ERG IHC can be highly useful Dr. Billings #sarcoma #OSAP15

HassellLewis's tweet image. ERG IHC can be highly useful Dr. Billings #sarcoma #OSAP15

Low-grade Fibromyxoid #sarcoma ddx: perineurioma, fibrous hamartoma of infancy (<2 yrs), myx DFSP, myxoFS #OSAP15

HassellLewis's tweet image. Low-grade Fibromyxoid #sarcoma ddx: perineurioma, fibrous hamartoma of infancy (&amp;lt;2 yrs), myx DFSP, myxoFS #OSAP15
HassellLewis's tweet image. Low-grade Fibromyxoid #sarcoma ddx: perineurioma, fibrous hamartoma of infancy (&amp;lt;2 yrs), myx DFSP, myxoFS #OSAP15
HassellLewis's tweet image. Low-grade Fibromyxoid #sarcoma ddx: perineurioma, fibrous hamartoma of infancy (&amp;lt;2 yrs), myx DFSP, myxoFS #OSAP15
HassellLewis's tweet image. Low-grade Fibromyxoid #sarcoma ddx: perineurioma, fibrous hamartoma of infancy (&amp;lt;2 yrs), myx DFSP, myxoFS #OSAP15

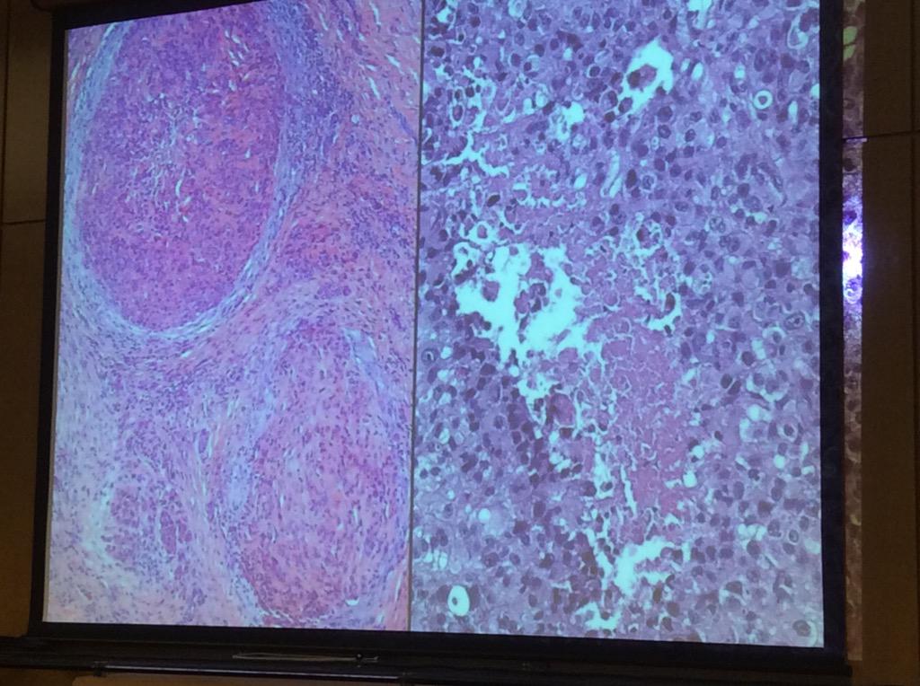
Angiomatoid FS ddx IHC and cytogenetics Dr. Billings #OSAP15

HassellLewis's tweet image. Angiomatoid FS ddx IHC and cytogenetics Dr. Billings #OSAP15
HassellLewis's tweet image. Angiomatoid FS ddx IHC and cytogenetics Dr. Billings #OSAP15

Novel myocardial remodeling markers- ST2 and galectin 10. Pathophys Dr. Akl #OSAP15

HassellLewis's tweet image. Novel myocardial remodeling markers- ST2 and galectin 10. Pathophys Dr. Akl #OSAP15
HassellLewis's tweet image. Novel myocardial remodeling markers- ST2 and galectin 10. Pathophys Dr. Akl #OSAP15

