seth_uretsky's profile picture. Director of Cardiovascular Imaging @ Atlantic Health System , Multimodality imager, Prof of Med, Thomas Jeff University

Seth Uretsky

@seth_uretsky

Director of Cardiovascular Imaging @ Atlantic Health System , Multimodality imager, Prof of Med, Thomas Jeff University

Seth Uretsky a reposté

In this industry sponsored episode, host @PraveenRangana9 speaks with @seth_uretsky from Morristown Medical Center about the growth of their multimodality cardiac imaging program. Tune in and enjoy! This episode is sponsored by @GEHealthCare ow.ly/Tvvi50WGCuZ

Heart_SCCT's tweet image. In this industry sponsored episode, host @PraveenRangana9 speaks with @seth_uretsky from Morristown Medical Center about the growth of their multimodality cardiac imaging program. Tune in and enjoy!

This episode is sponsored by @GEHealthCare

ow.ly/Tvvi50WGCuZ

Seth Uretsky a reposté

New #CVNuc #ThinkPET case poll! 68-yr-old man with history of prior multivessel PCI undergoes regadenoson F-18 flurpiridaz PET MPI to evaluate refractory angina. What do the imaging findings show? Vote below.

MyASNC's tweet image. New #CVNuc #ThinkPET case poll! 68-yr-old man with history of prior multivessel PCI undergoes regadenoson F-18 flurpiridaz PET MPI to evaluate refractory angina. What do the imaging findings show?  Vote below.
MyASNC's tweet image. New #CVNuc #ThinkPET case poll! 68-yr-old man with history of prior multivessel PCI undergoes regadenoson F-18 flurpiridaz PET MPI to evaluate refractory angina. What do the imaging findings show?  Vote below.

Seth Uretsky a reposté

New #CVNuc #ThinkPET case poll: 69-year-old male with known CAD and chest pain underwent adenosine 15O- H2O PET. What is your interpretation? Vote below.

MyASNC's tweet image. New #CVNuc #ThinkPET case poll:  69-year-old male with known CAD and chest pain underwent adenosine 15O- H2O PET. What is your interpretation? Vote below.
MyASNC's tweet image. New #CVNuc #ThinkPET case poll:  69-year-old male with known CAD and chest pain underwent adenosine 15O- H2O PET. What is your interpretation? Vote below.

Seth Uretsky a reposté

Spectral Doppler tracings provide important hemodynamic insights. This book is dedicated to interpretation of spectral Doppler recordings, similar to EKG books focused on EKG interpretation. Examples of some spectral Doppler patterns which may not be widely known: Notched aortic…

argulian's tweet image. Spectral Doppler tracings provide important hemodynamic insights. This book is dedicated to interpretation of spectral Doppler recordings, similar to EKG books focused on EKG interpretation. Examples of some spectral Doppler patterns which may not be widely known:

Notched aortic…

Seth Uretsky a reposté

I'm thrilled to announce the publication of our multi-societal expert consensus statement (tinyurl.com/mr3c28vf) on the safe administration of ultrasound contrast, now published in @EchoResPract @icus_society @ASE360


Seth Uretsky a reposté

Imagine if your patients had their implant cards sent to their #iPhone immed’ly after their #RadialFirst coronary stent or #TAVR? Implants stored forever with legible, durable, transferable data that may prove essential. Stent size/length & serial number on back!

CardiacConsult's tweet image. Imagine if your patients had their implant cards sent to their #iPhone immed’ly after their #RadialFirst coronary stent or #TAVR? Implants stored forever with legible, durable, transferable data that may prove essential. Stent size/length & serial number on back!
CardiacConsult's tweet image. Imagine if your patients had their implant cards sent to their #iPhone immed’ly after their #RadialFirst coronary stent or #TAVR? Implants stored forever with legible, durable, transferable data that may prove essential. Stent size/length & serial number on back!
CardiacConsult's tweet image. Imagine if your patients had their implant cards sent to their #iPhone immed’ly after their #RadialFirst coronary stent or #TAVR? Implants stored forever with legible, durable, transferable data that may prove essential. Stent size/length & serial number on back!

Seth Uretsky a reposté

What is the likely cause of the patient's chest pain? Vote now. Case posted next week on ASNC.org.


Seth Uretsky a reposté

👉#whyCMR in Mitral regurgitation! Significant strides in cardiovascular imaging: 'The relationship between symptoms and regurgitant severity in primary mitral regurgitation: a CMR study.' by @seth_uretsky Explore in #IJCVI! 👇 doi.org/10.1007/s10554… @IJCVImaging


Seth Uretsky a reposté

💡 Ready to witness the future of cardiovascular #innovation? Join @PhilGenereuxMD as he unveils the highly anticipated results of the EARLY TAVR trial, debuting on Monday, October 28! Get an exclusive look at first-time presentations of key clinical trials and groundbreaking…



Seth Uretsky a reposté

💗to announce we have just received an $8.7 Million NIH grant to study arrhythmic mitral valve prolapse using cardiac MRI! We are recruiting for research scholars interested in joining our group to help us better understand this condition. @SCMRorg @ASE360 @NIHFunding

