#energyloss search results

Scientists develop new magnetizable shape memory alloy with low #energyloss, even at #lowtemperatures @tohoku_univ @advscinews doi.org/gscb4s phys.org/news/2023-06-s…


#A newly developed organic molecule enables electrons to travel with minimal #EnergyLoss, offering a path to smaller, more efficient, and cost-effective computers beyond silicon’s physical limits. @J_A_C_S doi.org/g9g5vh phys.org/news/2025-05-u…


A research team at at Tokyo University of Science developed a wide-band, high-sensitivity #Barkhausen noise measurement system. #magnetics #energyloss powerelectronicsnews.com/understanding-…

PwrElectronics's tweet image. A research team at at Tokyo University of Science developed a wide-band, high-sensitivity #Barkhausen noise measurement system. #magnetics #energyloss powerelectronicsnews.com/understanding-…

The government is implementing policies to reduce energy loss during transmission and distribution, improving the overall efficiency of the energy system. #EnergyLoss #SystemEfficiency


#A modular system integrates water purification and #Hydrogen production, delivering clean water and energy simultaneously while minimizing #EnergyLoss and enabling scalable deployment in resource-limited settings. doi.org/hbdft7 techxplore.com/news/2025-12-m…


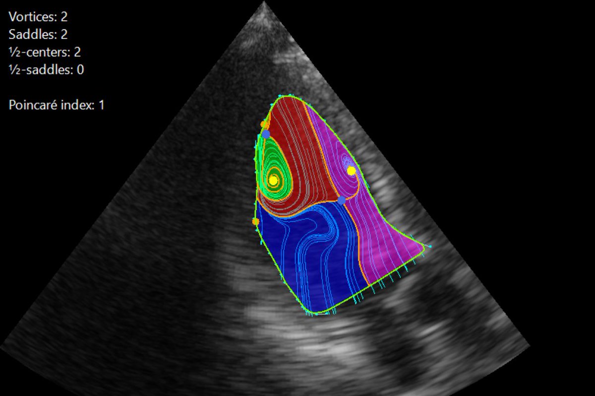
㊗️板谷先生 左室渦流🌊 #Topological 理論 🫀短時間範囲で収縮弛緩繰り返すため位相分類理論で想定の滑り境界条件満たしていない👉n-bundled ss-saddle縮退特異点導入👉🌊構造トポロジカル渦構造識別に成功🎉非効率血流パターン #Energyloss 可視化成功🎉🎉🎉 キャ~😆

渦の中心を何個発見できますか? 心臓内の『渦血流』を同定する理論を世界に先駆けて構築:心血流の渦のパターンを文字化し、早期に心不全を発見する可能性 jst.go.jp/pr/announce/20… #心臓は血流で診断する時代へ #血流解析 #VFM #カーディオフローデザイン #心エコー #心不全 #早期発見

CFD_Inc's tweet image. 渦の中心を何個発見できますか?

心臓内の『渦血流』を同定する理論を世界に先駆けて構築:心血流の渦のパターンを文字化し、早期に心不全を発見する可能性
jst.go.jp/pr/announce/20…

#心臓は血流で診断する時代へ #血流解析 #VFM #カーディオフローデザイン #心エコー #心不全 #早期発見
CFD_Inc's tweet image. 渦の中心を何個発見できますか?

心臓内の『渦血流』を同定する理論を世界に先駆けて構築:心血流の渦のパターンを文字化し、早期に心不全を発見する可能性
jst.go.jp/pr/announce/20…

#心臓は血流で診断する時代へ #血流解析 #VFM #カーディオフローデザイン #心エコー #心不全 #早期発見
CFD_Inc's tweet image. 渦の中心を何個発見できますか?

