📧 Learn to write emails the fun way! 📷 A 14-page FRIEND method module that makes email writing easy for kids. Perfect for Year 1–3 and remedial learners. 👉 Free download: cikgufadli.com/free-email-wri… #emailwriting #freemodule #kidslearning

EbookCikguFadli's tweet image. 📧 Learn to write emails the fun way!
📷 A 14-page FRIEND method module that makes email writing easy for kids. Perfect for Year 1–3 and remedial learners.
👉 Free download:
 cikgufadli.com/free-email-wri…

#emailwriting #freemodule #kidslearning

“Common Complications of the Late Preterm Infant," the newest webinar from NANN-AP and AAENP, is now available! Access it now: bit.ly/3CwsBJa. #NANNAP #AAENP #FreeModule #JoinAAENP

NeonatalNurses's tweet image. “Common Complications of the Late Preterm Infant," the newest webinar from NANN-AP and AAENP, is now available!

Access it now: bit.ly/3CwsBJa.

#NANNAP #AAENP #FreeModule #JoinAAENP

Thank you in advance Pete! June 1 it is. #FreeModule😊


In honor of Prematurity Awareness Month, NANN-AP and AAENP are proud to release “Common Complications of the Late Preterm Infant,” a new, free CE module! Start learning and making an impact today: bit.ly/3CwsBJa. #NANNAP #AAENP #FreeModule #JoinAAENP

NeonatalNurses's tweet image. In honor of Prematurity Awareness Month, NANN-AP and AAENP are proud to release “Common Complications of the Late Preterm Infant,” a new, free CE module!

Start learning and making an impact today: bit.ly/3CwsBJa.

#NANNAP #AAENP #FreeModule #JoinAAENP

Creating Warm, Retro Sounds in Propellerhead Reason goo.gl/lzCDCw #Freemodule

SoundGearsCo's tweet image. Creating Warm, Retro Sounds in Propellerhead Reason goo.gl/lzCDCw #Freemodule

In the depths of winter's chill, a mystery unfolds. Join the investigation in 'Silent Nightmare', a FREE holiday TTRPG module for "Beyond the Veil"! Download NOW: [drivethrurpg.com/product/462764… #BeyondTheVeil #TTRPG #FreeModule #ttrpgcommunity

WrenegadeStudio's tweet image. In the depths of winter's chill, a mystery unfolds. Join the investigation in 'Silent Nightmare', a FREE holiday TTRPG module for "Beyond the Veil"!

Download NOW: [drivethrurpg.com/product/462764…

#BeyondTheVeil #TTRPG  #FreeModule #ttrpgcommunity

Our new #freemodule offers advice on managing patients with #allergy to wasp/bee sting bit.ly/1S3yHfi

PULSE365_Hub's tweet image. Our new #freemodule offers advice on managing patients with #allergy to wasp/bee sting bit.ly/1S3yHfi

Do you want to get a little taste for World of Revilo we are creating? Here you can get the full module. worldofrevilo.com/treachery-samp… The first taste is free ;) Once you fall in love you can back our Campaign Setting on Kickstarter! #dungeonsanddragons #dnd5e #freemodule

theBrianColin's tweet image. Do you want to get a little taste for World of Revilo we are creating? Here you can get the full module. worldofrevilo.com/treachery-samp… The first taste is free ;) Once you fall in love you can back our Campaign Setting on Kickstarter! #dungeonsanddragons #dnd5e #freemodule

The OHCHR @UNHumanRights, UPEACE, and UNU's International Institute for Global Health @UNU_IIGH are offering this #FREEMODULE on Operationalizing the Right to Development in Implementing the Sustainable Development Goals. More info: bit.ly/3d9W64w or [email protected].

UPEACE's tweet image. The OHCHR @UNHumanRights, UPEACE, and UNU's International Institute for Global Health @UNU_IIGH are offering this #FREEMODULE on Operationalizing the Right to Development in Implementing the Sustainable Development Goals. More info: bit.ly/3d9W64w or hrc@upeace.org.

