#doubleprotection search results

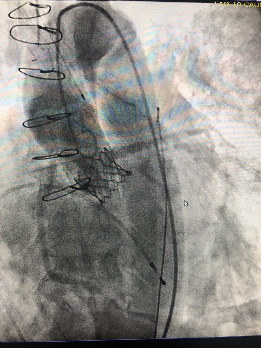
#TAVR #doubleprotection 56 yo f w/ SAVR 23 mm Freestyle. No CAD, ESRD. Severe prosthetic AS for ViV TAVR. Low RCA height at 6.8 mm and LCA at 8.1 mm. 23mm S3 deployed after protection of both coronaries. Post angio compromise of both cors. LM/RCA stents deployed w/ good result.

KaliyadanMD's tweet image. #TAVR #doubleprotection 56 yo f w/ SAVR 23 mm Freestyle. No CAD, ESRD. Severe prosthetic AS for ViV TAVR. Low RCA height at 6.8 mm and LCA at 8.1 mm. 23mm S3 deployed after protection of both coronaries. Post angio compromise of both cors. LM/RCA stents deployed w/ good result.
KaliyadanMD's tweet image. #TAVR #doubleprotection 56 yo f w/ SAVR 23 mm Freestyle. No CAD, ESRD. Severe prosthetic AS for ViV TAVR. Low RCA height at 6.8 mm and LCA at 8.1 mm. 23mm S3 deployed after protection of both coronaries. Post angio compromise of both cors. LM/RCA stents deployed w/ good result.
KaliyadanMD's tweet image. #TAVR #doubleprotection 56 yo f w/ SAVR 23 mm Freestyle. No CAD, ESRD. Severe prosthetic AS for ViV TAVR. Low RCA height at 6.8 mm and LCA at 8.1 mm. 23mm S3 deployed after protection of both coronaries. Post angio compromise of both cors. LM/RCA stents deployed w/ good result.

#WTF !? On M'explique.. Il A Une Paire de Lunette Sur Une Paire de Lunette Ou C'est Comment.. #DoubleProtection x'D

LML_tkd's tweet image. #WTF !? On M'explique.. Il A Une Paire de Lunette Sur Une Paire de Lunette Ou C'est Comment.. #DoubleProtection x'D

When your sister gets her permit and is practicing driving #DoubleProtection

raf_daxton's tweet image. When your sister gets her permit and is practicing driving #DoubleProtection

Can I get a vote for best mask in the office? #doubleprotection

cgoldsb1982's tweet image. Can I get a vote for best mask in the office? #doubleprotection

अब एक नहीं दो मास्क की बारी अपनी सुरक्षा,अपनी जिम्मेदारी डबल मास्क डबल सुरक्षा #DoubleMasking #doubleprotection #mask #MaskUpIndia #CoronaUpdatesInIndia



Monoclonal infusion and now this!! #DoubleProtection #StillWearingMask😷

AMUNOZATX's tweet image. Monoclonal infusion and now this!! #DoubleProtection #StillWearingMask😷

Когда туса на коттедже,а идти в него через лес и ты в белых кедах #DoubleProtection

Ann_Mikhailik's tweet image. Когда туса на коттедже,а идти в него через лес и ты в белых кедах #DoubleProtection

Double trouble, Double protection among young people. For young people to mask up, sanitize and also use condom 🤞 that's the way to go. #DoubleTrouble #DoubleProtection #PHAUCARES #MaskUp #Sanitize #Use #Condoms

phauganda's tweet image. Double trouble, Double protection among young people. For young people to mask up,  sanitize and also use condom 🤞 that's the way to go.

#DoubleTrouble #DoubleProtection #PHAUCARES #MaskUp #Sanitize #Use #Condoms

Wow! TWO lines of paint to keep vehicles out of the bike lane on #Lougheed Hwy in #Burnaby. #DoubleProtection

ilovethearts's tweet image. Wow! TWO lines of paint to keep vehicles out of the bike lane on #Lougheed Hwy in #Burnaby.  #DoubleProtection

#doubleprotection #swissfinish: The tent is set up indoor in a hall... Prosit! 🍻

GvSchnurbein's tweet image. #doubleprotection #swissfinish: The tent is set up indoor in a hall... Prosit! 🍻

Use a luggage liner inside hard cases. A waterproof bag inside the hard case provides double protection and makes unpacking easier—just pull the liner bag out instead of individual items. youtube.com/@MotoWorldExpl… #LuggageLiner #DoubleProtection #EasyUnpack