Monitoring of anti-coag drugs Dr. Marlar #OSAP15

HassellLewis's tweet image. Monitoring of anti-coag drugs Dr. Marlar #OSAP15
HassellLewis's tweet image. Monitoring of anti-coag drugs Dr. Marlar #OSAP15
HassellLewis's tweet image. Monitoring of anti-coag drugs Dr. Marlar #OSAP15
HassellLewis's tweet image. Monitoring of anti-coag drugs Dr. Marlar #OSAP15

Galectin 3 (not 10) along w/ ST2 also has prognostic impact in HF Dr. Akl #OSAP15 Additive value natriuretic peptides

HassellLewis's tweet image. Galectin 3 (not 10) along w/ ST2 also has prognostic impact in HF Dr. Akl #OSAP15 Additive value natriuretic peptides

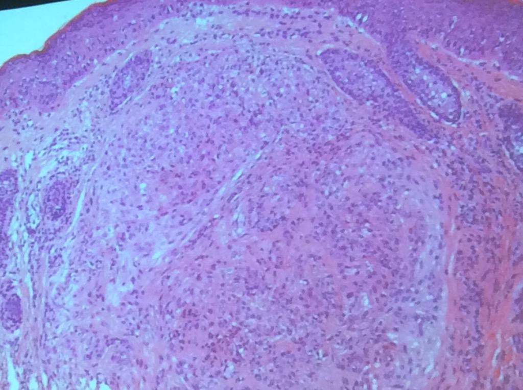
Angiomatoid fibrous histiocytoma Dr. Billings #OSAP15 always has the pseudocapsule and lymphoid aggs. @JMGardnerMD

HassellLewis's tweet image. Angiomatoid fibrous histiocytoma Dr. Billings #OSAP15 always has the pseudocapsule and lymphoid aggs. @JMGardnerMD
HassellLewis's tweet image. Angiomatoid fibrous histiocytoma Dr. Billings #OSAP15 always has the pseudocapsule and lymphoid aggs. @JMGardnerMD

Newer #anticoagulation anticoagulants- when to monitor Dr. Marlar #OSAP15

HassellLewis's tweet image. Newer #anticoagulation anticoagulants- when to monitor Dr. Marlar #OSAP15

#angiosarcoma can make us #humble; note periphery of tumor not just the center @Pathologists #OSAP15 Dr. Billings

HassellLewis's tweet image. #angiosarcoma can make us #humble; note periphery of tumor not just the center @Pathologists #OSAP15 Dr. Billings

Troponins I & C in cardiac damage may result in different values due to many competing factors. Dr. Akl #OSAP15

HassellLewis's tweet image. Troponins I &amp;amp; C in cardiac damage may result in different values due to many competing factors. Dr. Akl #OSAP15

#platelet function testing options with newer platelet inhibitors. Dr. Marlar @Pathologists #OSAP15

HassellLewis's tweet image. #platelet function testing options with newer platelet inhibitors. Dr. Marlar @Pathologists #OSAP15

#heartfailure #biomarkers currently center around naturietic substances, but MANY others Dr. Akl #OSAP15

HassellLewis's tweet image. #heartfailure #biomarkers currently center around naturietic substances, but MANY others Dr. Akl #OSAP15
HassellLewis's tweet image. #heartfailure #biomarkers currently center around naturietic substances, but MANY others Dr. Akl #OSAP15

de Lomos algorithm for classifying elevated #troponin levels. Dr. Akl #OSAP15 @Pathologists @ACCinTouch #knowtheflow

HassellLewis's tweet image. de Lomos algorithm for classifying elevated #troponin levels. Dr. Akl #OSAP15 @Pathologists @ACCinTouch #knowtheflow

When to actually measure the anticoagulant; when to assess setting dependent. Dr. Marlar #OSAP15 @Pathologists

HassellLewis's tweet image. When to actually measure the anticoagulant; when to assess   setting dependent. Dr. Marlar #OSAP15 @Pathologists
HassellLewis's tweet image. When to actually measure the anticoagulant; when to assess   setting dependent. Dr. Marlar #OSAP15 @Pathologists

