
João Sousa
@jcs54
Seulement humain ...
Potrebbero piacerti
@EU_Brain - youtube.com/watch?v=bGNHE9… -"Conventional" Medicine must CHANGE !
youtube.com
YouTube
Bringing the Future into Focus (Extended Version)
4/28/23: Cool Examples of How Exponential Technologies Will Improve Our ... youtu.be/SnNkPpLzTxE via @YouTube
youtube.com
YouTube
4/28/23: Cool Examples of How Exponential Technologies Will Improve...
A groundbreaking study has used #FocusedUltrasound and #MicroBubbles to deliver #GeneTherapy safely and efficiently across the blood-brain barrier to help treat Parkinson's Disease (PD). This innovative approach led by Jose Obeso @HMHospital_Int in Madrid, Spain, targeted areas…

Upcoming Webinar! New Approaches for Parkinson's Disease Treatment - Friday, April 21 at 10 am ET REGISTER HERE: tinyurl.com/2p8m9kan Parkinson's disease (PD) is a neurological condition that affects millions of people worldwide. There is currently no cure for PD, but…

Lack of significant Lewy pathology in 237 essential tremor brains academic.oup.com/jnen/advance-a…
academic.oup.com
Lack of significant Lewy pathology in 237 essential tremor brains
To the Editor:
Complete resolution of chronic cluster headache following central lateral thalamotomy using incisionless MRI-guided focused ultrasound with 6 years of follow-up: illustrative case thejns.org/caselessons/vi…
Researchers @MedicineUVA have developed a noninvasive method using #focusedultrasound to remove faulty brain circuits that could allow doctors to treat debilitating neurological diseases without the need for conventional brain surgery. eurekalert.org/news-releases/…
eurekalert.org
Precise new form of brain surgery requires no incisions, scalpels
Researchers have developed a noninvasive way to remove faulty brain circuits that could allow doctors to treat debilitating neurological diseases without the need for conventional brain surgery.
The @US_FDA has approved focused ultrasound to treat advanced Parkinson’s disease after successful testing at @MedicineUVA and other sites. The authorization allows the use of @INSIGHTEC’s Exablate Neuro device to treat motor symptoms of Parkinson's. eurekalert.org/news-releases/…
eurekalert.org
FDA approves high-tech sound wave surgery for common Parkinson’s symptoms
Pioneering research at the University of Virginia School of Medicine helped pave the way for the FDA to approve the incisionless form of brain surgery to treat advanced Parkinson's.
Our latest newsletter is out, and the top story is the new approval for focused ultrasound to treat the motor symptoms of Parkinson’s disease. @US_FDA has expanded approval of @INSIGHTEC’s Exablate Neuro to include the treatment of advanced #Parkinsons. fusfoundation.org/news/fda-appro…
The @US_FDA has approved focused ultrasound to treat motor symptoms in #Parkinsons patients. The expanded approval of the @INSIGHTEC device allows for noninvasive FUS treatment for Parkinson’s patients with mobility, rigidity, or dyskinesia symptoms. medpagetoday.com/neurology/park…
Read the story of #Parkinsons patient Susan who participated in a clinical trial at @Sunnybrook and @UHN in Toronto using #focusedultrasound technology to deliver a therapeutic directly to affected brain regions. via @ParkinsonCanada parkinson.ca/the-heart-of-r…
parkinson.ca
The Heart of Research: One Volunteer’s Experience as Part of a Clinical Trial - Parkinson Canada
At the heart of the clinical studies carried out by researchers seeking better treatments or a cure for Parkinson's, are the volunteers, ordinary people just like you, helping to advance the science...
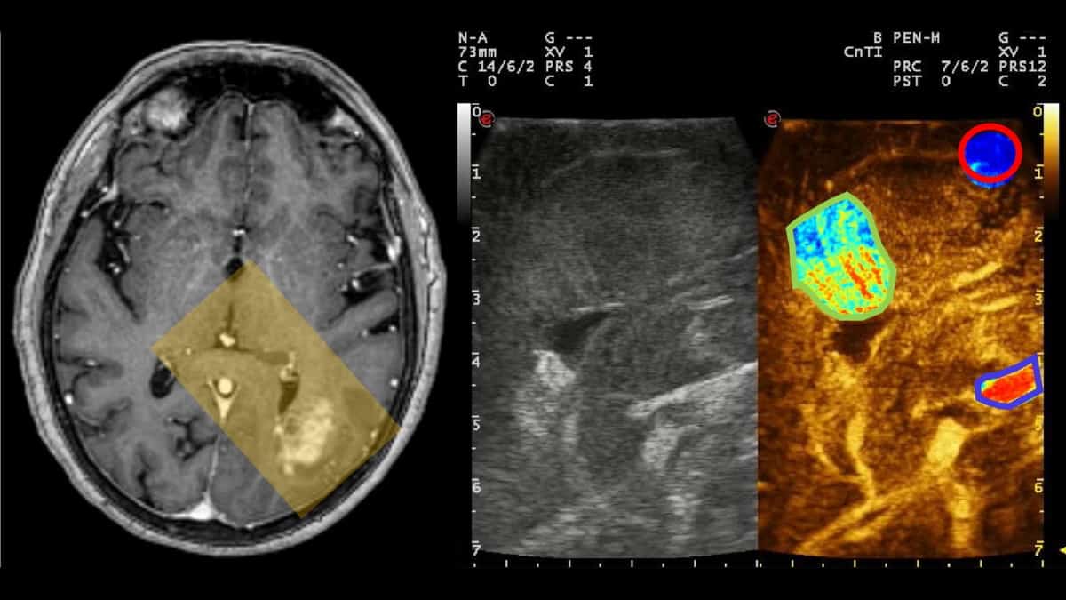
Understanding cerebral microbubble distribution could open up new avenues for ultrasound-based imaging and therapies physicsworld.com/a/mapping-micr…
A team led by @ChenUltrasound of @WashUengineers is the first to provide direct evidence showing noninvasive, cell-type-specific activation of neurons in the brain by combining ultrasound-induced heating effect and genetics, which they have named sonothermogenetics.
A new device combining focused ultrasound and genetics is showing potential for treating neurological conditions, such as Parkinson's and epilepsy.

