#pathx search results

What is this breast lesion? 🔬 Poll in comments 👇 Answer revealed on Monday 🔮 #PathX #PathTwitter #breastpath #PathQuiz

RazaHoda's tweet image. What is this breast lesion? 🔬

Poll in comments 👇

Answer revealed on Monday 🔮

#PathX #PathTwitter #breastpath #PathQuiz

61F never smoker, large axillary mass with widespread Mets including multiple brain Mets. CD10 strongly positive (shown). Mutations in p53, RB1, and TERT. DDx? Stain suggestions? #pathx #pathtwitter #cnspath #neuropath #neuropathology

PeterKobalka's tweet image. 61F never smoker, large axillary mass with widespread Mets including multiple brain Mets.   CD10 strongly positive (shown). Mutations in p53, RB1, and TERT.  DDx?  Stain suggestions?  #pathx #pathtwitter #cnspath #neuropath #neuropathology
PeterKobalka's tweet image. 61F never smoker, large axillary mass with widespread Mets including multiple brain Mets.   CD10 strongly positive (shown). Mutations in p53, RB1, and TERT.  DDx?  Stain suggestions?  #pathx #pathtwitter #cnspath #neuropath #neuropathology
PeterKobalka's tweet image. 61F never smoker, large axillary mass with widespread Mets including multiple brain Mets.   CD10 strongly positive (shown). Mutations in p53, RB1, and TERT.  DDx?  Stain suggestions?  #pathx #pathtwitter #cnspath #neuropath #neuropathology
PeterKobalka's tweet image. 61F never smoker, large axillary mass with widespread Mets including multiple brain Mets.   CD10 strongly positive (shown). Mutations in p53, RB1, and TERT.  DDx?  Stain suggestions?  #pathx #pathtwitter #cnspath #neuropath #neuropathology

#Dermpath time! (All the time💕) I saw these beauties today!! ✨When #plasma cells show off their tiny immunoglobulin “bubble wrap” collection.✨ Do you know what they’re called 😉? #pathX #derm #pathtwitter #pathology

TheBatoolMD's tweet image. #Dermpath time! (All the time💕)

I saw these beauties today!! 

✨When #plasma cells show off their tiny immunoglobulin “bubble wrap” collection.✨

Do you know what they’re called 😉?

#pathX
#derm
#pathtwitter
#pathology

Pitfall ⚠️ Peripheral Nerve Sheath Tumors Schwannomas can show CD34 positivity, especially in Antoni B regions. This staining pattern may lead to overdiagnosis of hybrid nerve sheath tumors. Dr. Dehner #USCAP2026 #pathology #PathX #PathTwitter

Janiranavarro's tweet image. Pitfall ⚠️ Peripheral Nerve Sheath Tumors

Schwannomas can show CD34 positivity, especially in Antoni B regions. 

This staining pattern may lead to overdiagnosis of hybrid nerve sheath tumors.

Dr. Dehner #USCAP2026 #pathology #PathX #PathTwitter
Janiranavarro's tweet image. Pitfall ⚠️ Peripheral Nerve Sheath Tumors

Schwannomas can show CD34 positivity, especially in Antoni B regions. 

This staining pattern may lead to overdiagnosis of hybrid nerve sheath tumors.

Dr. Dehner #USCAP2026 #pathology #PathX #PathTwitter
Janiranavarro's tweet image. Pitfall ⚠️ Peripheral Nerve Sheath Tumors

Schwannomas can show CD34 positivity, especially in Antoni B regions. 

This staining pattern may lead to overdiagnosis of hybrid nerve sheath tumors.

Dr. Dehner #USCAP2026 #pathology #PathX #PathTwitter

🔥 "Six-Color Multiplex Digital PCR Assays for Comprehensive Screening and Identification of Multiple Driver Mutations Associated with Pancreatic Carcinogenesis" by Chiho Maeda & others #LabMedX #PathX #MedX 👇 buff.ly/LKNHBdr


*Medical liver disease* Acute hepatitis: Lobular inflammation Chronic hepatitis: Portal inflammation Sinusoidal hepatitis: Lymphocytic infiltrate in sinusoids with no lobular disaray Dr. Hart #USCAP2026 #pathology #PathX #Pathtwitter

Janiranavarro's tweet image. *Medical liver disease*

Acute hepatitis: Lobular inflammation
Chronic hepatitis: Portal inflammation
Sinusoidal hepatitis: Lymphocytic infiltrate in sinusoids with no lobular disaray

Dr. Hart #USCAP2026 #pathology #PathX #Pathtwitter
Janiranavarro's tweet image. *Medical liver disease*

Acute hepatitis: Lobular inflammation
Chronic hepatitis: Portal inflammation
Sinusoidal hepatitis: Lymphocytic infiltrate in sinusoids with no lobular disaray

Dr. Hart #USCAP2026 #pathology #PathX #Pathtwitter
Janiranavarro's tweet image. *Medical liver disease*

Acute hepatitis: Lobular inflammation
Chronic hepatitis: Portal inflammation
Sinusoidal hepatitis: Lymphocytic infiltrate in sinusoids with no lobular disaray

Dr. Hart #USCAP2026 #pathology #PathX #Pathtwitter
Janiranavarro's tweet image. *Medical liver disease*

Acute hepatitis: Lobular inflammation
Chronic hepatitis: Portal inflammation
Sinusoidal hepatitis: Lymphocytic infiltrate in sinusoids with no lobular disaray

Dr. Hart #USCAP2026 #pathology #PathX #Pathtwitter

Excellent work! ✨ ✅ Langerhans Cell Histiocytosis Proliferation of Langerhans cells (tissue-resident macrophages of skin 🦛), along with lymphocytes and eosinophils, with an activating mutation in BRAF (👇). #PathX #PathTwitter #breastpath

RazaHoda's tweet image. Excellent work! ✨

✅ Langerhans Cell Histiocytosis

Proliferation of Langerhans cells (tissue-resident macrophages of skin 🦛), along with lymphocytes and eosinophils, with an activating mutation in BRAF (👇).

