Mechanical Subpulmonary Support in Fontan Circulation: A Juvenile Porcine Experimental Model ASAIO Journal 71(11):p 938-943, November 2025. | DOI: 10.1097/MAT.0000000000002427 ow.ly/2tE950Xr2GN #ASAIO

asaiojournal's tweet image. Mechanical Subpulmonary Support in Fontan Circulation: A Juvenile Porcine Experimental Model
ASAIO Journal 71(11):p 938-943, November 2025. | DOI: 10.1097/MAT.0000000000002427
ow.ly/2tE950Xr2GN 
#ASAIO

ELSO 2025 Narrative Guideline on Pregnant and Peripartum Extracorporeal Membrane Oxygenation ASAIO Journal 71(11):p 875-887, November 2025. | DOI: 10.1097/MAT.0000000000002556 ow.ly/wuaR50Xpe8k #ASAIO #ELSO

asaiojournal's tweet image. ELSO 2025 Narrative Guideline on Pregnant and Peripartum Extracorporeal Membrane Oxygenation
ASAIO Journal 71(11):p 875-887, November 2025. | DOI: 10.1097/MAT.0000000000002556
ow.ly/wuaR50Xpe8k 
#ASAIO
#ELSO

Relationship of PAD and Use of TMCS on Outcomes Post-LVAD: A Case Series of 197 Patients ASAIO Journal 71(11):p 912-917, November 2025. | DOI: 10.1097/MAT.0000000000002428 ow.ly/xs1650XqEII #ASAIO

asaiojournal's tweet image. Relationship of PAD and Use of TMCS on Outcomes Post-LVAD: A Case Series of 197 Patients
ASAIO Journal 71(11):p 912-917, November 2025. | DOI: 10.1097/MAT.0000000000002428
ow.ly/xs1650XqEII 
#ASAIO

The Readability of Extracorporeal Membrane Oxygenation Patient Education Materials ASAIO Journal 71(11):p 932-937, November 2025. | DOI: 10.1097/MAT.0000000000002425 ow.ly/1VqY50Xr2r8 #ASAIO

asaiojournal's tweet image. The Readability of Extracorporeal Membrane Oxygenation Patient Education Materials
ASAIO Journal 71(11):p 932-937, November 2025. | DOI: 10.1097/MAT.0000000000002425
ow.ly/1VqY50Xr2r8 
#ASAIO

Impeller Position in a Magnetically Levitated Rotodynamic Blood Pump and Its Impact on In-Silico Hemocompatibility ASAIO Journal 71(11):p 905-911, November 2025. | DOI: 10.1097/MAT.0000000000002434 ow.ly/5Srx50XqE2C #ASAIO

asaiojournal's tweet image. Impeller Position in a Magnetically Levitated Rotodynamic Blood Pump and Its Impact on In-Silico Hemocompatibility
ASAIO Journal 71(11):p 905-911, November 2025. | DOI: 10.1097/MAT.0000000000002434
ow.ly/5Srx50XqE2C 
#ASAIO

All things MCS & innovation at the #ASAIO conference this week. Excited about the invigorating future of #AHFTC and grateful for the opportunity to present our research under the mentorship of @SuguruOhira !

ShazliKhanMD's tweet image. All things MCS & innovation at the #ASAIO conference this week. Excited about the invigorating future of #AHFTC and grateful for the opportunity to present our research under the mentorship of @SuguruOhira !
ShazliKhanMD's tweet image. All things MCS & innovation at the #ASAIO conference this week. Excited about the invigorating future of #AHFTC and grateful for the opportunity to present our research under the mentorship of @SuguruOhira !
ShazliKhanMD's tweet image. All things MCS & innovation at the #ASAIO conference this week. Excited about the invigorating future of #AHFTC and grateful for the opportunity to present our research under the mentorship of @SuguruOhira !
ShazliKhanMD's tweet image. All things MCS & innovation at the #ASAIO conference this week. Excited about the invigorating future of #AHFTC and grateful for the opportunity to present our research under the mentorship of @SuguruOhira !

Risk Prediction of Post-Transplant Lymphoproliferative Disease in Heart Transplant Patients ASAIO Journal 71(11):p 924-931, November 2025. | DOI: 10.1097/MAT.0000000000002433 ow.ly/aN8S50Xr2iR #ASAIO

asaiojournal's tweet image. Risk Prediction of Post-Transplant Lymphoproliferative Disease in Heart Transplant Patients
ASAIO Journal 71(11):p 924-931, November 2025. | DOI: 10.1097/MAT.0000000000002433
ow.ly/aN8S50Xr2iR
#ASAIO

