#mylegmylife hasil pencarian

Great! Dr. @jmills1955 we would love to have you, please contact us so we can look at dates, this would be very educational for all of us. #patientfirst #mylegmylife #CLIfighters @FadiSaab17 @Mustapja @roblookstein @DrBTKatzen


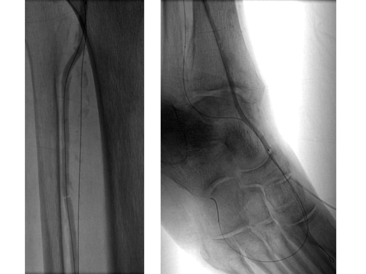
@ColoradoIR #CLIFighters Non-healing wound d/t inflow disease. Re-entry leads to ABI improvement from 0.4 to 1 and 2+ DP. @CLI_Global @kmadass @SDhandMD @KMSchramm @UCD_IR #stopthechop #mylegmylife

pj_rochon's tweet image. @ColoradoIR #CLIFighters Non-healing wound d/t inflow disease. Re-entry leads to ABI improvement from 0.4 to 1 and 2+ DP. @CLI_Global @kmadass @SDhandMD @KMSchramm @UCD_IR #stopthechop #mylegmylife
pj_rochon's tweet image. @ColoradoIR #CLIFighters Non-healing wound d/t inflow disease. Re-entry leads to ABI improvement from 0.4 to 1 and 2+ DP. @CLI_Global @kmadass @SDhandMD @KMSchramm @UCD_IR #stopthechop #mylegmylife
pj_rochon's tweet image. @ColoradoIR #CLIFighters Non-healing wound d/t inflow disease. Re-entry leads to ABI improvement from 0.4 to 1 and 2+ DP. @CLI_Global @kmadass @SDhandMD @KMSchramm @UCD_IR #stopthechop #mylegmylife

#CLIFighters #MyLegMyLife Special thanks to my colleague Benjamin Pomerantz, MD for his codification of intraoperative sweat accumulation. This is a Classic Pomerantz IV (extension to popliteal fossa)

DrArteryOpener's tweet image. #CLIFighters #MyLegMyLife Special thanks to my colleague Benjamin Pomerantz, MD for his codification of intraoperative sweat accumulation. This is a Classic Pomerantz IV (extension to popliteal fossa)

MRA can be MORE sensitive to tibial occlusive disease than DSA. MRA helped plan approach due to knowledge of hibernating AT and peroneal lumen. Successful antegrade luminal recan for #CLI #CLIfighters #mylegmylife @FadiSaab17 @Mustapja @roblookstein @DrBTKatzen @BOlivieriMD

SOBE_Vascular's tweet image. MRA can be MORE sensitive to tibial occlusive disease than DSA. MRA helped plan approach due to knowledge of hibernating AT and peroneal lumen. Successful antegrade luminal recan for #CLI #CLIfighters #mylegmylife @FadiSaab17 @Mustapja @roblookstein @DrBTKatzen @BOlivieriMD
SOBE_Vascular's tweet image. MRA can be MORE sensitive to tibial occlusive disease than DSA. MRA helped plan approach due to knowledge of hibernating AT and peroneal lumen. Successful antegrade luminal recan for #CLI #CLIfighters #mylegmylife @FadiSaab17 @Mustapja @roblookstein @DrBTKatzen @BOlivieriMD
SOBE_Vascular's tweet image. MRA can be MORE sensitive to tibial occlusive disease than DSA. MRA helped plan approach due to knowledge of hibernating AT and peroneal lumen. Successful antegrade luminal recan for #CLI #CLIfighters #mylegmylife @FadiSaab17 @Mustapja @roblookstein @DrBTKatzen @BOlivieriMD
SOBE_Vascular's tweet image. MRA can be MORE sensitive to tibial occlusive disease than DSA. MRA helped plan approach due to knowledge of hibernating AT and peroneal lumen. Successful antegrade luminal recan for #CLI #CLIfighters #mylegmylife @FadiSaab17 @Mustapja @roblookstein @DrBTKatzen @BOlivieriMD

