llossa's profile picture.

Carlos lozano

@llossa

Carlos lozano reposted

💬 Des de Junts volem garantir una millor salut per a tots els catalans i catalanes. 📈 He demanat al conseller que incrementi el pressupost d'Agricultura, que actualment només és el 4% del total. És el sector més important de la nostra indústria, i cal estar a l’altura. 💪 Per…


Carlos lozano reposted

@ClashRoyale the rewards shown in news section is different from the one we are getting in path of legends. Bug vs reward nerf?


Carlos lozano reposted

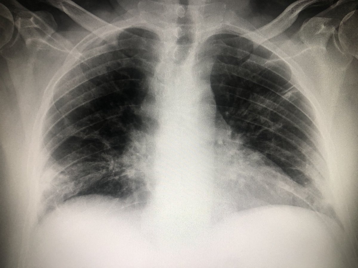
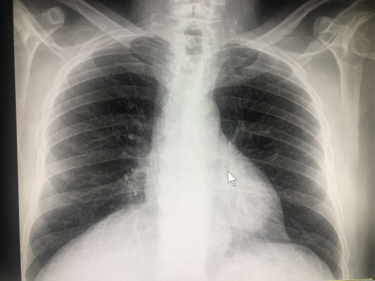
Pacient de 56 anys, hipertens. Al 2n dia de febre i tos, radiografia neta. Covid Positiu. 5 dies despres, pneumònia bilateral, i distrés respiratori. Contagi en entorn familiar. No és cap broma. #COVID19 #salut #Lleida

oyuguero's tweet image. Pacient de 56 anys, hipertens. Al 2n      dia de febre i tos, radiografia neta. Covid Positiu. 5 dies despres, pneumònia bilateral, i distrés respiratori. Contagi en entorn familiar. No és cap broma. #COVID19 #salut #Lleida
oyuguero's tweet image. Pacient de 56 anys, hipertens. Al 2n      dia de febre i tos, radiografia neta. Covid Positiu. 5 dies despres, pneumònia bilateral, i distrés respiratori. Contagi en entorn familiar. No és cap broma. #COVID19 #salut #Lleida

Carlos lozano reposted

Un Dia Més recull el premi al Millor Programa de Ràdio Local dels Premis Ràdio Associació de Catalunya ua1.cat/articles/28200…


Carlos lozano reposted

Nueva entrada en el blog: "La Agricultura, ¿sector refugio?" Os ruego que disculpéis alguna de las expresiones. Estoy cansado de que seamos "culpables mientras no se demuestre lo contrario" daviddelpino.com/la-agricultura…

_DavidDelPino's tweet image. Nueva entrada en el blog: "La Agricultura, ¿sector refugio?" Os ruego que disculpéis alguna de las expresiones. Estoy cansado de que seamos "culpables mientras no se demuestre lo contrario" 
daviddelpino.com/la-agricultura…

¿Recuerdas cuando te uniste a Twitter? ¡Yo sí! #MiAniversarioDeTwitter

llossa's tweet image. ¿Recuerdas cuando te uniste a Twitter? ¡Yo sí! #MiAniversarioDeTwitter

Todavia estamos a tiempo, de hacer algo por nuestro planeta


Carlos lozano reposted

El peor trabajo del mundo es tener un puesto de fruta en las películas de acción.


Las verduras tienen pesticidas, comamos bollería industrial blogs.20minutos.es/la-gulateca/20… vía @lagulateca


Carlos lozano reposted

Plena campaña #pocafruta #pocostock visitando una de nuestras empresas @llossa #lacoma #lozanojimenez #ursino #todaunavida @Afrucat

manelsimon's tweet image. Plena campaña #pocafruta #pocostock visitando una de nuestras empresas @llossa #lacoma #lozanojimenez #ursino #todaunavida @Afrucat

Carlos lozano reposted

La fruta es perfecta a cualquier hora u ocasión. Y no engorda ni otros tantos bulos que publican algunos medios sobre la #fruta. #frutas #NoSinEvidencia Gracias @JulioBasulto_DN por insistir.

"¿Por qué no engorda la fruta, si tiene azúcar?" Nuevo artículo de un servidor en la sección #NutrirConCiencia de @Materia_Ciencia →  goo.gl/kYy5W3



Published for the First Time: a 1959 Essay by Isaac Asimov on Creativity - via @techreview technologyreview.com/s/531911/isaac…


Carlos lozano reposted

Los Encuentros por el Corredor llegarán el 3 de octubre a #Madrid. Contamos con vosotros para gritar #QuieroCorredor goo.gl/CvIjEU

Corredor_Med's tweet image. Los Encuentros por el Corredor llegarán el 3 de octubre a #Madrid. Contamos con vosotros para gritar #QuieroCorredor goo.gl/CvIjEU

Carlos lozano reposted

¿Apostamos por una forma eficiente y competitiva de llevar nuestras mercancías hasta Europa? #QuieroCorredor 👉 goo.gl/CvIjEU


Carlos lozano reposted

El canal te muestra, de un vistazo, por qué no debemos renunciar a esta infraestructura estratégica @Marc_Ros #QuieroCorredor

Corredor_Med's tweet image. El canal te muestra, de un vistazo, por qué no debemos renunciar a esta infraestructura estratégica @Marc_Ros #QuieroCorredor

Carlos lozano reposted

Una cosa buena de Madrid es que hay una farmacia (Rialto, c/Gran Vía 56) donde, si pides homeopatía, te dan esto.

stratocaster_o's tweet image. Una cosa buena de Madrid es que hay una farmacia (Rialto, c/Gran Vía 56) donde, si pides homeopatía, te dan esto.
stratocaster_o's tweet image. Una cosa buena de Madrid es que hay una farmacia (Rialto, c/Gran Vía 56) donde, si pides homeopatía, te dan esto.

Loading...

Something went wrong.


Something went wrong.