#PathX #PathTwitter #breastpath

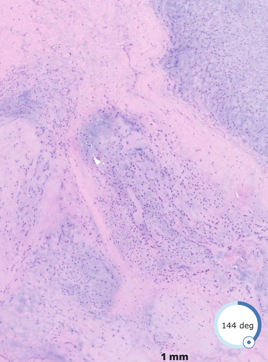
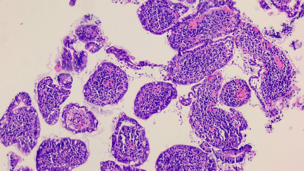
What’s the diagnosis of this breast lesion? 🔬 Poll in comments 👇 Answer revealed on Monday 🔮 #PathX #PathTwitter #breastpath

RazaHoda's tweet image. What’s the diagnosis of this breast lesion? 🔬

Poll in comments 👇

Answer revealed on Monday 🔮

#PathX #PathTwitter #breastpath


22 Y/M with bouts of loose stools + vomiting; labelled as “anxiety disorder” and sent on his way. Slide said, “look closer.” 👀 Turns out… not every case is in your head, some just know how to “stick around” without being seen. Ileal biopsy done; diagnosis❓ #GIPath #PathX

shalinirkr21's tweet image. 22 Y/M with bouts of loose stools + vomiting; labelled as “anxiety disorder” and sent on his way.
Slide said, “look closer.” 👀

Turns out… not every case is in your head, some just know how to “stick around” without being seen.

Ileal biopsy done; diagnosis❓

#GIPath #PathX
shalinirkr21's tweet image. 22 Y/M with bouts of loose stools + vomiting; labelled as “anxiety disorder” and sent on his way.
Slide said, “look closer.” 👀

Turns out… not every case is in your head, some just know how to “stick around” without being seen.

Ileal biopsy done; diagnosis❓

#GIPath #PathX

✨ I’m incredibly happy to share that I matched into Pathology Residency Program at George Washington University! 🔬 Looking forward to starting my pathology journey in the U.S. and thankful to my mentors and everyone who supported me every step of the way. #Match2026 #PathX

sumeyra_md's tweet image. ✨ I’m incredibly happy to share that I matched into Pathology Residency Program at George Washington University!
🔬 Looking forward to starting my pathology journey in the U.S. and thankful to my mentors and everyone who supported me every step of the way.
#Match2026 #PathX

Case of Atypical Vascular Lesion 🩸🔬 A superficial radiation-associated vascular proliferation of irregular channels with mild cytologic atypia—lacking the infiltrative growth, multilayering, and cMYC amplification (👇) seen in angiosarcoma. #PathX #PathTwitter #breastpath

RazaHoda's tweet image. Case of Atypical Vascular Lesion 🩸🔬

A superficial radiation-associated vascular proliferation of irregular channels with mild cytologic atypia—lacking the infiltrative growth, multilayering, and cMYC amplification (👇) seen in angiosarcoma.

#PathX #PathTwitter #breastpath

Mediastinal mass. What is your diagnosis? 🔎 Poll below 🗳️👇 #PathPuzzle 🕵️‍♂️ @UMichPath #Pathology #PathX #PathTwitter

ZemplenPataki's tweet image. Mediastinal mass. What is your diagnosis? 🔎

Poll below 🗳️👇

#PathPuzzle 🕵️‍♂️
@UMichPath #Pathology #PathX #PathTwitter

Histiocytic proliferations are often difficult to classify, with much overlap between categories. In this report, CD71 immunostaining was a sensitive marker for Rosai-Dorfman disease, assisting its distinction from other histiocytoses. doi.org/10.1111/his.70… #PathX #PathTwitter


#DrBuiBSTCaseCollection Ossifying fibromyxoid tumors (OFMTs)🌼Most common recurrent gene fusion is PHF1🌻PHF1::TFE3 fusions are linked to malignancy.🔬⁦High nuclear grade, high cellularity and > 2 mitoses/50 HPFs = malignant. #PathTwitter#PathX@USFpathology⁩ ⁦

DrBuiPathology's tweet image. #DrBuiBSTCaseCollection Ossifying fibromyxoid tumors (OFMTs)🌼Most common recurrent gene fusion is PHF1🌻PHF1::TFE3 fusions are linked to malignancy.🔬⁦High nuclear grade, high cellularity and > 2 mitoses/50 HPFs = malignant. #PathTwitter ⁦#PathX ⁦@USFpathology⁩ ⁦
DrBuiPathology's tweet image. #DrBuiBSTCaseCollection Ossifying fibromyxoid tumors (OFMTs)🌼Most common recurrent gene fusion is PHF1🌻PHF1::TFE3 fusions are linked to malignancy.🔬⁦High nuclear grade, high cellularity and > 2 mitoses/50 HPFs = malignant. #PathTwitter ⁦#PathX ⁦@USFpathology⁩ ⁦
DrBuiPathology's tweet image. #DrBuiBSTCaseCollection Ossifying fibromyxoid tumors (OFMTs)🌼Most common recurrent gene fusion is PHF1🌻PHF1::TFE3 fusions are linked to malignancy.🔬⁦High nuclear grade, high cellularity and > 2 mitoses/50 HPFs = malignant. #PathTwitter ⁦#PathX ⁦@USFpathology⁩ ⁦
DrBuiPathology's tweet image. #DrBuiBSTCaseCollection Ossifying fibromyxoid tumors (OFMTs)🌼Most common recurrent gene fusion is PHF1🌻PHF1::TFE3 fusions are linked to malignancy.🔬⁦High nuclear grade, high cellularity and > 2 mitoses/50 HPFs = malignant. #PathTwitter ⁦#PathX ⁦@USFpathology⁩ ⁦

Nasal mass in young male #ENTPath #PathX What is your differential diagnosis? Which stain(s) are confirmatory? @Pathoutlines @UMichPath

MeredithKHerman's tweet image. Nasal mass in young male #ENTPath #PathX

What is your differential diagnosis?
Which stain(s) are confirmatory?