Big thanks for choosing the Doulton HIP2! 💧 You’ve just upgraded your home with double the filtration power and our trusted heritage of quality. Here’s to many years of crisp, clean, and safe water for you and your family! #Doulton #HIP2 #DoubleProtection #DoultonMY #ThankYou


Big thanks for choosing the Doulton HIP2! 💧 You’ve just upgraded your home with double the filtration power and our trusted heritage of quality. Here’s to many years of crisp, clean, and safe water for you and your family! #Doulton #HIP2 #DoubleProtection #DoultonMY #ThankYou


🔐 Two-Factor Authentication — Double security layer! Wallet protection requiring two verification methods - password plus code/device. Hackers need two keys, not one! 🛡️📱 🔗 chainterms.com/glossary/two-f… #2FA #WalletSecurity #DoubleProtection #SecureWallet


i honestly use both lmaooo #doubleprotection


October is about protecting women! 🎀 While we go #PinkForBCAM, let's remember the ultimate tool for preventing another common female cancer: Cervical Cancer. Prevention is Power. Protect Her Future. #DoubleProtection #HPVVaccine #CervicalCancerPrevention #Pinktober #WomensHealth

RahnumaRnS's tweet image. October is about protecting women! 🎀
While we go #PinkForBCAM, let's remember the ultimate tool for preventing another common female cancer: Cervical Cancer.
Prevention is Power. Protect Her Future.
#DoubleProtection #HPVVaccine #CervicalCancerPrevention #Pinktober #WomensHealth

🎯 **Safal Jeevan = Successful Life with complete financial security** 📞 S.Seetharaman: 979 001 1341 #SafalJeevan #DoubleProtection #111PerDay #50LakhCover #bzybee #insurance #lifeinsurance #lic #madurai #uthangudi  calendly.com/mduseetharaman…


Giverep matches anti-poaching donations. Your support doubles—endangered species twice protected. #DoubleProtection @Giverep


Giverep matches donations to wildlife anti-poaching efforts. Your support doubles—endangered species twice protected. #DoubleProtection @Giverep


They only have ONE… you’ve got TWO. Who wins? 🔥 Double storage, double security, zero stress. That’s X Armor Pro – two pouches in one. #XArmorPro #TechTok #DoubleProtection #StayProtected #SmartGear #EverydayCarry #PrivacyMatters #SecureYourData #TrendingNow #TikTokMadeMeBuyIt


mending tangan gw ikut masuk ke kantongnya gaksih sha? trs pegangan bareng biar gak jatoh passport nya?☺️ #doubleprotection


Call into us at CQHQ Building, Waring Street!📍 Or call us on 028 9032 8866!📞 #SexualHealth #DoubleProtection #EasterSafe #ContraceptionAwareness #DontPutAllYourEggsInOneBasket


Double the locks, double the security! Adding a second lock strengthens your protection, gives you more control, and ensures extra peace of mind. Because when it comes to safety, more is always better! #HomeSecurity #DoubleProtection #StaySafe #LocksmithSolutions #SecureYourHome

KandM_Lock's tweet image. Double the locks, double the security! Adding a second lock strengthens your protection, gives you more control, and ensures extra peace of mind. Because when it comes to safety, more is always better!
#HomeSecurity #DoubleProtection #StaySafe #LocksmithSolutions #SecureYourHome

Trust in life insurance that provides double protection and double bharosa for your family. #DoubleProtection #RepublicDay #LifeInsurance #DoubleBharosa #BharoseKaAdvisor web-link.co/aqisk

LakhaniJanak's tweet image. Trust in life insurance that provides double protection and double bharosa for your family. #DoubleProtection #RepublicDay #LifeInsurance #DoubleBharosa #BharoseKaAdvisor
 web-link.co/aqisk

Trust in life insurance that provides double protection and double bharosa for your family. #DoubleProtection #RepublicDay #LifeInsurance #DoubleBharosa #BharoseKaAdvisor web-link.co/aqio1

Kathiravan02000's tweet image. Trust in life insurance that provides double protection and double bharosa for your family. #DoubleProtection #RepublicDay #LifeInsurance #DoubleBharosa #BharoseKaAdvisor
 web-link.co/aqio1

Celebrate Republic Day by securing your family with double protection and double bharosa. #LifeInsurance #DoubleProtection #DoubleBharosa #BharoseKaAdvisor web-link.co/apg54

LakhaniJanak's tweet image. Celebrate Republic Day by securing your family with double protection and double bharosa. #LifeInsurance #DoubleProtection #DoubleBharosa #BharoseKaAdvisor
 web-link.co/apg54

Double the protection, double the confidence. Our Insulated Steel Tools offer unmatched safety and strength for high-voltage tasks, ensuring your team can work in hazardous conditions with peace of mind. #InsulatedSteelTools #DoubleProtection #HighVoltageTools #DeNeersSafety

DeNeersTools's tweet image. Double the protection, double the confidence. Our Insulated Steel Tools offer unmatched safety and strength for high-voltage tasks, ensuring your team can work in hazardous conditions with peace of mind.