Great work. Give yourself some credit for the immense amount of effort you put in and show some intermediate steps! #MyLegMyLife


Excellent Revasc! The ghost of many tibials come alive on the table! Best part of these cases other than the patient keeping their limbs! #clifighters #mylegmylife


Optimising flow results in wound healing and #stopthechop #iRad #MyLegMyLife

DylanKurda's tweet image. Optimising flow results in wound healing and #stopthechop #iRad #MyLegMyLife
DylanKurda's tweet image. Optimising flow results in wound healing and #stopthechop #iRad #MyLegMyLife
DylanKurda's tweet image. Optimising flow results in wound healing and #stopthechop #iRad #MyLegMyLife
DylanKurda's tweet image. Optimising flow results in wound healing and #stopthechop #iRad #MyLegMyLife

#CLIFighters Non-healing heel and toe ulcer, being offered amputation, after revascularization of PT, plasty AT and peroneal, blush at the wound and bleeding #MyLegMyLife @ZagumBhatti @roblookstein @kmadass @LessneVIR @keithppereira @JVIRmedia @Saukalaka @BostonPIMedEd

CarlosGuevaraIR's tweet image. #CLIFighters Non-healing heel and toe ulcer, being offered amputation, after revascularization of PT, plasty AT and peroneal, blush at the wound and bleeding #MyLegMyLife @ZagumBhatti @roblookstein @kmadass @LessneVIR @keithppereira @JVIRmedia @Saukalaka @BostonPIMedEd
CarlosGuevaraIR's tweet image. #CLIFighters Non-healing heel and toe ulcer, being offered amputation, after revascularization of PT, plasty AT and peroneal, blush at the wound and bleeding #MyLegMyLife @ZagumBhatti @roblookstein @kmadass @LessneVIR @keithppereira @JVIRmedia @Saukalaka @BostonPIMedEd
CarlosGuevaraIR's tweet image. #CLIFighters Non-healing heel and toe ulcer, being offered amputation, after revascularization of PT, plasty AT and peroneal, blush at the wound and bleeding #MyLegMyLife @ZagumBhatti @roblookstein @kmadass @LessneVIR @keithppereira @JVIRmedia @Saukalaka @BostonPIMedEd
CarlosGuevaraIR's tweet image. #CLIFighters Non-healing heel and toe ulcer, being offered amputation, after revascularization of PT, plasty AT and peroneal, blush at the wound and bleeding #MyLegMyLife @ZagumBhatti @roblookstein @kmadass @LessneVIR @keithppereira @JVIRmedia @Saukalaka @BostonPIMedEd

Surgeons. Cardiologists. Radiologists. Podiatrists. Endocrinologists. Vascular medicine. Internal medicine. Private practice. Academia. Industry. WHATEVER. This is why we do this. No jargon, no propaganda, no fighting. Saving limbs and lives. #CLIFighters #MyLegMyLife


Active R4 patient limited at her full time job, losing sleep at night. Motivated to fight through pain, but needs help. Amazed at how well she functioned like this. She'll do awesome now! Shout out to @keithppereira for the support during the case! #CLIFighters #MyLegMyLife

Watts_IR's tweet image. Active R4 patient limited at her full time job, losing sleep at night. Motivated to fight through pain, but needs help.  Amazed at how well she functioned like this.  She'll do awesome now! Shout out to @keithppereira for the support during the case! #CLIFighters #MyLegMyLife
Watts_IR's tweet image. Active R4 patient limited at her full time job, losing sleep at night. Motivated to fight through pain, but needs help.  Amazed at how well she functioned like this.  She'll do awesome now! Shout out to @keithppereira for the support during the case! #CLIFighters #MyLegMyLife
Watts_IR's tweet image. Active R4 patient limited at her full time job, losing sleep at night. Motivated to fight through pain, but needs help.  Amazed at how well she functioned like this.  She'll do awesome now! Shout out to @keithppereira for the support during the case! #CLIFighters #MyLegMyLife
Watts_IR's tweet image. Active R4 patient limited at her full time job, losing sleep at night. Motivated to fight through pain, but needs help.  Amazed at how well she functioned like this.  She'll do awesome now! Shout out to @keithppereira for the support during the case! #CLIFighters #MyLegMyLife

