#additiveorthopaedics search results
Sometimes flat feet surgery requires bone cuts to restore alignment. #3dprinting allows for unique properties of metal spacers that allow for great bone growth #techdoc #AdditiveOrthopaedics
Thanks.... @AAOSmembers @AOFAS @AOSSM_SportsMed @DukeOrtho #AdditiveOrthopaedics @28Paragon @in2bones @SAGE_Publishing #Foot&AnkleSpecialistJournal #totaltalus
We used 3D printing solutions to recreate the bone that's lost, and clear the infection beforehand. We can then proceed with a TTC fusion. Lots of bone graft and biologics to enhance healing. #3dprinting #additiveorthopaedics #innovation #newideas
#AdditiveOrthopaedics Receives 510(k) Clearance for Patient Specific 3D Printed Bone Segments orthofeed.com/2018/05/21/add… #medical #3dprinting #FootAndAnkle #extremities #FDA #implants #medtech #orthopedics
Coming this Wednesday... @DukeOrtho @AOFAS @ACFAS #limbsalvage #3dprinting #additiveorthopaedics @AAOSmembers
#AdditiveOrthopaedics Receives 510(k) Clearance for Patient Specific 3D Printed Bone Segments orthofeed.com/2018/05/21/add… #medical #3dprinting #FootAndAnkle #extremities #FDA #implants #medtech #orthopedics
Thank you #AdditiveOrthopaedics for your support of the #ParekhFamilyFoundation work to advance foot and ankle care. This patient will surely enjoy their newly aligned foot #3dprinting
Honored last night to have been part of a global webinar talking about ankle salvage and #3DPrinting. Thanks to #AdditiveOrthopaedics, Jim DeOrio, and Mark Easley for their expertise. #totaltalus #anklereplacement
Paragon 28® is excited to announce the acquisition of the assets of Additive Orthopaedics! Full Press Release: paragon28advances.com/pres.../p28-ac… Visit our dedicated site to learn more! paragon28advances.com #paragon28 #additiveorthopaedics #3Dprinted #patientspecific #footandankle
Thanks @TiEGlobal for the opportunity to discuss my experience with #3Dprinting and limb salvage. #additiveorthopaedics #cages #totaltalus #anklereplacememt @AOFAS @AAOSmembers @AOSSM_SportsMed @DukeOrtho
Thanks for the invitation to be part of the faculty talking about #3Dprinting #AdditiveOrthopaedics #LimbSalvage #totalanklereplacement #totaltalus and so much more. The future is #PatientSpecific @AAOSmembers @AOFAS @AOSSM_SportsMed
The #FDA issued a green light to New Jersey-based #AdditiveOrthopaedics under humanitarian use for the treatment of avascular necrosis #medicaldevice #medtech #implant fiercebiotech.com/medtech/fda-ap…
Our #AsimovVentures had a portfolio exit when #AdditiveOrthopaedics was sold to #Paragon28.
Additive Orthopaedics Gains FDA Approval for First 3D Printed Talus Implant dlvr.it/Rt0lcq #Medical3DPrinting #AdditiveOrthopaedics
3dprint.com
Additive Orthopaedics Gains FDA Approval for First 3D Printed Talus Implant - 3DPrint.com | The...
The U.S. Food and Drug Administration (FDA) has announced the approval of a new 3D printed implant, the Patient Specific Talus Spacer from Additive Orthopaedics. The device is described by...
The #FootandAnkleGlobalTownHall Revision Ankle Replacement March 19, 9pm est w @RothmanOrtho David Pedowitz, MD. Sponsor #AdditiveOrthopaedics Open to all. Free registeration footandanklecourse.com #ParekhFamilyFoundation @AOFAS @AAOSmembers @AOSSM #TAR #anklereplacement
Thankful to be part of this new technology that has and will change treatment options for many conditions #AdditiveManufacturing #AdditiveOrthopaedics @AOFAS
“We’re one of the leading centers in the world for 3-D talus replacement" - Dr. @seleneparekhmd uses custom 3-D printed bones to replace limbs that improve his patient's quality of life and outcomes. dukehealth.org/blog/duke-uses… #DukeHealth | @DukeOrtho
#AdditiveOrthopaedics Announces #FDA Clearance of their Patient Specific #3DPrinted Bone Segments for the Global #Extremities Market- Read the article here: prn.to/2zfcm21 #medicalsalescollege #orthopedics #medicaldevice #medicalsales #sales #medicaltech #medicaldevices
#AdditiveOrthopaedics gets FDA clearance for 3D printed plates: 3 things to know beckersspine.com/surface-techno… #Orthopedics #OrthopedicDevices #OrthopedicSurgery
Thrilled to be a guest on this podcast talking about #3dprinting #additiveorthopaedics #innovation #outofboxthinking #fantasysports @TheFantasyDRS and much more. ow.ly/GjkP30rmzXV @AOFAS @DukeOrtho
Want to know how we are using #3DPrinting for #LimbSalvage? Don't miss this session on Wednesday. hub.tie.org/e/3d-printed-i… #AdditiveOrthopaedics #TechDoc #@AAOSmembers @AOFAS @AOSSM_SportsMed @DukeOrtho
We used 3D printing solutions to recreate the bone that's lost, and clear the infection beforehand. We can then proceed with a TTC fusion. Lots of bone graft and biologics to enhance healing. #3dprinting #additiveorthopaedics #innovation #newideas
Thanks.... @AAOSmembers @AOFAS @AOSSM_SportsMed @DukeOrtho #AdditiveOrthopaedics @28Paragon @in2bones @SAGE_Publishing #Foot&AnkleSpecialistJournal #totaltalus
Our #AsimovVentures had a portfolio exit when #AdditiveOrthopaedics was sold to #Paragon28.