#InsulatedSteelTools #DoubleProtection #HighVoltageTools #DeNeersSafety

No results for "#doubleprotection"

OXFORD’S POTENTIAL COVID-19 VACCINE WILL PROVIDE “DOUBLE PROTECTION” – The potential #COVID-19vaccine by #Oxford is capable of providing #doubleprotection , claimed sour... industryglobalnews24.com/oxford-s-poten…

KumarKshitizKa1's tweet image. OXFORD’S POTENTIAL COVID-19 VACCINE WILL PROVIDE “DOUBLE PROTECTION” – The potential #COVID-19vaccine by #Oxford is capable of providing #doubleprotection , claimed sour... industryglobalnews24.com/oxford-s-poten…


October is about protecting women! 🎀 While we go #PinkForBCAM, let's remember the ultimate tool for preventing another common female cancer: Cervical Cancer. Prevention is Power. Protect Her Future. #DoubleProtection #HPVVaccine #CervicalCancerPrevention #Pinktober #WomensHealth

RahnumaRnS's tweet image. October is about protecting women! 🎀
While we go #PinkForBCAM, let's remember the ultimate tool for preventing another common female cancer: Cervical Cancer.
Prevention is Power. Protect Her Future.
#DoubleProtection #HPVVaccine #CervicalCancerPrevention #Pinktober #WomensHealth

Boost your online security with #2FA! 💪🔒 Passwords are the first line of defense, but 2FA adds an impenetrable fortress to your accounts! Get that extra layer of protection today. #DoubleProtection #SecureYourAccounts 🏰💻

official_imine's tweet image. Boost your online security with #2FA! 💪🔒 Passwords are the first line of defense, but 2FA adds an impenetrable fortress to your accounts! Get that extra layer of protection today. #DoubleProtection #SecureYourAccounts 🏰💻

Grant Williams could have worn his Invisalign with a mouthguard. #DoubleProtection #ProtectYourSmileWearAMouthguard @Grant2Will #Celtics

drjefflo's tweet image. Grant Williams could have worn his Invisalign with a mouthguard. #DoubleProtection #ProtectYourSmileWearAMouthguard @Grant2Will #Celtics
drjefflo's tweet image. Grant Williams could have worn his Invisalign with a mouthguard. #DoubleProtection #ProtectYourSmileWearAMouthguard @Grant2Will #Celtics
drjefflo's tweet image. Grant Williams could have worn his Invisalign with a mouthguard. #DoubleProtection #ProtectYourSmileWearAMouthguard @Grant2Will #Celtics

Wow! TWO lines of paint to keep vehicles out of the bike lane on #Lougheed Hwy in #Burnaby. #DoubleProtection

ilovethearts's tweet image. Wow! TWO lines of paint to keep vehicles out of the bike lane on #Lougheed Hwy in #Burnaby.  #DoubleProtection

Когда туса на коттедже,а идти в него через лес и ты в белых кедах #DoubleProtection

Ann_Mikhailik's tweet image. Когда туса на коттедже,а идти в него через лес и ты в белых кедах #DoubleProtection

Time to double up the protection! Wear a double mask to protect you and your loved ones! Visit- blalpharmacy.com Call us- 9166135555 #doublemask #doubleprotection #doublemasking #covid19 #DrBLalLab #maskon #covidindia #oxygen #maskup #jaipur #rajasthan #healthcareworkers

DrBLalPharmacy's tweet image. Time to double up the protection!
Wear a double mask to protect you and your loved ones!
Visit- blalpharmacy.com  Call us- 9166135555

#doublemask #doubleprotection #doublemasking #covid19 #DrBLalLab #maskon #covidindia #oxygen #maskup #jaipur #rajasthan #healthcareworkers

La s*lopee 😂🤺😁😁😁 j'ai souder autours du réservoir pendant deux heures lol #doubleprotection

TomgetsDj's tweet image. La s*lopee 😂🤺😁😁😁 j'ai souder autours du réservoir pendant deux heures lol #doubleprotection