Hello PT, my old friend #OrbitalAtherectomy & #PTA to inc plantar perfusion in pt w forefoot ulcer #MyLegMyLife @CLTRadiology #IRad

LessneVIR's tweet image. Hello PT, my old friend #OrbitalAtherectomy & #PTA to inc plantar perfusion in pt w forefoot ulcer #MyLegMyLife @CLTRadiology #IRad
LessneVIR's tweet image. Hello PT, my old friend #OrbitalAtherectomy & #PTA to inc plantar perfusion in pt w forefoot ulcer #MyLegMyLife @CLTRadiology #IRad

I fully endorse #MyLegMyLife as our slogan. It imparts a sense of ownership and accountability.


Tweet ini tidak lagi tersedia.

Great revasc, Mark!! 💪💪💪 #stopthechop #IRad #MyLegMyLife


I met a patient yesterday with right leg rest pain, but no tissue loss. She had this US and was told she needed an amputation 😒 A friend referred her to multidisciplinary CLI center @pa_vascularinst and she’ll keep her leg. @CLI_Global will change this! #CLIFighters #MyLegMyLife

Watts_IR's tweet image. I met a patient yesterday with right leg rest pain, but no tissue loss. She had this US and was told she needed an amputation 😒 A friend referred her to multidisciplinary CLI center @pa_vascularinst and she’ll keep her leg. @CLI_Global will change this! #CLIFighters #MyLegMyLife

#CLIFighters Non-healing heel and toe ulcer, being offered amputation, after revascularization of PT, plasty AT and peroneal, blush at the wound and bleeding #MyLegMyLife @ZagumBhatti @roblookstein @kmadass @LessneVIR @keithppereira @JVIRmedia @Saukalaka @BostonPIMedEd

CarlosGuevaraIR's tweet image. #CLIFighters Non-healing heel and toe ulcer, being offered amputation, after revascularization of PT, plasty AT and peroneal, blush at the wound and bleeding #MyLegMyLife @ZagumBhatti @roblookstein @kmadass @LessneVIR @keithppereira @JVIRmedia @Saukalaka @BostonPIMedEd
CarlosGuevaraIR's tweet image. #CLIFighters Non-healing heel and toe ulcer, being offered amputation, after revascularization of PT, plasty AT and peroneal, blush at the wound and bleeding #MyLegMyLife @ZagumBhatti @roblookstein @kmadass @LessneVIR @keithppereira @JVIRmedia @Saukalaka @BostonPIMedEd
CarlosGuevaraIR's tweet image. #CLIFighters Non-healing heel and toe ulcer, being offered amputation, after revascularization of PT, plasty AT and peroneal, blush at the wound and bleeding #MyLegMyLife @ZagumBhatti @roblookstein @kmadass @LessneVIR @keithppereira @JVIRmedia @Saukalaka @BostonPIMedEd
CarlosGuevaraIR's tweet image. #CLIFighters Non-healing heel and toe ulcer, being offered amputation, after revascularization of PT, plasty AT and peroneal, blush at the wound and bleeding #MyLegMyLife @ZagumBhatti @roblookstein @kmadass @LessneVIR @keithppereira @JVIRmedia @Saukalaka @BostonPIMedEd

The best example of CTOP IV I've seen clinically. Know the techniques! Procedures failed by others become routine when you understand the pathology. #CLIFighters #MyLegMyLife #Can'tCTOPWon'tCTOP @SOBE_Vascular @kmadass @SDhandMD @Mustapja @FadiSaab17 @LessneVIR @SIR_ECS @SIRRFS

