#deeplearningreconstruction search results

Canon Medical’s AiCE-integrated Aquilion Prime SP #CT system is up and running at I-MED Lilydale! Powered by the world’s first #DeepLearningReconstruction for CT, exceptional image quality can be achieved at low dose to expand your routine exam capabilit…

TriBruSan's tweet image. Canon Medical’s AiCE-integrated Aquilion Prime SP #CT system is up and running at I-MED Lilydale!
Powered by the world’s first #DeepLearningReconstruction for CT, exceptional image quality can be achieved at low dose to expand your routine exam capabilit…

Visit bit.ly/3zdSF7Y to gain insights on how #DeepLearningReconstruction in #CT, powered by Altivity, leads to low-dose, high-quality, and high-speed. Courtesy of Dr. Richard Hawkins, Hospitals NHS Trust, Crewe, United Kingdom

CanonMedicalANZ's tweet image. Visit bit.ly/3zdSF7Y to gain insights on how #DeepLearningReconstruction in #CT, powered by Altivity, leads to low-dose, high-quality, and high-speed.

Courtesy of Dr. Richard Hawkins, Hospitals NHS Trust, Crewe, United Kingdom

Discover how the Aquilion ONE / PRISM Edition with Advanced intelligent Clear-IQ Engine (AiCE) and Deep Learning Spectral can help revolutionize your clinical practice. More information: ow.ly/PpYg50xLn9a #AI #CT #deeplearningreconstruction #ma

TriBruSan's tweet image. Discover how the Aquilion ONE / PRISM Edition with Advanced intelligent Clear-IQ Engine (AiCE) and Deep Learning Spectral can help revolutionize your clinical practice.

More information: ow.ly/PpYg50xLn9a 

#AI #CT #deeplearningreconstruction #ma…

"This is going to fundamentally change how we do MR." - Jon Furuyama Explore our new #DeepLearningReconstruction technology for #MRI. bit.ly/2NnJI3k #MadePossible #CanonHealth


Welcome to the age of AI-assisted CT! See through the noise with cutting-edge Deep Learning Reconstruction technology that delivers sharp, clear and distinct images at speed. #AI #CT #deeplearningreconstruction #madepossible #madeforlife Video source…

TriBruSan's tweet image. Welcome to the age of AI-assisted CT! 
See through the noise with cutting-edge Deep Learning Reconstruction technology that delivers sharp, clear and distinct images at speed.

#AI #CT #deeplearningreconstruction #madepossible #madeforlife 

Video source…

How can #DeepLearningReconstruction improve medical imaging? In this #ECR2019 workshop, Dr. Zhou Yu, who leads the development of #AiCE at the R&D centre in USA, will explain the basics of #NeuralNetwork and the inner workings of DLR technology. Register…

TriBruSan's tweet image. How can #DeepLearningReconstruction improve medical imaging? In this #ECR2019 workshop, Dr. Zhou Yu, who leads the development of #AiCE at the R&D centre in USA, will explain the basics of #NeuralNetwork and the inner workings of DLR technology. Register…

Read this article to learn how the Radiology department at the Strasbourg University Hospital obtain excellent monochromatic image quality using #Spectral #DeepLearningReconstruction technology on their Aquilion ONE / PRISM Edition #CT. bit.ly/3pUHCfM

CanonMedicalANZ's tweet image. Read this article to learn how the Radiology department at the Strasbourg University Hospital obtain excellent monochromatic image quality using #Spectral #DeepLearningReconstruction technology on their Aquilion ONE / PRISM Edition #CT.  bit.ly/3pUHCfM

Reducing dose levels was critical at Mid Cheshire Hospitals NHS Foundation Trust in the UK. Read this article to learn about their experience in #dosereduction with AiCE, the advanced #DeepLearningReconstruction for #CT imaging from Canon Medical. bit.ly/2XNG5MO

CanonMedicalANZ's tweet image. Reducing dose levels was critical at Mid Cheshire Hospitals NHS Foundation Trust in the UK. Read this article to learn about their experience in #dosereduction with AiCE, the advanced #DeepLearningReconstruction for #CT imaging from Canon Medical. bit.ly/2XNG5MO

25% image noise reduction and 17% radiation dose reduction - these are the findings in a recent study comparing #DeepLearningReconstruction technology to #IterativeReconstruction for #CT Pulmonary Angiography. Read this article to find out more. …

TriBruSan's tweet image. 25% image noise reduction and 17% radiation dose reduction - these are the findings in a recent study comparing #DeepLearningReconstruction technology to #IterativeReconstruction for #CT Pulmonary Angiography.