[Pathology] is a life long lesson in humility. Dr. Billings, with apologies to JM Barrie. #OSAP15 @Pathologists


Reference ranges for BNP differ between labs and assays. Less so for pro-BNP #knowtheflow Dr. Akl #OSAP15


#platelet function testing can be done with POC devices, but these should not be used for diagnostic testing! Dr. Marlar #OSAP15


Galectin 3 (not 10) along w/ ST2 also has prognostic impact in HF Dr. Akl #OSAP15 Additive value natriuretic peptides

HassellLewis's tweet image. Galectin 3 (not 10) along w/ ST2 also has prognostic impact in HF Dr. Akl #OSAP15 Additive value natriuretic peptides

Novel myocardial remodeling markers- ST2 and galectin 10. Pathophys Dr. Akl #OSAP15

HassellLewis's tweet image. Novel myocardial remodeling markers- ST2 and galectin 10. Pathophys Dr. Akl #OSAP15
HassellLewis's tweet image. Novel myocardial remodeling markers- ST2 and galectin 10. Pathophys Dr. Akl #OSAP15

Reference ranges for BNP differ between labs and assays. Less so for pro-BNP #knowtheflow Dr. Akl #OSAP15


#heartfailure #biomarkers currently center around naturietic substances, but MANY others Dr. Akl #OSAP15

HassellLewis's tweet image. #heartfailure #biomarkers currently center around naturietic substances, but MANY others Dr. Akl #OSAP15
HassellLewis's tweet image. #heartfailure #biomarkers currently center around naturietic substances, but MANY others Dr. Akl #OSAP15

de Lomos algorithm for classifying elevated #troponin levels. Dr. Akl #OSAP15 @Pathologists @ACCinTouch #knowtheflow

HassellLewis's tweet image. de Lomos algorithm for classifying elevated #troponin levels. Dr. Akl #OSAP15 @Pathologists @ACCinTouch #knowtheflow

Troponins I & C in cardiac damage may result in different values due to many competing factors. Dr. Akl #OSAP15

HassellLewis's tweet image. Troponins I &amp;amp; C in cardiac damage may result in different values due to many competing factors. Dr. Akl #OSAP15

Newer #anticoagulation anticoagulants- when to monitor Dr. Marlar #OSAP15

HassellLewis's tweet image. Newer #anticoagulation anticoagulants- when to monitor Dr. Marlar #OSAP15

Monitoring of anti-coag drugs Dr. Marlar #OSAP15

HassellLewis's tweet image. Monitoring of anti-coag drugs Dr. Marlar #OSAP15
HassellLewis's tweet image. Monitoring of anti-coag drugs Dr. Marlar #OSAP15
HassellLewis's tweet image. Monitoring of anti-coag drugs Dr. Marlar #OSAP15
HassellLewis's tweet image. Monitoring of anti-coag drugs Dr. Marlar #OSAP15

#platelet function testing can be done with POC devices, but these should not be used for diagnostic testing! Dr. Marlar #OSAP15


#platelet function testing options with newer platelet inhibitors. Dr. Marlar @Pathologists #OSAP15

HassellLewis's tweet image. #platelet function testing options with newer platelet inhibitors. Dr. Marlar @Pathologists #OSAP15

When to actually measure the anticoagulant; when to assess setting dependent. Dr. Marlar #OSAP15 @Pathologists

HassellLewis's tweet image. When to actually measure the anticoagulant; when to assess   setting dependent. Dr. Marlar #OSAP15 @Pathologists
HassellLewis's tweet image. When to actually measure the anticoagulant; when to assess   setting dependent. Dr. Marlar #OSAP15 @Pathologists

ERG IHC can be highly useful Dr. Billings #sarcoma #OSAP15

HassellLewis's tweet image. ERG IHC can be highly useful Dr. Billings #sarcoma #OSAP15

#angiosarcoma can make us #humble; note periphery of tumor not just the center @Pathologists #OSAP15 Dr. Billings

HassellLewis's tweet image. #angiosarcoma can make us #humble; note periphery of tumor not just the center @Pathologists #OSAP15 Dr. Billings