Thanks for the invitation to be part of the faculty talking about #3Dprinting #AdditiveOrthopaedics #LimbSalvage #totalanklereplacement #totaltalus and so much more. The future is #PatientSpecific @AAOSmembers @AOFAS @AOSSM_SportsMed
Paragon 28® is excited to announce the acquisition of the assets of Additive Orthopaedics! Full Press Release: paragon28advances.com/pres.../p28-ac… Visit our dedicated site to learn more! paragon28advances.com #paragon28 #additiveorthopaedics #3Dprinted #patientspecific #footandankle
The #FDA issued a green light to New Jersey-based #AdditiveOrthopaedics under humanitarian use for the treatment of avascular necrosis #medicaldevice #medtech #implant fiercebiotech.com/medtech/fda-ap…
Additive Orthopaedics Gains FDA Approval for First 3D Printed Talus Implant dlvr.it/Rt0lcq #Medical3DPrinting #AdditiveOrthopaedics
3dprint.com
Additive Orthopaedics Gains FDA Approval for First 3D Printed Talus Implant - 3DPrint.com | The...
The U.S. Food and Drug Administration (FDA) has announced the approval of a new 3D printed implant, the Patient Specific Talus Spacer from Additive Orthopaedics. The device is described by...
The #FootandAnkleGlobalTownHall Revision Ankle Replacement March 19, 9pm est w @RothmanOrtho David Pedowitz, MD. Sponsor #AdditiveOrthopaedics Open to all. Free registeration footandanklecourse.com #ParekhFamilyFoundation @AOFAS @AAOSmembers @AOSSM #TAR #anklereplacement
Thanks @TiEGlobal for the opportunity to discuss my experience with #3Dprinting and limb salvage. #additiveorthopaedics #cages #totaltalus #anklereplacememt @AOFAS @AAOSmembers @AOSSM_SportsMed @DukeOrtho
Want to know how we are using #3DPrinting for #LimbSalvage? Don't miss this session on Wednesday. hub.tie.org/e/3d-printed-i… #AdditiveOrthopaedics #TechDoc #@AAOSmembers @AOFAS @AOSSM_SportsMed @DukeOrtho
Coming this Wednesday... @DukeOrtho @AOFAS @ACFAS #limbsalvage #3dprinting #additiveorthopaedics @AAOSmembers
Thrilled to be a guest on this podcast talking about #3dprinting #additiveorthopaedics #innovation #outofboxthinking #fantasysports @TheFantasyDRS and much more. ow.ly/GjkP30rmzXV @AOFAS @DukeOrtho
Thankful to be part of this new technology that has and will change treatment options for many conditions #AdditiveManufacturing #AdditiveOrthopaedics @AOFAS
“We’re one of the leading centers in the world for 3-D talus replacement" - Dr. @seleneparekhmd uses custom 3-D printed bones to replace limbs that improve his patient's quality of life and outcomes. dukehealth.org/blog/duke-uses… #DukeHealth | @DukeOrtho
Honored last night to have been part of a global webinar talking about ankle salvage and #3DPrinting. Thanks to #AdditiveOrthopaedics, Jim DeOrio, and Mark Easley for their expertise. #totaltalus #anklereplacement
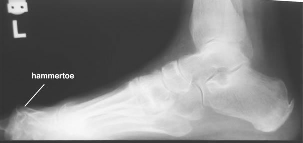
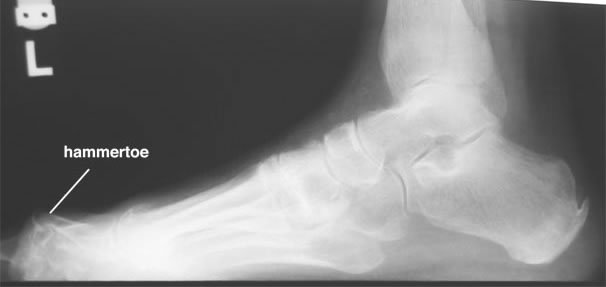
#AdditiveOrthopaedics Develops #3DPrinted Implant to Successfully Treat #Hammertoes 3dprint.com/141935/3d-prin…
The evolution of the total talus... #3dprinting #AdditiveOrthopaedics #keepthemotion #TechDoc #saywhaaat
#AdditiveOrthopaedics Develops #3DPrinted Implant to Successfully Treat #Hammertoes 3dprint.com/141935/3d-prin…
Novel ways to save limbs after infections of Bones. Using #3Dprinting to replace bones, allow for integration of bone growth, & maintenance of some motion. #TechDoc #AdditiveOrthopaedics