Take advantage of Free modules offered by Knowband to help you run your business smoothly: bit.ly/32TZqdz #ecommerce #freemodule #covid19 #coronavirus #knowband

KnowbandPlugin's tweet image. Take advantage of Free modules offered by Knowband to help you run your business smoothly: bit.ly/32TZqdz

#ecommerce #freemodule #covid19 #coronavirus #knowband

Knowband offers some Free modules to help you run your business smoothly during this COVID-19 crisis: knowband.com/blog/news/know… #ecommerce #freemodule #covid19 #coronavirus #knowband

KnowbandPlugin's tweet image. Knowband offers some Free modules to help you run your business smoothly during this COVID-19 crisis:
knowband.com/blog/news/know…

#ecommerce #freemodule #covid19 #coronavirus #knowband

⛄⛄Let's decorate your website for this Christmas with our Sj Xmas v3.1.0. ❄️100% FREE ❄️New Features Added ❄️Easy to Configure And more... 👉Demo: demo.smartaddons.com/#sj-xmas 👉Download Here: bit.ly/sj-xmas #freemodule #free #freejoomlamodule #xmas #christmas

smartaddons's tweet image. ⛄⛄Let's decorate your website for this Christmas with our Sj Xmas v3.1.0.
 ❄️100% FREE
 ❄️New Features Added
 ❄️Easy to Configure
 And more...
 👉Demo: demo.smartaddons.com/#sj-xmas
 👉Download Here: bit.ly/sj-xmas
 #freemodule #free #freejoomlamodule #xmas #christmas

📧 Learn to write emails the fun way! 📷 A 14-page FRIEND method module that makes email writing easy for kids. Perfect for Year 1–3 and remedial learners. 👉 Free download: cikgufadli.com/free-email-wri… #emailwriting #freemodule #kidslearning

EbookCikguFadli's tweet image. 📧 Learn to write emails the fun way!
📷 A 14-page FRIEND method module that makes email writing easy for kids. Perfect for Year 1–3 and remedial learners.
👉 Free download:
 cikgufadli.com/free-email-wri…

#emailwriting #freemodule #kidslearning

“Common Complications of the Late Preterm Infant," the newest webinar from NANN-AP and AAENP, is now available! Access it now: bit.ly/3CwsBJa. #NANNAP #AAENP #FreeModule #JoinAAENP

NeonatalNurses's tweet image. “Common Complications of the Late Preterm Infant," the newest webinar from NANN-AP and AAENP, is now available!

Access it now: bit.ly/3CwsBJa.

#NANNAP #AAENP #FreeModule #JoinAAENP

In honor of Prematurity Awareness Month, NANN-AP and AAENP are proud to release “Common Complications of the Late Preterm Infant,” a new, free CE module! Start learning and making an impact today: bit.ly/3CwsBJa. #NANNAP #AAENP #FreeModule #JoinAAENP

NeonatalNurses's tweet image. In honor of Prematurity Awareness Month, NANN-AP and AAENP are proud to release “Common Complications of the Late Preterm Infant,” a new, free CE module!

Start learning and making an impact today: bit.ly/3CwsBJa.

#NANNAP #AAENP #FreeModule #JoinAAENP

We have limited spaces available. Enrol onto our fully-funded HTQ module in Accounting Principles & Project Management 🎓. Advance your career and manage projects with confidence. Apply now: morleycollege.ac.uk/courses/course#FreeModule #Accounting #ProjectManagement #HTQs

morleycollege's tweet image. We have limited spaces available. Enrol onto our fully-funded HTQ module in Accounting Principles & Project Management 🎓. Advance your career and manage projects with confidence. Apply now: morleycollege.ac.uk/courses/course… #FreeModule #Accounting #ProjectManagement #HTQs

We have limited spaces available. Enrol onto our fully-funded HTQ module in Human Resources & Leadership 🎓. Gain essential skills to become a leader in your field. Apply now: morleycollege.ac.uk/courses/course#FreeModule #LeadershipTraining #HRManagement #HTQs

morleycollege's tweet image. We have limited spaces available. Enrol onto our fully-funded HTQ module in Human Resources & Leadership 🎓. Gain essential skills to become a leader in your field. Apply now: morleycollege.ac.uk/courses/course… #FreeModule #LeadershipTraining #HRManagement #HTQs

In the depths of winter's chill, a mystery unfolds. Join the investigation in 'Silent Nightmare', a FREE holiday TTRPG module for "Beyond the Veil"! Download NOW: drivethrurpg.com/product/462764… #BeyondTheVeil #TTRPG #FreeModule #TTRPGCommunity

Pauluswudgnomus's tweet image. In the depths of winter's chill, a mystery unfolds. Join the investigation in 'Silent Nightmare', a FREE holiday TTRPG module for "Beyond the Veil"!

