sanode87's profile picture.

venom

@sanode87

venom reposted

How can #artificialintelligence and #machinelearning enhance prognosis and diagnosis in #CVimaging? Karthik Seetharam, MD, and Jim Min, MD, review the possibilities in the #digitalhealth issue of the #debakeyCVjournal. Read now! bit.ly/3bHDZm4

DeBakeyCVedu's tweet image. How can #artificialintelligence and #machinelearning enhance prognosis and diagnosis in #CVimaging? Karthik Seetharam, MD, and Jim Min, MD, review the possibilities in the #digitalhealth issue of the #debakeyCVjournal. Read now! bit.ly/3bHDZm4

venom reposted

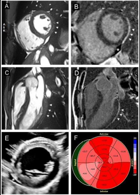
Congratulations @BritoCardio @YanamalaNaveena @sudarshanballa, very proud of the entire WVU team for your tremendous work @WVUMedicine @WVUMedSchool @WVUHealth @wvutoday

Multimodality assessment of #COVID related pericardial involvement in student athletes @WVUMedicine @WVUMedSchool @WVUHealth, just published jacc.org/doi/10.1016/j.…

ppsengupta1's tweet image. Multimodality assessment of #COVID related pericardial involvement in student athletes @WVUMedicine @WVUMedSchool @WVUHealth, just published jacc.org/doi/10.1016/j.…


venom reposted

The heart and #COVID19 in 54 consecutive college athletes @WVUHealth w/ echo, MRI jacc.org/doi/10.1016/j.… @JACCJournals today theconversation.com/even-if-youre-… @ppsengupta1 @BritoCardio >1/3 had resolving pericarditis with mild-moderate covid or no symptoms; no myocarditis, no controls

EricTopol's tweet image. The heart and #COVID19 in 54 consecutive college athletes @WVUHealth w/ echo, MRI
jacc.org/doi/10.1016/j.… @JACCJournals today
theconversation.com/even-if-youre-… @ppsengupta1 @BritoCardio 
>1/3 had resolving pericarditis with mild-moderate covid or no symptoms; no myocarditis, no controls
EricTopol's tweet image. The heart and #COVID19 in 54 consecutive college athletes @WVUHealth w/ echo, MRI
jacc.org/doi/10.1016/j.… @JACCJournals today
theconversation.com/even-if-youre-… @ppsengupta1 @BritoCardio 
>1/3 had resolving pericarditis with mild-moderate covid or no symptoms; no myocarditis, no controls
EricTopol's tweet image. The heart and #COVID19 in 54 consecutive college athletes @WVUHealth w/ echo, MRI
jacc.org/doi/10.1016/j.… @JACCJournals today
theconversation.com/even-if-youre-… @ppsengupta1 @BritoCardio 
>1/3 had resolving pericarditis with mild-moderate covid or no symptoms; no myocarditis, no controls

Nobody except Raj can tackle these ladycentric topics. Too bad he can't actually talk to the ladies. #BigBangOnTBS


Man, the new toxin looks so much better.


Naruto is the best anime ever


Loading...

Something went wrong.


Something went wrong.