makeubrush's profile picture.

caramelsandwich

@makeubrush

Pinned

yang difollow follback plsss


huuuhuhu ayo mana semua pasien yang mau aku rawat🫠


siapa tau ada yang temennya sodaranya yang giginya kayak gini🧎🏻‍♀️🧎🏻‍♀️🧎🏻‍♀️🧎🏻‍♀️

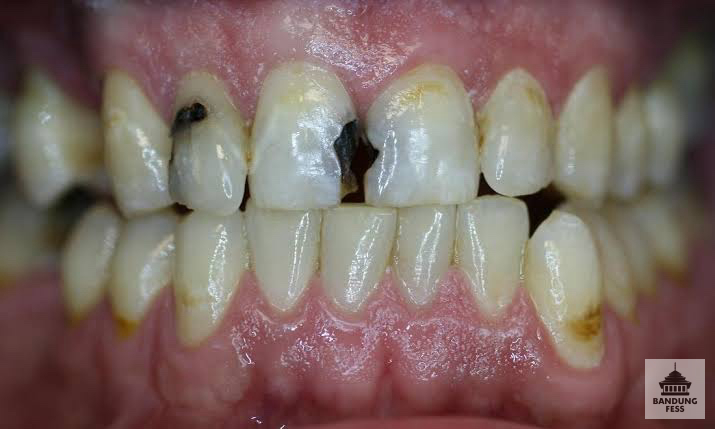
💛 haloo aku koas gigi yang lagi cari pasien untuk perawatan saluran akar (PSA). Siapapun dom bandung yang gigi depan atasnya berlubang/patah kaya di gambar dan ada keluhan sakit atau pernah sakit terus mau di PSA boleh reply yaa, perawatannya ga dipungut biayaaa

BaseBDG's tweet image. 💛 haloo aku koas gigi yang lagi cari pasien untuk perawatan saluran akar (PSA). Siapapun dom bandung yang gigi depan atasnya berlubang/patah kaya di gambar dan ada keluhan sakit atau pernah sakit terus mau di PSA boleh reply yaa, perawatannya ga dipungut biayaaa


dm aku yahhhh

💛 haloo aku koas gigi yang lagi cari pasien untuk perawatan saluran akar (PSA). Siapapun dom bandung yang gigi depan atasnya berlubang/patah kaya di gambar dan ada keluhan sakit atau pernah sakit terus mau di PSA boleh reply yaa, perawatannya ga dipungut biayaaa

BaseBDG's tweet image. 💛 haloo aku koas gigi yang lagi cari pasien untuk perawatan saluran akar (PSA). Siapapun dom bandung yang gigi depan atasnya berlubang/patah kaya di gambar dan ada keluhan sakit atau pernah sakit terus mau di PSA boleh reply yaa, perawatannya ga dipungut biayaaa


caramelsandwich reposted

💛 haloo aku koas gigi yang lagi cari pasien untuk perawatan saluran akar (PSA). Siapapun dom bandung yang gigi depan atasnya berlubang/patah kaya di gambar dan ada keluhan sakit atau pernah sakit terus mau di PSA boleh reply yaa, perawatannya ga dipungut biayaaa

BaseBDG's tweet image. 💛 haloo aku koas gigi yang lagi cari pasien untuk perawatan saluran akar (PSA). Siapapun dom bandung yang gigi depan atasnya berlubang/patah kaya di gambar dan ada keluhan sakit atau pernah sakit terus mau di PSA boleh reply yaa, perawatannya ga dipungut biayaaa

kebiasaaaaann telat terus klik nya


guyss warga bandung, adakah yang giginya seperti inii dan mau dirawat koas??