Download NOW: drivethrurpg.com/product/462764…

#BeyondTheVeil #TTRPG  #FreeModule #TTRPGCommunity

In the depths of winter's chill, a mystery unfolds. Join the investigation in 'Silent Nightmare', a FREE holiday TTRPG module for "Beyond the Veil"! Download NOW: [drivethrurpg.com/product/462764… #BeyondTheVeil #TTRPG #FreeModule #TTRPGCommunity

WrenegadeStudio's tweet image. In the depths of winter's chill, a mystery unfolds. Join the investigation in 'Silent Nightmare', a FREE holiday TTRPG module for "Beyond the Veil"!

Download NOW: [drivethrurpg.com/product/462764…

#BeyondTheVeil #TTRPG  #FreeModule #TTRPGCommunity

In the depths of winter's chill, a mystery unfolds. Join the investigation in 'Silent Nightmare', a FREE holiday TTRPG module for "Beyond the Veil"! Download NOW: [drivethrurpg.com/product/462764… #BeyondTheVeil #TTRPG #FreeModule #ttrpgcommunity

WrenegadeStudio's tweet image. In the depths of winter's chill, a mystery unfolds. Join the investigation in 'Silent Nightmare', a FREE holiday TTRPG module for "Beyond the Veil"!

Download NOW: [drivethrurpg.com/product/462764…

#BeyondTheVeil #TTRPG  #FreeModule #ttrpgcommunity

Calling @munmgss students & @MUNMed supervisors! #FreeModule ⬇️⬇️ We are committed to a #RespectfulLearningEnvironment & supporting #professionalism in the #academic environment! bit.ly/3GEh35N RT to you networks @DeanMUNMed @GradStudiesDean @gradstudies

Just launched! Professionalism in Academic Practice. Designed for graduate students and supervisors, it provides guidance on professional conduct, support, and resources to enhance a culture of professionalism in the academic environment. bit.ly/3GEh35N @MUNMed

MunOped's tweet image. Just launched! Professionalism in Academic Practice. Designed for graduate students and supervisors, it provides guidance on professional conduct, support, and resources to enhance a culture of professionalism in the academic environment. bit.ly/3GEh35N
@MUNMed


“Common Complications of the Late Preterm Infant," the newest webinar from NANN-AP and AAENP, is now available! Access it now: bit.ly/3CwsBJa. #NANNAP #AAENP #FreeModule #JoinAAENP

NeonatalNurses's tweet image. “Common Complications of the Late Preterm Infant," the newest webinar from NANN-AP and AAENP, is now available!

Access it now: bit.ly/3CwsBJa.

#NANNAP #AAENP #FreeModule #JoinAAENP

The OHCHR @UNHumanRights, UPEACE, and UNU's International Institute for Global Health @UNU_IIGH are offering this #FREEMODULE on Operationalizing the Right to Development in Implementing the Sustainable Development Goals. More info: bit.ly/3d9W64w or [email protected].

UPEACE's tweet image. The OHCHR @UNHumanRights, UPEACE, and UNU's International Institute for Global Health @UNU_IIGH are offering this #FREEMODULE on Operationalizing the Right to Development in Implementing the Sustainable Development Goals. More info: bit.ly/3d9W64w or hrc@upeace.org.

In honor of Prematurity Awareness Month, NANN-AP and AAENP are proud to release “Common Complications of the Late Preterm Infant,” a new, free CE module! Start learning and making an impact today: bit.ly/3CwsBJa. #NANNAP #AAENP #FreeModule #JoinAAENP

NeonatalNurses's tweet image. In honor of Prematurity Awareness Month, NANN-AP and AAENP are proud to release “Common Complications of the Late Preterm Infant,” a new, free CE module!

Start learning and making an impact today: bit.ly/3CwsBJa.

