#dukereview search results

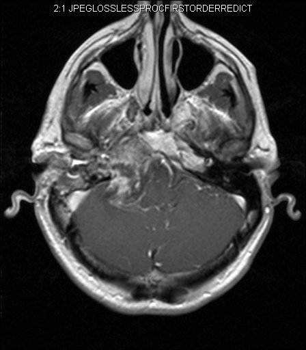
Awesome Skull Base Case I didn't show at #DukeReview: #Radres Diagnosis? ANSWER: goo.gl/w51meK

JennyKHoang's tweet image. Awesome Skull Base Case I didn't show at #DukeReview: 
#Radres Diagnosis?
ANSWER: goo.gl/w51meK
JennyKHoang's tweet image. Awesome Skull Base Case I didn't show at #DukeReview: 
#Radres Diagnosis?
ANSWER: goo.gl/w51meK
JennyKHoang's tweet image. Awesome Skull Base Case I didn't show at #DukeReview: 
#Radres Diagnosis?
ANSWER: goo.gl/w51meK

#DukeReview is on! Looking forward to my part on Monday. #Radres, thanks for choosing @DukeRadiology for your radiology board prep course.

JennyKHoang's tweet image. #DukeReview is on! Looking forward to my part on Monday. #Radres, thanks for choosing @DukeRadiology for your radiology board prep course.

Check out the 2020 Duke Review!! High yield physics and compliance topics are at the #DukeReview! Bremsstrahlung, Pareto charts, and NRC packaging regulations - truly your cup will runneth over Learn more: @DukeRadiology #DukeRadCME ow.ly/5Wib50yxKfv


Every morning I sing/rap to my dog. Today's song is called "if you bitch-made". He gave it two paws up #dukereview


Following #STR2018, excited for a great crowd at the @DukeRadiology #DukeReview Course next week where I will be speaking on aortic disease. Case preview:

JRadMD's tweet image. Following #STR2018, excited for a great crowd at the @DukeRadiology #DukeReview Course next week where I will be speaking on aortic disease. Case preview:

New Health Hashtag 👉 #DukeReview hcsm.io/2e5K2PV 👏 @DukeRadiology #spr16 "Duke Radiology Review Course"


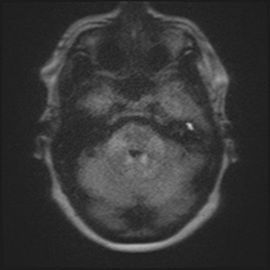
Awesome T-bone Case I didn't show at #DukeReview: Coalescent mastoiditis complicated by petrous apicitis. MORE: radiopaedia.org/articles/coale… #Radres

JennyKHoang's tweet image. Awesome T-bone Case I didn't show at #DukeReview: 
Coalescent mastoiditis complicated by petrous apicitis. 

MORE: radiopaedia.org/articles/coale… #Radres
JennyKHoang's tweet image. Awesome T-bone Case I didn't show at #DukeReview: 
Coalescent mastoiditis complicated by petrous apicitis. 

MORE: radiopaedia.org/articles/coale… #Radres
JennyKHoang's tweet image. Awesome T-bone Case I didn't show at #DukeReview: 
Coalescent mastoiditis complicated by petrous apicitis. 

MORE: radiopaedia.org/articles/coale… #Radres

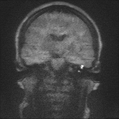
Awesome T-bone Case I didn't show at #DukeReview: Restricted diffusion in cholesteatoma on MRI. Need dedicated protocol with coronal views. Thx to @gmoonis for sharing her experience. #radres @DukeRadiology MORE: pubs.rsna.org/doi/full/10.11…

JennyKHoang's tweet image. Awesome T-bone Case I didn't show at #DukeReview: 

Restricted diffusion in cholesteatoma on MRI. 
Need dedicated protocol with coronal views. Thx to @gmoonis for sharing her experience. #radres @DukeRadiology 

MORE: pubs.rsna.org/doi/full/10.11…
JennyKHoang's tweet image. Awesome T-bone Case I didn't show at #DukeReview: 

Restricted diffusion in cholesteatoma on MRI. 
Need dedicated protocol with coronal views. Thx to @gmoonis for sharing her experience. #radres @DukeRadiology 

MORE: pubs.rsna.org/doi/full/10.11…
JennyKHoang's tweet image. Awesome T-bone Case I didn't show at #DukeReview: 

