#kidneypath search results

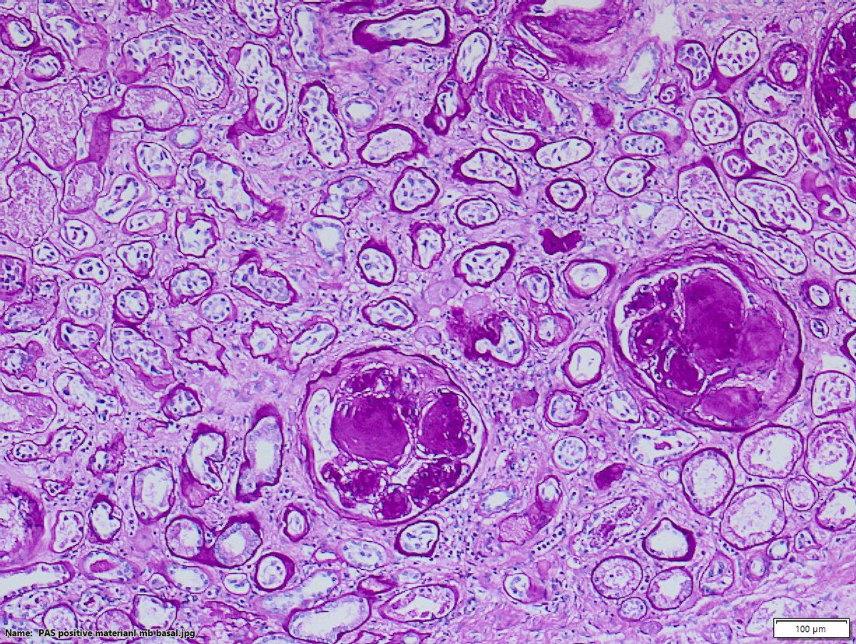
The PAS-stain picture depicts gray and basophilic amorphous material within glomerular capillaries, consistent with polymer emboli. The patient had undergone renal transplant artery angioplasty a few months earlier. Reference: sciencedirect.com/science/articl… #renalpath #kidneypath

In a renal transplant recipient, what is your diagnosis? #DiagnoseThis #nephtwitter #pathtwitter #renal #kidneypath

arkanalabs's tweet image. In a renal transplant recipient, what is your diagnosis?

#DiagnoseThis #nephtwitter #pathtwitter #renal #kidneypath


#KidneyQuiz Which of the following drugs has been implicated as a cause of acute interstitial nephritis (AIN)? #nephX #kidneypath #pathX #nephtwitter


#KidneyQuiz Amyloid derived from apolipoprotein 1 (AAPOAI) or APO-A1 Amyloidosis in the kidney usually involves: A) Glomeruli and Interstitium B) Interstitium and Medulla C) All of the above D) None of the above #nephX #kidneypath #pathX #nephtwitter


Renal tumor in a 19 year old. Stains and diagnosis 👇 #GUpath

priyaraomd's tweet image. Renal tumor in a 19 year old. Stains and diagnosis 👇 #GUpath
priyaraomd's tweet image. Renal tumor in a 19 year old. Stains and diagnosis 👇 #GUpath
priyaraomd's tweet image. Renal tumor in a 19 year old. Stains and diagnosis 👇 #GUpath


In situ molecular profiles of glomerular cells by integrated imaging mass spectrometry and multiplexed immunofluorescence microscopy doi.org/10.1016/j.kint… #OpenAccess @VanderbiltCDB #renalpath #kidneypath #lipidomics #multimodalimaging

Kidney_Int's tweet image. In situ molecular profiles of glomerular cells by integrated imaging mass spectrometry and multiplexed immunofluorescence microscopy

doi.org/10.1016/j.kint…

#OpenAccess @VanderbiltCDB #renalpath #kidneypath #lipidomics #multimodalimaging

Special issue on onconephrology in the Journal of Nephropathology (nephropathol.com). Coverage; Scopus. Discount existed #nephrology #pathology #kidneypath


#KidneyQuiz Which of the following is not a part of the Banff adequacy criteria for the evaluation of acute rejection in a kidney biopsy? #nephX #kidneypath #pathX #nephtwitter


#KidneyQuiz Which of the following membranous antigens has been recently identified and associated with underlying malignancy? #nephX #kidneypath #pathX #nephtwitter


🎯 Target antigens & membranous nephropathy 🎯 nephsim.com/image-gallery/… Inspired by @sethirenalpath: #Nephrology #FOAMed #KidneyPath #MedEd

