#computervisiontechnology search results
⚕️Making early cancer detection more accessible @medcognetics uses AI on AMD technology to help radiologists deliver faster, more accurate breast cancer diagnoses, from hospital workstations to rural screening vans. Learn more: amd.com/en/blogs/2025/… #TogetherWeAdvance…

Been a while, let’s talk about OCR From Reading to Seeing: How AI Models Combine OCR and Visual Understanding OCR (Optical Character Recognition) is a technique that scans an image, detects text, and converts it into readable characters. That’s why many AI models like…
Your agent ain’t alpha if it’s blind. Day1 at @CambrianNetwork Push the idea that data blindness kills autonomous agents; Cambriian fixes that by feeding them verifiable on/off-chain intel. Gmonstera 🪴

Goodbye retouch apps You don’t need editing skills to look picture-perfect anymore. Now, your photos understand what you say and transform themselves. Let’s show you how:

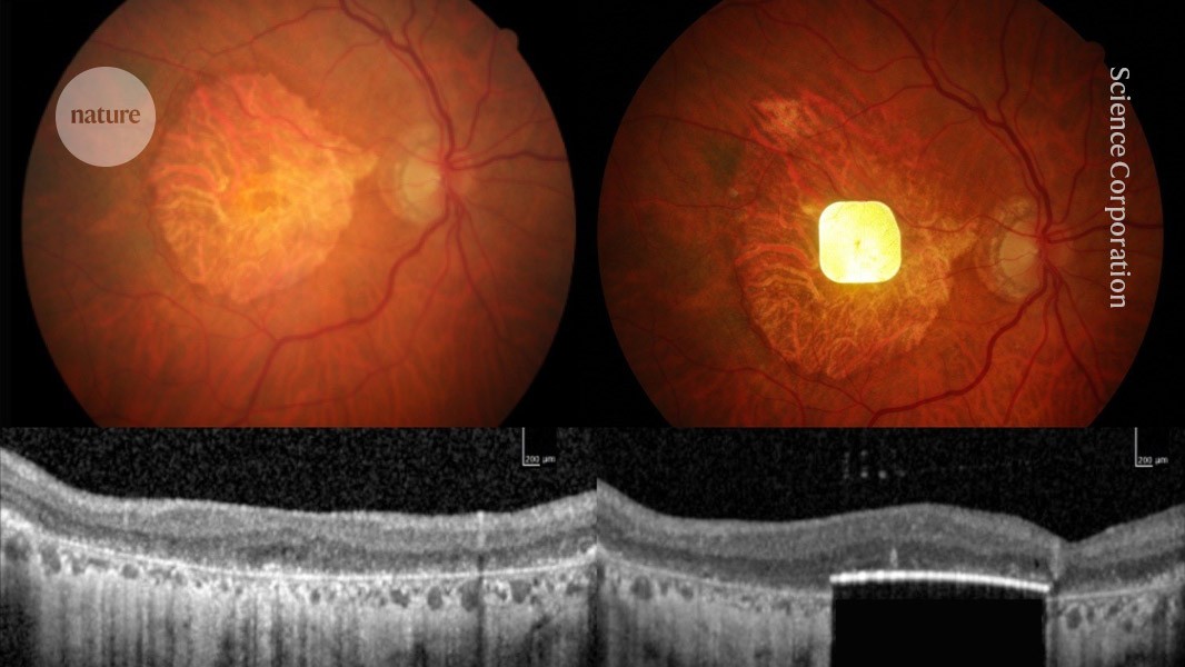
An electronic eye implant has restored vision in people with blindness caused by age-related macular degeneration go.nature.com/3JnPu5n
Scientists have developed a high-resolution display that converts projected light into illuminated and raised dots, or “pixels”, forming static or rapidly moving patterns that can be seen and felt. Learn more in @SciRobotics: scim.ag/4ng7T28
Holy shit...Google just dropped a self-improving video generation agent 🤯 It’s called VISTA, and it literally rewrites its own prompts to make videos better every single generation. No retraining. No fine-tuning. Just pure test-time self-reflection. Here’s how it works: →…

MIT has built a camera so fast it can capture light itself, the camera records at 1 TRILLION frames per second....
🚨🇬🇧 Meanwhile in Communist Britain Now imagine the Laws you will all be subjected to once your Digital ID & Social Credit System is installed - all powered by hundreds of thousand of AI Facial Recognition Cameras.

⚡️ LATEST: Google unveiled Quantum Echoes, a new algorithm said to be 13,000 times faster than classical ones, paving the way for advances in AI and science.

🔥 Microsoft once again showing off the power of synthetic data for human-centric computer vision! Showing how you can use it for: - 🧐 Depth Prediction - ↗️ Normal Estimation - 👤 Background Segmentation Synthetic data has pixel-perfect label accuracy and is nearly…
So these researchers figured out you can basically hallucinate 3D cities into existence using just satellite photos & a diffusion model. The problem's pretty straightforward: satellites only see rooftops. Building facades? Invisible. Street-level detail? Doesn't exist. But…
Very good experience at ICCV 🏝️! 1. With the help of Prof. @LiangZheng_06, Prof. Kevin Bowyer, Dr. Xiaoxiao Sun, and Dr. Yue Yao, our 4th DataCVWorkshop went smoothly. The attached image is the best paper at our workshop. 2. The current main trend in computer vision is still 3D…