#NANNAP #AAENP #FreeModule #JoinAAENP

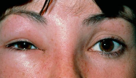
Our new #freemodule offers advice on managing patients with #allergy to wasp/bee sting bit.ly/1S3yHfi

PULSE365_Hub's tweet image. Our new #freemodule offers advice on managing patients with #allergy to wasp/bee sting bit.ly/1S3yHfi

Creating Warm, Retro Sounds in Propellerhead Reason goo.gl/lzCDCw #Freemodule

SoundGearsCo's tweet image. Creating Warm, Retro Sounds in Propellerhead Reason goo.gl/lzCDCw #Freemodule

Do you want to get a little taste for World of Revilo we are creating? Here you can get the full module. worldofrevilo.com/treachery-samp… The first taste is free ;) Once you fall in love you can back our Campaign Setting on Kickstarter! #dungeonsanddragons #dnd5e #freemodule

theBrianColin's tweet image. Do you want to get a little taste for World of Revilo we are creating? Here you can get the full module. worldofrevilo.com/treachery-samp… The first taste is free ;) Once you fall in love you can back our Campaign Setting on Kickstarter! #dungeonsanddragons #dnd5e #freemodule

📧 Learn to write emails the fun way! 📷 A 14-page FRIEND method module that makes email writing easy for kids. Perfect for Year 1–3 and remedial learners. 👉 Free download: cikgufadli.com/free-email-wri… #emailwriting #freemodule #kidslearning

EbookCikguFadli's tweet image. 📧 Learn to write emails the fun way!
📷 A 14-page FRIEND method module that makes email writing easy for kids. Perfect for Year 1–3 and remedial learners.
👉 Free download:
 cikgufadli.com/free-email-wri…

#emailwriting #freemodule #kidslearning

In the depths of winter's chill, a mystery unfolds. Join the investigation in 'Silent Nightmare', a FREE holiday TTRPG module for "Beyond the Veil"! Download NOW: [drivethrurpg.com/product/462764… #BeyondTheVeil #TTRPG #FreeModule #ttrpgcommunity

WrenegadeStudio's tweet image. In the depths of winter's chill, a mystery unfolds. Join the investigation in 'Silent Nightmare', a FREE holiday TTRPG module for "Beyond the Veil"!

Download NOW: [drivethrurpg.com/product/462764…

#BeyondTheVeil #TTRPG  #FreeModule #ttrpgcommunity

⛄⛄Let's decorate your website for this Christmas with our Sj Xmas v3.1.0. ❄️100% FREE ❄️New Features Added ❄️Easy to Configure And more... 👉Demo: demo.smartaddons.com/#sj-xmas 👉Download Here: bit.ly/sj-xmas #freemodule #free #freejoomlamodule #xmas #christmas

smartaddons's tweet image. ⛄⛄Let's decorate your website for this Christmas with our Sj Xmas v3.1.0.
 ❄️100% FREE
 ❄️New Features Added
 ❄️Easy to Configure
 And more...
 👉Demo: demo.smartaddons.com/#sj-xmas
 👉Download Here: bit.ly/sj-xmas
 #freemodule #free #freejoomlamodule #xmas #christmas

Take advantage of Free modules offered by Knowband to help you run your business smoothly: bit.ly/32TZqdz #ecommerce #freemodule #covid19 #coronavirus #knowband

KnowbandPlugin's tweet image. Take advantage of Free modules offered by Knowband to help you run your business smoothly: bit.ly/32TZqdz

#ecommerce #freemodule #covid19 #coronavirus #knowband

Knowband offers some Free modules to help you run your business smoothly during this COVID-19 crisis: knowband.com/blog/news/know… #ecommerce #freemodule #covid19 #coronavirus #knowband

KnowbandPlugin's tweet image. Knowband offers some Free modules to help you run your business smoothly during this COVID-19 crisis:
knowband.com/blog/news/know…

#ecommerce #freemodule #covid19 #coronavirus #knowband

We all love FREE stuff! Register for your e-learning account and have the first module of every course absolutely FREE on us. Learn more at vitatalent.com #freemodule #easy #elearning #affordable #accredited

VitaTalent's tweet image. We all love FREE stuff! Register for your e-learning account and have the first module of every course absolutely FREE on us. Learn more at vitatalent.com #freemodule #easy #elearning #affordable #accredited

We have limited spaces available. Enrol onto our fully-funded HTQ module in Human Resources & Leadership 🎓. Gain essential skills to become a leader in your field. Apply now: morleycollege.ac.uk/courses/course#FreeModule #LeadershipTraining #HRManagement #HTQs

morleycollege's tweet image. We have limited spaces available. Enrol onto our fully-funded HTQ module in Human Resources & Leadership 🎓. Gain essential skills to become a leader in your field. Apply now: morleycollege.ac.uk/courses/course… #FreeModule #LeadershipTraining #HRManagement #HTQs

Loading...

Something went wrong.


Something went wrong.


United States Trends