Neph_SIM's tweet image. 🎯 Target antigens & membranous nephropathy 🎯

nephsim.com/image-gallery/…

Inspired by @sethirenalpath:


#Nephrology #FOAMed #KidneyPath #MedEd

Thus, each 🎯 antigen is rather specific. EXT and NCAM1- autoimmune diseases NELL1 and THSD7A- tumors NELL1- herbal medicines, lipoic acid FAT1- hematopoietic stem cell transplant CNTN1- demyelinating polyneuropathy NDNF- Syphilis And now- PCSK6- NSAIDs



Double contours in a #kidneytransplant with transplant glomerulopathy #kidneypath 🛤️

ssfarouk's tweet image. Double contours in a #kidneytransplant with transplant glomerulopathy #kidneypath 🛤️

Call for papers; 2024 Journal of Nephropathology nephropathol.com Coverage; Scopus #nephrology #renalpath #kidneypath #pathology

jnephropathol's tweet image. Call for papers; 2024
Journal of Nephropathology 
nephropathol.com
Coverage; Scopus #nephrology   #renalpath  #kidneypath  #pathology

Crystal clear image of collapsing focal segmental glomerulosclerosis Capillary loops are collapsed #BRCU2024 #KidneyPath

ssfarouk's tweet image. Crystal clear image of collapsing focal segmental glomerulosclerosis 

Capillary loops are collapsed #BRCU2024 #KidneyPath

A new issue of the Journal of Nephropathology has now been published online. For more details, visit nephropathol.com The journal is indexed in Scopus. From peer-review to publication:65 days. #nephrology #pathology #kidneypath #renalpath


#KIDNEYcon 2023 workshops start tomorrow 🔬 #KidneyPath: nephsim.com/pathology-appr… 💛 #UrineMicroscopy: nephsim.com/urine-gallery/ #POCUS: nephropocus.com @NephroP Home Dialysis Critical Care Professional Development @KIDNEYcon

Neph_SIM's tweet image. #KIDNEYcon 2023 workshops start tomorrow

🔬 #KidneyPath:  nephsim.com/pathology-appr…

💛 #UrineMicroscopy: nephsim.com/urine-gallery/

#POCUS: nephropocus.com @NephroP 

Home Dialysis
Critical Care 
Professional Development 
@KIDNEYcon

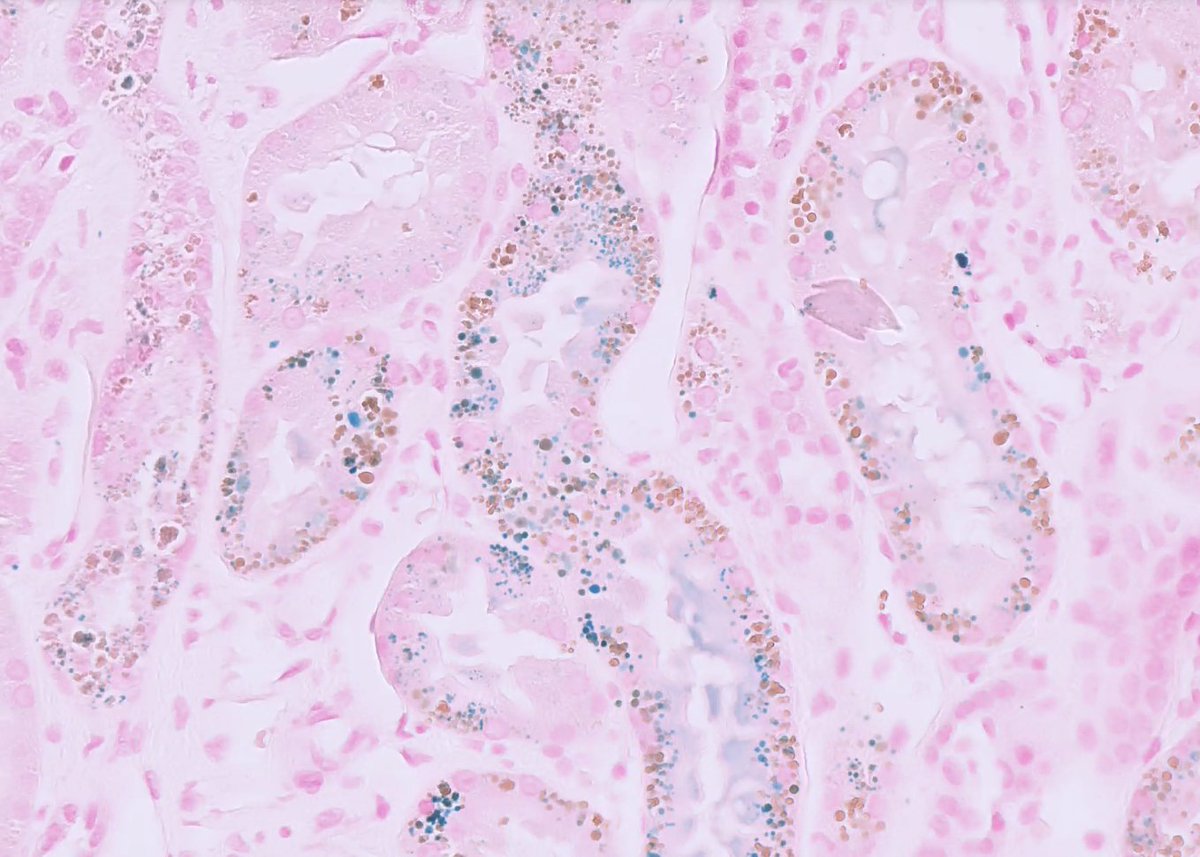
Pretty picture: pigment within tubular epithelial cells, +iron stain #KidneyPath #Nephrology