[Pathology] is a life long lesson in humility. Dr. Billings, with apologies to JM Barrie. #OSAP15 @Pathologists


Angiomatoid FS ddx IHC and cytogenetics Dr. Billings #OSAP15

HassellLewis's tweet image. Angiomatoid FS ddx IHC and cytogenetics Dr. Billings #OSAP15
HassellLewis's tweet image. Angiomatoid FS ddx IHC and cytogenetics Dr. Billings #OSAP15

Angiomatoid fibrous histiocytoma Dr. Billings #OSAP15 always has the pseudocapsule and lymphoid aggs. @JMGardnerMD

HassellLewis's tweet image. Angiomatoid fibrous histiocytoma Dr. Billings #OSAP15 always has the pseudocapsule and lymphoid aggs. @JMGardnerMD
HassellLewis's tweet image. Angiomatoid fibrous histiocytoma Dr. Billings #OSAP15 always has the pseudocapsule and lymphoid aggs. @JMGardnerMD

Low-grade Fibromyxoid #sarcoma ddx: perineurioma, fibrous hamartoma of infancy (<2 yrs), myx DFSP, myxoFS #OSAP15

HassellLewis's tweet image. Low-grade Fibromyxoid #sarcoma ddx: perineurioma, fibrous hamartoma of infancy (&amp;lt;2 yrs), myx DFSP, myxoFS #OSAP15
HassellLewis's tweet image. Low-grade Fibromyxoid #sarcoma ddx: perineurioma, fibrous hamartoma of infancy (&amp;lt;2 yrs), myx DFSP, myxoFS #OSAP15
HassellLewis's tweet image. Low-grade Fibromyxoid #sarcoma ddx: perineurioma, fibrous hamartoma of infancy (&amp;lt;2 yrs), myx DFSP, myxoFS #OSAP15
HassellLewis's tweet image. Low-grade Fibromyxoid #sarcoma ddx: perineurioma, fibrous hamartoma of infancy (&amp;lt;2 yrs), myx DFSP, myxoFS #OSAP15

Epithelioid #sarcoma -like hemangioendothelioma- very helpful phenotype Dr. Billings #OSAP15

HassellLewis's tweet image. Epithelioid #sarcoma -like hemangioendothelioma- very helpful phenotype Dr. Billings #OSAP15

ERG IHC can be highly useful Dr. Billings #sarcoma #OSAP15

HassellLewis's tweet image. ERG IHC can be highly useful Dr. Billings #sarcoma #OSAP15

Low-grade Fibromyxoid #sarcoma ddx: perineurioma, fibrous hamartoma of infancy (<2 yrs), myx DFSP, myxoFS #OSAP15

HassellLewis's tweet image. Low-grade Fibromyxoid #sarcoma ddx: perineurioma, fibrous hamartoma of infancy (&amp;lt;2 yrs), myx DFSP, myxoFS #OSAP15
HassellLewis's tweet image. Low-grade Fibromyxoid #sarcoma ddx: perineurioma, fibrous hamartoma of infancy (&amp;lt;2 yrs), myx DFSP, myxoFS #OSAP15
HassellLewis's tweet image. Low-grade Fibromyxoid #sarcoma ddx: perineurioma, fibrous hamartoma of infancy (&amp;lt;2 yrs), myx DFSP, myxoFS #OSAP15
HassellLewis's tweet image. Low-grade Fibromyxoid #sarcoma ddx: perineurioma, fibrous hamartoma of infancy (&amp;lt;2 yrs), myx DFSP, myxoFS #OSAP15

Dernal nerve sheath myxoma differs from cellular neurothekioma Dr. Billings #OSAP15 S100 key

HassellLewis's tweet image. Dernal nerve sheath myxoma differs from cellular neurothekioma Dr. Billings #OSAP15 S100 key

Epithelioid #sarcoma -like hemangioendothelioma- very helpful phenotype Dr. Billings #OSAP15

HassellLewis's tweet image. Epithelioid #sarcoma -like hemangioendothelioma- very helpful phenotype Dr. Billings #OSAP15