Watts_IR's tweet image. The best example of CTOP IV I've seen clinically. Know the techniques! Procedures failed by others become routine when you understand the pathology. #CLIFighters #MyLegMyLife #Can'tCTOPWon'tCTOP @SOBE_Vascular @kmadass @SDhandMD @Mustapja @FadiSaab17 @LessneVIR @SIR_ECS @SIRRFS
Watts_IR's tweet image. The best example of CTOP IV I've seen clinically. Know the techniques! Procedures failed by others become routine when you understand the pathology. #CLIFighters #MyLegMyLife #Can'tCTOPWon'tCTOP @SOBE_Vascular @kmadass @SDhandMD @Mustapja @FadiSaab17 @LessneVIR @SIR_ECS @SIRRFS
Watts_IR's tweet image. The best example of CTOP IV I've seen clinically. Know the techniques! Procedures failed by others become routine when you understand the pathology. #CLIFighters #MyLegMyLife #Can'tCTOPWon'tCTOP @SOBE_Vascular @kmadass @SDhandMD @Mustapja @FadiSaab17 @LessneVIR @SIR_ECS @SIRRFS
Watts_IR's tweet image. The best example of CTOP IV I've seen clinically. Know the techniques! Procedures failed by others become routine when you understand the pathology. #CLIFighters #MyLegMyLife #Can'tCTOPWon'tCTOP @SOBE_Vascular @kmadass @SDhandMD @Mustapja @FadiSaab17 @LessneVIR @SIR_ECS @SIRRFS

Nice result! Also-Consider CO2 as contrast agent and you can revasc whatever you needs to without renal concern. #mylegmylife


The more tools we get to fight CLI the better chance we have in limb preservation. #MyLegMyLife


Amazing work....! If we want to be a clinical specialty, we have to address the PAD from screening to treatment What an exemplary post! #Irad_AClinicalSpecialty #MyLegMyLife


Awesome #clifighters outcome. One of the most satisfying results for these patients! #mylegmylife!

1 of my fav pts ever! Hard work by me, @AtriumHealth @Healogics wound care, and (most of all) pt & his incredible wife to heal multiple b/l ulcers (only a sample shown below)- finally healed, d/c'd from wound care. #thrilled #mylegsmylife @CLTRadiology #IRad

LessneVIR's tweet image. 1 of my fav pts ever! Hard work by me, @AtriumHealth @Healogics wound care, and (most of all) pt & his incredible wife to heal multiple b/l ulcers (only a sample shown below)- finally healed, d/c'd from wound care. #thrilled #mylegsmylife @CLTRadiology #IRad
LessneVIR's tweet image. 1 of my fav pts ever! Hard work by me, @AtriumHealth @Healogics wound care, and (most of all) pt & his incredible wife to heal multiple b/l ulcers (only a sample shown below)- finally healed, d/c'd from wound care. #thrilled #mylegsmylife @CLTRadiology #IRad
LessneVIR's tweet image. 1 of my fav pts ever! Hard work by me, @AtriumHealth @Healogics wound care, and (most of all) pt & his incredible wife to heal multiple b/l ulcers (only a sample shown below)- finally healed, d/c'd from wound care. #thrilled #mylegsmylife @CLTRadiology #IRad


...and you delivered....gave her the worlds BIGGEST AT!.....#Vascular_Irad #MyLegMyLife #WithoutAScalpel


MRA can be MORE sensitive to tibial occlusive disease than DSA. MRA helped plan approach due to knowledge of hibernating AT and peroneal lumen. Successful antegrade luminal recan for #CLI #CLIfighters #mylegmylife @FadiSaab17 @Mustapja @roblookstein @DrBTKatzen @BOlivieriMD