@Pathoutlines @UMichPath
MeredithKHerman's tweet image. Nasal mass in young male #ENTPath #PathX

What is your differential diagnosis?
Which stain(s) are confirmatory?

@Pathoutlines @UMichPath
MeredithKHerman's tweet image. Nasal mass in young male #ENTPath #PathX

What is your differential diagnosis?
Which stain(s) are confirmatory?

@Pathoutlines @UMichPath

Focal nodular hyperplasia Clinical snapshot - Group 1: 80% of cases, most patients are women - Group 2: Teens/young adults with histories of other malignancies - Group 3: Livers with chronic vascular disease Dr. Torbenson #USCAP2026 #PathX #pathology #PathTwitter

Janiranavarro's tweet image. Focal nodular hyperplasia
Clinical snapshot

- Group 1: 80% of cases, most patients are women
- Group 2: Teens/young adults with histories of other malignancies
- Group 3: Livers with chronic vascular disease

Dr. Torbenson #USCAP2026 #PathX #pathology #PathTwitter
Janiranavarro's tweet image. Focal nodular hyperplasia
Clinical snapshot

- Group 1: 80% of cases, most patients are women
- Group 2: Teens/young adults with histories of other malignancies
- Group 3: Livers with chronic vascular disease

Dr. Torbenson #USCAP2026 #PathX #pathology #PathTwitter
Janiranavarro's tweet image. Focal nodular hyperplasia
Clinical snapshot

- Group 1: 80% of cases, most patients are women
- Group 2: Teens/young adults with histories of other malignancies
- Group 3: Livers with chronic vascular disease

Dr. Torbenson #USCAP2026 #PathX #pathology #PathTwitter

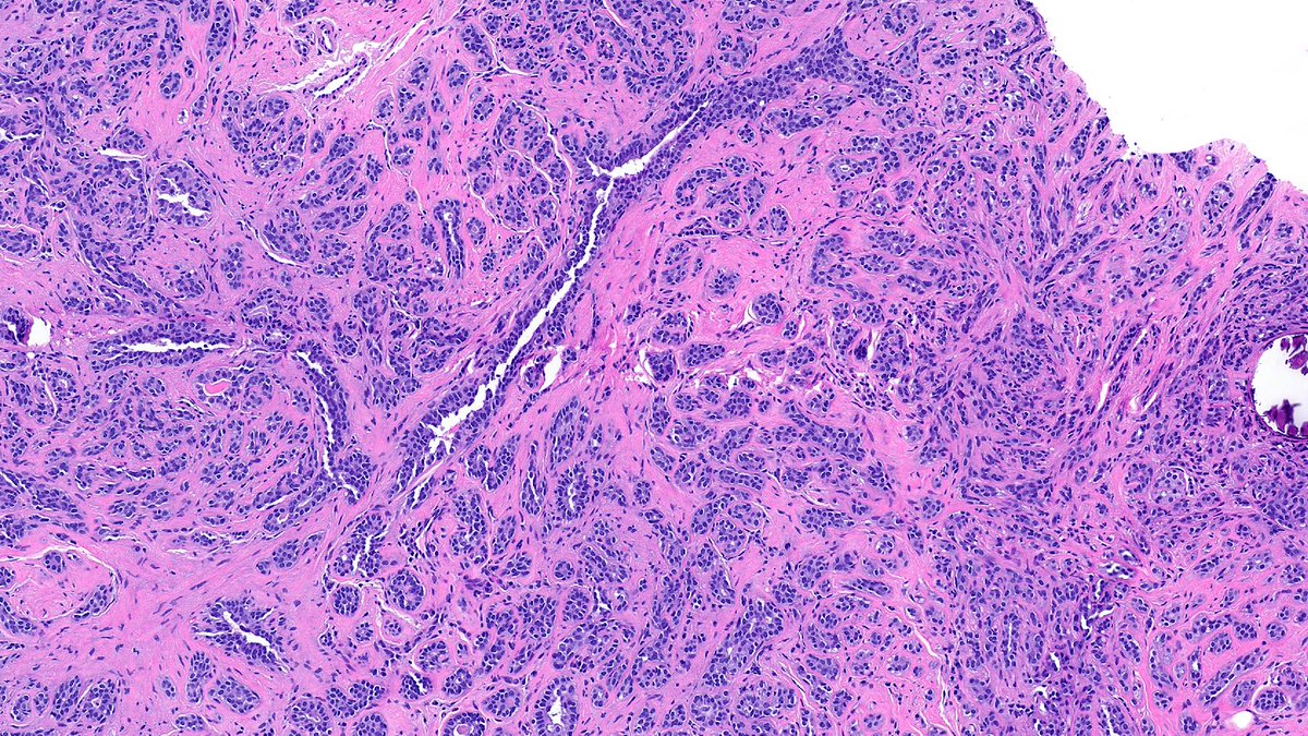
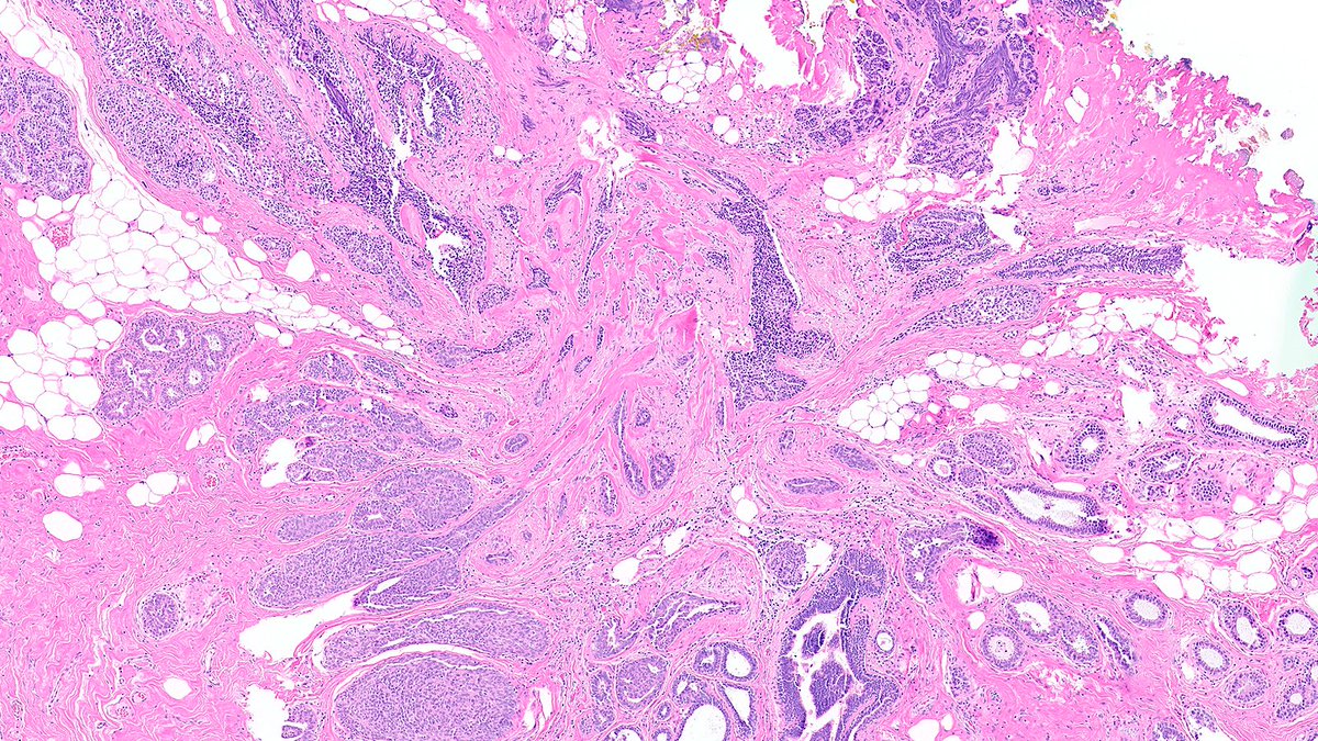
What’s this vascular lesion of the breast? 🩸🔬 Poll in comments 👇 Answer revealed on Monday 🔮 #PathX #PathTwitter #breastpath #PathQuiz

