#gradable search results

There’s carbon bein sequestered in them there fields! #deveronuas, #SoilHealth #gradable

farmnerd's tweet image. There’s carbon bein sequestered in them there fields! #deveronuas, #SoilHealth #gradable
farmnerd's tweet image. There’s carbon bein sequestered in them there fields! #deveronuas, #SoilHealth #gradable
farmnerd's tweet image. There’s carbon bein sequestered in them there fields! #deveronuas, #SoilHealth #gradable

As such, #they are quite ☕ www.MonsterMMORPG. com ♙ #reclusive. #gradable ♯ by #MonsterMMORPG#primeape

Brett_Morris_'s tweet image. As such, #they are quite 

☕ www.MonsterMMORPG. com ♙

#reclusive. #gradable 

♯ by #MonsterMMORPG ❄
 #primeape

Current fertilizer program not cutting it? Uncover healthier soil by adopting the right regenerative farm practices from a Gradable™ Plan. Learn more: gradable.com/plan?utm_sourc… #soilhealth #gradable #farming

FBNFarmers's tweet image. Current fertilizer program not cutting it? Uncover healthier soil by adopting the right regenerative farm practices from a Gradable™ Plan. Learn more: gradable.com/plan?utm_sourc…

#soilhealth #gradable #farming

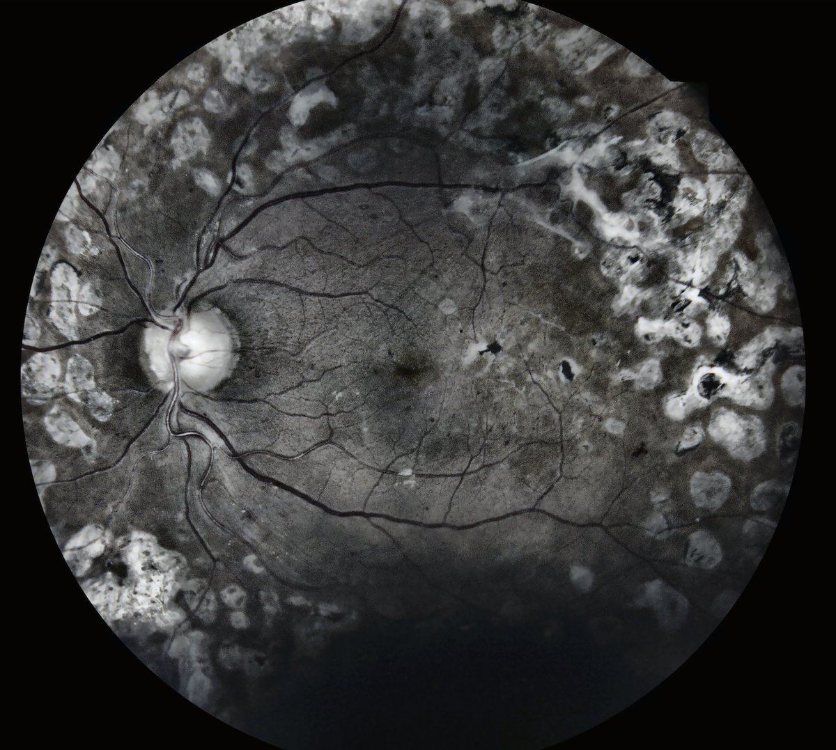
"The enhanced image does a great job of uncovering the possibility of #lipid underneath the dark shadow. The IRIS platform really does make the photos more #gradable." Jose Agustin Martinez, MD Keep reading about IRIS Image Enhancement Software ↓ retinalscreenings.com/blog/the-iris-…

IRIStelemed's tweet image. "The enhanced image does a great job of uncovering the possibility of #lipid underneath the dark shadow. The IRIS platform really does make the photos more #gradable." Jose Agustin Martinez, MD

Keep reading about IRIS Image Enhancement Software ↓

retinalscreenings.com/blog/the-iris-…

What Rhymes With Gradable... http://whatrhymeswith.com/rhyme/gradable #rhyme #gradable


A La Primera En #Gracioso A La Segunda No Tan Ah #Gradable Y A La Tercera Te Doy Una #Galleta ;)


What are ten skills teachers should have? #Edudemic weighs in: zite.to/Yk2eJv #gradable #edchat #edtech


esto se define en 2 palabras. #DESA #GRADABLE !


Sweet Obelisk, look at the centering on that. #Gradable


Sweet Obelisk, look at the centering on that. #Gradable


As such, #they are quite ☕ www.MonsterMMORPG. com ♙ #reclusive. #gradable ♯ by #MonsterMMORPG#primeape

Brett_Morris_'s tweet image. As such, #they are quite 

☕ www.MonsterMMORPG. com ♙

#reclusive. #gradable 

♯ by #MonsterMMORPG ❄
 #primeape

There’s carbon bein sequestered in them there fields! #deveronuas, #SoilHealth #gradable

farmnerd's tweet image. There’s carbon bein sequestered in them there fields! #deveronuas, #SoilHealth #gradable
farmnerd's tweet image. There’s carbon bein sequestered in them there fields! #deveronuas, #SoilHealth #gradable
farmnerd's tweet image. There’s carbon bein sequestered in them there fields! #deveronuas, #SoilHealth #gradable

Current fertilizer program not cutting it? Uncover healthier soil by adopting the right regenerative farm practices from a Gradable™ Plan. Learn more: gradable.com/plan?utm_sourc… #soilhealth #gradable #farming

FBNFarmers's tweet image. Current fertilizer program not cutting it? Uncover healthier soil by adopting the right regenerative farm practices from a Gradable™ Plan. Learn more: gradable.com/plan?utm_sourc…

#soilhealth #gradable #farming

"The enhanced image does a great job of uncovering the possibility of #lipid underneath the dark shadow. The IRIS platform really does make the photos more #gradable." Jose Agustin Martinez, MD Keep reading about IRIS Image Enhancement Software ↓ retinalscreenings.com/blog/the-iris-…

IRIStelemed's tweet image. "The enhanced image does a great job of uncovering the possibility of #lipid underneath the dark shadow. The IRIS platform really does make the photos more #gradable." Jose Agustin Martinez, MD

Keep reading about IRIS Image Enhancement Software ↓

retinalscreenings.com/blog/the-iris-…

Loading...

Something went wrong.


Something went wrong.


United States Trends