ssfarouk's tweet image. Pretty picture: pigment within tubular epithelial cells, +iron stain 

#KidneyPath #Nephrology

#KidneyQuiz Which of the following drugs has been implicated as a cause of acute interstitial nephritis (AIN)? #nephX #kidneypath #pathX #nephtwitter


#KidneyQuiz Amyloid derived from apolipoprotein 1 (AAPOAI) or APO-A1 Amyloidosis in the kidney usually involves: A) Glomeruli and Interstitium B) Interstitium and Medulla C) All of the above D) None of the above #nephX #kidneypath #pathX #nephtwitter


#KidneyQuiz Which of the following membranous antigens has been recently identified and associated with underlying malignancy? #nephX #kidneypath #pathX #nephtwitter


#KidneyQuiz Which of the following is not a part of the Banff adequacy criteria for the evaluation of acute rejection in a kidney biopsy? #nephX #kidneypath #pathX #nephtwitter


The PAS-stain picture depicts gray and basophilic amorphous material within glomerular capillaries, consistent with polymer emboli. The patient had undergone renal transplant artery angioplasty a few months earlier. Reference: sciencedirect.com/science/articl… #renalpath #kidneypath

In a renal transplant recipient, what is your diagnosis? #DiagnoseThis #nephtwitter #pathtwitter #renal #kidneypath

arkanalabs's tweet image. In a renal transplant recipient, what is your diagnosis?

#DiagnoseThis #nephtwitter #pathtwitter #renal #kidneypath


No results for "#kidneypath"

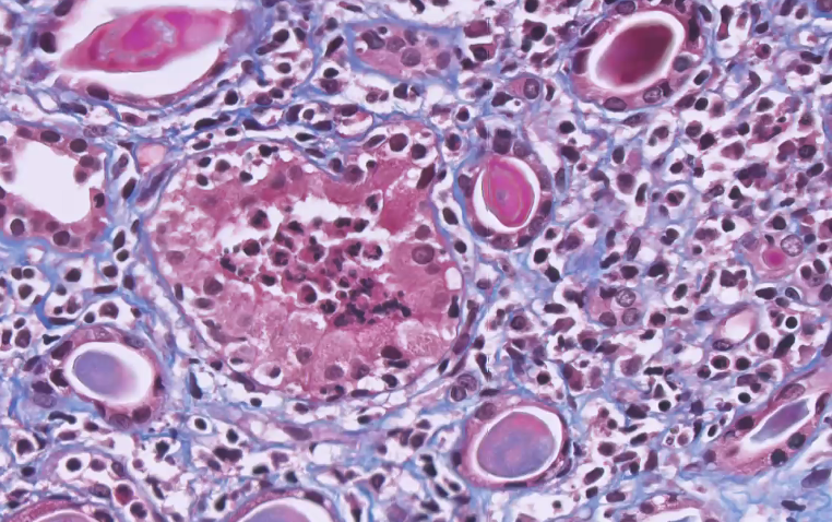
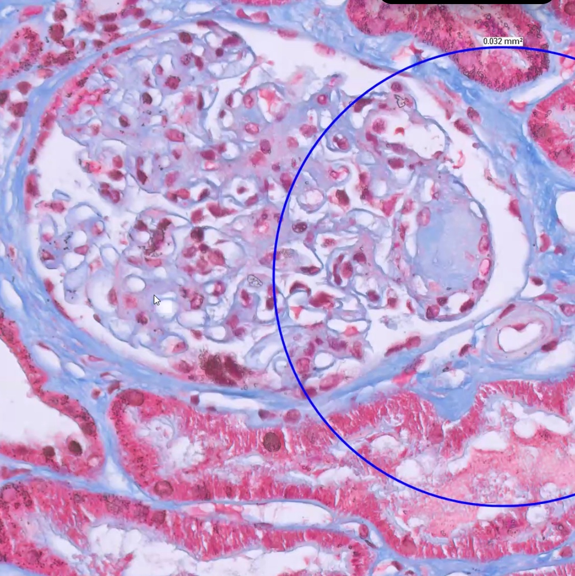
Kimmelstiel-Wilson nodule in a pt w diabetes, Masson’s trichrome stain #KidneyPath