Acute Hemodynamic and Echocardiographic Consequences of Impella 5.5 Placement in Patients With Advanced Cardiogenic Shock ASAIO Journal 71(10):p 807-813, October 2025. | DOI: 10.1097/MAT.0000000000002436 ow.ly/bwzB50XhssU #ASAIO

asaiojournal's tweet image. Acute Hemodynamic and Echocardiographic Consequences of Impella 5.5 Placement in Patients With Advanced Cardiogenic Shock
ASAIO Journal 71(10):p 807-813, October 2025. | DOI: 10.1097/MAT.0000000000002436
ow.ly/bwzB50XhssU 
#ASAIO

From Imaging to Insight: Sarcopenia as a Marker of Venoarterial Extracorporeal Membrane Oxygenation Mortality in Postcardiotomy Shock ASAIO Journal 71(11):p 897-904, November 2025. | DOI: 10.1097/MAT.0000000000002426 ow.ly/Fo6J50XpeZA #ASAIO

asaiojournal's tweet image. From Imaging to Insight: Sarcopenia as a Marker of Venoarterial Extracorporeal Membrane Oxygenation Mortality in Postcardiotomy Shock
ASAIO Journal 71(11):p 897-904, November 2025. | DOI: 10.1097/MAT.0000000000002426
ow.ly/Fo6J50XpeZA
#ASAIO

ASAIO J's new Impact Factor is 3.862. As one of the section editors of #ASAIO journal’s Social Media Council, I request to have a quick look-back on Jan 2023 first Issue before we publish our Feb issue soon. @asaiojournal @jaimtriv @FOAMecmo @BCM_Surgery @BCMFromtheLabs


Open Direct Beating-Heart Atrioseptostomy: Left Heart Unloading Under Extracorporeal Life Support ASAIO Journal 71(10):p e141-e143, October 2025. | DOI: 10.1097/MAT.0000000000002492 journals.lww.com/asaiojournal/f… #ASAIO

asaiojournal's tweet image. Open Direct Beating-Heart Atrioseptostomy: Left Heart Unloading Under Extracorporeal Life Support
ASAIO Journal 71(10):p e141-e143, October 2025. | DOI: 10.1097/MAT.0000000000002492
journals.lww.com/asaiojournal/f… 
#ASAIO

Evaluating Heart Transplant Outcomes Using the SherpaPak Heart Storage System ASAIO Journal 71(11):p 918-923, November 2025. | DOI: 10.1097/MAT.0000000000002431 ow.ly/Jf5w50XqF0V #ASAIO


ELSO 2025 Narrative Guideline on the Use of ECMO for Accidental Hypothermia ASAIO Journal ():10.1097/MAT.0000000000002557, October 22, 2025. | DOI: 10.1097/MAT.0000000000002557 ow.ly/YbRg50XhVgo #ASAIO #ELSO

asaiojournal's tweet image. ELSO 2025 Narrative Guideline on the Use of ECMO for Accidental Hypothermia
ASAIO Journal ():10.1097/MAT.0000000000002557, October 22, 2025. | DOI: 10.1097/MAT.0000000000002557
ow.ly/YbRg50XhVgo 
#ASAIO
#ELSO

Thankful for the opportunity to present our work on #UNOS heart allocation policy on status 1 and 2 extensions at #ASAIO Thank you @jaimtriv and @UofL_cts for their mentorship!

Toyokazu_Endo's tweet image. Thankful for the opportunity to present our work on #UNOS heart allocation policy on status 1 and 2 extensions at #ASAIO 

Thank you @jaimtriv and @UofL_cts for their mentorship!

Anticoagulate the Circuit, Not the Patient: Nitric Oxide Reduces Thrombus Formation During Extracorporeal Carbon Dioxide Removal ASAIO Journal 71(10):p 849-860, October 2025. | DOI: 10.1097/MAT.0000000000002490 journals.lww.com/asaiojournal/f… #ASAIO

asaiojournal's tweet image. Anticoagulate the Circuit, Not the Patient: Nitric Oxide Reduces Thrombus Formation During Extracorporeal Carbon Dioxide Removal
ASAIO Journal 71(10):p 849-860, October 2025. | DOI: 10.1097/MAT.0000000000002490
journals.lww.com/asaiojournal/f… 
#ASAIO

Authors’ Reply to “Improving the Safety of Circuit Changes During Venovenous Extracorporeal Membrane Oxygenation” ASAIO Journal 71(10):p e156-e157, October 2025. | DOI: 10.1097/MAT.0000000000002497 ow.ly/TxUk50XkgeQ #ASAIO

asaiojournal's tweet image. Authors’ Reply to “Improving the Safety of Circuit Changes During Venovenous Extracorporeal Membrane Oxygenation”
ASAIO Journal 71(10):p e156-e157, October 2025. | DOI: 10.1097/MAT.0000000000002497
ow.ly/TxUk50XkgeQ 
#ASAIO