RazaHoda's tweet image. What’s this vascular lesion of the breast? 🩸🔬

Poll in comments 👇

Answer revealed on Monday 🔮

#PathX #PathTwitter #breastpath #PathQuiz

#DrBuiBSTCaseCollection 🌻Keloidal—type Collagen in Desmoid Fibromatosis. A rare finding in a relatively common disease, demonstrated with β-catenin staining.⁦@MoffittNews⁩ ⁦@USFpathology⁩ ⁦@CAPA_comm#sarcoma #PathX #Pathtwitter

DrBuiPathology's tweet image. #DrBuiBSTCaseCollection 🌻Keloidal—type Collagen in Desmoid Fibromatosis. A rare finding in a relatively common disease, demonstrated with β-catenin staining.⁦@MoffittNews⁩ ⁦@USFpathology⁩ ⁦@CAPA_comm⁩ #sarcoma #PathX #Pathtwitter
DrBuiPathology's tweet image. #DrBuiBSTCaseCollection 🌻Keloidal—type Collagen in Desmoid Fibromatosis. A rare finding in a relatively common disease, demonstrated with β-catenin staining.⁦@MoffittNews⁩ ⁦@USFpathology⁩ ⁦@CAPA_comm⁩ #sarcoma #PathX #Pathtwitter
DrBuiPathology's tweet image. #DrBuiBSTCaseCollection 🌻Keloidal—type Collagen in Desmoid Fibromatosis. A rare finding in a relatively common disease, demonstrated with β-catenin staining.⁦@MoffittNews⁩ ⁦@USFpathology⁩ ⁦@CAPA_comm⁩ #sarcoma #PathX #Pathtwitter

#pathX #pathTwitter #Quiz 60-yr. F Hard subcutaneous nodular lesion of waist. Patient sent for FNAC. What is your impression?

SyedSal55391459's tweet image. #pathX
#pathTwitter
#Quiz
60-yr. F
Hard subcutaneous  nodular lesion of waist.
Patient sent for FNAC.
What is your impression?

Sclerosed Intraductal Papilloma 🫚🔬 A papilloma with densely fibrotic, hyalinized stroma and compressed fibrovascular cores, often attenuating the epithelial and myoepithelial layers and simulating invasive carcinoma. #PathX #PathTwitter #breastpath

RazaHoda's tweet image. Sclerosed Intraductal Papilloma 🫚🔬

A papilloma with densely fibrotic, hyalinized stroma and compressed fibrovascular cores, often attenuating the epithelial and myoepithelial layers and simulating invasive carcinoma.

#PathX #PathTwitter #breastpath

⏳Countdown for today's webinar on Interventional #pathology! ⏲️We will be welcoming you at 15:00 CEST! 💉Free registration: esp-pathology.org/event/esp-webi… #PathTwitter #PathX

ESP_Pathology's tweet image. ⏳Countdown for today's webinar on Interventional #pathology! 

⏲️We will be welcoming you at 15:00 CEST!