10 Computer Vision Technologies Used in Smart Cities Read More:- buff.ly/l1mtVx3 #computervisiontechnology #smartcities #visiontechnologies #TheTechTrend
Elevate your industry with #Argus: A #computervisiontechnology. From detecting defects to boosting #productivity, It's the ultimate solution for businesses. Experience the future of #technology now. #ArgusDeeptech #DefectDetection #IndustryAdvancement #SmartManufacturing


Do you wish to make your factory, industry or warehouse safer or more efficient with #RealTime assessment by your side to make your job easier? Check out Argus, a #ComputerVisiontechnology built to do the same For more details visit our website: ekak.in

Revolutionize your workplace with our cutting-edge #computervisiontechnology. Argus ensure every #industry operates with utmost #Efficiency and #minimaldowntime. Visit our website for more details:- ekak.in Or drop us an email at:- [email protected]

#Snowflake and #LandingAI are joining forces to revolutionize data management with #ComputerVisionTechnology. This partnership aims to unlock new business insights and streamline data handling. Read more on VentureBeat: venturebeat.com/ai/snowflake-a…
Introduce 10 port gigabit desktop POE network switch #computervisiontechnology #dahuapoenetworkswitch #networking #poeswitch
Yashar Behzadi, CEO and founder of @SynthesisAI_ #TransformingManufacturing #computervisiontechnology #ComputerVisionsystem #manufacturingindustry
Visual data holds a wealth of untapped potential, and our cutting-edge solutions are here to unlock it. Talk to us today and learn how we extract actionable insights that empower your business. #computervision #computervisiontechnology #visualdata #innovation #ai #aisolutions

Leveraging AI & Computer Vision to Reduce Empty Miles bit.ly/3MvRvKm #computervisiontechnology #artificialintelligence #machinelearning #datascience #data #ml #deeplearning #datavisualization
@Google @googlearts your #Facematch (#computervisiontechnology) matched me with the portrait of a #family member of mine (my great aunt) that is displayed at the @HudsonRivMuseum! Incredible! #wacs #WWII

Our autonomous #MobileRobots use #AI and #ComputerVisionTechnology to perform a diverse range of tasks. Book a FREE Demo to know more : bit.ly/Hi-TechRequest… #Manufacturing #Warehouse #Technology #Robotics #Automation #Logistics #THRSL

What is AONE? Visit kck.st/2cxIBvE #safedriving #computervisiontechnology #smartphone #vehicledetection

@voitechnology implanta la #computervisiontechnology para evitar #patinetes en las aceras | Economía de Hoy economiadehoy.es/voi-implanta-l…

Visit kck.st/2cxIBvE and be safe while driving #computervisiontechnology #smartphone #vehicledetection

How can we empower people with education, skills, awareness, and even early detection strategies so that they can maintain a healthy lifestyle? Is #ComputerVisionTechnology the way? Read the latest blog our CEO & Founder workrightnw.com/how-to-priorit… #IndustrialSportsMed #prevention

Be protected with AONE. Contact us us now @ kck.st/2cxIBvE #safedriving #computervisiontechnology #smartphone #vehicledetection

Visit kck.st/2cxIBvE to get peace of mind while driving. #safedriving #computervisiontechnology #smartphone #vehicledetection

Do you have AONE in your car? Not yet! Then, hurry up!! Visit kck.st/2cxIBvE #safedriving #computervisiontechnology

Make your car smarter than ever with AONE. More details @ kck.st/2cxIBvE #safedriving #computervisiontechnology

#computervision #computervisiontechnology #computervisions #computervisionalgorithms #computervisionengineer #computervisionandpatternrecognition #computervisionapplications bit.ly/2mq8x0S

Enjoy your driving with best driving assistance @ kck.st/2cxIBvE #safedriving #computervisiontechnology #smartphone

Get Aone in your car and feel protected when you drive. Visit kck.st/2cxIBvE #safedriving #computervisiontechnology #smartcar

We don't dream. We drive the future for safe driving. Visit kck.st/2cxIBvE #safedriving #computervisiontechnology #adasone

Get your driving information more simply with AONE. Visit kck.st/2cxIBvE #safedriving #smartcar #computervisiontechnology

Aone on the best smart driving technology ever. Know more details @ kck.st/2cxIBvE #safedriving #computervisiontechnology

Protect yourself with smart car technology from ADAS One. More details @ kck.st/2cxIBvE #safedriving #computervisiontechnology

AONE assures total protection for vehicles and passengers. Visit kck.st/2cxIBvE #safedriving #computervisiontechnology

Lenovo taps Movidius vision tech for #virtualreality products #computervisiontechnology...… )

Lenovo taps Movidius vision tech for #virtualreality products #computervisiontechnology... virtualreality.trendolizer.com/2016/06/lenovo…

Something went wrong.
Something went wrong.
United States Trends
- 1. Good Thursday 22.7K posts
- 2. #GirlsWhoInspire N/A
- 3. Terry Rozier 1,191 posts
- 4. Wemby 116K posts
- 5. Happy Friday Eve N/A
- 6. #thursdayvibes 2,231 posts
- 7. Talus Labs 16.9K posts
- 8. #GirlPower N/A
- 9. #ThursdayThoughts 1,278 posts
- 10. #thursdaymotivation 3,285 posts
- 11. Spurs 60.6K posts
- 12. Congrats Phil N/A
- 13. jeonghan 190K posts
- 14. Fetterman 42.1K posts
- 15. Mavs 20.9K posts
- 16. Patti 3,607 posts
- 17. Victor Wembanyama 43.9K posts
- 18. Cooper Flagg 14.7K posts
- 19. Hamburger Helper 5,852 posts
- 20. Satoshi 19.5K posts