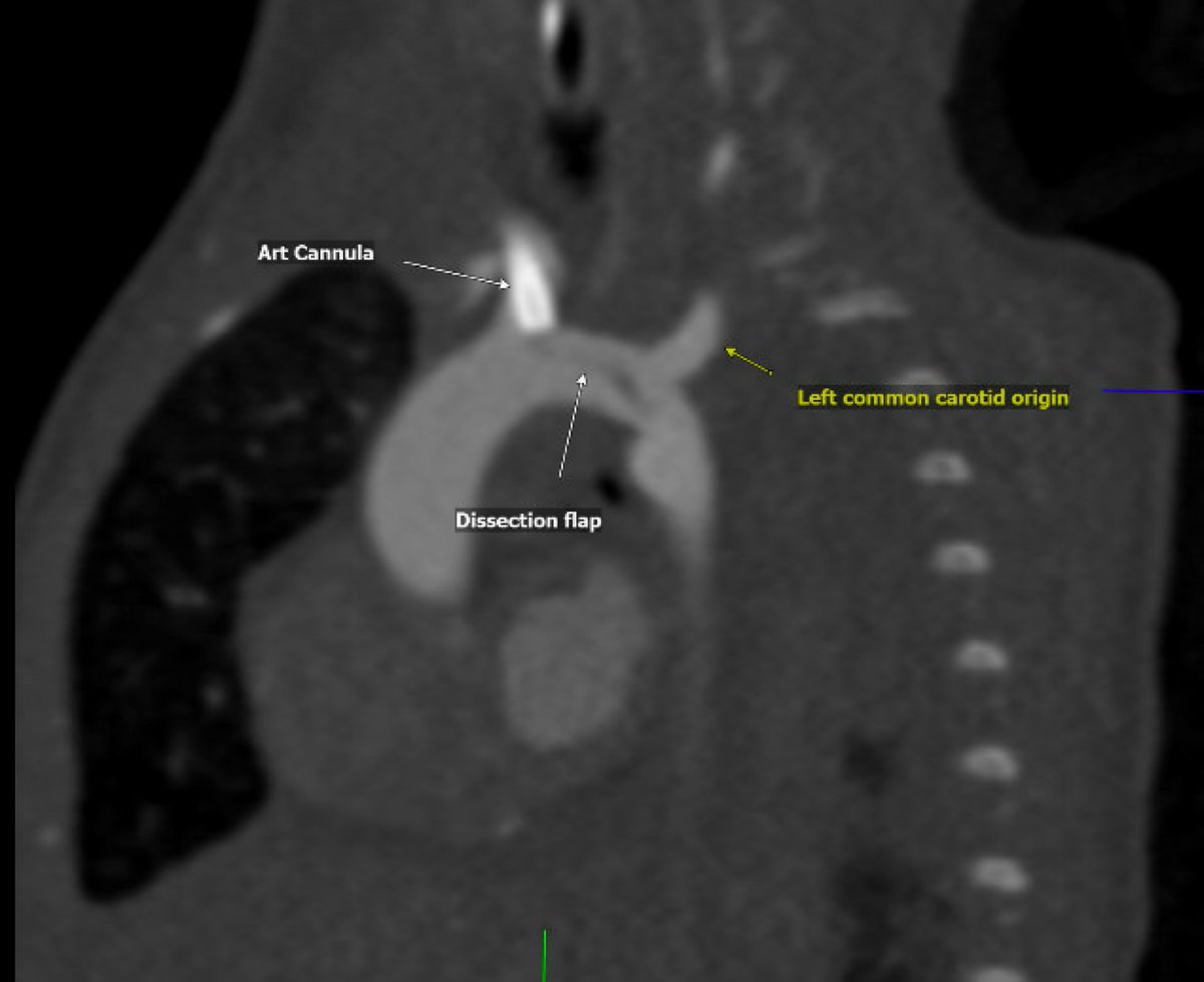
Aortic Dissection in a Neonate Receiving Extracorporeal Life Support Therapy: A Case Report ASAIO Journal 71(10):p e144-e146, October 2025. | DOI: 10.1097/MAT.0000000000002306 journals.lww.com/asaiojournal/f… #ASAIO

asaiojournal's tweet image. Aortic Dissection in a Neonate Receiving Extracorporeal Life Support Therapy: A Case Report
ASAIO Journal 71(10):p e144-e146, October 2025. | DOI: 10.1097/MAT.0000000000002306
journals.lww.com/asaiojournal/f… 
#ASAIO

Bridging to Heart Transplantation With Intraaortic Balloon Pump Versus Impella 5.5 ASAIO Journal 71(10):p 800-806, October 2025. | DOI: 10.1097/MAT.0000000000002432 ow.ly/vSbe50Xhs3Q #ASAIO


Computers in Cardiac Surgery Holman, William L.; Davies, James E. ASAIO Journal 71(10):p 861-864, October 2025. | DOI: 10.1097/MAT.0000000000002441 ow.ly/HSjc50XhVRm #ASAIO

asaiojournal's tweet image. Computers in Cardiac Surgery
Holman, William L.; Davies, James E.
ASAIO Journal 71(10):p 861-864, October 2025. | DOI: 10.1097/MAT.0000000000002441
ow.ly/HSjc50XhVRm 
#ASAIO