心臓内の『渦血流』を同定する理論を世界に先駆けて構築:心血流の渦のパターンを文字化し、早期に心不全を発見する可能性
jst.go.jp/pr/announce/20…

#心臓は血流で診断する時代へ #血流解析 #VFM #カーディオフローデザイン #心エコー #心不全 #早期発見


Recognize Your Resistance Mode to Stop Energy Loss Stress and resistance are related to each other. The more resistance we experience, the more stress we will feel. The more stress we feel the more precious energy we will lose #StressResilience #EnergyLoss directions4wellness.com/recognize-your…

HealthCoachSara's tweet image. Recognize Your Resistance Mode to Stop Energy Loss
Stress and resistance are related to each other. The more resistance we experience, the more stress we will feel. The more stress we feel the more precious energy we will lose #StressResilience #EnergyLoss
directions4wellness.com/recognize-your…

Transformer losses directly affect operating cost and thermal performance. Understanding where losses occur helps in selecting the right design for long-term operation.#PowerEfficiency #ElectricalEngineering #EnergyLoss #IndustrialPower #TransformerDesign #VoltaTransformers


With Aflex Eco, energy loss is net zero! ✅High thermal resistance ✅Low maintenance ✅Cost-effective insulation. Start saving today! 📞 +044-48660029 🌐 cresco.co.in #Cresco #HVAC #EnergyLoss #Insulation #CostEffective #AflexEco #ThermalResistance

Cresco_india's tweet image. With Aflex Eco, energy loss is net zero! 
✅High thermal resistance 
✅Low maintenance 
✅Cost-effective insulation. 
Start saving today! 
📞 +044-48660029 
🌐 cresco.co.in 
#Cresco #HVAC #EnergyLoss #Insulation #CostEffective #AflexEco #ThermalResistance
Cresco_india's tweet image. With Aflex Eco, energy loss is net zero! 
✅High thermal resistance 
✅Low maintenance 
✅Cost-effective insulation. 
Start saving today! 
📞 +044-48660029 
🌐 cresco.co.in 
#Cresco #HVAC #EnergyLoss #Insulation #CostEffective #AflexEco #ThermalResistance
Cresco_india's tweet image. With Aflex Eco, energy loss is net zero! 
✅High thermal resistance 
✅Low maintenance 
✅Cost-effective insulation. 
Start saving today! 
📞 +044-48660029 
🌐 cresco.co.in 
#Cresco #HVAC #EnergyLoss #Insulation #CostEffective #AflexEco #ThermalResistance

#A monolayer MoS₂-based microwave transmitter demonstrates low #EnergyLoss, minimal #PowerConsumption, and dual-mode capability, offering new possibilities for compact, efficient communication systems. @NatureElectron doi.org/g96xjj techxplore.com/news/2025-10-p…


Limiting #EnergyLoss from building services was a key consideration for the project at the new children's hospital, Alder Hey. As a result, our #Kooltherm #PipeInsulation was specified for #PipeWork across the facility. Find out more- bit.ly/3d2XNmF

KingspanHVAC_UK's tweet image. Limiting #EnergyLoss from building services was a key consideration for the project at the new children's hospital, Alder Hey. As a result, our #Kooltherm #PipeInsulation was specified for #PipeWork across the facility.

Find out more- bit.ly/3d2XNmF

Detect without damage: App for developers reveals the hidden cost of energy loss in seconds #Engineering #Cost #EnergyLoss engineering-update.co.uk/2023/03/22/det…


🚨🚨Ukrainian officials report major energy infrastructure losses from Russian attacks: 80% of thermal power capacity & 30% of hydroelectric capacity hit. Ukraine heavily relies on its 15 nuclear reactors for power. #Ukraine #EnergyLoss

GlobalTrends88's tweet image. 🚨🚨Ukrainian officials report major energy infrastructure losses from Russian attacks: 80% of thermal power capacity & 30% of hydroelectric capacity hit. Ukraine heavily relies on its 15 nuclear reactors for power. #Ukraine #EnergyLoss

Screens are one of the recent energy dissipator structures that can be used downstream of small hydraulic structures. #energyloss #roughandsmoothbed #screen #verticaldrop iwaponline.com/ws/article/doi…