💛 adakah yg gigi depannya berlubang besar seperti digambar atau lebih parah, pernah sakit, dan mau dirawat koas untuk perawatan saluran akar terus ditambal permanen? syaratnya mau ke rsgm unpad bandung sampai perawatannya selesaii kalau mau, reply yaa nanti aku hubungi

BaseBDG's tweet image. 💛 adakah yg gigi depannya berlubang besar seperti digambar atau lebih parah, pernah sakit, dan mau dirawat koas untuk perawatan saluran akar terus ditambal permanen? syaratnya mau ke rsgm unpad bandung sampai perawatannya selesaii

kalau mau, reply yaa nanti aku hubungi


gua salah juga sih mungkin terlalu berharap


capek banget berekspektasi sama manusia


syp mau dm aku☝🏻 yang serius serius aja ya🙏🏻

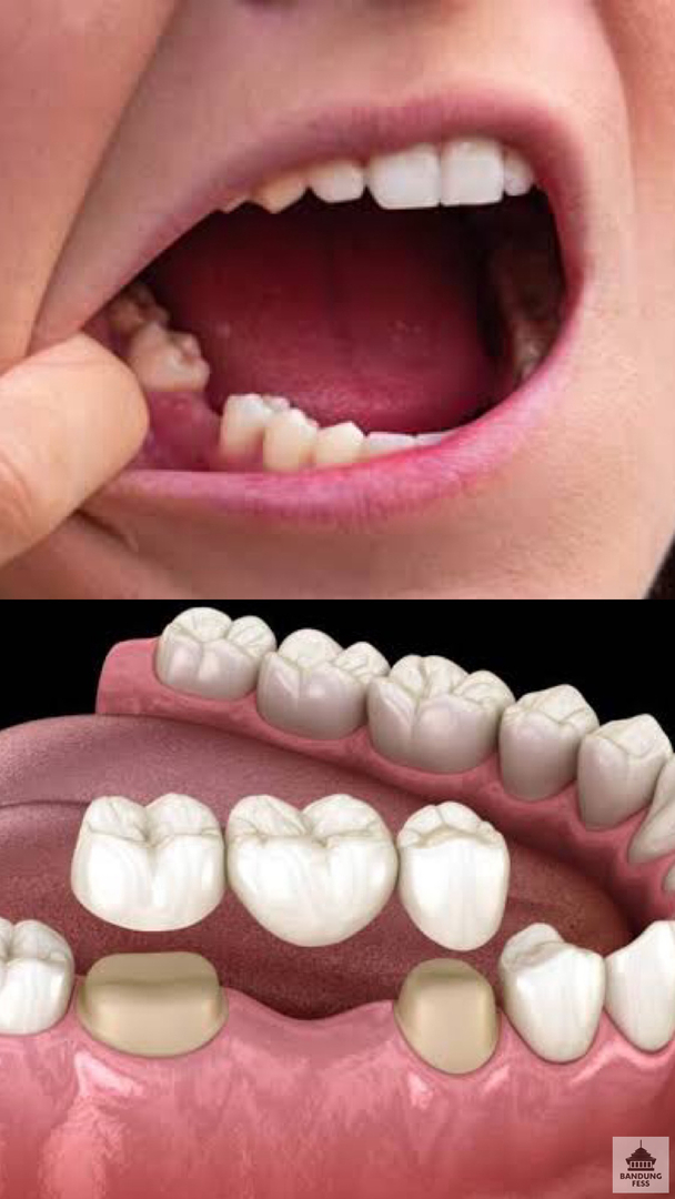
Punten euy, apakah ada yang gigi gerahamnya bolong dan mau dibikinin gigi tiruan jembatan sama koas dokter gigi? syarat nya usia min 25 tahun dan kooperatif selama perawatan di rsgm yang mau reply yaah

BaseBDG's tweet image. Punten euy, apakah ada yang gigi gerahamnya bolong dan mau dibikinin gigi tiruan jembatan sama koas dokter gigi? syarat nya usia min 25 tahun dan kooperatif selama perawatan di rsgm yang mau reply yaah


ada yang mau mutualan?? butuh 20 followers nihh #zonauang


gapapaa demi menjadi dokter gigi hebat keren se indonesia


hari hari mencari pasien 🤣


siapa mau jadi pasien gigi tiruan jembatan☝🏻


info service macbook bogor pls


Argh tuhkan setiap lemot ini gua gadapet jadwal


dimana ya gua nyari orang yang karang giginya parah banget terus mau discaling gratis sama koas


gimanasih cara jualan di twitter


Loading...

Something went wrong.


Something went wrong.