Read this article to find out more. …

Welcome to the age of AI-assisted CT! See through the noise with cutting-edge Deep Learning Reconstruction technology that delivers sharp, clear and distinct images at speed. #AI #CT #deeplearningreconstruction #madepossible #madeforlife Video source: ow.ly/OtLL50xF12x

CanonMedicalEU's tweet image. Welcome to the age of AI-assisted CT! 
See through the noise with cutting-edge Deep Learning Reconstruction technology that delivers sharp, clear and distinct images at speed.

#AI #CT #deeplearningreconstruction #madepossible #madeforlife 

Video source: ow.ly/OtLL50xF12x

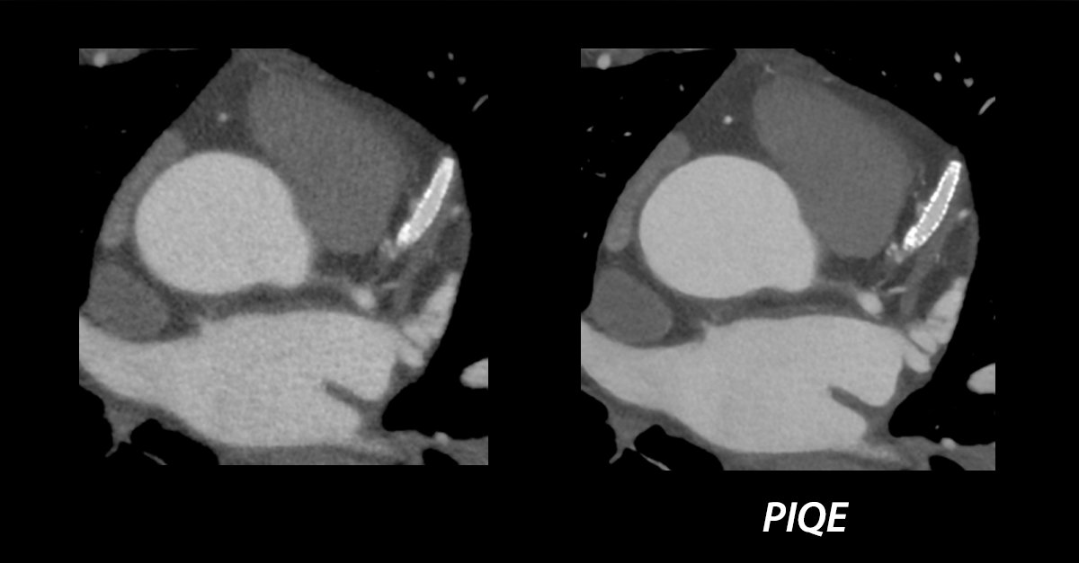
Obtain greater diagnostic accuracy with the industry’s only super resolution #DeepLearningReconstruction technology for #CT – Precise IQ Engine (PIQE), powered by Altivity. Chat with the Canon team at #RANZCR2022 to find out more. #CardiacCT #MadePossible

CanonMedicalANZ's tweet image. Obtain greater diagnostic accuracy with the industry’s only super resolution #DeepLearningReconstruction technology for #CT – Precise IQ Engine (PIQE), powered by Altivity.

Chat with the Canon team at #RANZCR2022 to find out more. #CardiacCT #MadePossible

Congratulations I-MED Newtown on your new Aquilion ONE / PRISM #CT installation. The new system combines Canon's one-beat #cardiac and PIQE super resolution #deeplearningreconstruction to deliver sharp cardiac images. bit.ly/3IMDNlI

CanonMedicalANZ's tweet image. Congratulations I-MED Newtown on your new Aquilion ONE / PRISM #CT installation. 

The new system combines Canon's one-beat #cardiac and PIQE super resolution #deeplearningreconstruction to deliver sharp cardiac images. bit.ly/3IMDNlI

#2021Issue4 The #DeepLearningReconstruction method generally improves the image quality of brain computed tomography angiography in terms of objective measurement and subjective grading imrpress.com/journal/JIN/20… #ComputedTomography #CT #imaging #BrainAngiography #IntracranialVesse

JINeuroscience's tweet image. #2021Issue4
The #DeepLearningReconstruction method generally improves the image quality of brain computed tomography angiography in terms of objective measurement and subjective grading
imrpress.com/journal/JIN/20…
#ComputedTomography #CT #imaging #BrainAngiography #IntracranialVesse
JINeuroscience's tweet image. #2021Issue4
The #DeepLearningReconstruction method generally improves the image quality of brain computed tomography angiography in terms of objective measurement and subjective grading
imrpress.com/journal/JIN/20…
#ComputedTomography #CT #imaging #BrainAngiography #IntracranialVesse