🪟 Seal gaps around windows and doors. Leaky homes force HVAC systems to work harder! #HomeSealUp #EnergyLoss #KnoxvilleTips #EfficiencyWin

smithhvacknox's tweet image. 🪟 Seal gaps around windows and doors.
Leaky homes force HVAC systems to work harder!
#HomeSealUp #EnergyLoss #KnoxvilleTips #EfficiencyWin

In Canada, more than half of the energy produced is lost. The willingness to reduce these energy losses through more efficient use is the most immediate and least costly means of achieving the Kyoto objectives. nrcan.gc.ca/energy/efficie… #heatpump #energyloss #energyefficiency


Why spend more money on energy when you can save it? Turn off unused appliances and keep your bills low! #AEDC #PowerofCommitment #Energyloss


In real flow, blood pressure is lower after a stenosis due to the loss of energy from the collision of blood flow with the wall and turbulence that occurs at the stenosis. 🌐cfd.life/en/bloodflow/ #BloodFlowAnalysis #EnergyLoss #pressure


Tune into your stress. Ask yourself, “What am I resisting?” and commit to one step of action. No action is too small to shift from #resistance to flow. Your #stress melts away as you take an action, step out of resistance, and feel your energy rebound #EnergyLoss #TakeAction

HealthCoachSara's tweet image. Tune into your stress. Ask yourself, “What am I resisting?” and commit to one step of action. No action is too small to shift from #resistance to flow. Your #stress melts away as you take an action, step out of resistance, and feel your energy rebound
#EnergyLoss #TakeAction

#A monolayer MoS₂-based microwave transmitter demonstrates low #EnergyLoss, minimal #PowerConsumption, and dual-mode capability, offering new possibilities for compact, efficient communication systems. @NatureElectron doi.org/g96xjj techxplore.com/news/2025-10-p…


Solar PPAs at Rs 2.5-3/unit, but real savings vanish in our outdated grids. Why are we pouring money into renewables before fixing T&D? #EnergyLoss


Energy inefficiency in socialist-era apartment blocks drives high heating costs, carbon emissions, and retrofit backlogs due to lack of funding and technical know-how for insulation upgrades. #EnergyLoss #Retrofit


بجلی چوروں کیخلاف کارروائیاں جاری #Electricity #LESCO #EnergyLoss #WAPDA #BreakingNews #GTVNews


if a ball rebounds to 70% of its original height, it loses about 30% of its mechanical energy each bounce. #Physics #STEM #EnergyLoss #BouncingBall


The government is implementing policies to reduce energy loss during transmission and distribution, improving the overall efficiency of the energy system. #EnergyLoss #SystemEfficiency


As the high-velocity blood stream collides with the wall of the ascending aorta, it generates an eddy current, contributing to energy dissipation. For more insights on Blood Flow Analysis ➡ 🫀cfd.life/en/bloodflow/ #BloodFlowAnalysis #BiomedicalScience #EnergyLoss


Stop Energy Loss Now! Up to 30% of heating and cooling escapes through outdated windows and doors.💡 Our energy-efficient replacements reduce utility bills while increasing comfort.🪟 #EnergyLoss #WindowEfficiency #LowerUtilityBills #HomeComfort #SavingEnergy

HomeWiseOmaha's tweet image. Stop Energy Loss Now! Up to 30% of heating and cooling escapes through outdated windows and doors.💡 

Our energy-efficient replacements reduce utility bills while increasing comfort.🪟

#EnergyLoss #WindowEfficiency #LowerUtilityBills #HomeComfort #SavingEnergy

19. Armenia faces challenges in the efficient transmission of electricity, with losses during transmission and distribution being significant, particularly in rural and remote areas. #EnergyLoss #TransmissionChallenges


#A newly developed organic molecule enables electrons to travel with minimal #EnergyLoss, offering a path to smaller, more efficient, and cost-effective computers beyond silicon’s physical limits. @J_A_C_S doi.org/g9g5vh phys.org/news/2025-05-u…