Mechanical Subpulmonary Support in Fontan Circulation: A Juvenile Porcine Experimental Model ASAIO Journal 71(11):p 938-943, November 2025. | DOI: 10.1097/MAT.0000000000002427 ow.ly/2tE950Xr2GN #ASAIO

asaiojournal's tweet image. Mechanical Subpulmonary Support in Fontan Circulation: A Juvenile Porcine Experimental Model
ASAIO Journal 71(11):p 938-943, November 2025. | DOI: 10.1097/MAT.0000000000002427
ow.ly/2tE950Xr2GN 
#ASAIO

The Readability of Extracorporeal Membrane Oxygenation Patient Education Materials ASAIO Journal 71(11):p 932-937, November 2025. | DOI: 10.1097/MAT.0000000000002425 ow.ly/1VqY50Xr2r8 #ASAIO

asaiojournal's tweet image. The Readability of Extracorporeal Membrane Oxygenation Patient Education Materials
ASAIO Journal 71(11):p 932-937, November 2025. | DOI: 10.1097/MAT.0000000000002425
ow.ly/1VqY50Xr2r8 
#ASAIO

Risk Prediction of Post-Transplant Lymphoproliferative Disease in Heart Transplant Patients ASAIO Journal 71(11):p 924-931, November 2025. | DOI: 10.1097/MAT.0000000000002433 ow.ly/aN8S50Xr2iR #ASAIO

asaiojournal's tweet image. Risk Prediction of Post-Transplant Lymphoproliferative Disease in Heart Transplant Patients
ASAIO Journal 71(11):p 924-931, November 2025. | DOI: 10.1097/MAT.0000000000002433
ow.ly/aN8S50Xr2iR
#ASAIO

Evaluating Heart Transplant Outcomes Using the SherpaPak Heart Storage System ASAIO Journal 71(11):p 918-923, November 2025. | DOI: 10.1097/MAT.0000000000002431 ow.ly/Jf5w50XqF0V #ASAIO


Relationship of PAD and Use of TMCS on Outcomes Post-LVAD: A Case Series of 197 Patients ASAIO Journal 71(11):p 912-917, November 2025. | DOI: 10.1097/MAT.0000000000002428 ow.ly/xs1650XqEII #ASAIO

asaiojournal's tweet image. Relationship of PAD and Use of TMCS on Outcomes Post-LVAD: A Case Series of 197 Patients
ASAIO Journal 71(11):p 912-917, November 2025. | DOI: 10.1097/MAT.0000000000002428
ow.ly/xs1650XqEII 
#ASAIO

Impeller Position in a Magnetically Levitated Rotodynamic Blood Pump and Its Impact on In-Silico Hemocompatibility ASAIO Journal 71(11):p 905-911, November 2025. | DOI: 10.1097/MAT.0000000000002434 ow.ly/5Srx50XqE2C #ASAIO

asaiojournal's tweet image. Impeller Position in a Magnetically Levitated Rotodynamic Blood Pump and Its Impact on In-Silico Hemocompatibility
ASAIO Journal 71(11):p 905-911, November 2025. | DOI: 10.1097/MAT.0000000000002434
ow.ly/5Srx50XqE2C 
#ASAIO

From Imaging to Insight: Sarcopenia as a Marker of Venoarterial Extracorporeal Membrane Oxygenation Mortality in Postcardiotomy Shock ASAIO Journal 71(11):p 897-904, November 2025. | DOI: 10.1097/MAT.0000000000002426 ow.ly/Fo6J50XpeZA #ASAIO

asaiojournal's tweet image. From Imaging to Insight: Sarcopenia as a Marker of Venoarterial Extracorporeal Membrane Oxygenation Mortality in Postcardiotomy Shock
ASAIO Journal 71(11):p 897-904, November 2025. | DOI: 10.1097/MAT.0000000000002426
ow.ly/Fo6J50XpeZA
#ASAIO

Clinical Relevance of Platelet-Leukocyte Aggregates and Platelet P-Selectin Expression During Venovenous Extracorporeal Membrane Oxygenation ASAIO Journal 71(11):p 888-896, November 2025. | DOI: 10.1097/MAT.0000000000002421 journals.lww.com/asaiojournal/f… #ASAIO

asaiojournal's tweet image. Clinical Relevance of Platelet-Leukocyte Aggregates and Platelet P-Selectin Expression During Venovenous Extracorporeal Membrane Oxygenation
ASAIO Journal 71(11):p 888-896, November 2025. | DOI: 10.1097/MAT.0000000000002421
journals.lww.com/asaiojournal/f… 
#ASAIO

