural patterns, like solid and cribriform 👇 ☑️ Graded by nuclear atypia #PathX #PathTwitter #breastpath

RazaHoda's tweet image. Case of Ductal Carcinoma In-Situ (DCIS) 🍪🔬

☑️ Neoplastic epithelial proliferation confined to ducts and lobules
☑️ May show variety of architectural patterns, like solid and cribriform 👇
☑️ Graded by nuclear atypia

#PathX #PathTwitter #breastpath

Dr Gita Verma ,MD memposting ulang

Awesome job! The answer was myofibroblastoma. ☑️ Bland spindle cells in collagenous stroma ☑️ Devoid of breast glands ☑️ Associated with monoallelic 13q14 loss IHC provided 👇. #PathX #PathTwitter #breastpath

RazaHoda's tweet image. Awesome job!

The answer was myofibroblastoma.

☑️ Bland spindle cells in collagenous stroma
☑️ Devoid of breast glands
☑️ Associated with monoallelic 13q14 loss

IHC provided 👇.

#PathX #PathTwitter #breastpath

What’s this spindle cell lesion of the breast? Poll in comments 👇 Answer revealed on Monday 🔮 #PathX #PathTwitter #breastpath

RazaHoda's tweet image. What’s this spindle cell lesion of the breast?

Poll in comments 👇

Answer revealed on Monday 🔮

#PathX #PathTwitter #breastpath


Dr Gita Verma ,MD memposting ulang

Histology of the lung explained by a pulmonary pathologist, part 1 youtu.be/Zm6lzuozJUc?si… via @YouTube

smlungpathguy's tweet card. Histology of the lung explained by a pulmonary pathologist, part 1

youtube.com

YouTube

Histology of the lung explained by a pulmonary pathologist, part 1


Dr Gita Verma ,MD memposting ulang

An open access guide to renal medullary carcinoma: journals.sagepub.com/doi/epub/10.32…

Shounak_Gupta's tweet image. An open access guide to renal medullary carcinoma:

journals.sagepub.com/doi/epub/10.32…

Dr Gita Verma ,MD memposting ulang

Histopathological featurs of CHRONICITY in colon biopsy #GIpath #PathX #Pathology

DrKamleshDarji1's tweet image. Histopathological featurs of CHRONICITY in colon biopsy #GIpath #PathX #Pathology

Dr Gita Verma ,MD memposting ulang

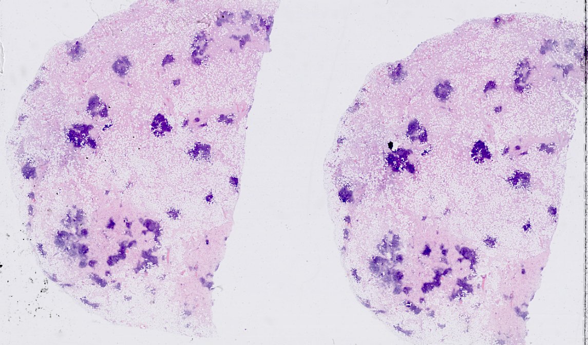
CC380. Two recent FNAs of large lymph nodes. Both are women with no relevant history A. Left, supraclavicular B. Right, axillary One is a lymphoma. Answer the test below. This nice paper by Elena Vigliar may be of help doi.org/10.1111/cyt.13… @DrBMcGinn

pepeheffernan's tweet image. CC380. Two recent FNAs of large lymph nodes. Both are women with no relevant history
A. Left, supraclavicular
B. Right, axillary
One is a lymphoma. Answer the test below. This nice paper by Elena Vigliar may be of help  doi.org/10.1111/cyt.13… @DrBMcGinn

Dr Gita Verma ,MD memposting ulang

Adult male. Retroperitoneal mass. #PathX #PathTwitter #BSTPath

SumantaDas_7's tweet image. Adult male. Retroperitoneal mass. 
#PathX #PathTwitter #BSTPath
SumantaDas_7's tweet image. Adult male. Retroperitoneal mass. 
#PathX #PathTwitter #BSTPath
SumantaDas_7's tweet image. Adult male. Retroperitoneal mass. 
#PathX #PathTwitter #BSTPath
SumantaDas_7's tweet image. Adult male. Retroperitoneal mass. 
#PathX #PathTwitter #BSTPath

Dr Gita Verma ,MD memposting ulang

Thyroid neoplasms - Helpful IHC table Dr. Nishino - 2025 Diagnostic Pathology Update #USCAP #pathology #PathX

Janiranavarro's tweet image. Thyroid neoplasms - Helpful IHC table

Dr. Nishino - 2025 Diagnostic Pathology Update #USCAP #pathology #PathX

Dr Gita Verma ,MD memposting ulang

Prostate cancer: Gleason grading (Basic facts for residents)

AbhijitSurgPath's tweet image. Prostate cancer: Gleason grading 
(Basic facts for residents)

Loading...

Something went wrong.


Something went wrong.