Sharp, clear, distinct images at speed, with up to 82.4% less #dose. That’s what’s on offer from our Advanced intelligent Clear-IQ Engine (AiCE) for #CT. bit.ly/2S6xU8o #DeepLearningReconstruction #DLR #MadePossible


Introducing the world’s first #DeepLearningReconstruction for #MR. With our Advanced intelligent Clear-IQ Engine (#AiCE), you can now #SeeThroughTheNoise with sharp, clear, and distinct images. Visit website for more information bit.ly/34e8Akf


Innovations in #DeepLearningReconstruction to reach new heights in #CT image quality – best low-contrast ever, super resolution (Pending 510k), & spectral. Last chance to join a live virtual demo at #RSNA2021 bit.ly/3EkseO3 #CT #ComputedTomography #RSNA #MedicalImaging

CanonMedicalUS's tweet image. Innovations in #DeepLearningReconstruction to reach new heights in #CT image quality – best low-contrast ever, super resolution (Pending 510k), & spectral. Last chance to join a live virtual demo at #RSNA2021 bit.ly/3EkseO3 #CT #ComputedTomography #RSNA #MedicalImaging

The 1st stage of a brand new Aquilion Lightning 160 equipped with AiCE, world’s first #DeepLearningReconstruction for #CT, has been successfully delivered to the new Queensland Radiology Specialists practice. Learn more about the CT system …

TriBruSan's tweet image. The 1st stage of a brand new Aquilion Lightning 160 equipped with AiCE, world’s first #DeepLearningReconstruction for #CT,  has been successfully delivered to the new Queensland Radiology Specialists practice.  
 
Learn more about the CT system …
TriBruSan's tweet image. The 1st stage of a brand new Aquilion Lightning 160 equipped with AiCE, world’s first #DeepLearningReconstruction for #CT,  has been successfully delivered to the new Queensland Radiology Specialists practice.  
 
Learn more about the CT system …
TriBruSan's tweet image. The 1st stage of a brand new Aquilion Lightning 160 equipped with AiCE, world’s first #DeepLearningReconstruction for #CT,  has been successfully delivered to the new Queensland Radiology Specialists practice.  
 
Learn more about the CT system …
TriBruSan's tweet image. The 1st stage of a brand new Aquilion Lightning 160 equipped with AiCE, world’s first #DeepLearningReconstruction for #CT,  has been successfully delivered to the new Queensland Radiology Specialists practice.  
 
Learn more about the CT system …

With the new Aquilion Prime SP #CT featuring AiCE #deeplearningreconstruction, Cooma District Hospital can now provide CT imaging with reduced #radiationdose and better image quality for skiers and snowboarders in this ski season. More about AiCE bit.ly/3z3qFUt

CanonMedicalANZ's tweet image. With the new Aquilion Prime SP #CT featuring AiCE #deeplearningreconstruction, Cooma District Hospital can now provide CT imaging with reduced #radiationdose and better image quality for skiers and snowboarders in this ski season. 

More about AiCE bit.ly/3z3qFUt

AiCE, Canon's advanced #DeepLearningReconstruction technology, is now available on the Cartesion Prime, the first completely air-cooled digital PET-CT system. Find out how AI helps reduce scan time per bed and improve #ImageQuality in PET imaging. bit.ly/3IRkq8m

CanonMedicalANZ's tweet image. AiCE, Canon's advanced #DeepLearningReconstruction technology, is now available on the Cartesion Prime, the first completely air-cooled digital PET-CT system. 

Find out how AI helps reduce scan time per bed and improve #ImageQuality in PET imaging. bit.ly/3IRkq8m

The 1st AiCE-enabled Aquilion Prime SP in ANZ is now live at Dubbo Base Hospital! #DeepLearningReconstruction is #MadePossible for routine use to expand your clinical capability. Find out how the #AI powered #CT delivers extraordinary image quality. …

TriBruSan's tweet image. The 1st AiCE-enabled Aquilion Prime SP in ANZ is now live at Dubbo Base Hospital! #DeepLearningReconstruction is #MadePossible for routine use to expand your clinical capability.

Find out how the #AI powered #CT delivers extraordinary image quality. …

When combined with AiCE, Canon’s #DeepLearningReconstruction technology SilverBeam will give you greater diagnostic confidence and help you meet the demands of a #lungcancer screening program.   Read our latest article on SilverBeam to learn more. bit.ly/3IxFX8j

CanonMedicalANZ's tweet image. When combined with AiCE, Canon’s #DeepLearningReconstruction technology SilverBeam will give you greater diagnostic confidence and help you meet the demands of a #lungcancer screening program. 
 