ELSO 2025 Narrative Guideline on Pregnant and Peripartum Extracorporeal Membrane Oxygenation ASAIO Journal 71(11):p 875-887, November 2025. | DOI: 10.1097/MAT.0000000000002556 ow.ly/wuaR50Xpe8k #ASAIO #ELSO

asaiojournal's tweet image. ELSO 2025 Narrative Guideline on Pregnant and Peripartum Extracorporeal Membrane Oxygenation
ASAIO Journal 71(11):p 875-887, November 2025. | DOI: 10.1097/MAT.0000000000002556
ow.ly/wuaR50Xpe8k 
#ASAIO
#ELSO

ELSO 2025 Narrative Guideline on the Use of ECMO for Accidental Hypothermia ASAIO Journal 71(11):p 865-874, November 2025. | DOI: 10.1097/MAT.0000000000002557 journals.lww.com/asaiojournal/f… #ASAIO #ELSO

asaiojournal's tweet image. ELSO 2025 Narrative Guideline on the Use of ECMO for Accidental Hypothermia
ASAIO Journal 71(11):p 865-874, November 2025. | DOI: 10.1097/MAT.0000000000002557
journals.lww.com/asaiojournal/f… 
#ASAIO
#ELSO

Authors’ Reply to “Improving the Safety of Circuit Changes During Venovenous Extracorporeal Membrane Oxygenation” ASAIO Journal 71(10):p e156-e157, October 2025. | DOI: 10.1097/MAT.0000000000002497 ow.ly/TxUk50XkgeQ #ASAIO

asaiojournal's tweet image. Authors’ Reply to “Improving the Safety of Circuit Changes During Venovenous Extracorporeal Membrane Oxygenation”
ASAIO Journal 71(10):p e156-e157, October 2025. | DOI: 10.1097/MAT.0000000000002497
ow.ly/TxUk50XkgeQ 
#ASAIO

Improving the Safety of Circuit Changes During Venovenous Extracorporeal Membrane Oxygenation Conrad, Steven A.; Siddiqui, Najam A.; Dominguez, Anibal A.; Sharma, Arunima ASAIO Journal 71(10):p e155, October 2025. | DOI: 10.1097/MAT.0000000000002496 ow.ly/YqQb50Xkg5O #ASAIO


Reply Letter to “Reassessing the Chill: A Critical Perspective on SherpaPak Versus Ice Storage in Heart Transplantation” ASAIO Journal 71(10):p e154, October 2025. | DOI: 10.1097/MAT.0000000000002488 journals.lww.com/asaiojournal/f… #ASAIO


Reassessing the Chill: A Critical Perspective on SherpaPak Versus Ice Storage in Heart Transplantation Hassan, Ibrahim Nagmeldin MBBS ASAIO Journal 71(10):p e153, October 2025. | DOI: 10.1097/MAT.0000000000002481 ow.ly/tLOA50XkfBl #ASAIO


Intraoperative Epoprostenol in Type II Heparin-Induced Thrombocytopenia During Left-Ventricular Assist Device Implantation: A Case Series and Review of Literature ASAIO Journal 71(10):p e147-e152, October 2025. | DOI: 10.1097/MAT.0000000000002356 ow.ly/LZgy50Xkfxc #ASAIO

asaiojournal's tweet image. Intraoperative Epoprostenol in Type II Heparin-Induced Thrombocytopenia During Left-Ventricular Assist Device Implantation: A Case Series and Review of Literature
ASAIO Journal 71(10):p e147-e152, October 2025. | DOI: 10.1097/MAT.0000000000002356
ow.ly/LZgy50Xkfxc
#ASAIO

Aortic Dissection in a Neonate Receiving Extracorporeal Life Support Therapy: A Case Report ASAIO Journal 71(10):p e144-e146, October 2025. | DOI: 10.1097/MAT.0000000000002306 journals.lww.com/asaiojournal/f… #ASAIO

asaiojournal's tweet image. Aortic Dissection in a Neonate Receiving Extracorporeal Life Support Therapy: A Case Report
ASAIO Journal 71(10):p e144-e146, October 2025. | DOI: 10.1097/MAT.0000000000002306
journals.lww.com/asaiojournal/f… 
#ASAIO

Open Direct Beating-Heart Atrioseptostomy: Left Heart Unloading Under Extracorporeal Life Support ASAIO Journal 71(10):p e141-e143, October 2025. | DOI: 10.1097/MAT.0000000000002492 journals.lww.com/asaiojournal/f… #ASAIO

asaiojournal's tweet image. Open Direct Beating-Heart Atrioseptostomy: Left Heart Unloading Under Extracorporeal Life Support
ASAIO Journal 71(10):p e141-e143, October 2025. | DOI: 10.1097/MAT.0000000000002492
journals.lww.com/asaiojournal/f… 
#ASAIO