Thanks.... @AAOSmembers @AOFAS @AOSSM_SportsMed @DukeOrtho #AdditiveOrthopaedics @28Paragon @in2bones @SAGE_Publishing #Foot&AnkleSpecialistJournal #totaltalus
Coming this Wednesday... @DukeOrtho @AOFAS @ACFAS #limbsalvage #3dprinting #additiveorthopaedics @AAOSmembers
Sometimes flat feet surgery requires bone cuts to restore alignment. #3dprinting allows for unique properties of metal spacers that allow for great bone growth #techdoc #AdditiveOrthopaedics
Honored last night to have been part of a global webinar talking about ankle salvage and #3DPrinting. Thanks to #AdditiveOrthopaedics, Jim DeOrio, and Mark Easley for their expertise. #totaltalus #anklereplacement
#AdditiveOrthopaedics Develops #3DPrinted Implant to Successfully Treat #Hammertoes 3dprint.com/141935/3d-prin…
Get your Hammertoes fixed, Thanks to 3D ... - bit.ly/29vEnE1 - #3dprinting #additiveorthopaedics #implant
Thank you #AdditiveOrthopaedics for your support of the #ParekhFamilyFoundation work to advance foot and ankle care. This patient will surely enjoy their newly aligned foot #3dprinting
Thanks for the invitation to be part of the faculty talking about #3Dprinting #AdditiveOrthopaedics #LimbSalvage #totalanklereplacement #totaltalus and so much more. The future is #PatientSpecific @AAOSmembers @AOFAS @AOSSM_SportsMed
Thanks @TiEGlobal for the opportunity to discuss my experience with #3Dprinting and limb salvage. #additiveorthopaedics #cages #totaltalus #anklereplacememt @AOFAS @AAOSmembers @AOSSM_SportsMed @DukeOrtho
We used 3D printing solutions to recreate the bone that's lost, and clear the infection beforehand. We can then proceed with a TTC fusion. Lots of bone graft and biologics to enhance healing. #3dprinting #additiveorthopaedics #innovation #newideas
#AdditiveOrthopaedics Receives 510(k) Clearance for Patient Specific 3D Printed Bone Segments orthofeed.com/2018/05/21/add… #medical #3dprinting #FootAndAnkle #extremities #FDA #implants #medtech #orthopedics
#AdditiveOrthopaedics Develops #3DPrinted Implant to Successfully Treat #Hammertoes 3dprint.com/141935/3d-prin…
FDA clears the first 3D plates for general use in the lower extremity orthostreams.com/2017/04/fda-ap… #AdditiveOrthopaedics #device #surgical #med
Paragon 28® is excited to announce the acquisition of the assets of Additive Orthopaedics! Full Press Release: paragon28advances.com/pres.../p28-ac… Visit our dedicated site to learn more! paragon28advances.com #paragon28 #additiveorthopaedics #3Dprinted #patientspecific #footandankle
The #FootandAnkleGlobalTownHall Revision Ankle Replacement March 19, 9pm est w @RothmanOrtho David Pedowitz, MD. Sponsor #AdditiveOrthopaedics Open to all. Free registeration footandanklecourse.com #ParekhFamilyFoundation @AOFAS @AAOSmembers @AOSSM #TAR #anklereplacement
Something went wrong.
Something went wrong.
United States Trends
- 1. Klay 21.7K posts
- 2. McLaren 79.6K posts
- 3. Lando 124K posts
- 4. #AEWFullGear 71.3K posts
- 5. #LasVegasGP 212K posts
- 6. Good Sunday 49.5K posts
- 7. Oscar 115K posts
- 8. Ja Morant 9,677 posts
- 9. Piastri 55.7K posts
- 10. Max Verstappen 59.4K posts
- 11. Hangman 10.3K posts
- 12. Samoa Joe 5,093 posts
- 13. gambino 2,801 posts
- 14. LAFC 16.1K posts
- 15. Kimi 49K posts
- 16. #Toonami 2,846 posts
- 17. Swerve 6,538 posts
- 18. Tottenham 33K posts
- 19. Arsenal 149K posts
- 20. South Asia 35.7K posts