Read our latest article on SilverBeam to learn more. bit.ly/3IxFX8j

Congratulations I-MED Newtown on your new Aquilion ONE / PRISM #CT installation. The new system combines Canon's one-beat #cardiac and PIQE super resolution #deeplearningreconstruction to deliver sharp cardiac images. bit.ly/3IMDNlI

CanonMedicalANZ's tweet image. Congratulations I-MED Newtown on your new Aquilion ONE / PRISM #CT installation. 

The new system combines Canon's one-beat #cardiac and PIQE super resolution #deeplearningreconstruction to deliver sharp cardiac images. bit.ly/3IMDNlI

Congratulations to the team at CIG Garranon on the installation of your new Aquilion Lightning 160, with AiCE #DeepLearningReconstruction, powered by Altivity. Find out more about this compact, affordable #CT scanner. bit.ly/3gDNA27

CanonMedicalANZ's tweet image. Congratulations to the team at CIG Garranon on the installation of your new Aquilion Lightning 160, with AiCE #DeepLearningReconstruction, powered by Altivity. 

Find out more about this compact, affordable #CT scanner. bit.ly/3gDNA27

Witness the power of #DeepLearningReconstruction to maximise insights for a confident #Cardiac #CT diagnosis: Introducing Precise IQ Engine. Visit us at #RSNA2022 to learn more. bit.ly/3NFPg7p


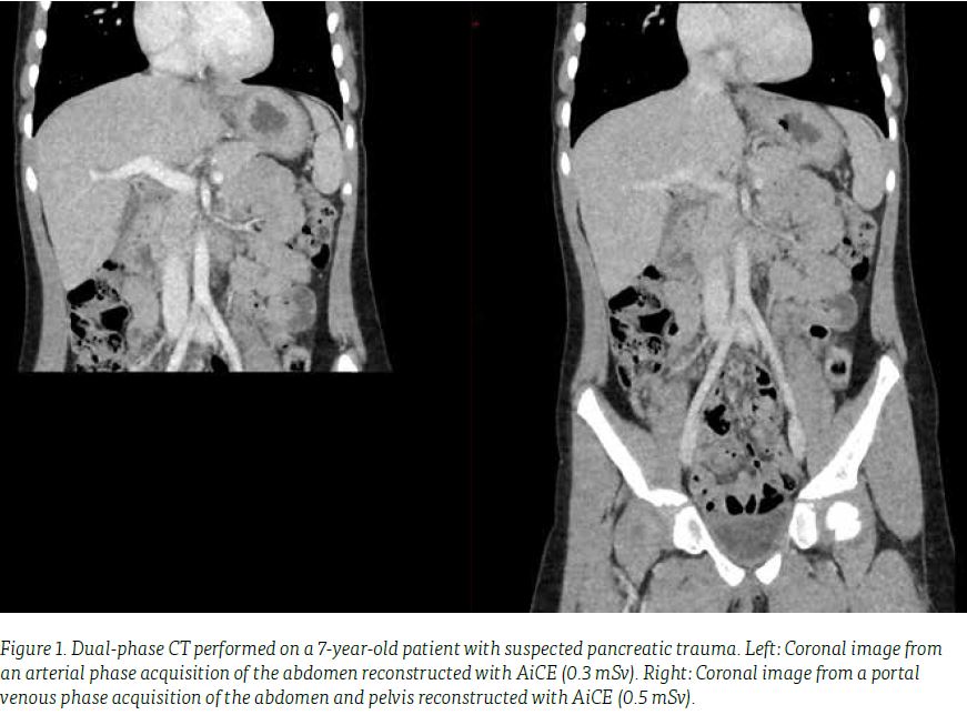
Attending #ANZSPR2022? Join the Canon Medical presentation on Tuesday, 25 October at 11 - 11:15am and discover how #DeepLearningReconstruction is the future of #paediatric #CT. For more information: bit.ly/3SzgayR

CanonMedicalANZ's tweet image. Attending #ANZSPR2022?

Join the Canon Medical presentation on Tuesday, 25 October at 11 - 11:15am and discover how #DeepLearningReconstruction is the future of #paediatric #CT. 

For more information: bit.ly/3SzgayR

Obtain greater diagnostic accuracy with the industry’s only super resolution #DeepLearningReconstruction technology for #CT – Precise IQ Engine (PIQE), powered by Altivity. Chat with the Canon team at #RANZCR2022 to find out more. #CardiacCT #MadePossible

CanonMedicalANZ's tweet image. Obtain greater diagnostic accuracy with the industry’s only super resolution #DeepLearningReconstruction technology for #CT – Precise IQ Engine (PIQE), powered by Altivity.