DipanJShah's tweet image. 💗to announce we have just received an $8.7 Million NIH grant to study arrhythmic mitral valve prolapse using cardiac MRI!  We are recruiting for research scholars interested in joining our group to help us better understand this condition. @SCMRorg @ASE360 @NIHFunding
DipanJShah's tweet image. 💗to announce we have just received an $8.7 Million NIH grant to study arrhythmic mitral valve prolapse using cardiac MRI!  We are recruiting for research scholars interested in joining our group to help us better understand this condition. @SCMRorg @ASE360 @NIHFunding

Seth Uretsky a reposté

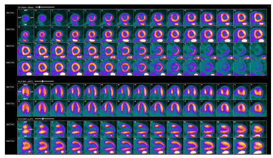
New #CVNuc #ThinkPET case poll! 78-year-old woman with hypertension, dyslipidemia & TIA undergoes SPECT and subsequent F-18 flurpiridaz PET for evaluation of dyspnea. What best describes the SPECT and PET image findings? Vote below. @JNCjournal @PETpartnership @CardioNerds

MyASNC's tweet image. New #CVNuc #ThinkPET case poll! 78-year-old woman with hypertension, dyslipidemia & TIA undergoes SPECT and subsequent F-18 flurpiridaz PET for evaluation of dyspnea. What best describes the SPECT and PET image findings? Vote below. 
@JNCjournal @PETpartnership @CardioNerds
MyASNC's tweet image. New #CVNuc #ThinkPET case poll! 78-year-old woman with hypertension, dyslipidemia & TIA undergoes SPECT and subsequent F-18 flurpiridaz PET for evaluation of dyspnea. What best describes the SPECT and PET image findings? Vote below. 
@JNCjournal @PETpartnership @CardioNerds

Seth Uretsky a reposté

Great presentations at NJACC annual Best of ACC 2024 sessions!

ppsengupta1's tweet image. Great presentations at NJACC annual Best of ACC 2024 sessions!
ppsengupta1's tweet image. Great presentations at NJACC annual Best of ACC 2024 sessions!
ppsengupta1's tweet image. Great presentations at NJACC annual Best of ACC 2024 sessions!
ppsengupta1's tweet image. Great presentations at NJACC annual Best of ACC 2024 sessions!

Seth Uretsky a reposté

A great night at this years Best of ACC dinner program! Thank you to our speakers @HadleyWilsonMD @RBP0612 @ppsengupta1 @YantingWangMD @seth_uretsky Sergio Waxman & Matt Montgomery.

NJACC's tweet image. A great night at this years Best of ACC dinner program! Thank you to our speakers @HadleyWilsonMD @RBP0612 @ppsengupta1 @YantingWangMD @seth_uretsky Sergio Waxman & Matt Montgomery.
NJACC's tweet image. A great night at this years Best of ACC dinner program! Thank you to our speakers @HadleyWilsonMD @RBP0612 @ppsengupta1 @YantingWangMD @seth_uretsky Sergio Waxman & Matt Montgomery.
NJACC's tweet image. A great night at this years Best of ACC dinner program! Thank you to our speakers @HadleyWilsonMD @RBP0612 @ppsengupta1 @YantingWangMD @seth_uretsky Sergio Waxman & Matt Montgomery.
NJACC's tweet image. A great night at this years Best of ACC dinner program! Thank you to our speakers @HadleyWilsonMD @RBP0612 @ppsengupta1 @YantingWangMD @seth_uretsky Sergio Waxman & Matt Montgomery.

Seth Uretsky a reposté

New #CVNuc #ThinkPET case: 71-yr male, prior smoker, HLD, preop eval for AAA repair -> chest pain; cath reveals LAD CTO. What does subsequent PET show? Vote below. @JNCjournal @CardioNerds @BCIS_uk @PETpartnership

MyASNC's tweet image. New #CVNuc #ThinkPET case: 71-yr male, prior smoker, HLD, preop eval for AAA repair -> chest pain; cath reveals LAD CTO. What does subsequent PET show? Vote below. 
@JNCjournal @CardioNerds @BCIS_uk @PETpartnership
MyASNC's tweet image. New #CVNuc #ThinkPET case: 71-yr male, prior smoker, HLD, preop eval for AAA repair -> chest pain; cath reveals LAD CTO. What does subsequent PET show? Vote below. 
@JNCjournal @CardioNerds @BCIS_uk @PETpartnership

Seth Uretsky a reposté

Morristown medical center - first single center to do 5000 TAVRs @PhilGenereuxMD @KKoulogiannis @morristownheart @AtlanticHealth #tavr @TAVRBot


Seth Uretsky a reposté

Seth Uretsky a reposté

Flow Imaging is an important part of CMR examination - key note talk by @vass_vassiliou at the #cmr24! Confirmed by the legendary @seth_uretsky as the Chair of the session!

HEARTinMagnet's tweet image. Flow Imaging is an important part of CMR examination - key note talk by @vass_vassiliou at the #cmr24!
Confirmed by the legendary @seth_uretsky as the Chair of the session!

Seth Uretsky a reposté

Excellent talks at CMR and structural intervention Session at 2024 SCMR congress in London with @JoaoLCavalcante bernard prendergast, jerremy collins, @seth_uretsky @ReinstadlerSJ. @Dr_ATeis @whyCMR

Dr_ATeis's tweet image. Excellent talks at CMR and structural intervention Session at 2024 SCMR congress in London  with @JoaoLCavalcante bernard prendergast, jerremy collins, @seth_uretsky @ReinstadlerSJ. @Dr_ATeis @whyCMR

Loading...

Something went wrong.


Something went wrong.