Restricted diffusion in cholesteatoma on MRI. 
Need dedicated protocol with coronal views. Thx to @gmoonis for sharing her experience. #radres @DukeRadiology 

MORE: pubs.rsna.org/doi/full/10.11…
JennyKHoang's tweet image. Awesome T-bone Case I didn't show at #DukeReview: 

Restricted diffusion in cholesteatoma on MRI. 
Need dedicated protocol with coronal views. Thx to @gmoonis for sharing her experience. #radres @DukeRadiology 

MORE: pubs.rsna.org/doi/full/10.11…

What is this "contradistinction" word that #dukereview seems to love?


Check out the 2020 Duke Review!! High yield physics and compliance topics are at the #DukeReview! Bremsstrahlung, Pareto charts, and NRC packaging regulations - truly your cup will runneth over Learn more: @DukeRadiology #DukeRadCME ow.ly/5Wib50yxKfv


Awesome T-bone Case I didn't show at #DukeReview: Restricted diffusion in cholesteatoma on MRI. Need dedicated protocol with coronal views. Thx to @gmoonis for sharing her experience. #radres @DukeRadiology MORE: pubs.rsna.org/doi/full/10.11…

JennyKHoang's tweet image. Awesome T-bone Case I didn't show at #DukeReview: 

Restricted diffusion in cholesteatoma on MRI. 
Need dedicated protocol with coronal views. Thx to @gmoonis for sharing her experience. #radres @DukeRadiology 

MORE: pubs.rsna.org/doi/full/10.11…
JennyKHoang's tweet image. Awesome T-bone Case I didn't show at #DukeReview: 

Restricted diffusion in cholesteatoma on MRI. 
Need dedicated protocol with coronal views. Thx to @gmoonis for sharing her experience. #radres @DukeRadiology 

MORE: pubs.rsna.org/doi/full/10.11…
JennyKHoang's tweet image. Awesome T-bone Case I didn't show at #DukeReview: 

Restricted diffusion in cholesteatoma on MRI. 
Need dedicated protocol with coronal views. Thx to @gmoonis for sharing her experience. #radres @DukeRadiology 

MORE: pubs.rsna.org/doi/full/10.11…
JennyKHoang's tweet image. Awesome T-bone Case I didn't show at #DukeReview: 

Restricted diffusion in cholesteatoma on MRI. 
Need dedicated protocol with coronal views. Thx to @gmoonis for sharing her experience. #radres @DukeRadiology 

MORE: pubs.rsna.org/doi/full/10.11…

Awesome T-bone Case I didn't show at #DukeReview: Coalescent mastoiditis complicated by petrous apicitis. MORE: radiopaedia.org/articles/coale… #Radres

JennyKHoang's tweet image. Awesome T-bone Case I didn't show at #DukeReview: 
Coalescent mastoiditis complicated by petrous apicitis. 

MORE: radiopaedia.org/articles/coale… #Radres
JennyKHoang's tweet image. Awesome T-bone Case I didn't show at #DukeReview: 
Coalescent mastoiditis complicated by petrous apicitis. 

MORE: radiopaedia.org/articles/coale… #Radres
JennyKHoang's tweet image. Awesome T-bone Case I didn't show at #DukeReview: 
Coalescent mastoiditis complicated by petrous apicitis. 

MORE: radiopaedia.org/articles/coale… #Radres

Awesome Skull Base Case I didn't show at #DukeReview: #Radres Diagnosis? ANSWER: goo.gl/w51meK

JennyKHoang's tweet image. Awesome Skull Base Case I didn't show at #DukeReview: 
#Radres Diagnosis?
ANSWER: goo.gl/w51meK
JennyKHoang's tweet image. Awesome Skull Base Case I didn't show at #DukeReview: 
#Radres Diagnosis?
ANSWER: goo.gl/w51meK
JennyKHoang's tweet image. Awesome Skull Base Case I didn't show at #DukeReview: 
#Radres Diagnosis?
ANSWER: goo.gl/w51meK

#DukeReview is on! Looking forward to my part on Monday. #Radres, thanks for choosing @DukeRadiology for your radiology board prep course.

JennyKHoang's tweet image. #DukeReview is on! Looking forward to my part on Monday. #Radres, thanks for choosing @DukeRadiology for your radiology board prep course.