SOBE_Vascular's tweet image. MRA can be MORE sensitive to tibial occlusive disease than DSA. MRA helped plan approach due to knowledge of hibernating AT and peroneal lumen. Successful antegrade luminal recan for #CLI #CLIfighters #mylegmylife @FadiSaab17 @Mustapja @roblookstein @DrBTKatzen @BOlivieriMD
SOBE_Vascular's tweet image. MRA can be MORE sensitive to tibial occlusive disease than DSA. MRA helped plan approach due to knowledge of hibernating AT and peroneal lumen. Successful antegrade luminal recan for #CLI #CLIfighters #mylegmylife @FadiSaab17 @Mustapja @roblookstein @DrBTKatzen @BOlivieriMD
SOBE_Vascular's tweet image. MRA can be MORE sensitive to tibial occlusive disease than DSA. MRA helped plan approach due to knowledge of hibernating AT and peroneal lumen. Successful antegrade luminal recan for #CLI #CLIfighters #mylegmylife @FadiSaab17 @Mustapja @roblookstein @DrBTKatzen @BOlivieriMD
SOBE_Vascular's tweet image. MRA can be MORE sensitive to tibial occlusive disease than DSA. MRA helped plan approach due to knowledge of hibernating AT and peroneal lumen. Successful antegrade luminal recan for #CLI #CLIfighters #mylegmylife @FadiSaab17 @Mustapja @roblookstein @DrBTKatzen @BOlivieriMD

#CLIFighters Non-healing heel and toe ulcer, being offered amputation, after revascularization of PT, plasty AT and peroneal, blush at the wound and bleeding #MyLegMyLife @ZagumBhatti @roblookstein @kmadass @LessneVIR @keithppereira @JVIRmedia @Saukalaka @BostonPIMedEd

CarlosGuevaraIR's tweet image. #CLIFighters Non-healing heel and toe ulcer, being offered amputation, after revascularization of PT, plasty AT and peroneal, blush at the wound and bleeding #MyLegMyLife @ZagumBhatti @roblookstein @kmadass @LessneVIR @keithppereira @JVIRmedia @Saukalaka @BostonPIMedEd
CarlosGuevaraIR's tweet image. #CLIFighters Non-healing heel and toe ulcer, being offered amputation, after revascularization of PT, plasty AT and peroneal, blush at the wound and bleeding #MyLegMyLife @ZagumBhatti @roblookstein @kmadass @LessneVIR @keithppereira @JVIRmedia @Saukalaka @BostonPIMedEd
CarlosGuevaraIR's tweet image. #CLIFighters Non-healing heel and toe ulcer, being offered amputation, after revascularization of PT, plasty AT and peroneal, blush at the wound and bleeding #MyLegMyLife @ZagumBhatti @roblookstein @kmadass @LessneVIR @keithppereira @JVIRmedia @Saukalaka @BostonPIMedEd
CarlosGuevaraIR's tweet image. #CLIFighters Non-healing heel and toe ulcer, being offered amputation, after revascularization of PT, plasty AT and peroneal, blush at the wound and bleeding #MyLegMyLife @ZagumBhatti @roblookstein @kmadass @LessneVIR @keithppereira @JVIRmedia @Saukalaka @BostonPIMedEd

Active R4 patient limited at her full time job, losing sleep at night. Motivated to fight through pain, but needs help. Amazed at how well she functioned like this. She'll do awesome now! Shout out to @keithppereira for the support during the case! #CLIFighters #MyLegMyLife

Watts_IR's tweet image. Active R4 patient limited at her full time job, losing sleep at night. Motivated to fight through pain, but needs help.  Amazed at how well she functioned like this.  She'll do awesome now! Shout out to @keithppereira for the support during the case! #CLIFighters #MyLegMyLife
Watts_IR's tweet image. Active R4 patient limited at her full time job, losing sleep at night. Motivated to fight through pain, but needs help.  Amazed at how well she functioned like this.  She'll do awesome now! Shout out to @keithppereira for the support during the case! #CLIFighters #MyLegMyLife
Watts_IR's tweet image. Active R4 patient limited at her full time job, losing sleep at night. Motivated to fight through pain, but needs help.  Amazed at how well she functioned like this.  She'll do awesome now! Shout out to @keithppereira for the support during the case! #CLIFighters #MyLegMyLife
Watts_IR's tweet image. Active R4 patient limited at her full time job, losing sleep at night. Motivated to fight through pain, but needs help.  Amazed at how well she functioned like this.  She'll do awesome now! Shout out to @keithppereira for the support during the case! #CLIFighters #MyLegMyLife