#Contraception #DoubleProtection La double protection, qu'est ce que c'est et quels sont les avantages? m.facebook.com/story.php?stor… Pour plus d'informations m.me/amouretvieabms

amouretvieabms's tweet image. #Contraception #DoubleProtection
La double protection, qu'est ce que c'est et quels sont les avantages?

m.facebook.com/story.php?stor…

Pour plus d'informations m.me/amouretvieabms

New phone case day. The one on the right is 4 years old. They are made in Cambodia from old cement bags! (Their not actually phone cases but a purse….don’t tell anyone 🤫) It’s the only case big enough to fit an iPhone pro max that’s in an otter box case! #doubleprotection

GwenynGruffydd's tweet image. New phone case day. The one on the right is 4 years old. They are made in Cambodia from old cement bags!
(Their not actually phone cases but a purse….don’t tell anyone 🤫) 
It’s the only case big enough to fit an iPhone pro max that’s in an otter box case! #doubleprotection

When you use a condom and still pull out. #DoubleProtection.


Monoclonal infusion and now this!! #DoubleProtection #StillWearingMask😷

AMUNOZATX's tweet image. Monoclonal infusion and now this!! #DoubleProtection #StillWearingMask😷

Add Pomegranates to your diet for great skin results & combine it with Alpha Lipoic Activator for #doubleprotection.

NimueSkinInt's tweet image. Add Pomegranates to your diet for great skin results & combine it with Alpha Lipoic Activator for #doubleprotection.

We are the only waterproofing that gives you "DOUBLE" the protection. Contact us today to LEARN MORE about our DUAL Basement Waterproofing System. See why we are taking the waterproofing industry by STORM! #doubleprotection #affordable #MichiganBasements

MichBasements's tweet image. We are the only waterproofing that gives you "DOUBLE" the  protection. Contact us today to LEARN MORE about our DUAL Basement Waterproofing System.  See why we are taking the waterproofing industry by STORM! #doubleprotection #affordable #MichiganBasements

#TAVR #doubleprotection 56 yo f w/ SAVR 23 mm Freestyle. No CAD, ESRD. Severe prosthetic AS for ViV TAVR. Low RCA height at 6.8 mm and LCA at 8.1 mm. 23mm S3 deployed after protection of both coronaries. Post angio compromise of both cors. LM/RCA stents deployed w/ good result.

KaliyadanMD's tweet image. #TAVR #doubleprotection 56 yo f w/ SAVR 23 mm Freestyle. No CAD, ESRD. Severe prosthetic AS for ViV TAVR. Low RCA height at 6.8 mm and LCA at 8.1 mm. 23mm S3 deployed after protection of both coronaries. Post angio compromise of both cors. LM/RCA stents deployed w/ good result.
KaliyadanMD's tweet image. #TAVR #doubleprotection 56 yo f w/ SAVR 23 mm Freestyle. No CAD, ESRD. Severe prosthetic AS for ViV TAVR. Low RCA height at 6.8 mm and LCA at 8.1 mm. 23mm S3 deployed after protection of both coronaries. Post angio compromise of both cors. LM/RCA stents deployed w/ good result.
KaliyadanMD's tweet image. #TAVR #doubleprotection 56 yo f w/ SAVR 23 mm Freestyle. No CAD, ESRD. Severe prosthetic AS for ViV TAVR. Low RCA height at 6.8 mm and LCA at 8.1 mm. 23mm S3 deployed after protection of both coronaries. Post angio compromise of both cors. LM/RCA stents deployed w/ good result.

Sporting my double protection Covid mask by @JullyBlack! Better safe than sorry! This one is lit, it pass da fiya test. The fiya stayed lit! Bunn Corona Mask! #MadeInCanada #DoubleProtection #PassDaFiyaTest #BunnCoronaMask #BetterSafeThanSorry #OneLove 100strongandsexy.com/shop/limited-e…

eveaccess2018's tweet image. Sporting my double protection Covid mask by @JullyBlack! Better safe than sorry! This one is lit, it pass da fiya test. The fiya stayed lit! Bunn Corona Mask! #MadeInCanada #DoubleProtection #PassDaFiyaTest #BunnCoronaMask #BetterSafeThanSorry #OneLove 100strongandsexy.com/shop/limited-e…
eveaccess2018's tweet image. Sporting my double protection Covid mask by @JullyBlack! Better safe than sorry! This one is lit, it pass da fiya test. The fiya stayed lit! Bunn Corona Mask! #MadeInCanada #DoubleProtection #PassDaFiyaTest #BunnCoronaMask #BetterSafeThanSorry #OneLove 100strongandsexy.com/shop/limited-e…

Loading...

Something went wrong.


Something went wrong.