Chat with the Canon team at #RANZCR2022 to find out more. #CardiacCT #MadePossible

Improve your #CT visualisation without compromise with Canon’s #AI innovations. Find out how our #DeepLearningReconstruction technologies can help overcome various challenges in CT visualisation without compromise to #dose or #imagequality. bit.ly/3VjYzNC


#2021Issue4 The #DeepLearningReconstruction method generally improves the image quality of brain computed tomography angiography in terms of objective measurement and subjective grading imrpress.com/journal/JIN/20… #ComputedTomography #CT #imaging #BrainAngiography #IntracranialVesse

JINeuroscience's tweet image. #2021Issue4
The #DeepLearningReconstruction method generally improves the image quality of brain computed tomography angiography in terms of objective measurement and subjective grading
imrpress.com/journal/JIN/20…
#ComputedTomography #CT #imaging #BrainAngiography #IntracranialVesse
JINeuroscience's tweet image. #2021Issue4
The #DeepLearningReconstruction method generally improves the image quality of brain computed tomography angiography in terms of objective measurement and subjective grading
imrpress.com/journal/JIN/20…
#ComputedTomography #CT #imaging #BrainAngiography #IntracranialVesse

Congratulations to the team at Rockingham General Hospital on the installation of your new Aquilion Prime SP, with AiCE #deeplearningreconstruction powered by Altivity. Learn more about how AiCE can help achieve high quality image faster at lower #doses. bit.ly/3qFm0D2

CanonMedicalANZ's tweet image. Congratulations to the team at Rockingham General Hospital on the installation of your new Aquilion Prime SP, with AiCE #deeplearningreconstruction powered by Altivity. 

Learn more about how AiCE can help achieve high quality image faster at lower #doses.
bit.ly/3qFm0D2

Thanks to Canon's #Spectral #DeepLearningReconstruction that offers low noise properties and excellent energy separation, assessing benign and malignant lung nodules becomes a whole lot simpler with Spectral #CT. See for yourself at bit.ly/3cgU7O3

CanonMedicalANZ's tweet image. Thanks to Canon's #Spectral #DeepLearningReconstruction that offers low noise properties and excellent energy separation, assessing benign and malignant lung nodules becomes a whole lot simpler with Spectral #CT.

See for yourself at bit.ly/3cgU7O3

“Excellent image quality at such low doses is game-changing," - from the team at @Alpenglow Radiology in Tamworth, NSW after experiencing the impact of Canon’s AiCE #deeplearningreconstruction technology on their new Aquilion Prime SP. Find out more bit.ly/3A29hQm

CanonMedicalANZ's tweet image. “Excellent image quality at such low doses is game-changing,"  - from the team at @Alpenglow Radiology in Tamworth, NSW after experiencing the impact of Canon’s AiCE #deeplearningreconstruction technology on their new Aquilion Prime SP. 

Find out more bit.ly/3A29hQm

Obtain greater diagnostic accuracy with the industry’s only super resolution #DeepLearningReconstruction technology for #cardiac #CT – Precise IQ Engine (PIQE), powered by Altivity. Visit the Canon team at #RANZCR2022 to hear more bit.ly/3vvLtBR

CanonMedicalANZ's tweet image. Obtain greater diagnostic accuracy with the industry’s only super resolution #DeepLearningReconstruction technology for #cardiac #CT – Precise IQ Engine (PIQE), powered by Altivity.

Visit the Canon team at #RANZCR2022 to hear more  bit.ly/3vvLtBR

Visit bit.ly/3zdSF7Y to gain insights on how #DeepLearningReconstruction in #CT, powered by Altivity, leads to low-dose, high-quality, and high-speed. Courtesy of Dr. Richard Hawkins, Hospitals NHS Trust, Crewe, United Kingdom

CanonMedicalANZ's tweet image. Visit bit.ly/3zdSF7Y to gain insights on how #DeepLearningReconstruction in #CT, powered by Altivity, leads to low-dose, high-quality, and high-speed.

Courtesy of Dr. Richard Hawkins, Hospitals NHS Trust, Crewe, United Kingdom

With the new Aquilion Prime SP #CT featuring AiCE #deeplearningreconstruction, Cooma District Hospital can now provide CT imaging with reduced #radiationdose and better image quality for skiers and snowboarders in this ski season. More about AiCE bit.ly/3z3qFUt

CanonMedicalANZ's tweet image. With the new Aquilion Prime SP #CT featuring AiCE #deeplearningreconstruction, Cooma District Hospital can now provide CT imaging with reduced #radiationdose and better image quality for skiers and snowboarders in this ski season. 

