#baseexcisionrepair 搜尋結果
Inactivation of🐭Ogg1, an essential #BaseExcisionRepair enzyme that repairs 8-oxoguanine ▶️ #ArterialStiffening without altered collagen fibril abundance A very sophisticated #Matrisome related to #Aging-related #OxidativeDNADamage LOX (+LOXL1) WISP2 TGFβ Cathepsin…
#FluorescenceImaging of #mitochondrialDNA #BaseExcisionRepair reveals dynamics of #OxidativeStress responses @koolchemistry onlinelibrary.wiley.com/doi/10.1002/an…
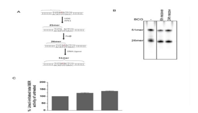
You can read our article Bacillus Calmette-Guerin Increases Base Excision Repair in Bladder Cancer Cells from here! Here: cms.galenos.com.tr/Uploads/Articl… #Baseexcisionrepair #bladdercancer #BacillusCalmetteGuerin @UrolojikCerrahi @UropediaUCD @MIUD_DERNEGI @Uroonkoloji1999 @Kontinans
You can reach our article titled as “Bacillus Calmette-Guerin Increases Base Excision Repair in Bladder Cancer Cells” from here. #Baseexcisionrepair #bladdercancer #BacillusCalmetteGuerin Here: jurolsurgery.org/archives/archi… #üroloji #urology #urooncology @Uroonkoloji1999 @UropediaUCD
In this study, the increase in 5-OHU incision activity in high-grade NMIBC tissues was determined and associated with NMIBC tissue grade. #bladdercancer #baseexcisionrepair #urology #urooncology #üroloji #Generalurology #urooncologyjournal uroonkolojibulteni.com/archives/archi…
angew_chem: #FluorescenceImaging of #mitochondrialDNA #BaseExcisionRepair reveals dynamics of #OxidativeStress responses @koolchemistry bit.ly/3yR9CDo bit.ly/3EhNYt7
Damaged DNA is the frontline for all #Cancer growth! Stop it with cancer #BaseExcisionRepair protein inhibitor! #MizueScience #Exploravision
13/17 #BaseExcisionRepair ✂️was mentioned a few times already, let’s look at it a bit closer. It is a method of DNA repair that is used to correct small lesions🤏. This is done by removing the DNA base that is damaged💥and then processed by other proteins ncbi.nlm.nih.gov/pmc/articles/P…
Dna damage and repair by @namarta28 #baseexcisionrepair #bloomsyndrome slideshare.net/namarta28/dna-… @SlideShareさんから
Base Excision Repair Mechanism of DNA PPT by Easybiologyclass by @easybiology #baseexcisionrepair #ber slideshare.net/EasyBiologyCla… via
Dna damage, repair and clinical significance by @namarta28 #ataxiatelengiectasia #baseexcisionrepair slideshare.net/namarta28/dna-… via @SlideShare
▶️Listen to the article "PARP1 Gene Knockout Suppresses Expression of DNA Base Excision Repair Genes" -by A. Zakharenkoa, O. Lavrik et al. rss.com/podcasts/pub-r…🔊@Lavrik_Lab #PARP1 #BaseExcisionRepair #PubReading #Podcast 🎙️
rss.com
PubReading [283] - PARP1 Gene Knockout Suppresses Expression of DNA Base Excision Repair Genes - A....
The effect of PARP1 knockout in HEK293 cells on the gene expression of DNA base excision repair (BER) proteins was studied. It was shown that the expression of all differentially expressed genes...
The Biochemical Role of the Human NEIL1 and NEIL3 DNA Glycosylases on Model DNA Replication Forks #baseexcisionrepair #DNAdamage #DNArepair #DNAreplication #NEIlikeDNAglycosylases livrepository.liverpool.ac.uk/3043364
Reed, Andrew; A Structural and Biochemical Investigation of... #DNAPolymerase #BaseExcisionRepair rave.ohiolink.edu/etdc/view?acc_…
Inactivation of🐭Ogg1, an essential #BaseExcisionRepair enzyme that repairs 8-oxoguanine ▶️ #ArterialStiffening without altered collagen fibril abundance A very sophisticated #Matrisome related to #Aging-related #OxidativeDNADamage LOX (+LOXL1) WISP2 TGFβ Cathepsin…
▶️Listen to the article "PARP1 Gene Knockout Suppresses Expression of DNA Base Excision Repair Genes" -by A. Zakharenkoa, O. Lavrik et al. rss.com/podcasts/pub-r…🔊@Lavrik_Lab #PARP1 #BaseExcisionRepair #PubReading #Podcast 🎙️
rss.com
PubReading [283] - PARP1 Gene Knockout Suppresses Expression of DNA Base Excision Repair Genes - A....