Computers in Cardiac Surgery Holman, William L.; Davies, James E. ASAIO Journal 71(10):p 861-864, October 2025. | DOI: 10.1097/MAT.0000000000002441 ow.ly/HSjc50XhVRm #ASAIO

asaiojournal's tweet image. Computers in Cardiac Surgery
Holman, William L.; Davies, James E.
ASAIO Journal 71(10):p 861-864, October 2025. | DOI: 10.1097/MAT.0000000000002441
ow.ly/HSjc50XhVRm 
#ASAIO

Anticoagulate the Circuit, Not the Patient: Nitric Oxide Reduces Thrombus Formation During Extracorporeal Carbon Dioxide Removal ASAIO Journal 71(10):p 849-860, October 2025. | DOI: 10.1097/MAT.0000000000002490 journals.lww.com/asaiojournal/f… #ASAIO

asaiojournal's tweet image. Anticoagulate the Circuit, Not the Patient: Nitric Oxide Reduces Thrombus Formation During Extracorporeal Carbon Dioxide Removal
ASAIO Journal 71(10):p 849-860, October 2025. | DOI: 10.1097/MAT.0000000000002490
journals.lww.com/asaiojournal/f… 
#ASAIO

Racial and Sex Disparities in Incidence, Risk Factors, and Outcomes of Neonatal Extracorporeal Life Support in the United States ow.ly/of8M50XhVJH #ASAIO

asaiojournal's tweet image. Racial and Sex Disparities in Incidence, Risk Factors, and Outcomes of Neonatal Extracorporeal Life Support in the United States
ow.ly/of8M50XhVJH 
#ASAIO

Mechanical Subpulmonary Support in Fontan Circulation: A Juvenile Porcine Experimental Model ASAIO Journal 71(11):p 938-943, November 2025. | DOI: 10.1097/MAT.0000000000002427 ow.ly/2tE950Xr2GN #ASAIO

asaiojournal's tweet image. Mechanical Subpulmonary Support in Fontan Circulation: A Juvenile Porcine Experimental Model
ASAIO Journal 71(11):p 938-943, November 2025. | DOI: 10.1097/MAT.0000000000002427
ow.ly/2tE950Xr2GN 
#ASAIO

All things MCS & innovation at the #ASAIO conference this week. Excited about the invigorating future of #AHFTC and grateful for the opportunity to present our research under the mentorship of @SuguruOhira !

ShazliKhanMD's tweet image. All things MCS & innovation at the #ASAIO conference this week. Excited about the invigorating future of #AHFTC and grateful for the opportunity to present our research under the mentorship of @SuguruOhira !
ShazliKhanMD's tweet image. All things MCS & innovation at the #ASAIO conference this week. Excited about the invigorating future of #AHFTC and grateful for the opportunity to present our research under the mentorship of @SuguruOhira !
ShazliKhanMD's tweet image. All things MCS & innovation at the #ASAIO conference this week. Excited about the invigorating future of #AHFTC and grateful for the opportunity to present our research under the mentorship of @SuguruOhira !
ShazliKhanMD's tweet image. All things MCS & innovation at the #ASAIO conference this week. Excited about the invigorating future of #AHFTC and grateful for the opportunity to present our research under the mentorship of @SuguruOhira !

Thankful for the opportunity to present our work on #UNOS heart allocation policy on status 1 and 2 extensions at #ASAIO Thank you @jaimtriv and @UofL_cts for their mentorship!

Toyokazu_Endo's tweet image. Thankful for the opportunity to present our work on #UNOS heart allocation policy on status 1 and 2 extensions at #ASAIO 

Thank you @jaimtriv and @UofL_cts for their mentorship!

ELSO 2025 Narrative Guideline on the Use of ECMO for Accidental Hypothermia ASAIO Journal ():10.1097/MAT.0000000000002557, October 22, 2025. | DOI: 10.1097/MAT.0000000000002557 ow.ly/YbRg50XhVgo #ASAIO #ELSO

asaiojournal's tweet image. ELSO 2025 Narrative Guideline on the Use of ECMO for Accidental Hypothermia
ASAIO Journal ():10.1097/MAT.0000000000002557, October 22, 2025. | DOI: 10.1097/MAT.0000000000002557
ow.ly/YbRg50XhVgo 
#ASAIO
#ELSO

In this study, @MVillavicencioT, @PJSpen1982 and others discuss reduction in balloon pump size reduces axillary intraaortic balloon pump failure risk. #ASAIO bit.ly/4d7r7T9

MayoClinicCVS's tweet image. In this study, @MVillavicencioT, @PJSpen1982 and others discuss reduction in balloon pump size reduces axillary intraaortic balloon pump failure risk. #ASAIO
bit.ly/4d7r7T9