More about AiCE bit.ly/3z3qFUt

Interested to learn how #DeepLearningReconstruction algorithms, powered by Altivity, can reduce radiation dose and improve image quality in #CT #angiography? Visit bit.ly/3NUgRAt Courtesy Prof. Ricolfi, François-Mitterrand University Hospital, Dijon, France

CanonMedicalANZ's tweet image. Interested to learn how #DeepLearningReconstruction algorithms, powered by Altivity, can reduce radiation dose and improve image quality in #CT #angiography? 

Visit  bit.ly/3NUgRAt

Courtesy Prof. Ricolfi, François-Mitterrand University Hospital, Dijon, France

Explore how #DeepLearningReconstruction, powered by Altivity, improves the reliability of quantitative diffusion-weighted imaging visit bit.ly/3NatJls

CanonMedicalANZ's tweet image. Explore how #DeepLearningReconstruction, powered by Altivity, improves the reliability of quantitative diffusion-weighted imaging visit bit.ly/3NatJls

Discover how Canon Medical's #DeepLearningReconstruction, powered by Altivity, affect #imagequality and #radiationdose reduction in #paediatric patients. Visit bit.ly/3MM1VUp

CanonMedicalANZ's tweet image. Discover how Canon Medical's #DeepLearningReconstruction, powered by Altivity, affect #imagequality and #radiationdose reduction in #paediatric patients. Visit bit.ly/3MM1VUp

Only a few more days until #ANZSNM22. Find out more about how Canon Medical is breaking grounds for physicists and technologists in #PET imaging with their #DeepLearningReconstruction technology during the Conference in Brisbane. bit.ly/3l17H8V


AiCE, Canon's advanced #DeepLearningReconstruction technology, is now available on the Cartesion Prime, the first completely air-cooled digital PET-CT system. Find out how AI helps reduce scan time per bed and improve #ImageQuality in PET imaging. bit.ly/3IRkq8m

CanonMedicalANZ's tweet image. AiCE, Canon's advanced #DeepLearningReconstruction technology, is now available on the Cartesion Prime, the first completely air-cooled digital PET-CT system. 

Find out how AI helps reduce scan time per bed and improve #ImageQuality in PET imaging. bit.ly/3IRkq8m

No results for "#deeplearningreconstruction"

Innovations in #DeepLearningReconstruction to reach new heights in #CT image quality – best low-contrast ever, super resolution (Pending 510k), & spectral. Last chance to join a live virtual demo at #RSNA2021 bit.ly/3EkseO3 #CT #ComputedTomography #RSNA #MedicalImaging

CanonMedicalUS's tweet image. Innovations in #DeepLearningReconstruction to reach new heights in #CT image quality – best low-contrast ever, super resolution (Pending 510k), & spectral. Last chance to join a live virtual demo at #RSNA2021 bit.ly/3EkseO3 #CT #ComputedTomography #RSNA #MedicalImaging

Leveraging AiCE, Canon Medical's cutting edge #DeepLearningReconstruction technology, Bordeaux University has achieved extraordinary #MRI image resolution and ranked itself at the top of the imaging centres in Europe. bit.ly/2Ozq98N #MadePossi

TriBruSan's tweet image. Leveraging AiCE, Canon Medical's cutting edge #DeepLearningReconstruction technology, Bordeaux University has achieved extraordinary #MRI image resolution and ranked itself at the top of the imaging centres in Europe.  bit.ly/2Ozq98N #MadePossi…

Welcome to the age of AI-assisted CT! See through the noise with cutting-edge Deep Learning Reconstruction technology that delivers sharp, clear and distinct images at speed. #AI #CT #deeplearningreconstruction #madepossible #madeforlife Video source…

TriBruSan's tweet image. Welcome to the age of AI-assisted CT! 
See through the noise with cutting-edge Deep Learning Reconstruction technology that delivers sharp, clear and distinct images at speed.

#AI #CT #deeplearningreconstruction #madepossible #madeforlife 

Video source…

Congratulations I-MED Newtown on your new Aquilion ONE / PRISM #CT installation. The new system combines Canon's one-beat #cardiac and PIQE super resolution #deeplearningreconstruction to deliver sharp cardiac images. bit.ly/3IMDNlI

CanonMedicalANZ's tweet image. Congratulations I-MED Newtown on your new Aquilion ONE / PRISM #CT installation. 

