
Saurabh Mukewar
@saurabhmukewar
Consultant Gastroenterologist at Midas Hospital, Nagpur 🇮🇳Trained at Cleveland Clinic, Mayo Clinic, UCLA and Columbia. Faculty at Weill Cornell🇺🇸
You might like
Long Circumferential ESD performed for Early Esophageal Cancer with R0 resection - Organ Preserving procedure ! Live Video: youtube.com/watch?v=bpePw6…




Today I learnt that there are 3 different types of hunger 📸: nejm.org/doi/full/10.10…

🙏 @INASL_Liver & @saurabhmukewar for the kind invitation to visit #Nagpur and participate in the mid INASL meeting! Saw some 🐅 🐆 in #Tadoba also w @Edilmaralvarado @AngeliPaolo #PatrickKamath #drdefranchis & #dominiquevalla. Great learning opportunity & science!




Midas Liver Meeting next weekend with outstanding national and International faculty. forms.gle/6bgd4p5ZSaseNg…

Our latest article on an ectopic varix case managed with EUS.. youtu.be/HSZqj14-ZKk thieme-connect.com/products/ejour…

The pain this match has given me, it will take decades to heal it.💔😢 x.com/i/spaces/1YqKD…
Successful endoscopic ampullectomy with RFA of pancreatic duct —> RO resection.


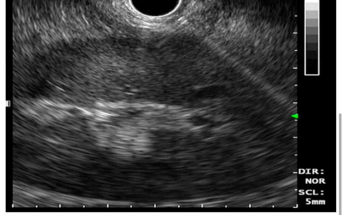
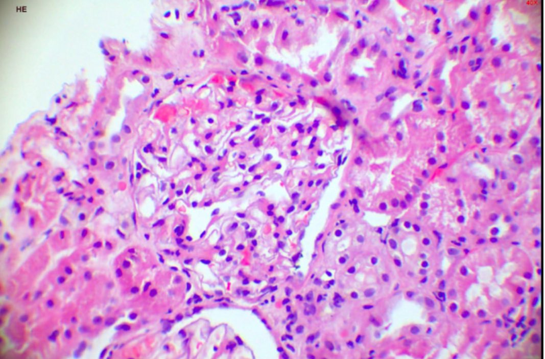
EUS guided Kidney Biopsy. Expanding the role of EUS..




Excited to win the World Cup of Endoscopy at WEO congress in Seoul, Korea. #endoscopy #WorldCup #midasendoscopy #india




😎 experience visiting @MayoClinicGIHep fellowship batchmate @saurabhmukewar at new 170 bed Midas Gastro hospital at Nagpur, Maharashtra. State of the art endo rooms with AI, electronic med records, Rad PACS, IBD IUS, & training GIs from Middle east/Africa! So proud of you buddy!




Happy Republic Day! On this special day, let's cherish the diversity that makes our nation unique. #RepublicDay2024 celebrations at Midas Hospital.
Delighted to meet my mentor who taught me all about liver diseases - Dr. Patrick Kamath at CHBD conference in New Delhi.

Chronic Pancreatitis or IPMN ? Morey Forceps Come to Rescue.. What's your experience with Morey Forceps? @DrLakhtakia @docdhir @drsridhars @DouglasAdlerMD
Midas CME on Pancreas Wednesday, August 23rd at 9:15p Registration Link: us06web.zoom.us/webinar/regist…

🔖 in @GIE_Journal ➡️Clinical Outcomes and Learning Curve for #ERCP During Advanced Training: Supine vs Prone Positioning 🖊️ on Twitter: @DannyIssaMD @ReemSharaiha @tabdelfattahmd @TabibianMDPhD @Qaisdawod @enaddawod @saurabhmukewar @dcarrlocke et al sciencedirect.com/science/articl…
VideoGIE Editor's Choice: “Long per-rectal endoscopic myotomy for a case of Hirchsprung’s disease” by Akshay Kulkarni et al. videogie.org/article/S2468-… @SaurabhMukewar

VideoGIE Original Article presented on the Endoscopedia blog: "Long per-rectal endoscopic myotomy for a case of Hirchsprung’s disease" by Akshay Kulkarni endoscopedia.com/2023/06/19/kul… @SaurabhMukewar

United States Trends
- 1. Butker 5,023 posts
- 2. Goff 7,540 posts
- 3. Lions 50.6K posts
- 4. Lions 50.6K posts
- 5. Baker 43.3K posts
- 6. #OnePride 2,927 posts
- 7. 49ers 40.1K posts
- 8. #TNABoundForGlory 15.5K posts
- 9. Ty Dillon N/A
- 10. #BNBdip N/A
- 11. Bucs 13.6K posts
- 12. Dan Campbell 1,440 posts
- 13. Packers 36.2K posts
- 14. #DETvsKC 1,355 posts
- 15. #SNFonNBC N/A
- 16. Fred Warner 15.7K posts
- 17. Denny 4,800 posts
- 18. Flacco 13.1K posts
- 19. George Springer 3,036 posts
- 20. Byron 6,303 posts
You might like
-
Indian Journal of Gastroenterology
@IJG_Journal -
Ajay Duseja
@ajay_duseja -
Rakesh Kalapala
@RakeshKalapala1 -
Journal of Gastrointestinal Infections
@jgijournal -
Amol Bapaye
@amolbapaye -
Sridhar Sundaram MD, DM, FISG
@drsridhars -
CCF(India)
@CCF_IN -
Suprabhat Giri
@giri_gutnliver -
Partha Pal
@ibd_pal -
Dr Kaushal Madan
@DrKaushalMadan1 -
Akash Roy
@RoyAHep -
Jahnvi Dhar
@DharJahnvi -
Sundeep Lakhtakia
@DrLakhtakia -
vinay dhir
@docdhir -
Akash Mathur
@drakashmathur
Something went wrong.
Something went wrong.