💉Free registration: esp-pathology.org/event/esp-webi…

#PathTwitter #PathX

Great pic that teaches normal, low grade and high grade dysplasia all in one. Jackpot slide... #learnpathologywithmanju #pathx #pathtwitter @ManjulaNavamani #histopathdiagnosis #pathresidents

MunchManju95's tweet image. Great pic that teaches normal, low grade and high grade dysplasia all in one. Jackpot slide...
#learnpathologywithmanju 
#pathx #pathtwitter 
@ManjulaNavamani 
#histopathdiagnosis 
#pathresidents

It's official! @Pathologists Digital and Computational pathology has released our #DigPath 101 guided, packed full of resources and advice from leading experts. Honored to contribute! Download & share this free tool: cap.org/member-resourc… #PathX #CAPcast

MeredithKHerman's tweet image. It's official! @Pathologists Digital and Computational pathology has released our #DigPath 101 guided, packed full of resources and advice from leading experts. Honored to contribute!

Download & share this free tool:
cap.org/member-resourc…

#PathX #CAPcast

This was a tricky diagnosis: Intravenous leiomyomatosis is a benign yet odd intravascularly proliferative lesion characterized by worm-like growth through pelvic veins in the setting of a uterine leiomyoma. #gynpath #PathX


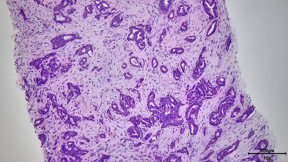
Let’s review sclerosing lesions of the breast this week! 🫚 Sclerosing Adenosis 🔬 A lobulocentric proliferation of compressed, distorted acini within a sclerotic stroma, which may mimic invasive carcinoma. #PathX #PathTwitter #breastpath

RazaHoda's tweet image. Let’s review sclerosing lesions of the breast this week! 🫚

Sclerosing Adenosis 🔬

A lobulocentric proliferation of compressed, distorted acini within a sclerotic stroma, which may mimic invasive carcinoma.

#PathX #PathTwitter #breastpath

Same parotid! 2 different locations! 2 different tumors! #Pathology #PathX #PathTwitter

MaiElzieny's tweet image. Same parotid!
2 different locations!
2 different tumors!
#Pathology 
#PathX 
#PathTwitter
MaiElzieny's tweet image. Same parotid!
2 different locations!
2 different tumors!
#Pathology 
#PathX 
#PathTwitter
MaiElzieny's tweet image. Same parotid!
2 different locations!
2 different tumors!
#Pathology 
#PathX 
#PathTwitter
MaiElzieny's tweet image. Same parotid!
2 different locations!
2 different tumors!
#Pathology 
#PathX 
#PathTwitter

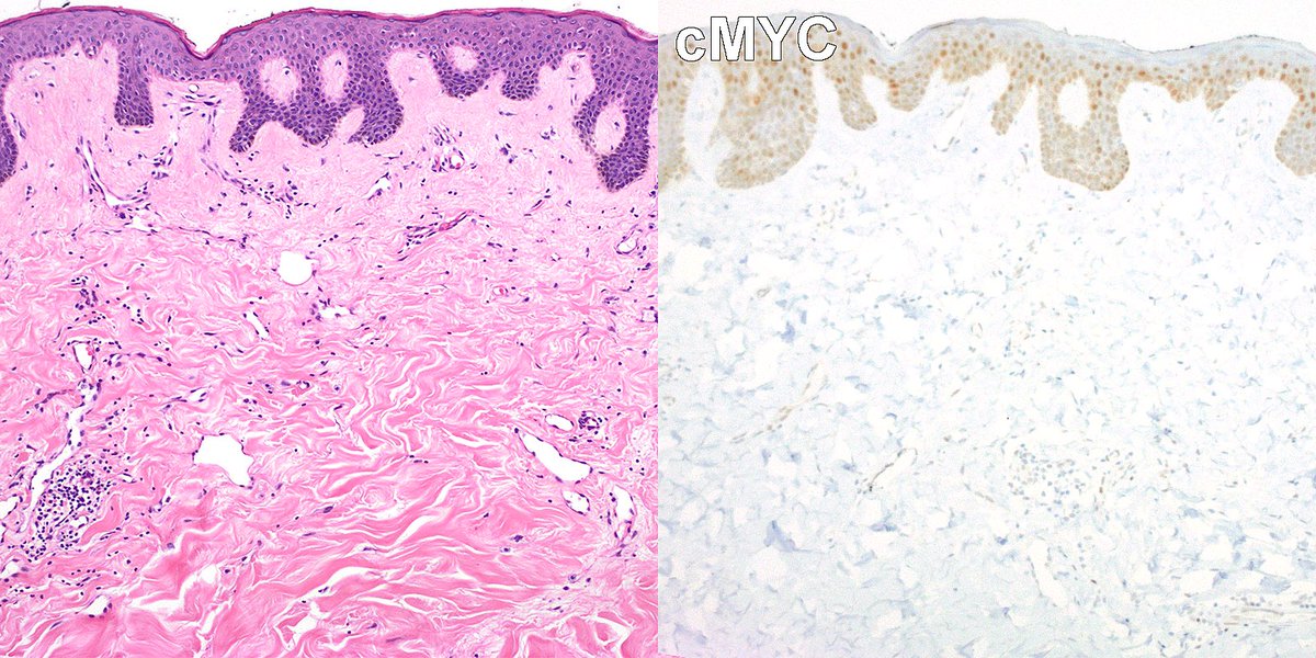
Uh oh—bloody hell! 😫 The answer was angiosarcoma! This is radiation-associated angiosarcoma on skin punch, showing markedly atypical endothelial cells forming anastomosing vessels infiltrating the superficial and deep dermis, with diffuse c-MYC positivity👇 #PathX #breastpath

RazaHoda's tweet image. Uh oh—bloody hell! 😫

The answer was angiosarcoma!