The new system combines Canon's one-beat #cardiac and PIQE super resolution #deeplearningreconstruction to deliver sharp cardiac images. bit.ly/3IMDNlI

“The term #AI really is being used broadly and loosely within the medical imaging industry.” Find out how the team at Canon Medical Research USA is evolving authentic AI, such as #DeepLearningReconstruction techniques, for everyone. …

TriBruSan's tweet image. “The term #AI really is being used broadly and loosely within the medical imaging industry.” 

Find out how the team at Canon Medical Research USA is evolving authentic AI, such as #DeepLearningReconstruction techniques, for everyone. …

Interested to learn how #DeepLearningReconstruction algorithms, powered by Altivity, can reduce radiation dose and improve image quality in #CT #angiography? Visit bit.ly/3NUgRAt Courtesy Prof. Ricolfi, François-Mitterrand University Hospital, Dijon, France

CanonMedicalANZ's tweet image. Interested to learn how #DeepLearningReconstruction algorithms, powered by Altivity, can reduce radiation dose and improve image quality in #CT #angiography? 

Visit  bit.ly/3NUgRAt

Courtesy Prof. Ricolfi, François-Mitterrand University Hospital, Dijon, France

With the new Aquilion Prime SP #CT featuring AiCE #deeplearningreconstruction, Cooma District Hospital can now provide CT imaging with reduced #radiationdose and better image quality for skiers and snowboarders in this ski season. More about AiCE bit.ly/3z3qFUt

CanonMedicalANZ's tweet image. With the new Aquilion Prime SP #CT featuring AiCE #deeplearningreconstruction, Cooma District Hospital can now provide CT imaging with reduced #radiationdose and better image quality for skiers and snowboarders in this ski season. 

More about AiCE bit.ly/3z3qFUt

Thanks to Canon's #Spectral #DeepLearningReconstruction that offers low noise properties and excellent energy separation, assessing benign and malignant lung nodules becomes a whole lot simpler with Spectral #CT. See for yourself at bit.ly/3cgU7O3

CanonMedicalANZ's tweet image. Thanks to Canon's #Spectral #DeepLearningReconstruction that offers low noise properties and excellent energy separation, assessing benign and malignant lung nodules becomes a whole lot simpler with Spectral #CT.

See for yourself at bit.ly/3cgU7O3

Congratulations to the team at CIG Garranon on the installation of your new Aquilion Lightning 160, with AiCE #DeepLearningReconstruction, powered by Altivity. Find out more about this compact, affordable #CT scanner. bit.ly/3gDNA27

CanonMedicalANZ's tweet image. Congratulations to the team at CIG Garranon on the installation of your new Aquilion Lightning 160, with AiCE #DeepLearningReconstruction, powered by Altivity. 

Find out more about this compact, affordable #CT scanner. bit.ly/3gDNA27

Congratulations to the team at Rockingham General Hospital on the installation of your new Aquilion Prime SP, with AiCE #deeplearningreconstruction powered by Altivity. Learn more about how AiCE can help achieve high quality image faster at lower #doses. bit.ly/3qFm0D2

CanonMedicalANZ's tweet image. Congratulations to the team at Rockingham General Hospital on the installation of your new Aquilion Prime SP, with AiCE #deeplearningreconstruction powered by Altivity. 

Learn more about how AiCE can help achieve high quality image faster at lower #doses.
bit.ly/3qFm0D2

Discover how the Aquilion ONE / PRISM Edition with Advanced intelligent Clear-IQ Engine (AiCE) and Deep Learning Spectral can help revolutionize your clinical practice. More information: ow.ly/PpYg50xLn9a #AI #CT #deeplearningreconstruction #ma

TriBruSan's tweet image. Discover how the Aquilion ONE / PRISM Edition with Advanced intelligent Clear-IQ Engine (AiCE) and Deep Learning Spectral can help revolutionize your clinical practice.

More information: ow.ly/PpYg50xLn9a 

#AI #CT #deeplearningreconstruction #ma…

Read this article to learn how the Radiology department at the Strasbourg University Hospital obtain excellent monochromatic image quality using #Spectral #DeepLearningReconstruction technology on their Aquilion ONE / PRISM Edition #CT. bit.ly/3pUHCfM

CanonMedicalANZ's tweet image. Read this article to learn how the Radiology department at the Strasbourg University Hospital obtain excellent monochromatic image quality using #Spectral #DeepLearningReconstruction technology on their Aquilion ONE / PRISM Edition #CT.  bit.ly/3pUHCfM

Visit bit.ly/3zdSF7Y to gain insights on how #DeepLearningReconstruction in #CT, powered by Altivity, leads to low-dose, high-quality, and high-speed. Courtesy of Dr. Richard Hawkins, Hospitals NHS Trust, Crewe, United Kingdom

CanonMedicalANZ's tweet image. Visit bit.ly/3zdSF7Y to gain insights on how #DeepLearningReconstruction in #CT, powered by Altivity, leads to low-dose, high-quality, and high-speed.