Hello PT, my old friend #OrbitalAtherectomy & #PTA to inc plantar perfusion in pt w forefoot ulcer #MyLegMyLife @CLTRadiology #IRad

LessneVIR's tweet image. Hello PT, my old friend #OrbitalAtherectomy & #PTA to inc plantar perfusion in pt w forefoot ulcer #MyLegMyLife @CLTRadiology #IRad
LessneVIR's tweet image. Hello PT, my old friend #OrbitalAtherectomy & #PTA to inc plantar perfusion in pt w forefoot ulcer #MyLegMyLife @CLTRadiology #IRad

I met a patient yesterday with right leg rest pain, but no tissue loss. She had this US and was told she needed an amputation 😒 A friend referred her to multidisciplinary CLI center @pa_vascularinst and she’ll keep her leg. @CLI_Global will change this! #CLIFighters #MyLegMyLife

Watts_IR's tweet image. I met a patient yesterday with right leg rest pain, but no tissue loss. She had this US and was told she needed an amputation 😒 A friend referred her to multidisciplinary CLI center @pa_vascularinst and she’ll keep her leg. @CLI_Global will change this! #CLIFighters #MyLegMyLife

82 yo F with R5 ulcers of 3rd & 4th toes. #IRad can help with infrapopliteal and pedal revascularization to #StopTheChop. #mylegmylife #CLIFighters @SIRspecialists @SIRRFS @CLI_Global @AMPSymposium @pj_rochon

AlexCVIR's tweet image. 82 yo F with R5 ulcers of 3rd & 4th toes. #IRad can help with infrapopliteal and pedal revascularization to #StopTheChop. #mylegmylife #CLIFighters @SIRspecialists @SIRRFS @CLI_Global @AMPSymposium @pj_rochon
AlexCVIR's tweet image. 82 yo F with R5 ulcers of 3rd & 4th toes. #IRad can help with infrapopliteal and pedal revascularization to #StopTheChop. #mylegmylife #CLIFighters @SIRspecialists @SIRRFS @CLI_Global @AMPSymposium @pj_rochon
AlexCVIR's tweet image. 82 yo F with R5 ulcers of 3rd & 4th toes. #IRad can help with infrapopliteal and pedal revascularization to #StopTheChop. #mylegmylife #CLIFighters @SIRspecialists @SIRRFS @CLI_Global @AMPSymposium @pj_rochon
AlexCVIR's tweet image. 82 yo F with R5 ulcers of 3rd & 4th toes. #IRad can help with infrapopliteal and pedal revascularization to #StopTheChop. #mylegmylife #CLIFighters @SIRspecialists @SIRRFS @CLI_Global @AMPSymposium @pj_rochon

The best example of CTOP IV I've seen clinically. Know the techniques! Procedures failed by others become routine when you understand the pathology. #CLIFighters #MyLegMyLife #Can'tCTOPWon'tCTOP @SOBE_Vascular @kmadass @SDhandMD @Mustapja @FadiSaab17 @LessneVIR @SIR_ECS @SIRRFS