Scientists developed a brain stimulation technique using focused ultrasound that is able to turn specific types of neurons in the brain on & off & precisely control motor activity without surgical device implantation sciencedaily.com/releases/2021/…

Bilateral MR-Guided Focused Ultrasound Pallidothalamic Tractotomy for Parkinson's Disease With 1-Year Follow-Up frontiersin.org/article/10.338… This article is dedicated to our dear patients who put their trust in us every day.
Bilateral MR-Guided Focused Ultrasound Pallidothalamic Tractotomy for Parkinson's Disease With 1-Year Follow-Up frontiersin.org/article/10.338… #FUS #Parkinson #bilateral #incisionless
Featured article for January! Great to see this.
Our featured article for January is this Review on applications of focused ultrasound in the brain - access the PDF for free here: rdcu.be/cc5Wd #SharedIt
Focused ultrasound subthalamotomy improved motor features in selected people with Parkinson disease nejm.org/doi/full/10.10…
A novel pivotal trial validating the use of focused ultrasound to treat the cardinal features of Parkinson’s disease has been published in @NEJM. Two groups used focused ultrasound to ablate the subthalamic nucleus. @HMHOSPITALES @MedicineUVA @INSIGHTEC fusfoundation.org/news/landmark-…
United States Tendenze
- 1. Ohtani 228K posts
- 2. Emiru 9,494 posts
- 3. Dodgers 271K posts
- 4. World Series 63.9K posts
- 5. Miami 101K posts
- 6. Carson Beck 16.9K posts
- 7. Babe Ruth 3,669 posts
- 8. Brewers 57.4K posts
- 9. #HeartofTaehyung 38.8K posts
- 10. Louisville 28.8K posts
- 11. Massie 33.4K posts
- 12. Nebraska 17.7K posts
- 13. NOCHE IS BACK 32.6K posts
- 14. Sam Harris 1,213 posts
- 15. Talus 15.5K posts
- 16. TwitchCon 25.4K posts
- 17. #SEVENTEEN_NEW_IN_LA 63.9K posts
- 18. TOP CALL 9,860 posts
- 19. FDV 5min 2,924 posts
- 20. George Santos 89.6K posts
Potrebbero piacerti
Something went wrong.
Something went wrong.