Following #STR2018, excited for a great crowd at the @DukeRadiology #DukeReview Course next week where I will be speaking on aortic disease. Case preview:

JRadMD's tweet image. Following #STR2018, excited for a great crowd at the @DukeRadiology #DukeReview Course next week where I will be speaking on aortic disease. Case preview:

New Health Hashtag 👉 #DukeReview hcsm.io/2e5K2PV 👏 @DukeRadiology #spr16 "Duke Radiology Review Course"


What is this "contradistinction" word that #dukereview seems to love?


Every morning I sing/rap to my dog. Today's song is called "if you bitch-made". He gave it two paws up #dukereview


Awesome Skull Base Case I didn't show at #DukeReview: #Radres Diagnosis? ANSWER: goo.gl/w51meK

JennyKHoang's tweet image. Awesome Skull Base Case I didn't show at #DukeReview: 
#Radres Diagnosis?
ANSWER: goo.gl/w51meK
JennyKHoang's tweet image. Awesome Skull Base Case I didn't show at #DukeReview: 
#Radres Diagnosis?
ANSWER: goo.gl/w51meK
JennyKHoang's tweet image. Awesome Skull Base Case I didn't show at #DukeReview: 
#Radres Diagnosis?
ANSWER: goo.gl/w51meK

#DukeReview is on! Looking forward to my part on Monday. #Radres, thanks for choosing @DukeRadiology for your radiology board prep course.

JennyKHoang's tweet image. #DukeReview is on! Looking forward to my part on Monday. #Radres, thanks for choosing @DukeRadiology for your radiology board prep course.

Following #STR2018, excited for a great crowd at the @DukeRadiology #DukeReview Course next week where I will be speaking on aortic disease. Case preview:

JRadMD's tweet image. Following #STR2018, excited for a great crowd at the @DukeRadiology #DukeReview Course next week where I will be speaking on aortic disease. Case preview:

Awesome T-bone Case I didn't show at #DukeReview: Coalescent mastoiditis complicated by petrous apicitis. MORE: radiopaedia.org/articles/coale… #Radres

JennyKHoang's tweet image. Awesome T-bone Case I didn't show at #DukeReview: 
Coalescent mastoiditis complicated by petrous apicitis. 

MORE: radiopaedia.org/articles/coale… #Radres
JennyKHoang's tweet image. Awesome T-bone Case I didn't show at #DukeReview: 
Coalescent mastoiditis complicated by petrous apicitis. 

MORE: radiopaedia.org/articles/coale… #Radres
JennyKHoang's tweet image. Awesome T-bone Case I didn't show at #DukeReview: 
Coalescent mastoiditis complicated by petrous apicitis. 

MORE: radiopaedia.org/articles/coale… #Radres

Awesome T-bone Case I didn't show at #DukeReview: Restricted diffusion in cholesteatoma on MRI. Need dedicated protocol with coronal views. Thx to @gmoonis for sharing her experience. #radres @DukeRadiology MORE: pubs.rsna.org/doi/full/10.11…

JennyKHoang's tweet image. Awesome T-bone Case I didn't show at #DukeReview: 

Restricted diffusion in cholesteatoma on MRI. 
Need dedicated protocol with coronal views. Thx to @gmoonis for sharing her experience. #radres @DukeRadiology 

MORE: pubs.rsna.org/doi/full/10.11…
JennyKHoang's tweet image. Awesome T-bone Case I didn't show at #DukeReview: 

Restricted diffusion in cholesteatoma on MRI. 
Need dedicated protocol with coronal views. Thx to @gmoonis for sharing her experience. #radres @DukeRadiology 

MORE: pubs.rsna.org/doi/full/10.11…
JennyKHoang's tweet image. Awesome T-bone Case I didn't show at #DukeReview: 

Restricted diffusion in cholesteatoma on MRI. 
Need dedicated protocol with coronal views. Thx to @gmoonis for sharing her experience. #radres @DukeRadiology 

MORE: pubs.rsna.org/doi/full/10.11…
JennyKHoang's tweet image. Awesome T-bone Case I didn't show at #DukeReview: 

Restricted diffusion in cholesteatoma on MRI. 
Need dedicated protocol with coronal views. Thx to @gmoonis for sharing her experience. #radres @DukeRadiology 

MORE: pubs.rsna.org/doi/full/10.11…

Loading...

Something went wrong.


Something went wrong.