Courtesy of Dr. Richard Hawkins, Hospitals NHS Trust, Crewe, United Kingdom

AiCE, Canon Medical's industry-leading #DeepLearningReconstruction technology, is now available across our #CT portfolio. Superior #ImageQuality with Lower #dose is #MadePossible regardless of your budget or clinical requirements. Find out more …

TriBruSan's tweet image. AiCE, Canon Medical's industry-leading #DeepLearningReconstruction technology, is now available across our #CT portfolio. Superior #ImageQuality with Lower #dose is #MadePossible regardless of your budget or clinical requirements. Find out more …

#AiCE, based on #DeepLearningReconstruction algorithm, is trained to distinguish true signal from noise to deliver unsurpassed image quality at low radiation dose. Proud to be a Platinum sponsor of #RADAIM 2019. #CollaborativeImaging. Made Possible. …

TriBruSan's tweet image. #AiCE, based on #DeepLearningReconstruction algorithm, is trained to distinguish true signal from noise to deliver unsurpassed image quality at low radiation dose. Proud to be a Platinum sponsor of #RADAIM 2019. #CollaborativeImaging. Made Possible. …

Explore how #DeepLearningReconstruction, powered by Altivity, improves the reliability of quantitative diffusion-weighted imaging visit bit.ly/3NatJls

CanonMedicalANZ's tweet image. Explore how #DeepLearningReconstruction, powered by Altivity, improves the reliability of quantitative diffusion-weighted imaging visit bit.ly/3NatJls

The 1st stage of a brand new Aquilion Lightning 160 equipped with AiCE, world’s first #DeepLearningReconstruction for #CT, has been successfully delivered to the new Queensland Radiology Specialists practice. Learn more about the CT system …

TriBruSan's tweet image. The 1st stage of a brand new Aquilion Lightning 160 equipped with AiCE, world’s first #DeepLearningReconstruction for #CT,  has been successfully delivered to the new Queensland Radiology Specialists practice.  
 
Learn more about the CT system …
TriBruSan's tweet image. The 1st stage of a brand new Aquilion Lightning 160 equipped with AiCE, world’s first #DeepLearningReconstruction for #CT,  has been successfully delivered to the new Queensland Radiology Specialists practice.  
 
Learn more about the CT system …
TriBruSan's tweet image. The 1st stage of a brand new Aquilion Lightning 160 equipped with AiCE, world’s first #DeepLearningReconstruction for #CT,  has been successfully delivered to the new Queensland Radiology Specialists practice.  
 
Learn more about the CT system …
TriBruSan's tweet image. The 1st stage of a brand new Aquilion Lightning 160 equipped with AiCE, world’s first #DeepLearningReconstruction for #CT,  has been successfully delivered to the new Queensland Radiology Specialists practice.  
 
Learn more about the CT system …

The 1st AiCE-enabled Aquilion Prime SP in ANZ is now live at Dubbo Base Hospital! #DeepLearningReconstruction is #MadePossible for routine use to expand your clinical capability. Find out how the #AI powered #CT delivers extraordinary image quality. …

TriBruSan's tweet image. The 1st AiCE-enabled Aquilion Prime SP in ANZ is now live at Dubbo Base Hospital! #DeepLearningReconstruction is #MadePossible for routine use to expand your clinical capability.

Find out how the #AI powered #CT delivers extraordinary image quality. …

How does AiCE, Canon Medical's #DeepLearningReconstruction technology bring superb image quality to routine clinical MRI? Read this white paper to find out from Garry E. Gold, Clinical radiologist and researcher. bit.ly/2FYLZl5 #Intelligent #…

TriBruSan's tweet image. How does AiCE, Canon Medical's #DeepLearningReconstruction technology bring superb image quality to routine clinical MRI?  Read this white paper to find out from Garry E. Gold, Clinical radiologist and researcher. bit.ly/2FYLZl5

#Intelligent #…

Attending #ANZSPR2022? Join the Canon Medical presentation on Tuesday, 25 October at 11 - 11:15am and discover how #DeepLearningReconstruction is the future of #paediatric #CT. For more information: bit.ly/3SzgayR

CanonMedicalANZ's tweet image. Attending #ANZSPR2022?

Join the Canon Medical presentation on Tuesday, 25 October at 11 - 11:15am and discover how #DeepLearningReconstruction is the future of #paediatric #CT. 

For more information: bit.ly/3SzgayR

Loading...

Something went wrong.


Something went wrong.