This is radiation-associated angiosarcoma on skin punch, showing markedly atypical endothelial cells forming anastomosing vessels infiltrating the superficial and deep dermis, with diffuse c-MYC positivity👇

#PathX #breastpath

What’s this vascular lesion of the breast? 🩸🔬 Poll in comments 👇 Answer revealed on Monday 🔮 #PathX #PathTwitter #breastpath #PathQuiz

RazaHoda's tweet image. What’s this vascular lesion of the breast? 🩸🔬

Poll in comments 👇

Answer revealed on Monday 🔮

#PathX #PathTwitter #breastpath #PathQuiz


🔥 "Six-Color Multiplex Digital PCR Assays for Comprehensive Screening and Identification of Multiple Driver Mutations Associated with Pancreatic Carcinogenesis" by Chiho Maeda & others #LabMedX #PathX #MedX 👇 buff.ly/LKNHBdr


#histopathology #thyroid #pathX #pathTwitter #photomicrograph Dx: De Quervain's thyroiditis ( subacute granulomatous thyroiditis).

SyedSal55391459's tweet image. #histopathology
#thyroid
#pathX
#pathTwitter
#photomicrograph
Dx: De Quervain's thyroiditis ( subacute granulomatous thyroiditis).

HSIL (CIN 2) Regression Rates Spontaneous regression ~50% Less than 1% progress to invasive carcinoma Dr. Kong #USCAP2026 #pathology #PathX #PathTwitter #everydayGYN

Janiranavarro's tweet image. HSIL (CIN 2) Regression Rates
Spontaneous regression ~50%
Less than 1% progress to invasive carcinoma

Dr. Kong #USCAP2026 #pathology #PathX #PathTwitter #everydayGYN

Skin biopsy!!! What is diagnosis??? What charecteristic finding is observed here??? #pathresidents #pathx #pathtwitter #learnpathologywithmanju #dermatopathology @MunchManju95

ManjulaNavamani's tweet image. Skin biopsy!!!
What is diagnosis???
What charecteristic finding is observed here???
#pathresidents
#pathx #pathtwitter
#learnpathologywithmanju 
#dermatopathology
@MunchManju95
ManjulaNavamani's tweet image. Skin biopsy!!!
What is diagnosis???
What charecteristic finding is observed here???
#pathresidents
#pathx #pathtwitter
#learnpathologywithmanju 
#dermatopathology
@MunchManju95

Skin biopsy!!! Comment your diagnosis... What is the charecteristic finding observed here??? #pathresidents #pathx #pathtwitter #dermatopathology #learnpathologywithmanju @MunchManju95

ManjulaNavamani's tweet image. Skin biopsy!!!
Comment your diagnosis...
What is the charecteristic finding observed here???
#pathresidents
#pathx #pathtwitter
#dermatopathology
#learnpathologywithmanju 
@MunchManju95

Wrapping up a fun and memorable Lab Week at USA Health! ✨ Games, great food, and celebration. 🎉 A big shoutout to the organizing team for making it all happen! Our on-style Pathology Feud, who knew pathology could get this competitive? 😄 #LabWeek2026 #PathX #Teamwork

PathologyUSAH's tweet image. Wrapping up a fun and memorable Lab Week at USA Health! ✨
 Games, great food, and celebration. 🎉

A big shoutout to the organizing team for making it all happen! 
Our on-style Pathology Feud, who knew pathology could get this competitive? 😄

#LabWeek2026 #PathX #Teamwork
PathologyUSAH's tweet image. Wrapping up a fun and memorable Lab Week at USA Health! ✨
 Games, great food, and celebration. 🎉

A big shoutout to the organizing team for making it all happen! 
Our on-style Pathology Feud, who knew pathology could get this competitive? 😄

#LabWeek2026 #PathX #Teamwork
PathologyUSAH's tweet image. Wrapping up a fun and memorable Lab Week at USA Health! ✨
 Games, great food, and celebration. 🎉

A big shoutout to the organizing team for making it all happen! 
Our on-style Pathology Feud, who knew pathology could get this competitive? 😄

#LabWeek2026 #PathX #Teamwork

Endometrial carcinomas that often show ER negativity: - Mesonephric-like adenocarcinoma - Endometrial gastrointestinal-type adenocarcinoma - Pilomatrix-like high-grade endometrial carcinoma - Clear cell carcinoma Dr. Zheng #USCAP2026 #pathology #PathX

Janiranavarro's tweet image. Endometrial carcinomas that often show ER negativity:

- Mesonephric-like adenocarcinoma
- Endometrial gastrointestinal-type adenocarcinoma
- Pilomatrix-like high-grade endometrial carcinoma
- Clear cell carcinoma

Dr. Zheng #USCAP2026 #pathology #PathX

What is this breast lesion? 🔬 Poll in comments 👇 Answer revealed on Monday 🔮 #PathX #PathTwitter #breastpath #PathQuiz

RazaHoda's tweet image. What is this breast lesion? 🔬

Poll in comments 👇

Answer revealed on Monday 🔮

#PathX #PathTwitter #breastpath #PathQuiz

Pitfall ⚠️ Peripheral Nerve Sheath Tumors Schwannomas can show CD34 positivity, especially in Antoni B regions. This staining pattern may lead to overdiagnosis of hybrid nerve sheath tumors. Dr. Dehner #USCAP2026 #pathology #PathX #PathTwitter

Janiranavarro's tweet image. Pitfall ⚠️ Peripheral Nerve Sheath Tumors

Schwannomas can show CD34 positivity, especially in Antoni B regions. 

This staining pattern may lead to overdiagnosis of hybrid nerve sheath tumors.

Dr. Dehner #USCAP2026 #pathology #PathX #PathTwitter
Janiranavarro's tweet image. Pitfall ⚠️ Peripheral Nerve Sheath Tumors

Schwannomas can show CD34 positivity, especially in Antoni B regions. 

This staining pattern may lead to overdiagnosis of hybrid nerve sheath tumors.

Dr. Dehner #USCAP2026 #pathology #PathX #PathTwitter
Janiranavarro's tweet image. Pitfall ⚠️ Peripheral Nerve Sheath Tumors

Schwannomas can show CD34 positivity, especially in Antoni B regions. 

This staining pattern may lead to overdiagnosis of hybrid nerve sheath tumors.