ssfarouk's tweet image. Kimmelstiel-Wilson nodule in a pt w diabetes, Masson’s trichrome stain

#KidneyPath

A new issue of the Journal of Nephropathology was published . #kidneypath Coverage; Scopus nephropathol.com #nephrology #renalpath

hamidnasri1343's tweet image. A new issue of the Journal of Nephropathology was published .  #kidneypath
Coverage; Scopus 
nephropathol.com
#nephrology   #renalpath

Kidney mass in a young patient. Based on histology and likely diagnosis, what is the most common molecular genetic alteration in this tumor? 🤔 #pedipath #kidneypath #molecpath #pathology

bitar_mireille's tweet image. Kidney mass in a young patient.
Based on histology and likely diagnosis, what is the most common molecular genetic alteration in this tumor? 🤔
#pedipath #kidneypath #molecpath #pathology

Pretty picture: pigment within tubular epithelial cells, +iron stain #KidneyPath #Nephrology

ssfarouk's tweet image. Pretty picture: pigment within tubular epithelial cells, +iron stain 

#KidneyPath #Nephrology

Peritubular capillaritis +C4d peritibular capillary staining in a #kidneytransplant, with acute antibody mediated rejection #KidneyPath

ssfarouk's tweet image. Peritubular capillaritis +C4d peritibular capillary staining in a #kidneytransplant, with acute antibody mediated rejection 

#KidneyPath
ssfarouk's tweet image. Peritubular capillaritis +C4d peritibular capillary staining in a #kidneytransplant, with acute antibody mediated rejection 

#KidneyPath

Our initial approach to a #kidneypath slide: 1. 🎨 2. Loops ope? 3. Bowman’s space open? 4. Mesangial space expanded? 5. Proliferation of mesangial/parietal/endothelial cells? 6. Tubules “back-to-back”? nephsim.com/pathology-appr… In Spanish: nephsim.com/pato-101-2/ #FOAMed

Neph_SIM's tweet image. Our initial approach to a #kidneypath slide:

1. 🎨
2. Loops ope?
3. Bowman’s space open?
4. Mesangial space expanded?
5.  Proliferation of mesangial/parietal/endothelial cells?
6. Tubules “back-to-back”? 

nephsim.com/pathology-appr…

In Spanish: nephsim.com/pato-101-2/

#FOAMed
Neph_SIM's tweet image. Our initial approach to a #kidneypath slide:

1. 🎨
2. Loops ope?
3. Bowman’s space open?
4. Mesangial space expanded?
5.  Proliferation of mesangial/parietal/endothelial cells?
6. Tubules “back-to-back”? 

nephsim.com/pathology-appr…

In Spanish: nephsim.com/pato-101-2/

#FOAMed
Neph_SIM's tweet image. Our initial approach to a #kidneypath slide:

1. 🎨
2. Loops ope?
3. Bowman’s space open?
4. Mesangial space expanded?
5.  Proliferation of mesangial/parietal/endothelial cells?
6. Tubules “back-to-back”? 

nephsim.com/pathology-appr…

In Spanish: nephsim.com/pato-101-2/

#FOAMed
Neph_SIM's tweet image. Our initial approach to a #kidneypath slide:

1. 🎨
2. Loops ope?
3. Bowman’s space open?
4. Mesangial space expanded?
5.  Proliferation of mesangial/parietal/endothelial cells?
6. Tubules “back-to-back”? 