Watts_IR's tweet image. The best example of CTOP IV I've seen clinically. Know the techniques! Procedures failed by others become routine when you understand the pathology. #CLIFighters #MyLegMyLife #Can'tCTOPWon'tCTOP @SOBE_Vascular @kmadass @SDhandMD @Mustapja @FadiSaab17 @LessneVIR @SIR_ECS @SIRRFS
Watts_IR's tweet image. The best example of CTOP IV I've seen clinically. Know the techniques! Procedures failed by others become routine when you understand the pathology. #CLIFighters #MyLegMyLife #Can'tCTOPWon'tCTOP @SOBE_Vascular @kmadass @SDhandMD @Mustapja @FadiSaab17 @LessneVIR @SIR_ECS @SIRRFS
Watts_IR's tweet image. The best example of CTOP IV I've seen clinically. Know the techniques! Procedures failed by others become routine when you understand the pathology. #CLIFighters #MyLegMyLife #Can'tCTOPWon'tCTOP @SOBE_Vascular @kmadass @SDhandMD @Mustapja @FadiSaab17 @LessneVIR @SIR_ECS @SIRRFS
Watts_IR's tweet image. The best example of CTOP IV I've seen clinically. Know the techniques! Procedures failed by others become routine when you understand the pathology. #CLIFighters #MyLegMyLife #Can'tCTOPWon'tCTOP @SOBE_Vascular @kmadass @SDhandMD @Mustapja @FadiSaab17 @LessneVIR @SIR_ECS @SIRRFS

#CLIFighters #MyLegMyLife Special thanks to my colleague Benjamin Pomerantz, MD for his codification of intraoperative sweat accumulation. This is a Classic Pomerantz IV (extension to popliteal fossa)

DrArteryOpener's tweet image. #CLIFighters #MyLegMyLife Special thanks to my colleague Benjamin Pomerantz, MD for his codification of intraoperative sweat accumulation. This is a Classic Pomerantz IV (extension to popliteal fossa)

Optimising flow results in wound healing and #stopthechop #iRad #MyLegMyLife

DylanKurda's tweet image. Optimising flow results in wound healing and #stopthechop #iRad #MyLegMyLife
DylanKurda's tweet image. Optimising flow results in wound healing and #stopthechop #iRad #MyLegMyLife
DylanKurda's tweet image. Optimising flow results in wound healing and #stopthechop #iRad #MyLegMyLife
DylanKurda's tweet image. Optimising flow results in wound healing and #stopthechop #iRad #MyLegMyLife

Incredible talk on disparities in CLI care in populations by @drsavealimb. So much work to do to increase limb preservation. #clifighters #MyLegMyLife @SOBE_Vascular @SDhandMD @Watts_IR @DanHan @Mustapja @FadiSaab17 @bretwiechmann @surgmax @keithppereira @roblookstein #AMPCLI2018

kmadass's tweet image. Incredible talk on disparities in CLI care in populations by @drsavealimb. So much work to do to increase limb preservation. #clifighters #MyLegMyLife @SOBE_Vascular @SDhandMD @Watts_IR @DanHan @Mustapja @FadiSaab17 @bretwiechmann @surgmax @keithppereira @roblookstein #AMPCLI2018

@ColoradoIR #CLIFighters Non-healing wound d/t inflow disease. Re-entry leads to ABI improvement from 0.4 to 1 and 2+ DP. @CLI_Global @kmadass @SDhandMD @KMSchramm @UCD_IR #stopthechop #mylegmylife

pj_rochon's tweet image. @ColoradoIR #CLIFighters Non-healing wound d/t inflow disease. Re-entry leads to ABI improvement from 0.4 to 1 and 2+ DP. @CLI_Global @kmadass @SDhandMD @KMSchramm @UCD_IR #stopthechop #mylegmylife
pj_rochon's tweet image. @ColoradoIR #CLIFighters Non-healing wound d/t inflow disease. Re-entry leads to ABI improvement from 0.4 to 1 and 2+ DP. @CLI_Global @kmadass @SDhandMD @KMSchramm @UCD_IR #stopthechop #mylegmylife
pj_rochon's tweet image. @ColoradoIR #CLIFighters Non-healing wound d/t inflow disease. Re-entry leads to ABI improvement from 0.4 to 1 and 2+ DP. @CLI_Global @kmadass @SDhandMD @KMSchramm @UCD_IR #stopthechop #mylegmylife

Loading...

Something went wrong.


Something went wrong.