Open Direct Beating-Heart Atrioseptostomy: Left Heart Unloading Under Extracorporeal Life Support ASAIO Journal 71(10):p e141-e143, October 2025. | DOI: 10.1097/MAT.0000000000002492 journals.lww.com/asaiojournal/f… #ASAIO

asaiojournal's tweet image. Open Direct Beating-Heart Atrioseptostomy: Left Heart Unloading Under Extracorporeal Life Support
ASAIO Journal 71(10):p e141-e143, October 2025. | DOI: 10.1097/MAT.0000000000002492
journals.lww.com/asaiojournal/f… 
#ASAIO

📣#ELSO2023 Attendees: Don't miss the chance to learn the art of getting your #ECMO paper published with the one and only Dr. Mark Slaughter! Get the inside scoop and make your research stand out with exclusive insights from #ASAIO on October 1 at 9:35 AM PDT.

asaiojournal's tweet image. 📣#ELSO2023 Attendees: Don't miss the chance to learn the art of getting your #ECMO paper published with the one and only Dr. Mark Slaughter! Get the inside scoop and make your research stand out with exclusive insights from #ASAIO on October 1 at 9:35 AM PDT.

ELSO 2025 Narrative Guideline on Pregnant and Peripartum Extracorporeal Membrane Oxygenation ASAIO Journal 71(11):p 875-887, November 2025. | DOI: 10.1097/MAT.0000000000002556 ow.ly/wuaR50Xpe8k #ASAIO #ELSO

asaiojournal's tweet image. ELSO 2025 Narrative Guideline on Pregnant and Peripartum Extracorporeal Membrane Oxygenation
ASAIO Journal 71(11):p 875-887, November 2025. | DOI: 10.1097/MAT.0000000000002556
ow.ly/wuaR50Xpe8k 
#ASAIO
#ELSO

It's the first day here at @ASAIO8 @asaiojournal! If you're attending the event, we'd love to see you at our booth. Come and visit us to learn more about our exciting innovations and have a chat with our team. See you there! 👋😃 #ASAIO #ConferenceDay #BoothVisit #SynCardia #TAH

SynCardia's tweet image. It's the first day here at @ASAIO8 @asaiojournal! If you're attending the event, we'd love to see you at our booth. Come and visit us to learn more about our exciting innovations and have a chat with our team. See you there! 👋😃 #ASAIO #ConferenceDay #BoothVisit #SynCardia #TAH
SynCardia's tweet image. It's the first day here at @ASAIO8 @asaiojournal! If you're attending the event, we'd love to see you at our booth. Come and visit us to learn more about our exciting innovations and have a chat with our team. See you there! 👋😃 #ASAIO #ConferenceDay #BoothVisit #SynCardia #TAH
SynCardia's tweet image. It's the first day here at @ASAIO8 @asaiojournal! If you're attending the event, we'd love to see you at our booth. Come and visit us to learn more about our exciting innovations and have a chat with our team. See you there! 👋😃 #ASAIO #ConferenceDay #BoothVisit #SynCardia #TAH

Aortic Dissection in a Neonate Receiving Extracorporeal Life Support Therapy: A Case Report ASAIO Journal 71(10):p e144-e146, October 2025. | DOI: 10.1097/MAT.0000000000002306 journals.lww.com/asaiojournal/f… #ASAIO

asaiojournal's tweet image. Aortic Dissection in a Neonate Receiving Extracorporeal Life Support Therapy: A Case Report
ASAIO Journal 71(10):p e144-e146, October 2025. | DOI: 10.1097/MAT.0000000000002306
journals.lww.com/asaiojournal/f… 
#ASAIO

Learning about the history of dialysis from the pioneers @ASAIO8 #ASAIO #ArtificialOrgans # “A Tribute to Chris Blagg” by Dr. Stephen Ash @akkanti

SwethaKanduriMD's tweet image. Learning about the history of dialysis from the pioneers @ASAIO8 #ASAIO #ArtificialOrgans # “A Tribute to Chris Blagg” by  Dr. Stephen Ash  @akkanti
SwethaKanduriMD's tweet image. Learning about the history of dialysis from the pioneers @ASAIO8 #ASAIO #ArtificialOrgans # “A Tribute to Chris Blagg” by  Dr. Stephen Ash  @akkanti
SwethaKanduriMD's tweet image. Learning about the history of dialysis from the pioneers @ASAIO8 #ASAIO #ArtificialOrgans # “A Tribute to Chris Blagg” by  Dr. Stephen Ash  @akkanti
SwethaKanduriMD's tweet image. Learning about the history of dialysis from the pioneers @ASAIO8 #ASAIO #ArtificialOrgans # “A Tribute to Chris Blagg” by  Dr. Stephen Ash  @akkanti