Dr. Dehner #USCAP2026 #pathology #PathX #PathTwitter

Same kidney 2 tumors in 2 different locations 2 diagnosis! No IHC needed. #PathTwitter #PathX

MaiElzieny's tweet image. Same kidney 
2 tumors in 2 different locations 
2 diagnosis! No IHC needed.
#PathTwitter 
#PathX
MaiElzieny's tweet image. Same kidney 
2 tumors in 2 different locations 
2 diagnosis! No IHC needed.
#PathTwitter 
#PathX

*Medical liver disease* Acute hepatitis: Lobular inflammation Chronic hepatitis: Portal inflammation Sinusoidal hepatitis: Lymphocytic infiltrate in sinusoids with no lobular disaray Dr. Hart #USCAP2026 #pathology #PathX #Pathtwitter

Janiranavarro's tweet image. *Medical liver disease*

Acute hepatitis: Lobular inflammation
Chronic hepatitis: Portal inflammation
Sinusoidal hepatitis: Lymphocytic infiltrate in sinusoids with no lobular disaray

Dr. Hart #USCAP2026 #pathology #PathX #Pathtwitter
Janiranavarro's tweet image. *Medical liver disease*

Acute hepatitis: Lobular inflammation
Chronic hepatitis: Portal inflammation
Sinusoidal hepatitis: Lymphocytic infiltrate in sinusoids with no lobular disaray

Dr. Hart #USCAP2026 #pathology #PathX #Pathtwitter
Janiranavarro's tweet image. *Medical liver disease*

Acute hepatitis: Lobular inflammation
Chronic hepatitis: Portal inflammation
Sinusoidal hepatitis: Lymphocytic infiltrate in sinusoids with no lobular disaray

Dr. Hart #USCAP2026 #pathology #PathX #Pathtwitter
Janiranavarro's tweet image. *Medical liver disease*

Acute hepatitis: Lobular inflammation
Chronic hepatitis: Portal inflammation
Sinusoidal hepatitis: Lymphocytic infiltrate in sinusoids with no lobular disaray

Dr. Hart #USCAP2026 #pathology #PathX #Pathtwitter

The cartilages of the larynx are different - Thyroid/Cricoid cartilage: hyaline cartilage (ossified) - Epiglottis/Arytenoid: elastic cartilage Dr. Cipriani #USCAP2026 #pathology #PathX #PathTwitter

Janiranavarro's tweet image. The cartilages of the larynx are different

- Thyroid/Cricoid cartilage: hyaline cartilage (ossified)
- Epiglottis/Arytenoid: elastic cartilage

Dr. Cipriani #USCAP2026 #pathology #PathX #PathTwitter
Janiranavarro's tweet image. The cartilages of the larynx are different

- Thyroid/Cricoid cartilage: hyaline cartilage (ossified)
- Epiglottis/Arytenoid: elastic cartilage

Dr. Cipriani #USCAP2026 #pathology #PathX #PathTwitter

Hello, I’m Francisco (Fran) Reyes! Recent graduate from Spain, applying to #Pathology #Match2026. 🇪🇸 Outside of medicine, you’ll find me lost in music, swimming, or working away in cozy cafés for hours. 🎧 Excited to connect with others on this pathology journey! 😄 #PathX

FranReyesMD's tweet image. Hello, I’m Francisco (Fran) Reyes! 

Recent graduate from Spain, applying to #Pathology #Match2026. 🇪🇸

Outside of medicine, you’ll find me lost in music, swimming, or working away in cozy cafés for hours. 🎧

Excited to connect with others on this pathology journey! 😄 #PathX

Triple negative basal-like breast cancers can be "pseudopapillary" Dr. Allison #USCAP2026 #pathology #PathX #PathTwitter #everydaybreastpath

Janiranavarro's tweet image. Triple negative basal-like breast cancers can be "pseudopapillary"

Dr. Allison #USCAP2026 #pathology #PathX #PathTwitter #everydaybreastpath

You cannot definitively speciate it on H&E BUT based on morphology, which is Histoplasmosis v. Leishmania? #pathx #pathology #microx #microbiology #pathtwitter #pathcritters

Path4People's tweet image. You cannot definitively speciate it on H&E 

BUT based on morphology, which is 

Histoplasmosis
v.
Leishmania?

#pathx #pathology #microx #microbiology #pathtwitter #pathcritters
Path4People's tweet image. You cannot definitively speciate it on H&E 

BUT based on morphology, which is 

Histoplasmosis
v.
Leishmania?

#pathx #pathology #microx #microbiology #pathtwitter #pathcritters

What’s this vascular lesion of the breast? 🩸🔬 Poll in comments 👇 Answer revealed on Monday 🔮 #PathX #PathTwitter #breastpath #PathQuiz

RazaHoda's tweet image. What’s this vascular lesion of the breast? 🩸🔬

Poll in comments 👇

Answer revealed on Monday 🔮

#PathX #PathTwitter #breastpath #PathQuiz

Focal nodular hyperplasia Clinical snapshot - Group 1: 80% of cases, most patients are women - Group 2: Teens/young adults with histories of other malignancies - Group 3: Livers with chronic vascular disease Dr. Torbenson #USCAP2026 #PathX #pathology #PathTwitter

Janiranavarro's tweet image. Focal nodular hyperplasia
Clinical snapshot

- Group 1: 80% of cases, most patients are women
- Group 2: Teens/young adults with histories of other malignancies
- Group 3: Livers with chronic vascular disease

Dr. Torbenson #USCAP2026 #PathX #pathology #PathTwitter
Janiranavarro's tweet image. Focal nodular hyperplasia
Clinical snapshot

- Group 1: 80% of cases, most patients are women
- Group 2: Teens/young adults with histories of other malignancies
- Group 3: Livers with chronic vascular disease

Dr. Torbenson #USCAP2026 #PathX #pathology #PathTwitter
Janiranavarro's tweet image. Focal nodular hyperplasia
Clinical snapshot

- Group 1: 80% of cases, most patients are women
- Group 2: Teens/young adults with histories of other malignancies
- Group 3: Livers with chronic vascular disease