The effect of PARP1 knockout in HEK293 cells on the gene expression of DNA base excision repair (BER) proteins was studied. It was shown that the expression of all differentially expressed genes...
angew_chem: #FluorescenceImaging of #mitochondrialDNA #BaseExcisionRepair reveals dynamics of #OxidativeStress responses @koolchemistry bit.ly/3yR9CDo bit.ly/3EhNYt7
#FluorescenceImaging of #mitochondrialDNA #BaseExcisionRepair reveals dynamics of #OxidativeStress responses @koolchemistry onlinelibrary.wiley.com/doi/10.1002/an…
In this study, the increase in 5-OHU incision activity in high-grade NMIBC tissues was determined and associated with NMIBC tissue grade. #bladdercancer #baseexcisionrepair #urology #urooncology #üroloji #Generalurology #urooncologyjournal uroonkolojibulteni.com/archives/archi…
You can reach our article titled as “Bacillus Calmette-Guerin Increases Base Excision Repair in Bladder Cancer Cells” from here. #Baseexcisionrepair #bladdercancer #BacillusCalmetteGuerin Here: jurolsurgery.org/archives/archi… #üroloji #urology #urooncology @Uroonkoloji1999 @UropediaUCD
Dna damage, repair and clinical significance by @namarta28 #ataxiatelengiectasia #baseexcisionrepair slideshare.net/namarta28/dna-… via @SlideShare
The Biochemical Role of the Human NEIL1 and NEIL3 DNA Glycosylases on Model DNA Replication Forks #baseexcisionrepair #DNAdamage #DNArepair #DNAreplication #NEIlikeDNAglycosylases livrepository.liverpool.ac.uk/3043364
Dna damage and repair by @namarta28 #baseexcisionrepair #bloomsyndrome slideshare.net/namarta28/dna-… @SlideShareさんから
Reed, Andrew; A Structural and Biochemical Investigation of... #DNAPolymerase #BaseExcisionRepair rave.ohiolink.edu/etdc/view?acc_…
Dna repair systems #baseexcisionrepair #doublestrandbreakrepair slideshare.net/rameshchandrag… via @SlideShare
slideshare.net
Dna repair systems
Base Excision Repair Mechanism of DNA PPT by Easybiologyclass by @easybiology #baseexcisionrepair #ber slideshare.net/EasyBiologyCla… via
Damaged DNA is the frontline for all #Cancer growth! Stop it with cancer #BaseExcisionRepair protein inhibitor! #MizueScience #Exploravision
#FluorescenceImaging of #mitochondrialDNA #BaseExcisionRepair reveals dynamics of #OxidativeStress responses @koolchemistry onlinelibrary.wiley.com/doi/10.1002/an…
You can read our article Bacillus Calmette-Guerin Increases Base Excision Repair in Bladder Cancer Cells from here! Here: cms.galenos.com.tr/Uploads/Articl… #Baseexcisionrepair #bladdercancer #BacillusCalmetteGuerin @UrolojikCerrahi @UropediaUCD @MIUD_DERNEGI @Uroonkoloji1999 @Kontinans
Inactivation of🐭Ogg1, an essential #BaseExcisionRepair enzyme that repairs 8-oxoguanine ▶️ #ArterialStiffening without altered collagen fibril abundance A very sophisticated #Matrisome related to #Aging-related #OxidativeDNADamage LOX (+LOXL1) WISP2 TGFβ Cathepsin…
You can reach our article titled as “Bacillus Calmette-Guerin Increases Base Excision Repair in Bladder Cancer Cells” from here. #Baseexcisionrepair #bladdercancer #BacillusCalmetteGuerin Here: jurolsurgery.org/archives/archi… #üroloji #urology #urooncology @Uroonkoloji1999 @UropediaUCD
In this study, the increase in 5-OHU incision activity in high-grade NMIBC tissues was determined and associated with NMIBC tissue grade. #bladdercancer #baseexcisionrepair #urology #urooncology #üroloji #Generalurology #urooncologyjournal uroonkolojibulteni.com/archives/archi…
angew_chem: #FluorescenceImaging of #mitochondrialDNA #BaseExcisionRepair reveals dynamics of #OxidativeStress responses @koolchemistry bit.ly/3yR9CDo bit.ly/3EhNYt7
Something went wrong.
Something went wrong.
United States Trends
- 1. #StrangerThings5 45.6K posts
- 2. Afghan 119K posts
- 3. Thanksgiving 530K posts
- 4. National Guard 437K posts
- 5. #AEWDynamite 10.1K posts
- 6. Rahmanullah Lakanwal 48.7K posts
- 7. Cease 25.8K posts
- 8. Celtics 13K posts
- 9. #Survivor49 1,008 posts
- 10. Dustin 79.9K posts
- 11. holly 17.4K posts
- 12. Blood 231K posts
- 13. Cade 32.4K posts
- 14. Blue Jays 11K posts
- 15. Okada 7,228 posts
- 16. Derrick White 2,038 posts
- 17. Operation Allies Welcome 15.2K posts
- 18. Walker Horn N/A
- 19. Babes of Wrath N/A
- 20. D.C. 286K posts