Anticoagulate the Circuit, Not the Patient: Nitric Oxide Reduces Thrombus Formation During Extracorporeal Carbon Dioxide Removal ASAIO Journal 71(10):p 849-860, October 2025. | DOI: 10.1097/MAT.0000000000002490 journals.lww.com/asaiojournal/f… #ASAIO

asaiojournal's tweet image. Anticoagulate the Circuit, Not the Patient: Nitric Oxide Reduces Thrombus Formation During Extracorporeal Carbon Dioxide Removal
ASAIO Journal 71(10):p 849-860, October 2025. | DOI: 10.1097/MAT.0000000000002490
journals.lww.com/asaiojournal/f… 
#ASAIO

Relationship of PAD and Use of TMCS on Outcomes Post-LVAD: A Case Series of 197 Patients ASAIO Journal 71(11):p 912-917, November 2025. | DOI: 10.1097/MAT.0000000000002428 ow.ly/xs1650XqEII #ASAIO

asaiojournal's tweet image. Relationship of PAD and Use of TMCS on Outcomes Post-LVAD: A Case Series of 197 Patients
ASAIO Journal 71(11):p 912-917, November 2025. | DOI: 10.1097/MAT.0000000000002428
ow.ly/xs1650XqEII 
#ASAIO

Intraoperative Epoprostenol in Type II Heparin-Induced Thrombocytopenia During Left-Ventricular Assist Device Implantation: A Case Series and Review of Literature ASAIO Journal 71(10):p e147-e152, October 2025. | DOI: 10.1097/MAT.0000000000002356 ow.ly/LZgy50Xkfxc #ASAIO

asaiojournal's tweet image. Intraoperative Epoprostenol in Type II Heparin-Induced Thrombocytopenia During Left-Ventricular Assist Device Implantation: A Case Series and Review of Literature
ASAIO Journal 71(10):p e147-e152, October 2025. | DOI: 10.1097/MAT.0000000000002356
ow.ly/LZgy50Xkfxc
#ASAIO

From Imaging to Insight: Sarcopenia as a Marker of Venoarterial Extracorporeal Membrane Oxygenation Mortality in Postcardiotomy Shock ASAIO Journal 71(11):p 897-904, November 2025. | DOI: 10.1097/MAT.0000000000002426 ow.ly/Fo6J50XpeZA #ASAIO

asaiojournal's tweet image. From Imaging to Insight: Sarcopenia as a Marker of Venoarterial Extracorporeal Membrane Oxygenation Mortality in Postcardiotomy Shock
ASAIO Journal 71(11):p 897-904, November 2025. | DOI: 10.1097/MAT.0000000000002426
ow.ly/Fo6J50XpeZA
#ASAIO

Computers in Cardiac Surgery Holman, William L.; Davies, James E. ASAIO Journal 71(10):p 861-864, October 2025. | DOI: 10.1097/MAT.0000000000002441 ow.ly/HSjc50XhVRm #ASAIO

asaiojournal's tweet image. Computers in Cardiac Surgery
Holman, William L.; Davies, James E.
ASAIO Journal 71(10):p 861-864, October 2025. | DOI: 10.1097/MAT.0000000000002441
ow.ly/HSjc50XhVRm 
#ASAIO

Acute Hemodynamic and Echocardiographic Consequences of Impella 5.5 Placement in Patients With Advanced Cardiogenic Shock ASAIO Journal 71(10):p 807-813, October 2025. | DOI: 10.1097/MAT.0000000000002436 ow.ly/bwzB50XhssU #ASAIO

asaiojournal's tweet image. Acute Hemodynamic and Echocardiographic Consequences of Impella 5.5 Placement in Patients With Advanced Cardiogenic Shock
ASAIO Journal 71(10):p 807-813, October 2025. | DOI: 10.1097/MAT.0000000000002436
ow.ly/bwzB50XhssU 
#ASAIO

Final Day to Reserve Housing for ASAIO 70th Annual Conference! Reserve Here: asaio.org/conference/Hou… #ASAIO #Baltimore

ASAIO8's tweet image. Final Day to Reserve Housing for ASAIO 70th Annual Conference!

Reserve Here: asaio.org/conference/Hou…

#ASAIO #Baltimore

Register for ASAIO 70th Annual Conference held in Baltimore! Register Here: asaio.org/conference/Reg… #ASAIO #annualconference #Baltimore

ASAIO8's tweet image. Register for ASAIO 70th Annual Conference held in Baltimore!
Register Here: asaio.org/conference/Reg…
#ASAIO #annualconference #Baltimore

🌟 Big announcement! The highly anticipated @ASAIO8 @asaiojournal event in San Francisco is just around the corner, and we're thrilled to announce that SynCardia will be there as a proud sponsor! Stay tuned! #ASAIO #SanFranciscoEvent #ProudSponsor

SynCardia's tweet image. 🌟 Big announcement! The highly anticipated @ASAIO8 @asaiojournal event in San Francisco is just around the corner, and we're thrilled to announce that SynCardia will be there as a proud sponsor! Stay tuned! #ASAIO #SanFranciscoEvent #ProudSponsor

Loading...

Something went wrong.


Something went wrong.


United States Trends