SURFING THE ZONE of maximum #PerformancePotential and minimum #EnergyLoss!🎯 In times of high complexity and pace: How to keep the focus as a team and individual? And how to work effectively and resiliently? Check out comments for #TeamDevelopments & #BusinessCoaching.👇

annettefreundIM's tweet image. SURFING THE ZONE of maximum #PerformancePotential and minimum #EnergyLoss!🎯
In times of high complexity and pace: How to keep the focus as a team and individual? And how to work effectively and resiliently?
Check out comments for #TeamDevelopments & #BusinessCoaching.👇
annettefreundIM's tweet image. SURFING THE ZONE of maximum #PerformancePotential and minimum #EnergyLoss!🎯
In times of high complexity and pace: How to keep the focus as a team and individual? And how to work effectively and resiliently?
Check out comments for #TeamDevelopments & #BusinessCoaching.👇

y’a des bêtises qu’on lit ici faut juste se contenter citer ce verset et passer notre chemin parce que argh🥱 #energyloss #jailaflemme

“The person without the Spirit of God does not accept the things that come from the Spirit of God but considers them foolishness, and cannot understand them because they are discerned only through the Spirit.” 1 Corinthians 2:14 NIV



The beating of the heart is responsible for supplying energy to the periphery. Therefore, if excess energy is lost due to being converted into frictional heat somewhere, the burden on the heart increases. #BloodFlowAnalysis #EnergyLoss #MedicalTechnology #Biomedical #Cardiology


यह न केवल अवैध है बल्कि गंभीर ऊर्जा क्षति भी है। ऐसे मामलों में सख्त कार्रवाई होनी चाहिए, चाहे अपराधी कोई भी हो। बिजली चोरी से ईमानदार उपभोक्ताओं पर बोझ बढ़ता है—सिस्टम की पारदर्शिता और सख्ती जरूरी है। #ElectricityTheft #EnergyLoss


A research team at at Tokyo University of Science developed a wide-band, high-sensitivity #Barkhausen noise measurement system. #magnetics #energyloss powerelectronicsnews.com/understanding-…

PwrElectronics's tweet image. A research team at at Tokyo University of Science developed a wide-band, high-sensitivity #Barkhausen noise measurement system. #magnetics #energyloss powerelectronicsnews.com/understanding-…

Really interesting hot & dense nuclear matter session at #INPC2022 today. Excellent speakers: J. Weber (@HumboldtUni) #latticeQCD, G. Jackson (@UW) #energyloss, D. Firak (@stonybrooku) #smallsystems, W.A. Horowitz (@UCT_news) #jets #regularization. A pleasure to chair! @NRF_News

rothkopfAK's tweet image. Really interesting hot & dense nuclear matter session at #INPC2022 today. Excellent speakers: J. Weber (@HumboldtUni) #latticeQCD, G. Jackson (@UW) #energyloss, D. Firak (@stonybrooku) #smallsystems, W.A. Horowitz (@UCT_news) #jets #regularization. A pleasure to chair! @NRF_News

Tune into #TheHealingRevolution Show with @DrFrankKing on @ukhealthradio Dads, are you so busy you forget to take care of yourself? How to prevent #energyloss & slow down ageing by generating human growth hormone. The importance of toned muscles … bit.ly/2N8Zjqa

ukhealthradio's tweet image. Tune into #TheHealingRevolution Show with @DrFrankKing on @ukhealthradio
Dads, are you so busy you forget to take care of yourself?  How to prevent #energyloss & slow down ageing by generating human growth hormone. The importance of toned muscles …
bit.ly/2N8Zjqa

9/ Real challenge with distribution is T&D Losses; Avg: 16.3% Best performer: IESCO (8%) Worst performer: PESCO (37%) Total losses? PKR 509 billion #EnergyLoss @IESCO_Official @Rashidlangrial