Angiomatoid FS ddx IHC and cytogenetics Dr. Billings #OSAP15

HassellLewis's tweet image. Angiomatoid FS ddx IHC and cytogenetics Dr. Billings #OSAP15
HassellLewis's tweet image. Angiomatoid FS ddx IHC and cytogenetics Dr. Billings #OSAP15

#angiosarcoma can make us #humble; note periphery of tumor not just the center @Pathologists #OSAP15 Dr. Billings

HassellLewis's tweet image. #angiosarcoma can make us #humble; note periphery of tumor not just the center @Pathologists #OSAP15 Dr. Billings

Galectin 3 (not 10) along w/ ST2 also has prognostic impact in HF Dr. Akl #OSAP15 Additive value natriuretic peptides

HassellLewis's tweet image. Galectin 3 (not 10) along w/ ST2 also has prognostic impact in HF Dr. Akl #OSAP15 Additive value natriuretic peptides

Novel myocardial remodeling markers- ST2 and galectin 10. Pathophys Dr. Akl #OSAP15

HassellLewis's tweet image. Novel myocardial remodeling markers- ST2 and galectin 10. Pathophys Dr. Akl #OSAP15
HassellLewis's tweet image. Novel myocardial remodeling markers- ST2 and galectin 10. Pathophys Dr. Akl #OSAP15

Monitoring of anti-coag drugs Dr. Marlar #OSAP15

HassellLewis's tweet image. Monitoring of anti-coag drugs Dr. Marlar #OSAP15
HassellLewis's tweet image. Monitoring of anti-coag drugs Dr. Marlar #OSAP15
HassellLewis's tweet image. Monitoring of anti-coag drugs Dr. Marlar #OSAP15
HassellLewis's tweet image. Monitoring of anti-coag drugs Dr. Marlar #OSAP15

Angiomatoid fibrous histiocytoma Dr. Billings #OSAP15 always has the pseudocapsule and lymphoid aggs. @JMGardnerMD

HassellLewis's tweet image. Angiomatoid fibrous histiocytoma Dr. Billings #OSAP15 always has the pseudocapsule and lymphoid aggs. @JMGardnerMD
HassellLewis's tweet image. Angiomatoid fibrous histiocytoma Dr. Billings #OSAP15 always has the pseudocapsule and lymphoid aggs. @JMGardnerMD

Newer #anticoagulation anticoagulants- when to monitor Dr. Marlar #OSAP15

HassellLewis's tweet image. Newer #anticoagulation anticoagulants- when to monitor Dr. Marlar #OSAP15

Troponins I & C in cardiac damage may result in different values due to many competing factors. Dr. Akl #OSAP15

HassellLewis's tweet image. Troponins I &amp;amp; C in cardiac damage may result in different values due to many competing factors. Dr. Akl #OSAP15

de Lomos algorithm for classifying elevated #troponin levels. Dr. Akl #OSAP15 @Pathologists @ACCinTouch #knowtheflow

HassellLewis's tweet image. de Lomos algorithm for classifying elevated #troponin levels. Dr. Akl #OSAP15 @Pathologists @ACCinTouch #knowtheflow

#heartfailure #biomarkers currently center around naturietic substances, but MANY others Dr. Akl #OSAP15

HassellLewis's tweet image. #heartfailure #biomarkers currently center around naturietic substances, but MANY others Dr. Akl #OSAP15
HassellLewis's tweet image. #heartfailure #biomarkers currently center around naturietic substances, but MANY others Dr. Akl #OSAP15

#platelet function testing options with newer platelet inhibitors. Dr. Marlar @Pathologists #OSAP15

HassellLewis's tweet image. #platelet function testing options with newer platelet inhibitors. Dr. Marlar @Pathologists #OSAP15

When to actually measure the anticoagulant; when to assess setting dependent. Dr. Marlar #OSAP15 @Pathologists

HassellLewis's tweet image. When to actually measure the anticoagulant; when to assess   setting dependent. Dr. Marlar #OSAP15 @Pathologists
HassellLewis's tweet image. When to actually measure the anticoagulant; when to assess   setting dependent. Dr. Marlar #OSAP15 @Pathologists

Loading...

Something went wrong.


Something went wrong.


United States Trends