nephsim.com/pathology-appr…

In Spanish: nephsim.com/pato-101-2/

#FOAMed

Negative GMS (Grocott methamine silver) stain for fungal organisms #KidneyTransplant #KidneyPath

ssfarouk's tweet image. Negative GMS (Grocott methamine silver) stain for fungal organisms 

#KidneyTransplant #KidneyPath

In situ molecular profiles of glomerular cells by integrated imaging mass spectrometry and multiplexed immunofluorescence microscopy doi.org/10.1016/j.kint… #OpenAccess @VanderbiltCDB #renalpath #kidneypath #lipidomics #multimodalimaging

Kidney_Int's tweet image. In situ molecular profiles of glomerular cells by integrated imaging mass spectrometry and multiplexed immunofluorescence microscopy

doi.org/10.1016/j.kint…

#OpenAccess @VanderbiltCDB #renalpath #kidneypath #lipidomics #multimodalimaging

🎯 Target antigens & membranous nephropathy 🎯 nephsim.com/image-gallery/… Inspired by @sethirenalpath: #Nephrology #FOAMed #KidneyPath #MedEd

Neph_SIM's tweet image. 🎯 Target antigens & membranous nephropathy 🎯

nephsim.com/image-gallery/…

Inspired by @sethirenalpath:


#Nephrology #FOAMed #KidneyPath #MedEd

Thus, each 🎯 antigen is rather specific. EXT and NCAM1- autoimmune diseases NELL1 and THSD7A- tumors NELL1- herbal medicines, lipoic acid FAT1- hematopoietic stem cell transplant CNTN1- demyelinating polyneuropathy NDNF- Syphilis And now- PCSK6- NSAIDs



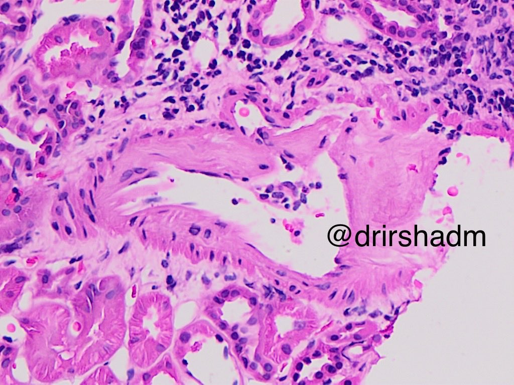
Intimal arteritis/ endarteritis post Tx day 10 , creatinine of 3 , a case of mixed TCMR & ABMR #renalpath #kidneypath #transplantpathology

drirshadm's tweet image. Intimal arteritis/ endarteritis post Tx day 10 , creatinine of 3 , a case of mixed TCMR & ABMR #renalpath #kidneypath  #transplantpathology