JiqbalPK's tweet image. 9/ Real challenge with distribution is T&D Losses;
Avg: 16.3%
Best performer: IESCO (8%)
Worst performer: PESCO (37%)
Total losses? PKR 509 billion
#EnergyLoss @IESCO_Official @Rashidlangrial

# 4 #Weatherization Series wp.me/pX5uf-vA "how the cold temperature seeps into a home" #EnergyLoss #Insulation

StLHandyMan's tweet image. # 4 #Weatherization Series wp.me/pX5uf-vA "how the cold temperature seeps into a home" #EnergyLoss #Insulation

Watch Plum's CRO Jason Putnam in this on demand video from @Catalyst Constellations. "It's not about sharpening our skills or our tools. It's really about strengthening our sense of self." Watch here: hubs.la/Q01Dj9v00 #burnout #energyloss #sharpenyouraxe

plum_io's tweet image. Watch Plum's CRO Jason Putnam in this on demand video from @Catalyst Constellations.

"It's not about sharpening our skills or our tools. It's really about strengthening our sense of self."

Watch here: hubs.la/Q01Dj9v00
#burnout #energyloss #sharpenyouraxe

'Business Health & Emotional Wealth' with @AccoladeAcademy on @ukhealthradio Why Do People behave the way they do. Why we feel the need to belong to something, someone. The myth behind #energyloss & why we always want to win the argument! 👉🎙📻 bit.ly/30dVwwt

ukhealthradio's tweet image. 'Business Health & Emotional Wealth' with @AccoladeAcademy on @ukhealthradio
Why Do People behave the way they do. Why we feel the need to belong to something, someone. The myth behind #energyloss & why we always want to win the argument! 👉🎙📻   bit.ly/30dVwwt

SURFING THE ZONE of maximum #PerformancePotential and minimum #EnergyLoss!🎯 💎 Working on & solving your individual topics by using your individual strengths 💎 Getting ready for the new beginning for the new time right now Check out #TeamDevelopments & #BusinessCoaching. Link👇

annettefreundIM's tweet image. SURFING THE ZONE of maximum #PerformancePotential and minimum #EnergyLoss!🎯
💎 Working on & solving your individual topics by using your individual strengths
💎 Getting ready for the new beginning for the new time right now
Check out #TeamDevelopments & #BusinessCoaching. Link👇
annettefreundIM's tweet image. SURFING THE ZONE of maximum #PerformancePotential and minimum #EnergyLoss!🎯
💎 Working on & solving your individual topics by using your individual strengths
💎 Getting ready for the new beginning for the new time right now
Check out #TeamDevelopments & #BusinessCoaching. Link👇

Using Grid #dataanalytics to protect revenue & reduce #energyloss bit.ly/1Do39QK Attend the webinar

SchneiderElec's tweet image. Using Grid #dataanalytics to protect revenue & reduce #energyloss bit.ly/1Do39QK Attend the webinar

My annual #flumefriday putting Bernoulli's principle, the momentum balance and the law of the wall to the test with 3rd year #fluidmechanics students: measuring velocity profiles for different bed roughness & around a hydraulic jump. #energyloss #measurementerrors @UU_PhysGeog

timothydprice's tweet image. My annual #flumefriday putting Bernoulli's principle, the momentum balance and the law of the wall to the test with 3rd year #fluidmechanics students: measuring velocity profiles for different bed roughness & around a hydraulic jump.
#energyloss #measurementerrors @UU_PhysGeog
timothydprice's tweet image. My annual #flumefriday putting Bernoulli's principle, the momentum balance and the law of the wall to the test with 3rd year #fluidmechanics students: measuring velocity profiles for different bed roughness & around a hydraulic jump.
#energyloss #measurementerrors @UU_PhysGeog
timothydprice's tweet image. My annual #flumefriday putting Bernoulli's principle, the momentum balance and the law of the wall to the test with 3rd year #fluidmechanics students: measuring velocity profiles for different bed roughness & around a hydraulic jump.
#energyloss #measurementerrors @UU_PhysGeog