Dr. Torbenson #USCAP2026 #PathX #pathology #PathTwitter

What’s the diagnosis of this breast lesion? 🔬 Poll in comments 👇 Answer revealed on Monday 🔮 #PathX #PathTwitter #breastpath

RazaHoda's tweet image. What’s the diagnosis of this breast lesion? 🔬

Poll in comments 👇

Answer revealed on Monday 🔮

#PathX #PathTwitter #breastpath

💧 Pancreatic Cyst Fluids in IPMN v. MCN: Why is amylase ⬆️ in IPMN but not in MCN?🤔 B/c IPMN communicates w pancreatic duct, so has acinar secretions💧from neighboring acinar cells. MCN is isolated by itself. At least that's how I understand it. #pathx #pathologx #gipath

Path4People's tweet image. 💧 Pancreatic Cyst Fluids in IPMN v. MCN:

Why is amylase ⬆️ in IPMN but not in MCN?🤔 

B/c IPMN communicates w pancreatic duct, so has acinar secretions💧from neighboring acinar cells.  MCN is isolated by itself.

At least that's how I understand it.  #pathx #pathologx #gipath
Path4People's tweet image. 💧 Pancreatic Cyst Fluids in IPMN v. MCN:

Why is amylase ⬆️ in IPMN but not in MCN?🤔 

B/c IPMN communicates w pancreatic duct, so has acinar secretions💧from neighboring acinar cells.  MCN is isolated by itself.

At least that's how I understand it.  #pathx #pathologx #gipath

🦷 27 y/o F with Wisdom Tooth Extraction 🧻 Packing Done w Petroleum based Gauze 🤕 Returns 1 month later w persistent pain ⬇️ 🎨 PAS and GMS - 🤔 Dx? #pathx #pathologyx #entpath #microx #pathologytwitter

Path4People's tweet image. 🦷 27 y/o F with Wisdom Tooth Extraction

🧻  Packing Done w Petroleum based Gauze

🤕 Returns 1 month later w persistent pain ⬇️ 

🎨 PAS and GMS - 

🤔 Dx? 

#pathx #pathologyx #entpath #microx #pathologytwitter
Path4People's tweet image. 🦷 27 y/o F with Wisdom Tooth Extraction

🧻  Packing Done w Petroleum based Gauze

🤕 Returns 1 month later w persistent pain ⬇️ 

🎨 PAS and GMS - 

🤔 Dx? 

#pathx #pathologyx #entpath #microx #pathologytwitter
Path4People's tweet image. 🦷 27 y/o F with Wisdom Tooth Extraction

🧻  Packing Done w Petroleum based Gauze

🤕 Returns 1 month later w persistent pain ⬇️ 

🎨 PAS and GMS - 

🤔 Dx? 

#pathx #pathologyx #entpath #microx #pathologytwitter

I’m thrilled to share that our study on SMAD4-deficient colorectal adenocarcinoma has just been published in Modern Pathology. Grateful to my amazing mentor Dr. Oliver G. McDonald for his tremendous support 🙏🏻 @ModernPathology @LizMontgomeryMD @UMiamiPathology #GIPath #PathX

YMirzabeigi's tweet image. I’m thrilled to share that our study on SMAD4-deficient colorectal adenocarcinoma has just been published in Modern Pathology.

Grateful to my amazing mentor Dr. Oliver G. McDonald for his tremendous support 🙏🏻

@ModernPathology @LizMontgomeryMD @UMiamiPathology 

#GIPath #PathX
YMirzabeigi's tweet image. I’m thrilled to share that our study on SMAD4-deficient colorectal adenocarcinoma has just been published in Modern Pathology.

Grateful to my amazing mentor Dr. Oliver G. McDonald for his tremendous support 🙏🏻

@ModernPathology @LizMontgomeryMD @UMiamiPathology 

#GIPath #PathX

✨ I’m incredibly happy to share that I matched into Pathology Residency Program at George Washington University! 🔬 Looking forward to starting my pathology journey in the U.S. and thankful to my mentors and everyone who supported me every step of the way. #Match2026 #PathX

sumeyra_md's tweet image. ✨ I’m incredibly happy to share that I matched into Pathology Residency Program at George Washington University!
🔬 Looking forward to starting my pathology journey in the U.S. and thankful to my mentors and everyone who supported me every step of the way.
#Match2026 #PathX

Triple Negative Breast Cancer Subtypes WHO 6th edition Dr. Allison #USCAP2026 #PathX #PathTwitter

Janiranavarro's tweet image. Triple Negative Breast Cancer Subtypes  
WHO 6th edition  

Dr. Allison  
#USCAP2026 #PathX #PathTwitter

Burkitt lymphoma in action, completely involving one lymph node and crossing into an adjacent lymph node with a normal architecture #Hemepath #Lymsm #PathX #PathTwitter #Surgpath #MedEd

SibaElHussein's tweet image. Burkitt lymphoma in action, completely involving one lymph node and crossing into an adjacent lymph node with a normal architecture #Hemepath #Lymsm #PathX #PathTwitter #Surgpath #MedEd
SibaElHussein's tweet image. Burkitt lymphoma in action, completely involving one lymph node and crossing into an adjacent lymph node with a normal architecture #Hemepath #Lymsm #PathX #PathTwitter #Surgpath #MedEd

Upcoming webinar 📹Digital Pathology Essentials: Scanners, Image Management Systems, and Monitors Date & Time: February 4, 2026 from 12-1pm CST Register here: cap-org.zoom.us/webinar/regist… #PathX #DigPath

MeredithKHerman's tweet image. Upcoming webinar 📹Digital Pathology Essentials: Scanners, Image Management Systems, and Monitors

Date & Time: February 4, 2026 from 12-1pm CST

Register here: cap-org.zoom.us/webinar/regist…

#PathX #DigPath

Loading...

Something went wrong.


Something went wrong.