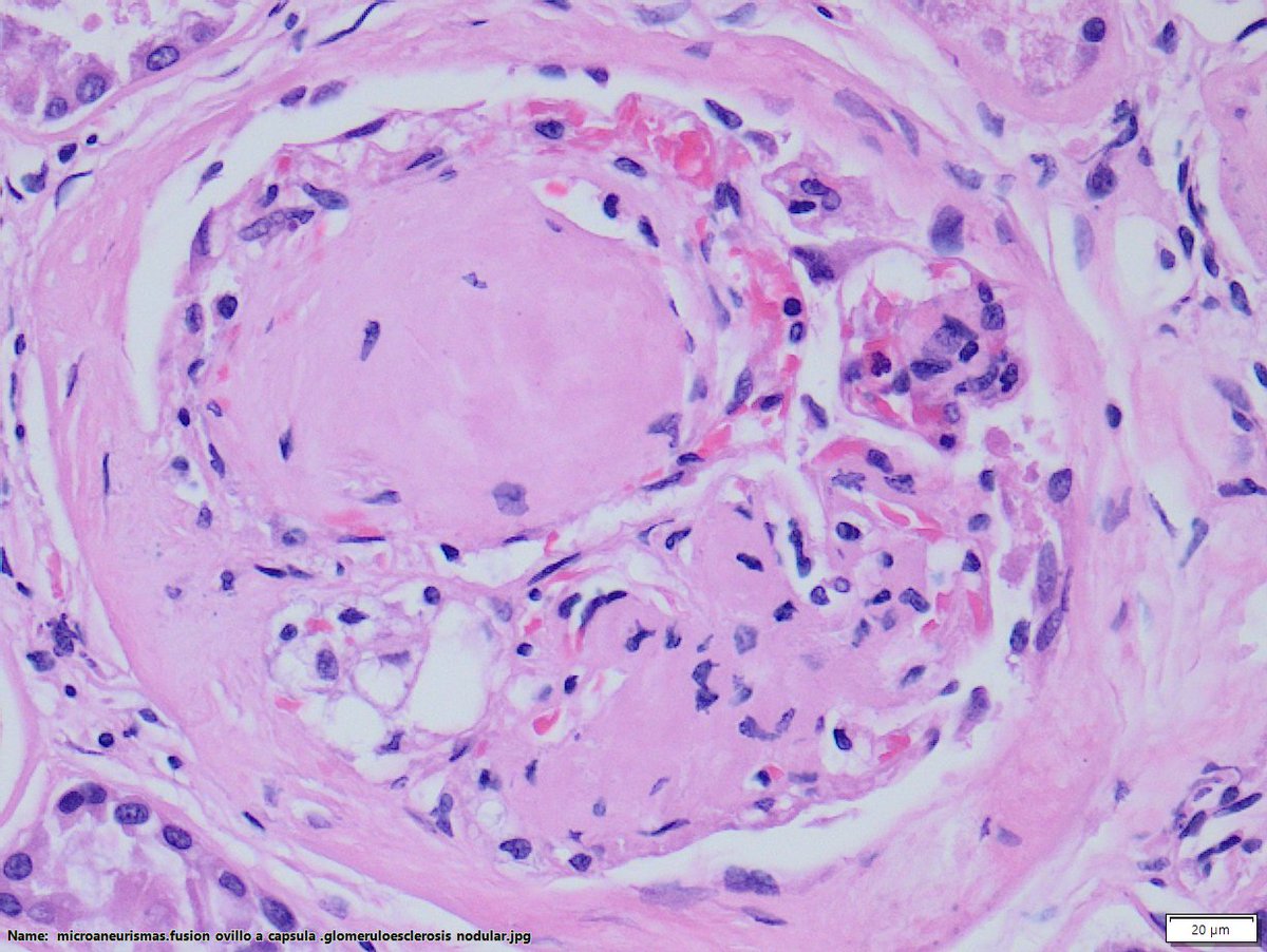
Class IV: advanced diabetic glomerulosclerosis > 50% globally sclerosed glomeruli and clinical correlation -Diffuse thickening of glomerular BM - See hyalinosis of afferent and efferent arterioles - Microaneurysms of glomerular capillaries #diabetes #kidneypath #pathology

DraSabin's tweet image. Class IV: advanced diabetic glomerulosclerosis
> 50% globally sclerosed glomeruli and clinical correlation
-Diffuse thickening of glomerular BM 
- See hyalinosis of afferent and efferent arterioles
- Microaneurysms of glomerular capillaries
#diabetes #kidneypath #pathology
DraSabin's tweet image. Class IV: advanced diabetic glomerulosclerosis
> 50% globally sclerosed glomeruli and clinical correlation
-Diffuse thickening of glomerular BM 
- See hyalinosis of afferent and efferent arterioles
- Microaneurysms of glomerular capillaries
#diabetes #kidneypath #pathology
DraSabin's tweet image. Class IV: advanced diabetic glomerulosclerosis
> 50% globally sclerosed glomeruli and clinical correlation
-Diffuse thickening of glomerular BM 
- See hyalinosis of afferent and efferent arterioles
- Microaneurysms of glomerular capillaries
#diabetes #kidneypath #pathology

#KIDNEYcon 2023 workshops start tomorrow 🔬 #KidneyPath: nephsim.com/pathology-appr… 💛 #UrineMicroscopy: nephsim.com/urine-gallery/ #POCUS: nephropocus.com @NephroP Home Dialysis Critical Care Professional Development @KIDNEYcon

Neph_SIM's tweet image. #KIDNEYcon 2023 workshops start tomorrow

🔬 #KidneyPath:  nephsim.com/pathology-appr…

💛 #UrineMicroscopy: nephsim.com/urine-gallery/

#POCUS: nephropocus.com @NephroP 

Home Dialysis
Critical Care 
Professional Development 
@KIDNEYcon

Call for papers; 2024 Journal of Nephropathology nephropathol.com Coverage; Scopus #nephrology #renalpath #kidneypath #pathology

jnephropathol's tweet image. Call for papers; 2024
Journal of Nephropathology 
nephropathol.com
Coverage; Scopus #nephrology   #renalpath  #kidneypath  #pathology

Loading...

Something went wrong.


Something went wrong.