In order to get the most out of your heating and cooling system, and to minimize energy loss, you should consider taking steps to #repair, seal and insulate your duct work system. Read more 👉 applewoodair.com/site/blog/2018… #HVAC #EnergyLoss #DuctWork #PreventativeMaintenance

ApplewoodAirLTD's tweet image. In order to get the most out of your heating and cooling system, and to minimize energy loss, you should consider taking steps to #repair, seal and insulate your duct work system. Read more 👉 applewoodair.com/site/blog/2018… #HVAC #EnergyLoss #DuctWork #PreventativeMaintenance

📋✅ #RoofProtectionPlan: Minimizing #EnergyLoss on industrial facilities with #SLDexperts. Once a flat roof starts leaking, the energy balance changes dramatically 📉. More: 👉 sldeurope.com/en/Roof-Servic…

SLDEurope's tweet image. 📋✅ #RoofProtectionPlan: Minimizing #EnergyLoss on industrial facilities with #SLDexperts. Once a flat roof starts leaking, the energy balance changes dramatically 📉. 

More: 👉 sldeurope.com/en/Roof-Servic…

FINDING THE ZONE of maximum #PerformancePotential & minimum #EnergyLoss! Following a successful #TeamDevelopment Workshop I had very effective individual coaching sessions with the international team members. Check out: inspiredmove.ch/en/Coaching.htm #Leadership #BusinessCoaching

annettefreundIM's tweet image. FINDING THE ZONE of maximum #PerformancePotential & minimum #EnergyLoss!
Following a successful #TeamDevelopment Workshop I had very effective individual coaching sessions with the international team members.
Check out: inspiredmove.ch/en/Coaching.htm
#Leadership #BusinessCoaching

The greatest source of #energyloss in a #home is #airleaks. Caulk, seal, and weatherstrip seams, cracks, and openings to the outside are easy ways to #savemoney and #energy. Uncontrolled air leaks can increase your heating and cooling bills by 10%–20%. The graphic below shows the

AgwayEnergy's tweet image. The greatest source of #energyloss in a #home is #airleaks. Caulk, seal, and weatherstrip seams, cracks, and openings to the outside are easy ways to #savemoney and #energy. Uncontrolled air leaks can increase your heating and cooling bills by 10%–20%. The graphic below shows the

If your truck shelters or dock seals look like this, it's time to get them replaced! ow.ly/qAm3305b8yU #energyloss #maintenance

WilcoxDoor's tweet image. If your truck shelters or dock seals look like this, it's time to get them replaced! ow.ly/qAm3305b8yU #energyloss #maintenance

Did You Know? Drinking an “energy drink” can leave you with less energy than you had before you gulped down the sugary liquid - an energy crash. Plus, you may have withdrawal symptoms like drowsiness, headaches and irritability. #energyloss #goodtoknow #weightgain #dehydration

LoriShemek's tweet image. Did You Know? Drinking an “energy drink” can leave you with less energy than you had before you gulped down the sugary liquid - an energy crash.  Plus, you may have withdrawal symptoms like drowsiness, headaches and irritability.

#energyloss #goodtoknow #weightgain #dehydration

#EnergyLoss happens. Learn how to prevent phantom #energy loss in your home. #gogreen hubs.ly/H07bjkR0

MyEnergyMonster's tweet image. #EnergyLoss happens. Learn how to prevent phantom #energy loss in your home. #gogreen hubs.ly/H07bjkR0

Energy market settlement process prior to the implementation of real-time losses #energyloss #transmissionloss Join us: bit.ly/2sF8Oje

ieeesmartgrid's tweet image. Energy market settlement process prior to the implementation of real-time losses #energyloss #transmissionloss 

Join us: bit.ly/2sF8Oje

Loading...

Something went wrong.


Something went wrong.